扫码关注公众号           扫码咨询技术支持           扫码咨询技术服务
  
客服热线:400-901-9800  客服QQ:4009019800  技术答疑  技术支持  质量反馈  关于我们  联系我们
产品中心-北京博奥森生物技术有限公司
首页 > 产品中心 > 一抗 > 产品信息
PAFAH2 Rabbit pAb (bs-21003R)  
订购热线:400-901-9800
订购邮箱:sales@bioss.com.cn
订购QQ:  400-901-9800
技术支持:techsupport@bioss.com.cn
50ul/1180.00元
100ul/1980.00元
200ul/2800.00元
大包装/询价

产品编号 bs-21003R
英文名称 PAFAH2 Rabbit pAb
中文名称 血小板活化因子乙酰水解酶2抗体
别    名 EC 3.1.1.47; HSD PLA2; HSDPLA2; HSD-PLA2; Platelet activating factor acetylhydrolase 2; Platelet activating factor acetylhydrolase 2 cytoplasmic; platelet-activating factor acetylhydrolase 2, 40kDa; SD PLA2; Serine dependent phospholipase A2.  
研究领域 细胞生物  信号转导  激酶和磷酸酶  
抗体来源 Rabbit
克隆类型 Polyclonal
克 隆 号
交叉反应 Mouse,Rat (predicted: Human,Rabbit,Pig,Sheep,Cow)
产品应用 WB=1:500-2000,IHC-P=1:100-500,IHC-F=1:100-500,IF=1:100-500
not yet tested in other applications.
optimal dilutions/concentrations should be determined by the end user.
理论分子量 44 kDa
检测分子量
细胞定位 细胞浆 
性    状 Liquid
浓    度 1mg/ml
免 疫 原 KLH conjugated synthetic peptide derived from human PAFAH2: 31-130/392 
亚    型 IgG
纯化方法 affinity purified by Protein A
缓 冲 液 0.01M TBS (pH7.4) with 1% BSA, 0.02% Proclin300 and 50% Glycerol.
保存条件 Shipped at 4℃. Store at -20℃ for one year. Avoid repeated freeze/thaw cycles.
注意事项 This product as supplied is intended for research use only, not for use in human, therapeutic or diagnostic applications.
PubMed PubMed
产品介绍 This gene encodes platelet-activating factor acetylhydrolase isoform 2, a single-subunit intracellular enzyme that catalyzes the removal of the acetyl group at the SN-2 position of platelet-activating factor (identified as 1-O-alkyl-2-acetyl-sn-glyceryl-3-phosphorylcholine). However, this lipase exhibits a broader substrate specificity than simply platelet activating factor. Two other isoforms of intracellular platelet-activating factor acetylhydrolase exist, and both are multi-subunit enzymes. Additionally, there is a single-subunit serum isoform of this enzyme. [provided by RefSeq, Jul 2008]

Function:
Has a marked selectivity for phospholipids with short acyl chains at the sn-2 position. May share a common physiologic function with the plasma-type enzyme.

Subcellular Location:
Cytoplasmic

Tissue Specificity:
Broadly expressed in different tissues, but high in B- and T-lymphocytes. In brain, expression is restricted to amygdala and frontal cortex.

Similarity:
Belongs to the serine esterase family.

SWISS:
Q99487

Gene ID:
5051

Database links:

Entrez Gene: 5051 Human

Entrez Gene: 100163 Mouse

Entrez Gene: 313611 Rat

Omim: 602344 Human

SwissProt: Q99487 Human

SwissProt: Q8VDG7 Mouse

SwissProt: P83006 Rat

Unigene: 477083 Human

Unigene: 22116 Mouse

Unigene: 92487 Rat



产品图片
Sample: Kidney (Mouse) Lysate at 40 ug Primary: Anti- PAFAH2 (bs-21003R) at 1/1000 dilution Secondary: IRDye800CW Goat Anti-Rabbit IgG at 1/20000 dilution Predicted band size: 44 kD Observed band size: 44 kD
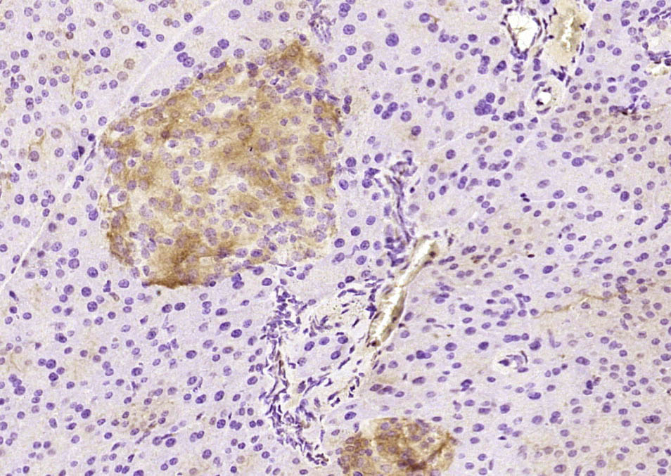
Paraformaldehyde-fixed, paraffin embedded (mouse pancreas); Antigen retrieval by boiling in sodium citrate buffer (pH6.0) for 15min; Block endogenous peroxidase by 3% hydrogen peroxide for 20 minutes; Blocking buffer (normal goat serum) at 37°C for 30min; Antibody incubation with (PAFAH2) Polyclonal Antibody, Unconjugated (bs-21003R) at 1:200 overnight at 4°C, followed by operating according to SP Kit(Rabbit) (sp-0023) instructionsand DAB staining.
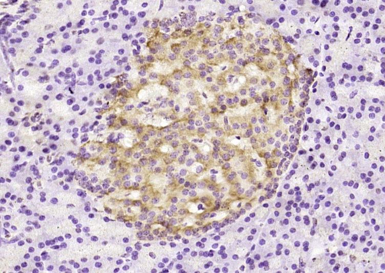
Paraformaldehyde-fixed, paraffin embedded (rat pancreas); Antigen retrieval by boiling in sodium citrate buffer (pH6.0) for 15min; Block endogenous peroxidase by 3% hydrogen peroxide for 20 minutes; Blocking buffer (normal goat serum) at 37°C for 30min; Antibody incubation with (PAFAH2) Polyclonal Antibody, Unconjugated (bs-21003R) at 1:200 overnight at 4°C, followed by operating according to SP Kit(Rabbit) (sp-0023) instructionsand DAB staining.
版权所有 2004-2026 www.bioss.com.cn 北京博奥森生物技术有限公司
通过国际质量管理体系ISO 9001:2015 GB/T 19001-2016    证书编号: 00124Q34771R2M/1100
通过国际医疗器械-质量管理体系ISO 13485:2016 GB/T 42061-2022     证书编号: CQC24QY20047R0M/1100
京ICP备05066980号-1         京公网安备110107000727号