扫码关注公众号           扫码咨询技术支持           扫码咨询技术服务
  
客服热线:400-901-9800  客服QQ:4009019800  技术答疑  技术支持  质量反馈  人才招聘  关于我们  联系我们
产品中心-北京博奥森生物技术有限公司
首页 > 产品中心 > 一抗 > 产品信息
PLVAP Rabbit pAb (bs-12737R)  
订购热线:400-901-9800
订购邮箱:sales@bioss.com.cn
订购QQ:  400-901-9800
技术支持:techsupport@bioss.com.cn
50ul/1180.00元
100ul/1980.00元
200ul/2800.00元
大包装/询价

产品编号 bs-12737R
英文名称 PLVAP Rabbit pAb
中文名称 质膜囊泡相关蛋白抗体
别    名 DIAR10; FELS; PV-1; PV1; gp68; PLVAP_HUMAN; PLVAP; Fenestrated endothelial-linked structure protein; Plasmalemma vesicle protein 1 (PV-1); plasmalemma vesicle associated protein; fenestrated-endothelial linked structure protein; PV-1 protein  
Specific References  (2)     |     bs-12737R has been referenced in 2 publications.
[IF=17.521] Hao Sun. et al. Silencing of NOTCH3 Signaling in Meniscus Smooth Muscle Cells Inhibits Fibrosis and Exacerbates Degeneration in a HEYL-Dependent Manner. Advanced Science. 2023 Apr;:2207020  IHC ;  Human.  
[IF=3.599] Li Kai. et al. A procedure in mice to obtain intact pituitary-infundibulum-hypothalamus preparations: a method to evaluate the reconstruction of hypothalamohypophyseal system. PITUITARY. 2023 Mar;:1-12  IF ;  Mouse.  
研究领域 细胞生物  信号转导  
抗体来源 Rabbit
克隆类型 Polyclonal
交叉反应 Mouse,Rat (predicted: Human,Sheep,Cow,Dog)
产品应用 WB=1:500-2000,IHC-P=1:100-500,IHC-F=1:100-500,IF=1:100-500
not yet tested in other applications.
optimal dilutions/concentrations should be determined by the end user.
理论分子量 50kDa
检测分子量 62
细胞定位 细胞膜 
性    状 Liquid
浓    度 1mg/ml
免 疫 原 KLH conjugated synthetic peptide derived from human PLVAP: 301-400/442 
亚    型
纯化方法 affinity purified by Protein A
缓 冲 液 0.01M TBS (pH7.4) with 1% BSA, 0.02% Proclin300 and 50% Glycerol.
保存条件 Shipped at 4℃. Store at -20℃ for one year. Avoid repeated freeze/thaw cycles.
注意事项 This product as supplied is intended for research use only, not for use in human, therapeutic or diagnostic applications.
PubMed PubMed
产品介绍 PLVAP (Plasmalemma Vesicle Associated Protein) is a Protein Coding gene. Diseases associated with PLVAP include Breast Benign Neoplasm and Thoracic Benign Neoplasm. GO annotations related to this gene include protein homodimerization activity.

Function:
Involved in the formation of stomatal and fenestral diaphragms of caveolae. May function in microvascular permeability.

Subcellular Location:
Cell membrane. Membrane > caveola. Cytoplasm > perinuclear region. Membrane-associated protein of caveolae. Found in fenestral and stomatal diaphragms in fenestrated endothelia and transendothelial channels. Also colocalized with CAV1 in perinuclear region.

Tissue Specificity:
Expressed in lung, kidney, heart, aorta, placenta, muscle, pituitary gland, adrenals, mammary gland, bladder, lymph node, bone marrow, trachea, digestive tract, liver and tumor-associated endothelium.

SWISS:
Q9BX97

Gene ID:
83483

Database links:

Entrez Gene: 83483 Human

Omim: 607647 Human

SwissProt: Q9BX97 Human

Unigene: 107125 Human



产品图片
Sample: Lane 1: Mouse Prostate tissue lysates Lane 2: Mouse Large intestine tissue lysates Primary: Anti-PLVAP (bs-12737R) at 1/1000 dilution Secondary: IRDye800CW Goat Anti-Rabbit IgG at 1/20000 dilution Predicted band size: 50 kDa Observed band size: 62 kDa
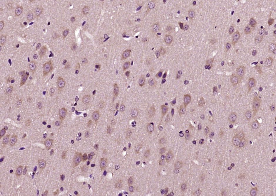
Paraformaldehyde-fixed, paraffin embedded (Rat brain); Antigen retrieval by boiling in sodium citrate buffer (pH6.0) for 15min; Block endogenous peroxidase by 3% hydrogen peroxide for 20 minutes; Blocking buffer (normal goat serum) at 37°C for 30min; Antibody incubation with (PLVAP) Polyclonal Antibody, Unconjugated (bs-12737R) at 1:400 overnight at 4°C, followed by operating according to SP Kit(Rabbit) (sp-0023) instructionsand DAB staining.
Paraformaldehyde-fixed, paraffin embedded (Rat colon); Antigen retrieval by boiling in sodium citrate buffer (pH6.0) for 15min; Block endogenous peroxidase by 3% hydrogen peroxide for 20 minutes; Blocking buffer (normal goat serum) at 37°C for 30min; Antibody incubation with (PLVAP) Polyclonal Antibody, Unconjugated (bs-12737R) at 1:400 overnight at 4°C, followed by a conjugated Goat Anti-Rabbit IgG antibody (bs-0295G-FITC) for 90 minutes, and DAPI for nuclei staining.
版权所有 2004-2026 www.bioss.com.cn 北京博奥森生物技术有限公司
通过国际质量管理体系ISO 9001:2015 GB/T 19001-2016    证书编号: 00124Q34771R2M/1100
通过国际医疗器械-质量管理体系ISO 13485:2016 GB/T 42061-2022     证书编号: CQC24QY20047R0M/1100
京ICP备05066980号-1         京公网安备110107000727号