扫码关注公众号           扫码咨询技术支持           扫码咨询技术服务
  
客服热线:400-901-9800  客服QQ:4009019800  技术答疑  技术支持  质量反馈  关于我们  联系我们
产品中心-北京博奥森生物技术有限公司
首页 > 产品中心 > 一抗 > 产品信息
ZP2 Rabbit pAb (bs-20812R)  
订购热线:400-901-9800
订购邮箱:sales@bioss.com.cn
订购QQ:  400-901-9800
技术支持:techsupport@bioss.com.cn
50ul/1180.00元
100ul/1980.00元
200ul/2800.00元
大包装/询价

产品编号 bs-20812R
英文名称 ZP2 Rabbit pAb
中文名称 卵透明带糖蛋白2抗体
别    名 OTTHUMP00000115849; Processed zona pellucida sperm-binding protein 2; Zona pellucida glycoprotein 2; zona pellucida glycoprotein ZP2; Zona pellucida protein A; Zp-2; ZP2; ZP2_HUMAN; ZP2_MOUSE; ZPA.  
Specific References  (1)     |     bs-20812R has been referenced in 1 publications.
[IF=3.777] Ling Shuai. et al. Hydroxychloroquine protects against autoimmune premature ovarian insufficiency by modulating the Treg/Th17 cell ratio in BALB/c mice. AM J REPROD IMMUNOL. 2023 Feb;:  IHC ;  Mouse.  
研究领域 细胞生物  发育生物学  干细胞  
抗体来源 Rabbit
克隆类型 Polyclonal
克 隆 号
交叉反应 Mouse,Rat
产品应用 IHC-P=1:100-500,IHC-F=1:100-500,IF=1:100-500
not yet tested in other applications.
optimal dilutions/concentrations should be determined by the end user.
理论分子量 76 kDa
检测分子量
细胞定位 分泌型蛋白 
性    状 Liquid
浓    度 1mg/ml
免 疫 原 KLH conjugated synthetic peptide derived from mouse ZP2 <Extracellular>
亚    型 IgG
纯化方法 affinity purified by Protein A
缓 冲 液 0.01M TBS (pH7.4) with 1% BSA, 0.02% Proclin300 and 50% Glycerol.
保存条件 Shipped at 4℃. Store at -20℃ for one year. Avoid repeated freeze/thaw cycles.
注意事项 This product as supplied is intended for research use only, not for use in human, therapeutic or diagnostic applications.
PubMed PubMed
产品介绍 The zona pellucida is an extracellular matrix that surrounds the oocyte and early embryo. It is composed of three glycoproteins with various functions during fertilization and preimplantation development. The glycosylated mature peptide is one of the structural components of the zona pellucida and functions in secondary binding and penetration of acrosome-reacted spermatozoa. Female mice lacking this gene do not form a stable zona matrix and are sterile. Alternative splicing results in multiple transcript variants. [provided by RefSeq, Feb 2014]

Function:
The mammalian zona pellucida, which mediates species-specific sperm binding, induction of the acrosome reaction and prevents post-fertilization polyspermy, is composed of three to four glycoproteins, ZP1, ZP2, ZP3, and ZP4. ZP2 may act as a secondary sperm receptor.

Subunit:
Polymers of ZP2 and ZP3 organized into long filaments cross-linked by ZP1 homodimers.

Subcellular Location:
Cell membrane; Single-pass type I membrane protein. Processed zona pellucida sperm-binding protein 2: Secreted, extracellular space, extracellular matrix. Note=The glycoproteinaceous translucent extracellular matrix that surrounds the mammalian oocyte is called zona pellucida.

Tissue Specificity:
Oocytes.

DISEASE:
Proteolytically cleaved before the transmembrane segment to yield the secreted ectodomain incorporated in the zona pellucida.
Proteolytically cleaved in the N-terminal part after fertilization, yielding a N-terminal peptide of about 30 kDa which remains covalently attached to the C-terminal peptide via disulfide bond(s). This cleavage may play an important role in the post-fertilization block to polyspermy.
O-glycosylated; contains sulfate-substituted glycans.

Similarity:
Belongs to the ZP domain family.
ZPA subfamily.
Contains 1 ZP domain.

Database links:

Entrez Gene: 7783 Human

Omim: 182888 Human

SwissProt: Q05996 Human

Unigene: 73982 Human



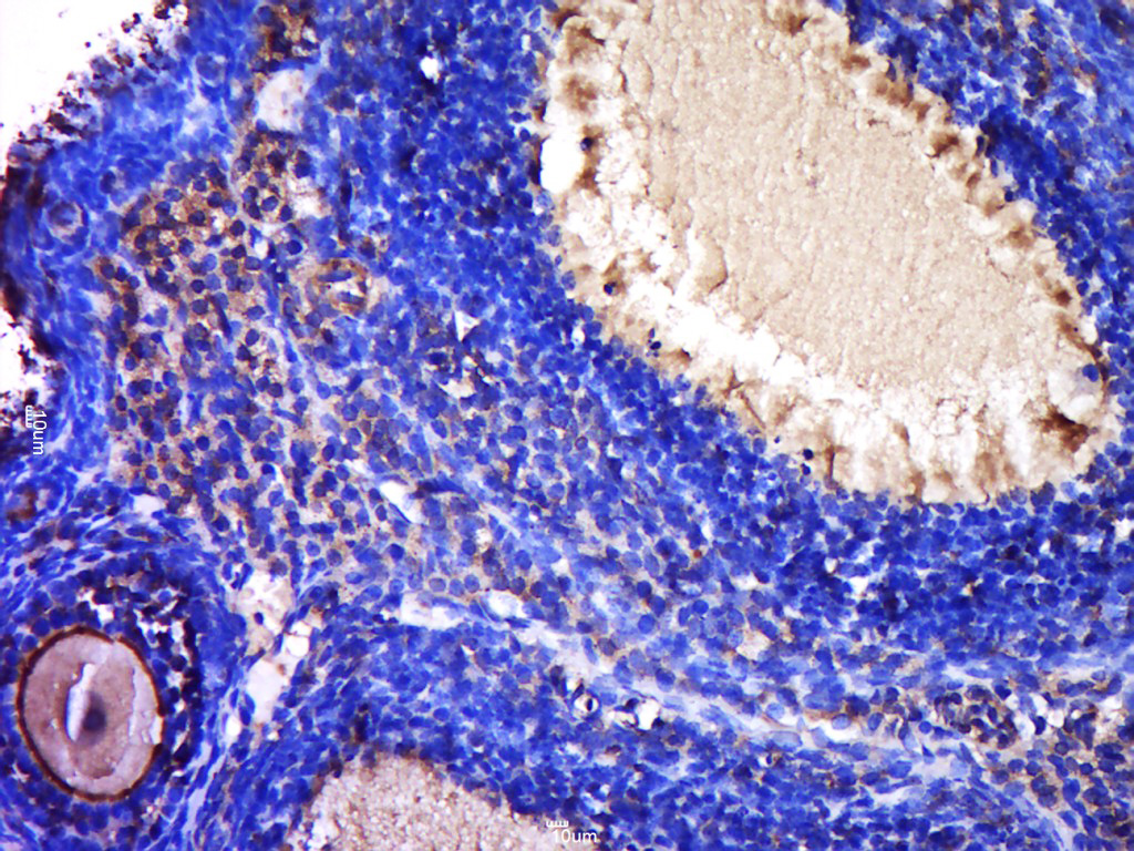
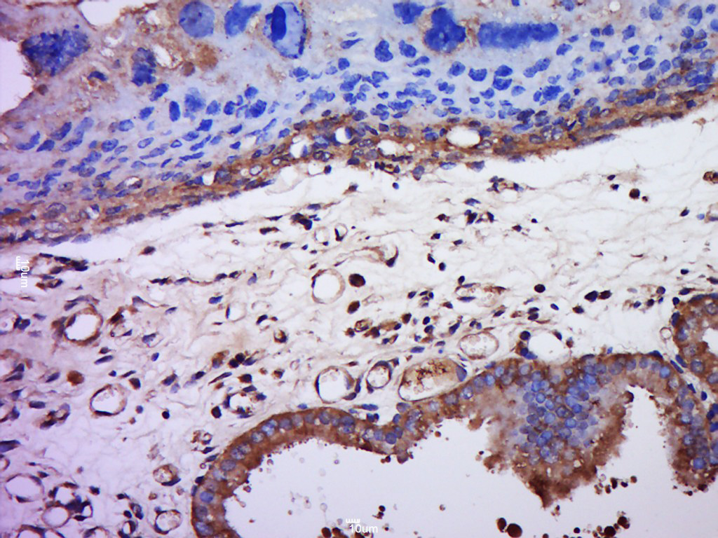
产品图片
Paraformaldehyde-fixed, paraffin embedded (Mouse placenta); Antigen retrieval by boiling in sodium citrate buffer (pH6.0) for 15min; Block endogenous peroxidase by 3% hydrogen peroxide for 20 minutes; Blocking buffer (normal goat serum) at 37°C for 30min; Antibody incubation with (Processed zona pellucida sperm-binding protein 2; ZP2) Polyclonal Antibody, Unconjugated (bs-20812R) at 1:400 overnight at 4°C, followed by a conjugated secondary (sp-0023) for 20 minutes and DAB staining.
Paraformaldehyde-fixed, paraffin embedded (Rat ovary); Antigen retrieval by boiling in sodium citrate buffer (pH6.0) for 15min; Block endogenous peroxidase by 3% hydrogen peroxide for 20 minutes; Blocking buffer (normal goat serum) at 37°C for 30min; Antibody incubation with (Processed zona pellucida sperm-binding protein 2; ZP2) Polyclonal Antibody, Unconjugated (bs-20812R) at 1:400 overnight at 4°C, followed by a conjugated secondary (sp-0023) for 20 minutes and DAB staining.
版权所有 2004-2026 www.bioss.com.cn 北京博奥森生物技术有限公司
通过国际质量管理体系ISO 9001:2015 GB/T 19001-2016    证书编号: 00124Q34771R2M/1100
通过国际医疗器械-质量管理体系ISO 13485:2016 GB/T 42061-2022     证书编号: CQC24QY20047R0M/1100
京ICP备05066980号-1         京公网安备110107000727号