扫码关注公众号           扫码咨询技术支持           扫码咨询技术服务
  
客服热线:400-901-9800  客服QQ:4009019800  技术答疑  技术支持  质量反馈  关于我们  联系我们
产品中心-北京博奥森生物技术有限公司
首页 > 产品中心 > 一抗 > 产品信息
ZNF710 Rabbit pAb (bs-4373R)  
订购热线:400-901-9800
订购邮箱:sales@bioss.com.cn
订购QQ:  400-901-9800
技术支持:techsupport@bioss.com.cn
50ul/1180.00元
100ul/1980.00元
200ul/2800.00元
大包装/询价

产品编号 bs-4373R
英文名称 ZNF710 Rabbit pAb
中文名称 锌指蛋白710抗体
别    名 DKFZp547K1113; FLJ00306; FLJ37393; MGC163413; Zinc finger protein 710; ZN710_HUMAN; Znf710.  
Specific References  (1)     |     bs-4373R has been referenced in 1 publications.
[IF=2.1] Li G et al. Overexpression of antisense long non‑coding RNA ZNF710‑AS1‑202 promotes cell proliferation and inhibits apoptosis of clear cell renal cell carcinoma via regulation of ZNF710 expression. Mol Med Rep. 2020 Jun;21(6):2502-2512.  WB ;  Human.  
研究领域 转录调节因子  锌指蛋白  表观遗传学  
抗体来源 Rabbit
克隆类型 Polyclonal
克 隆 号
交叉反应 Human,Mouse (predicted: Rat,Pig,Sheep,Cow,Dog,Horse)
产品应用 IHC-P=1:100-500,IHC-F=1:100-500,IF=1:100-500,ICC/IF=1:100-500
not yet tested in other applications.
optimal dilutions/concentrations should be determined by the end user.
理论分子量 75 kDa
检测分子量
细胞定位 细胞核 
性    状 Liquid
浓    度 1mg/ml
免 疫 原 KLH conjugated synthetic peptide derived from human ZNF710: 401-500/664 
亚    型 IgG
纯化方法 affinity purified by Protein A
缓 冲 液 Preservative: 0.02% Proclin300, Constituents: 1% BSA, 0.01M PBS, pH7.4.
保存条件 Shipped at 4℃. Store at -20℃ for one year. Avoid repeated freeze/thaw cycles.
注意事项 This product as supplied is intended for research use only, not for use in human, therapeutic or diagnostic applications.
PubMed PubMed
产品介绍 ZNF710 (Zinc Finger Protein 710) is a Protein Coding gene. Among its related pathways are Gene Expression. GO annotations related to this gene include nucleic acid binding and transcription cofactor activity. An important paralog of this gene is ZNF366.

Function:
May be involved in transcriptional regulation.

Subcellular Location:
Nucleus.

Similarity:
Belongs to the krueppel C2H2-type zinc-finger protein family.
Contains 11 C2H2-type zinc fingers.

SWISS:
Q8N1W2

Gene ID:
374655

Database links:

Entrez Gene: 374655 Human

Entrez Gene: 209225 Mouse

Entrez Gene: 293044 Rat

GenBank: NM_198526 Human

SwissProt: Q8N1W2 Human

SwissProt: Q3U288 Mouse

Unigene: 459311 Human

Unigene: 290925 Mouse



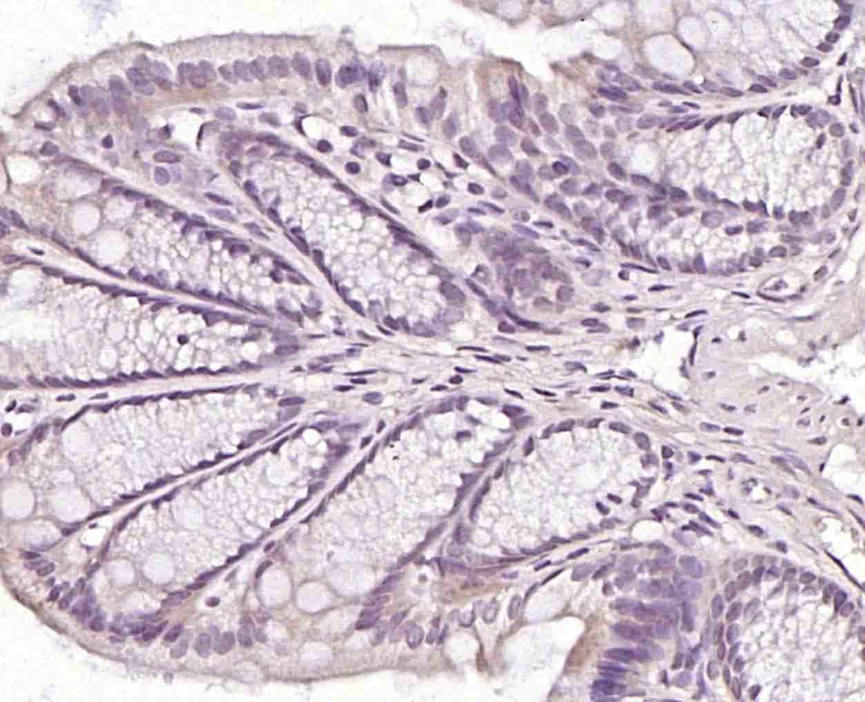
产品图片
Paraformaldehyde-fixed, paraffin embedded (mouse colon); Antigen retrieval by boiling in sodium citrate buffer (pH6.0) for 15min; Block endogenous peroxidase by 3% hydrogen peroxide for 20 minutes; Blocking buffer (normal goat serum) at 37°C for 30min; Incubation with (ZNF710) Polyclonal Antibody, Unconjugated (bs-4373R) at 1:200 overnight at 4°C, followed by operating according to SP Kit(Rabbit) (sp-0023) instructionsand DAB staining.
HepG2 cell; 4% Paraformaldehyde-fixed; Triton X-100 at room temperature for 20 min; Blocking buffer (normal goat serum, C-0005) at 37°C for 20 min; Antibody incubation with (ZNF710) polyclonal Antibody, Unconjugated (bs-4373R) 1:50, 90 minutes at 37°C; followed by a conjugated Goat Anti-Rabbit IgG antibody at 37°C for 90 minutes, DAPI (blue, C02-04002) was used to stain the cell nuclei.
版权所有 2004-2026 www.bioss.com.cn 北京博奥森生物技术有限公司
通过国际质量管理体系ISO 9001:2015 GB/T 19001-2016    证书编号: 00124Q34771R2M/1100
通过国际医疗器械-质量管理体系ISO 13485:2016 GB/T 42061-2022     证书编号: CQC24QY20047R0M/1100
京ICP备05066980号-1         京公网安备110107000727号