扫码关注公众号           扫码咨询技术支持           扫码咨询技术服务
  
客服热线:400-901-9800  客服QQ:4009019800  技术答疑  技术支持  质量反馈  关于我们  联系我们
产品中心-北京博奥森生物技术有限公司
首页 > 产品中心 > 一抗 > 产品信息
ZNF197 Rabbit pAb (bs-12797R)  
订购热线:400-901-9800
订购邮箱:sales@bioss.com.cn
订购QQ:  400-901-9800
技术支持:techsupport@bioss.com.cn
50ul/1180.00元
100ul/1980.00元
200ul/2800.00元
大包装/询价

产品编号 bs-12797R
英文名称 ZNF197 Rabbit pAb
中文名称 锌指蛋白197抗体
别    名 D3S1363E; OTTHUMP00000164119; P18; VHL associated KRAB A domain containing protein; VHLaK; Zinc finger protein 166; Zinc finger protein 197; Zinc finger protein 20; Zinc finger protein with KRAB and SCAN domains 9; ZKSCAN9; ZNF166; ZNF20.  
研究领域 细胞生物  转录调节因子  锌指蛋白  表观遗传学  
抗体来源 Rabbit
克隆类型 Polyclonal
克 隆 号
交叉反应 Human (predicted: Rat,Cow,Cat,Horse)
产品应用 IHC-P=1:100-500,IHC-F=1:100-500,IF=1:100-500
not yet tested in other applications.
optimal dilutions/concentrations should be determined by the end user.
理论分子量 119 kDa
检测分子量
细胞定位 细胞核 
性    状 Liquid
浓    度 1mg/ml
免 疫 原 KLH conjugated synthetic peptide derived from human ZNF197: 231-330/1029 
亚    型 IgG
纯化方法 affinity purified by Protein A
缓 冲 液 0.01M TBS (pH7.4) with 1% BSA, 0.02% Proclin300 and 50% Glycerol.
保存条件 Shipped at 4℃. Store at -20℃ for one year. Avoid repeated freeze/thaw cycles.
注意事项 This product as supplied is intended for research use only, not for use in human, therapeutic or diagnostic applications.
PubMed PubMed
产品介绍 This gene product belongs to the zinc finger protein superfamily, members of which are regulatory proteins characterized by nucleic acid-binding zinc finger domains. The encoded protein contains 20 tandemly arrayed C2H2-type zinc fingers, a Kruppel-associated box (KRAB) domain, and a SCAN box. This transcript turns over rapidly and contains 3' UTR AUUUA motifs, which are often a hallmark of rapid turnover. It is overexpressed in some thyroid papillary carcinomas. This gene is located in a cluster of zinc finger genes at 3p21. Two alternatively spliced transcripts encoding different isoforms have been described. [provided by RefSeq, Jul 2008]

Function:
May be involved in transcriptional regulation.

Subcellular Location:
Nuclear

Similarity:
Belongs to the krueppel C2H2-type zinc-finger protein family.
Contains 22 C2H2-type zinc fingers.
Contains 1 KRAB domain.
Contains 1 SCAN box domain.

SWISS:
O14709

Gene ID:
10168

Database links:

Entrez Gene: 515564 Cow

Entrez Gene: 10168 Human

SwissProt: O14709 Human



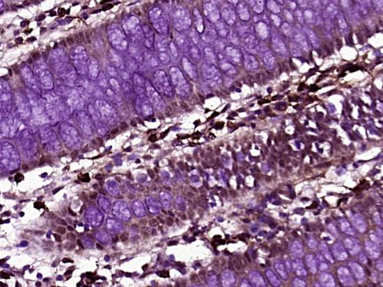
产品图片
Paraformaldehyde-fixed, paraffin embedded (Human colon cancer); Antigen retrieval by boiling in sodium citrate buffer (pH6.0) for 15min; Block endogenous peroxidase by 3% hydrogen peroxide for 20 minutes; Blocking buffer (normal goat serum) at 37°C for 30min; Antibody incubation with (ZNF197) Polyclonal Antibody, Unconjugated (bs-12797R ZNF197) at 1:400 overnight at 4°C, followed by operating according to SP Kit(Rabbit) (sp-0023) instructionsand DAB staining.
版权所有 2004-2026 www.bioss.com.cn 北京博奥森生物技术有限公司
通过国际质量管理体系ISO 9001:2015 GB/T 19001-2016    证书编号: 00124Q34771R2M/1100
通过国际医疗器械-质量管理体系ISO 13485:2016 GB/T 42061-2022     证书编号: CQC24QY20047R0M/1100
京ICP备05066980号-1         京公网安备110107000727号