扫码关注公众号           扫码咨询技术支持           扫码咨询技术服务
  
客服热线:400-901-9800  客服QQ:4009019800  技术答疑  技术支持  质量反馈  人才招聘  关于我们  联系我们
产品中心-北京博奥森生物技术有限公司
首页 > 产品中心 > 一抗 > 产品信息
ADAMTS6 Rabbit pAb (bs-8009R)  
订购热线:400-901-9800
订购邮箱:sales@bioss.com.cn
订购QQ:  400-901-9800
技术支持:techsupport@bioss.com.cn
50ul/1180.00元
100ul/1980.00元
200ul/2800.00元
大包装/询价

产品编号 bs-8009R
英文名称 ADAMTS6 Rabbit pAb
中文名称 整合素样金属蛋白酶与凝血酶样6蛋白抗体
别    名 ADAM-TS 6; ADAM-TS6; ADAMTS-6; A930019D11Rik; b2b1879.1Clo; b2b2029Clo; b2b2182Clo; b2b2187.1Clo; b2b2228Clo; ATS6_HUMAN; ADAMTS6; 3.4.24.-; ADAM metallopeptidase with thrombospondin type 1 motif 6; a disintegrin-like and metalloprotease (reprolysin type) with thrombospondin type 1 motif, 6; a disintegrin and metalloproteinase with thrombospondin motifs 6  
研究领域 细胞生物  免疫学  信号转导  
抗体来源 Rabbit
克隆类型 Polyclonal
交叉反应 Human,Rat (predicted: Mouse,Rabbit,Pig,Sheep,Cow,Chicken,Dog,Horse)
产品应用 WB=1:500-2000,IHC-P=1:100-500,IHC-F=1:100-500,IF=1:100-500
not yet tested in other applications.
optimal dilutions/concentrations should be determined by the end user.
理论分子量 97kDa
检测分子量 125
细胞定位 分泌型蛋白 
性    状 Liquid
浓    度 1mg/ml
免 疫 原 KLH conjugated synthetic peptide derived from human ADAMTS6: 231-330/1117 
亚    型 IgG
纯化方法 affinity purified by Protein A
缓 冲 液 Preservative: 0.02% Proclin300, Constituents: 1% BSA, 0.01M PBS, pH7.4.
保存条件 Shipped at 4℃. Store at -20℃ for one year. Avoid repeated freeze/thaw cycles.
注意事项 This product as supplied is intended for research use only, not for use in human, therapeutic or diagnostic applications.
PubMed PubMed
产品介绍 This gene encodes a member of the ADAMTS (a disintegrin and metalloproteinase with thrombospondin motifs) protein family. Members of the family share several distinct protein modules, including a propeptide region, a metalloproteinase domain, a disintegrin-like domain, and a thrombospondin type 1 (TS) motif. Individual members of this family differ in the number of C-terminal TS motifs, and some have unique C-terminal domains. [provided by RefSeq, Jul 2008]

Function:
ADAMTS6 was first described along with ADAMTS5 and ADAMTS7 in database searches for proteases containing the metalloprotease domain signature. A member of the metalloproteinase family containing disintegrin-like domains (ADAMs) the function of ADAMTS6 is still poorly understood, and as of this writing no substrates have been shown to be cleaved by ADAMTS6. ADAMTS6 contains the canonical HExxHxxxxxH zinc metalloproteinase motif, and is likely to be an active protease. In addition to the metalloprotease domain, ADAMTS6 has a propeptide domain, a Prohormone Convertase (PC, furin) cleavage site, a cysteine-rich domain, a spacer domain and five thrombospondin 1 like domains. The domain structure of ADAMTS6 is thus most like ADAMTS16 and ADAMTS19. ADAMTS6 does not have a transmembrane domain, unlike many of the ADAMs proteases, and is a secreted protein. Other ADAMTSs family members (ADAMTS4, ADAMTS5) have been more thoroughly studied, and are known to play key roles in aggrecan turnover. Analysis of breast cancer cell lines and RPE cells in the eye show elevated expression of ADAMTS6, and the original paper cited low levels of expression in the placenta. Three human sequences are currently reported, 1117, 860 and 468 amino acids in length respectively. The 860 amino acid sequence has a shorter spacer after the catalytic domain, and ends in the second thrombospondin domain. The 468 amino acid sequence ends at the start of the disintegrin domain. It remains to be seen where these different splice variants are expressed. The 1117 amino acid protein has a predicted mass of 125.27 kDa, the 860 form 97.11 kDa and the 468 form 53.12 kDa, but glycosylation and the abundance of cysteine residues gives ADAMTS6 a greater apparent molecular weight on reduced SDS PAGE gels. The furin consensus motif in ADAMTS6 means that the protein is likely to be cleaved when it is secreted.

Subcellular Location:
Secreted protein; extracellular space; extracellular matrix.

Tissue Specificity:
Expressed at low levels in placenta and barely detectable in a number of other tissues.

Post-translational modifications:
The precursor is cleaved by a furin endopeptidase.
Glycosylated. Can be O-fucosylated by POFUT2 on a serine or a threonine residue found within the consensus sequence C1-X(2)-(S/T)-C2-G of the TSP type-1 repeat domains where C1 and C2 are the first and second cysteine residue of the repeat, respectively. Fucosylated repeats can then be further glycosylated by the addition of a beta-1,3-glucose residue by the glucosyltransferase, B3GALTL. Fucosylation mediates the efficient secretion of ADAMTS family members. Also can be C-glycosylated with one or two mannose molecules on tryptophan residues within the consensus sequence W-X-X-W of the TPRs, and N-glycosylated. These other glycosylations can also facilitate secretion (By similarity).

DISEASE:
Isoform 1 and isoform 2 expressions are up-regulated by TNF in retinal pigment epithelial cells.

Similarity:
Contains 1 disintegrin domain. Contains 1 peptidase M12B domain. Contains 1 PLAC domain. Contains 5 TSP type-1 domains.

SWISS:
Q9UKP5

Gene ID:
11174

Database links:

Entrez Gene: 11174 Human

Entrez Gene: 108154 Mouse

Entrez Gene: 361886 Rat

Omim: 605008 Human

SwissProt: Q9UKP5 Human

Unigene: 482291 Human

Unigene: 208125 Mouse



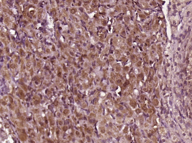
产品图片
Sample: U251 (Human)CellLysate at 40 ug Hela (Human) CellLysate at 40 ug Primary: Anti-ADAMTS6(bs-8009R)at 1/300 dilution Secondary: IRDye800CW Goat Anti-RabbitIgG at 1/20000 dilution Predicted band size: 97kD Observed band size: 125kD
Paraformaldehyde-fixed, paraffin embedded (rat ovary tissue); Antigen retrieval by boiling in sodium citrate buffer (pH6.0) for 15min; Block endogenous peroxidase by 3% hydrogen peroxide for 20 minutes; Blocking buffer (normal goat serum) at 37°C for 30min; Antibody incubation with (ADAMTS6) Polyclonal Antibody, Unconjugated (bs-8009R) at 1:400 overnight at 4°C, followed by operating according to SP Kit(Rabbit) (sp-0023) instructionsand DAB staining.
版权所有 2004-2026 www.bioss.com.cn 北京博奥森生物技术有限公司
通过国际质量管理体系ISO 9001:2015 GB/T 19001-2016    证书编号: 00124Q34771R2M/1100
通过国际医疗器械-质量管理体系ISO 13485:2016 GB/T 42061-2022     证书编号: CQC24QY20047R0M/1100
京ICP备05066980号-1         京公网安备110107000727号