扫码关注公众号           扫码咨询技术支持           扫码咨询技术服务
  
客服热线:400-901-9800  客服QQ:4009019800  技术答疑  技术支持  质量反馈  关于我们  联系我们
产品中心-北京博奥森生物技术有限公司
首页 > 产品中心 > 一抗 > 产品信息
SMARCA5 Rabbit pAb (bs-12653R)  
订购热线:400-901-9800
订购邮箱:sales@bioss.com.cn
订购QQ:  400-901-9800
技术支持:techsupport@bioss.com.cn
50ul/1180.00元
100ul/1980.00元
200ul/2800.00元
大包装/询价

产品编号 bs-12653R
英文名称 SMARCA5 Rabbit pAb
中文名称 SMARCA5抗体
别    名 SMCA5_HUMAN; SWI/SNF-related matrix-associated actin-dependent regulator of chromatin subfamily A member 5; WCRF135; EC:3.6.4.-; SWI/SNF-related matrix-associated actin-dependent regulator of chromatin A5; Sucrose nonfermenting protein 2 homolog(hSNF2H); SNF2H;  
研究领域 细胞生物  表观遗传学  
抗体来源 Rabbit
克隆类型 Polyclonal
克 隆 号
交叉反应 Human,Mouse,Rat (predicted: Rabbit,Pig,Sheep,Cow,Zebrafish,Chicken,Dog,GuineaPig,Horse)
产品应用 WB=1:500-2000,IHC-P=1:100-500,IHC-F=1:100-500,IF=1:100-500
not yet tested in other applications.
optimal dilutions/concentrations should be determined by the end user.
理论分子量 122 kDa
检测分子量
细胞定位 细胞核 
性    状 Liquid
浓    度 1mg/ml
免 疫 原 KLH conjugated synthetic peptide derived from human SMARCA5: 901-1000/1052 
亚    型 IgG
纯化方法 affinity purified by Protein A
缓 冲 液 0.01M TBS (pH7.4) with 1% BSA, 0.02% Proclin300 and 50% Glycerol.
保存条件 Shipped at 4℃. Store at -20℃ for one year. Avoid repeated freeze/thaw cycles.
注意事项 This product as supplied is intended for research use only, not for use in human, therapeutic or diagnostic applications.
PubMed PubMed
产品介绍 The protein encoded by this gene is a member of the SWI/SNF family of proteins. Members of this family have helicase and ATPase activities and are thought to regulate transcription of certain genes by altering the chromatin structure around those genes. The protein encoded by this gene is a component of the chromatin remodeling and spacing factor RSF, a facilitator of the transcription of class II genes by RNA polymerase II. The encoded protein is similar in sequence to the Drosophila ISWI chromatin remodeling protein. [provided by RefSeq, Jul 2008]

Function:
Helicase that possesses intrinsic ATP-dependent nucleosome-remodeling activity. Complexes containing SMARCA5 are capable of forming ordered nucleosome arrays on chromatin; this may require intact histone H4 tails. Also required for replication of pericentric heterochromatin in S-phase specifically in conjunction with BAZ1A. Probably plays a role in repression of polI dependent transcription of the rDNA locus, through the recruitment of the SIN3/HDAC1 corepressor complex to the rDNA promoter. Essential component of the WICH complex, a chromatin remodeling complex that mobilizes nucleosomes and reconfigures irregular chromatin to a regular nucleosomal array structure. The WICH complex regulates the transcription of various genes, has a role in RNA polymerase I and RNA polymerase III transcription, mediates the histone H2AX phosphorylation at 'Tyr-142', and is involved in the maintenance of chromatin structures during DNA replication processes. Essential component of the NoRC (nucleolar remodeling complex) complex, a complex that mediates silencing of a fraction of rDNA by recruiting histone-modifying enzymes and DNA methyltransferases, leading to heterochromatin formation and transcriptional silencing.

Subcellular Location:
Nucleus.

Tissue Specificity:
Ubiquitously expressed.

DISEASE:
Developmental stage;
Overexpressed in CD34-positive erythrocyte progenitor cells in acute myeloid leukemia. Down-regulation correlates with hematologic remission following chemotherapy.

Similarity:
Belongs to the SNF2/RAD54 helicase family.
ISWI subfamily.
Contains 1 helicase ATP-binding domain.
Contains 1 helicase C-terminal domain.
Contains 2 SANT domains.

SWISS:
O60264

Gene ID:
8467

Database links:

Entrez Gene: 8467 Human

Entrez Gene: 93762 Mouse

Entrez Gene: 307766 Rat

SwissProt: O60264 Human

SwissProt: Q91ZW3 Mouse



产品图片
Sample: Panc-1(Human) Cell Lysate at 30 ug Primary: Anti-SNF2H (bs-12653R) at 1/1000 dilution Secondary: IRDye800CW Goat Anti-Rabbit IgG at 1/20000 dilution Predicted band size: 122 kD Observed band size: 127 kD
Sample: Lane 1: Mouse Testis tissue lysates Lane 2: Rat Testis tissue lysates Primary: Anti-SNF2H (bs-12653R) at 1/1000 dilution Secondary: IRDye800CW Goat Anti-Rabbit IgG at 1/20000 dilution Predicted band size: 122 kDa Observed band size: 130 kDa
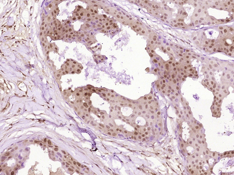
Paraformaldehyde-fixed, paraffin embedded (Human liver carcinoma); Antigen retrieval by boiling in sodium citrate buffer (pH6.0) for 15min; Block endogenous peroxidase by 3% hydrogen peroxide for 20 minutes; Blocking buffer (normal goat serum) at 37°C for 30min; Antibody incubation with (SNF2H) Polyclonal Antibody, Unconjugated (bs-12653R) at 1:400 overnight at 4°C, followed by operating according to SP Kit(Rabbit) (sp-0023) instructionsand DAB staining.
Paraformaldehyde-fixed, paraffin embedded (Human breast carcinoma); Antigen retrieval by boiling in sodium citrate buffer (pH6.0) for 15min; Block endogenous peroxidase by 3% hydrogen peroxide for 20 minutes; Blocking buffer (normal goat serum) at 37°C for 30min; Antibody incubation with (SNF2H) Polyclonal Antibody, Unconjugated (bs-12653R) at 1:400 overnight at 4°C, followed by operating according to SP Kit(Rabbit) (sp-0023) instructionsand DAB staining.
版权所有 2004-2026 www.bioss.com.cn 北京博奥森生物技术有限公司
通过国际质量管理体系ISO 9001:2015 GB/T 19001-2016    证书编号: 00124Q34771R2M/1100
通过国际医疗器械-质量管理体系ISO 13485:2016 GB/T 42061-2022     证书编号: CQC24QY20047R0M/1100
京ICP备05066980号-1         京公网安备110107000727号