扫码关注公众号           扫码咨询技术支持           扫码咨询技术服务
  
客服热线:400-901-9800  客服QQ:4009019800  技术答疑  技术支持  质量反馈  人才招聘  关于我们  联系我们
产品中心-北京博奥森生物技术有限公司
首页 > 产品中心 > 一抗 > 产品信息
RABIF Rabbit pAb (bs-21089R)  
订购热线:400-901-9800
订购邮箱:sales@bioss.com.cn
订购QQ:  400-901-9800
技术支持:techsupport@bioss.com.cn
50ul/1180.00元
100ul/1980.00元
200ul/2800.00元
大包装/询价

产品编号 bs-21089R
英文名称 RABIF Rabbit pAb
中文名称 RABIF蛋白抗体
别    名 MSS4; RASGFR3; RASGRF3; MSS4_HUMAN; RABIF; Rab-interacting factor; RAB interacting factor  
研究领域 细胞生物  信号转导  G蛋白信号  
抗体来源 Rabbit
克隆类型 Polyclonal
交叉反应 Rat (predicted: Human,Mouse,Rabbit,Pig)
产品应用 IHC-P=1:100-500,IHC-F=1:100-500,IF=1:100-500
not yet tested in other applications.
optimal dilutions/concentrations should be determined by the end user.
理论分子量 14kDa
细胞定位 细胞浆 
性    状 Liquid
浓    度 1mg/ml
免 疫 原 KLH conjugated synthetic peptide derived from human RABIF: 51-123/123 
亚    型 IgG
纯化方法 affinity purified by Protein A
缓 冲 液 Preservative: 0.02% Proclin300, Constituents: 1% BSA, 0.01M PBS, pH7.4.
保存条件 Shipped at 4℃. Store at -20℃ for one year. Avoid repeated freeze/thaw cycles.
注意事项 This product as supplied is intended for research use only, not for use in human, therapeutic or diagnostic applications.
PubMed PubMed
产品介绍 This gene encodes a member of the SCE4/YPT1/RAB family of small GTP-binding proteins that are involved in the regulation of intracellular vesicular transport. This protein stimulates GTP-GDP exchange in SEC4, and to a lesser extent in YPT1 and RAB3A, and may play a general role in vesicular transport. [provided by RefSeq, Oct 2011]

Function:
Guanine-nucleotide-releasing protein that acts on members of the SEC4/YPT1/RAB subfamily. Stimulates GDP release from both YPT1 and RAB3A, but is less active on these proteins than on the SEC4 protein. Might play a general role in vesicular transport.

Subunit:
Interacts with RAB8A.

Tissue Specificity:
Ubiquitous.

Similarity:
Belongs to the DSS4/MSS4 family.

SWISS:
P47224

Gene ID:
5877

Database links:

Entrez Gene: 5877 Human

Omim: 603417 Human

SwissProt: P47224 Human



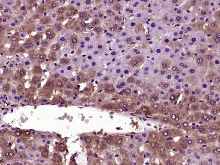
产品图片
Paraformaldehyde-fixed, paraffin embedded (rat liver tissue); Antigen retrieval by boiling in sodium citrate buffer (pH6.0) for 15min; Block endogenous peroxidase by 3% hydrogen peroxide for 20 minutes; Blocking buffer (normal goat serum) at 37°C for 30min; Antibody incubation with (RABIF) Polyclonal Antibody, Unconjugated (bs-21089R) at 1:400 overnight at 4°C, followed by operating according to SP Kit(Rabbit) (sp-0023) instructionsand DAB staining.
版权所有 2004-2026 www.bioss.com.cn 北京博奥森生物技术有限公司
通过国际质量管理体系ISO 9001:2015 GB/T 19001-2016    证书编号: 00124Q34771R2M/1100
通过国际医疗器械-质量管理体系ISO 13485:2016 GB/T 42061-2022     证书编号: CQC24QY20047R0M/1100
京ICP备05066980号-1         京公网安备110107000727号