扫码关注公众号           扫码咨询技术支持           扫码咨询技术服务
  
客服热线:400-901-9800  客服QQ:4009019800  技术答疑  技术支持  质量反馈  关于我们  联系我们
产品中心-北京博奥森生物技术有限公司
首页 > 产品中心 > 一抗 > 产品信息
PLK2 Rabbit pAb (bs-12730R)  
订购热线:400-901-9800
订购邮箱:sales@bioss.com.cn
订购QQ:  400-901-9800
技术支持:techsupport@bioss.com.cn
50ul/1180.00元
100ul/1980.00元
200ul/2800.00元
大包装/询价

产品编号 bs-12730R
英文名称 PLK2 Rabbit pAb
中文名称 丝氨酸/苏氨酸蛋白激酶Plk2抗体
别    名 hPlk2; hSNK; PLK-2; Plk2; PLK2_HUMAN; Polo like kinase 2; Polo-like kinase 2; Serine/threonine protein kinase PLK2; Serine/threonine protein kinase SNK; Serine/threonine-protein kinase PLK2; Serine/threonine-protein kinase SNK; Serum Induced Kinase; Serum-inducible kinase; SNK.  
研究领域 细胞生物  信号转导  激酶和磷酸酶  
抗体来源 Rabbit
克隆类型 Polyclonal
克 隆 号
交叉反应 Human,Mouse (predicted: Rat,Pig,Sheep,Cow,Zebrafish,Dog,Horse)
产品应用 WB=1:500-2000,IHC-P=1:100-500,IHC-F=1:100-500,IF=1:100-500
not yet tested in other applications.
optimal dilutions/concentrations should be determined by the end user.
理论分子量 78 kDa
检测分子量
细胞定位 细胞浆 
性    状 Liquid
浓    度 1mg/ml
免 疫 原 KLH conjugated synthetic peptide derived from human PLK2: 301-400/685 
亚    型 IgG
纯化方法 affinity purified by Protein A
缓 冲 液 0.01M TBS (pH7.4) with 1% BSA, 0.02% Proclin300 and 50% Glycerol.
保存条件 Shipped at 4℃. Store at -20℃ for one year. Avoid repeated freeze/thaw cycles.
注意事项 This product as supplied is intended for research use only, not for use in human, therapeutic or diagnostic applications.
PubMed PubMed
产品介绍 The protein encoded by this gene is a member of the polo family of serine/threonine protein kinases that have a role in normal cell division. This gene is most abundantly expressed in testis, spleen and fetal tissues, and its expression is inducible by serum, suggesting that it may also play an important role in cells undergoing rapid cell division. Alternatively spliced transcript variants encoding different isoforms have been found for this gene. [provided by RefSeq, Nov 2011]

Function:
May play a role in the division of at least some cell types, such as fibroblasts, and could function in embryogenesis, wound healing or neoplasia.

Post-translational modifications:
Catalytic activity is enhanced by phosphorylation of Thr-239.

Similarity:
Belongs to the protein kinase superfamily.
Ser/Thr protein kinase family.
CDC5/Polo subfamily.
Contains 2 POLO box domains.
Contains 1 protein kinase domain.

SWISS:
Q9NYY3

Gene ID:
10769

Database links:

Entrez Gene: 10769 Human

Entrez Gene: 20620 Mouse

Entrez Gene: 83722 Rat

Omim: 607023 Human

SwissProt: Q9NYY3 Human

SwissProt: P53351 Mouse

SwissProt: Q9R012 Rat

Unigene: 398157 Human

Unigene: 658132 Human

Unigene: 380 Mouse

Unigene: 12100 Rat



产品图片
Sample: MCF-7(Human) Cell Lysate at 40 ug Primary: Anti-PLK2 (bs-12730R) at 1/300 dilution Secondary: IRDye800CW Goat Anti-Rabbit IgG at 1/20000 dilution Predicted band size: 78 kD Observed band size: 78 kD
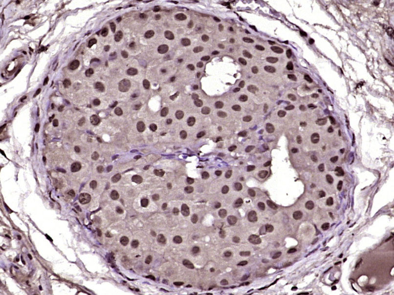
Paraformaldehyde-fixed, paraffin embedded (Human breast carcinoma); Antigen retrieval by boiling in sodium citrate buffer (pH6.0) for 15min; Block endogenous peroxidase by 3% hydrogen peroxide for 20 minutes; Blocking buffer (normal goat serum) at 37°C for 30min; Antibody incubation with (PLK2) Polyclonal Antibody, Unconjugated (bs-12730R) at 1:400 overnight at 4°C, followed by operating according to SP Kit(Rabbit) (sp-0023) instructionsand DAB staining.
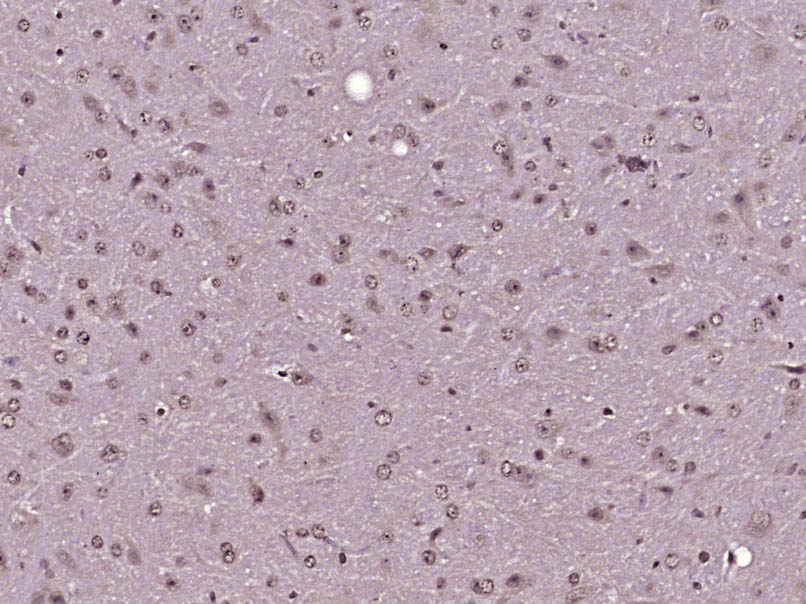
Paraformaldehyde-fixed, paraffin embedded (Mouse brain); Antigen retrieval by boiling in sodium citrate buffer (pH6.0) for 15min; Block endogenous peroxidase by 3% hydrogen peroxide for 20 minutes; Blocking buffer (normal goat serum) at 37°C for 30min; Antibody incubation with (PLK2) Polyclonal Antibody, Unconjugated (bs-12730R) at 1:400 overnight at 4°C, followed by operating according to SP Kit(Rabbit) (sp-0023) instructionsand DAB staining.
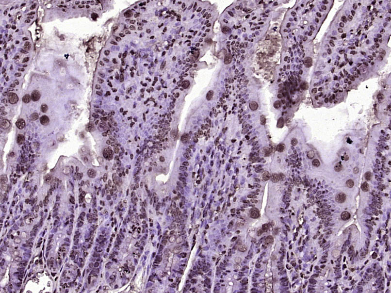
Paraformaldehyde-fixed, paraffin embedded (Mouse intestine); Antigen retrieval by boiling in sodium citrate buffer (pH6.0) for 15min; Block endogenous peroxidase by 3% hydrogen peroxide for 20 minutes; Blocking buffer (normal goat serum) at 37°C for 30min; Antibody incubation with (PLK2) Polyclonal Antibody, Unconjugated (bs-12730R) at 1:400 overnight at 4°C, followed by operating according to SP Kit(Rabbit) (sp-0023) instructionsand DAB staining.
版权所有 2004-2026 www.bioss.com.cn 北京博奥森生物技术有限公司
通过国际质量管理体系ISO 9001:2015 GB/T 19001-2016    证书编号: 00124Q34771R2M/1100
通过国际医疗器械-质量管理体系ISO 13485:2016 GB/T 42061-2022     证书编号: CQC24QY20047R0M/1100
京ICP备05066980号-1         京公网安备110107000727号