扫码关注公众号           扫码咨询技术支持           扫码咨询技术服务
  
客服热线:400-901-9800  客服QQ:4009019800  技术答疑  技术支持  质量反馈  人才招聘  关于我们  联系我们
产品中心-北京博奥森生物技术有限公司
首页 > 产品中心 > 一抗 > 产品信息
PPP1R11 Rabbit pAb (bs-19989R)  
订购热线:400-901-9800
订购邮箱:sales@bioss.com.cn
订购QQ:  400-901-9800
技术支持:techsupport@bioss.com.cn
50ul/1180.00元
100ul/1980.00元
200ul/2800.00元
大包装/询价

产品编号 bs-19989R
英文名称 PPP1R11 Rabbit pAb
中文名称 蛋白磷酸酶PPP1R11抗体
别    名 COXPD54; KIAA0391; MRPP3; MRPP3_HUMAN; PRORP; Mitochondrial ribonuclease P protein 3 (Mitochondrial RNase P protein 3); Protein only RNase P catalytic subunit; 3.1.26.5;   
Specific References  (2)     |     bs-19989R has been referenced in 2 publications.
[IF=2.923] Xianrong Xiong. et al. MicroRNA-34b-5p targets PPP1R11 to inhibit proliferation and promote apoptosis in cattleyak Sertoli cells by regulating specific signaling pathways. THERIOGENOLOGY. 2022 Dec;194:46  ICC, IHC, WB ;  Bovine.  
[IF=1.858] Xingyu Min. et al. Analysis of PPP1R11 expression in granulosa cells during developmental follicles of yak and its effects on cell function. REPROD DOMEST ANIM. 2022 Oct;:  IHC, IF ;  Yak.  
研究领域 细胞生物  信号转导  激酶和磷酸酶  
抗体来源 Rabbit
克隆类型 Polyclonal
克 隆 号
交叉反应 Rat (predicted: Human,Mouse,Rabbit,Pig,Sheep,Cow,Dog)
产品应用 IHC-P=1:100-500,IHC-F=1:100-500,IF=1:100-500
not yet tested in other applications.
optimal dilutions/concentrations should be determined by the end user.
理论分子量 14 kDa
细胞定位 细胞浆 
性    状 Liquid
浓    度 1mg/ml
免 疫 原 KLH conjugated synthetic peptide derived from human PPP1R11: 21-100/126 
亚    型 IgG
纯化方法 affinity purified by Protein A
缓 冲 液 0.01M TBS (pH7.4) with 1% BSA, 0.02% Proclin300 and 50% Glycerol.
保存条件 Shipped at 4℃. Store at -20℃ for one year. Avoid repeated freeze/thaw cycles.
注意事项 This product as supplied is intended for research use only, not for use in human, therapeutic or diagnostic applications.
PubMed PubMed
产品介绍 This gene encodes a specific inhibitor of protein phosphatase-1 (PP1) with a differential sensitivity toward the metal-independent and metal-dependent forms of PP1. The gene is located within the major histocompatibility complex class I region on chromosome 6. [provided by RefSeq, Jul 2008]

Function:
Inhibitor of protein phosphatase 1.

Subcellular Location:
Cytoplasmic.

Tissue Specificity:
Widely expressed.

SWISS:
O15091

Gene ID:
9692

Database links:

Entrez Gene: 6992 Human

Entrez Gene: 76497 Mouse

Entrez Gene: 294207 Rat

Omim: 606670 Human

SwissProt: O60927 Human

SwissProt: Q8K1L5 Mouse

SwissProt: Q6MFY6 Rat

Unigene: 82887 Human

Unigene: 46176 Mouse

Unigene: 63970 Rat



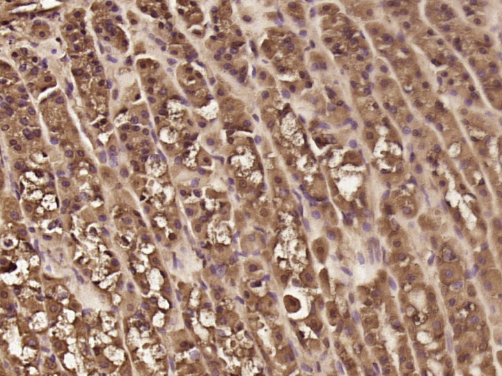
产品图片
Paraformaldehyde-fixed, paraffin embedded (rat stomach tissue); Antigen retrieval by boiling in sodium citrate buffer (pH6.0) for 15min; Block endogenous peroxidase by 3% hydrogen peroxide for 20 minutes; Blocking buffer (normal goat serum) at 37°C for 30min; Antibody incubation with (PPP1R11) Polyclonal Antibody, Unconjugated (bs-19989R) at 1:400 overnight at 4°C, followed by operating according to SP Kit(Rabbit) (sp-0023) instructionsand DAB staining.
版权所有 2004-2026 www.bioss.com.cn 北京博奥森生物技术有限公司
通过国际质量管理体系ISO 9001:2015 GB/T 19001-2016    证书编号: 00124Q34771R2M/1100
通过国际医疗器械-质量管理体系ISO 13485:2016 GB/T 42061-2022     证书编号: CQC24QY20047R0M/1100
京ICP备05066980号-1         京公网安备110107000727号