扫码关注公众号           扫码咨询技术支持           扫码咨询技术服务
  
客服热线:400-901-9800  客服QQ:4009019800  技术答疑  技术支持  质量反馈  人才招聘  关于我们  联系我们
产品中心-北京博奥森生物技术有限公司
首页 > 产品中心 > 一抗 > 产品信息
PTPN18 Rabbit pAb (bs-4430R)  
订购热线:400-901-9800
订购邮箱:sales@bioss.com.cn
订购QQ:  400-901-9800
技术支持:techsupport@bioss.com.cn
50ul/1180.00元
100ul/1980.00元
200ul/2800.00元
大包装/询价

产品编号 bs-4430R
英文名称 PTPN18 Rabbit pAb
中文名称 脑源性磷酸酶PTPN18抗体
别    名 BDP1; PTP-HSCF; PTN18_HUMAN; PTPN18; Brain-derived phosphatase; 3.1.3.48;   
研究领域 细胞生物  神经生物学  信号转导  激酶和磷酸酶  
抗体来源 Rabbit
克隆类型 Polyclonal
克 隆 号
交叉反应 Mouse (predicted: Human,Rat,Pig,Cow,Horse)
产品应用 IHC-P=1:100-500,IHC-F=1:100-500,IF=1:100-500
not yet tested in other applications.
optimal dilutions/concentrations should be determined by the end user.
理论分子量 50 kDa
细胞定位 细胞核 细胞浆 
性    状 Liquid
浓    度 1mg/ml
免 疫 原 KLH conjugated synthetic peptide derived from human PTPN18: 581-460/460 
亚    型 IgG
纯化方法 affinity purified by Protein A
缓 冲 液 Preservative: 0.02% Proclin300, Constituents: 1% BSA, 0.01M PBS, pH7.4.
保存条件 Shipped at 4℃. Store at -20℃ for one year. Avoid repeated freeze/thaw cycles.
注意事项 This product as supplied is intended for research use only, not for use in human, therapeutic or diagnostic applications.
PubMed PubMed
产品介绍 The protein encoded by this gene is a member of the protein tyrosine phosphatase (PTP) family. PTPs are known to be signaling molecules that regulate a variety of cellular processes including cell growth, differentiation, the mitotic cycle, and oncogenic transformation. This PTP contains a PEST motif, which often serves as a protein-protein interaction domain, and may be related to protein intracellular half-live. This protein can differentially dephosphorylate autophosphorylated tyrosine kinases that are overexpressed in tumor tissues, and it appears to regulate HER2, a member of the epidermal growth factor receptor family of receptor tyrosine kinases. Two transcript variants encoding different isoforms have been found for this gene. [provided by RefSeq, Nov 2008]

Function:
Differentially dephosphorylate autophosphorylated tyrosine kinases which are known to be overexpressed in tumor tissues.

Subcellular Location:
Nucleus. Cytoplasm.

Tissue Specificity:
Expressed in brain, colon and several tumor-derived cell lines.

Similarity:
Belongs to the protein-tyrosine phosphatase family. Non-receptor class 4 subfamily. Contains 1 tyrosine-protein phosphatase domain.

SWISS:
Q99952

Gene ID:
26469

Database links:

Entrez Gene: 26469 Human

Omim: 606587 Human

SwissProt: Q99952 Human

Unigene: 516390 Human

Unigene: 726000 Human



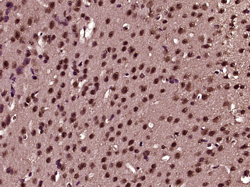
产品图片
Paraformaldehyde-fixed, paraffin embedded (Mouse brain); Antigen retrieval by boiling in sodium citrate buffer (pH6.0) for 15min; Block endogenous peroxidase by 3% hydrogen peroxide for 20 minutes; Blocking buffer (normal goat serum) at 37°C for 30min; Antibody incubation with (PTPN18) Polyclonal Antibody, Unconjugated (bs-4430R) at 1:400 overnight at 4°C, followed by operating according to SP Kit(Rabbit) (sp-0023) instructionsand DAB staining.
版权所有 2004-2026 www.bioss.com.cn 北京博奥森生物技术有限公司
通过国际质量管理体系ISO 9001:2015 GB/T 19001-2016    证书编号: 00124Q34771R2M/1100
通过国际医疗器械-质量管理体系ISO 13485:2016 GB/T 42061-2022     证书编号: CQC24QY20047R0M/1100
京ICP备05066980号-1         京公网安备110107000727号