扫码关注公众号           扫码咨询技术支持           扫码咨询技术服务
  
客服热线:400-901-9800  客服QQ:4009019800  技术答疑  技术支持  质量反馈  人才招聘  关于我们  联系我们
产品中心-北京博奥森生物技术有限公司
首页 > 产品中心 > 一抗 > 产品信息
RANBP3L Rabbit pAb (bs-21154R)  
订购热线:400-901-9800
订购邮箱:sales@bioss.com.cn
订购QQ:  400-901-9800
技术支持:techsupport@bioss.com.cn
50ul/1180.00元
100ul/1980.00元
200ul/2800.00元
大包装/询价

产品编号 bs-21154R
英文名称 RANBP3L Rabbit pAb
中文名称 Ran结合蛋白3样蛋白抗体
别    名 C130037N17Rik; RNB3L_HUMAN; RANBP3L; RNB3L_MOUSE; RAN binding protein 3 like; RAN binding protein 3-like  
研究领域 细胞生物  信号转导  结合蛋白  
抗体来源 Rabbit
克隆类型 Polyclonal
交叉反应 Human
产品应用 IHC-P=1:100-500,IHC-F=1:100-500,IF=1:100-500
not yet tested in other applications.
optimal dilutions/concentrations should be determined by the end user.
理论分子量 52kDa
细胞定位 细胞核 细胞浆 
性    状 Liquid
浓    度 1mg/ml
免 疫 原 KLH conjugated synthetic peptide derived from human RANBP3L: 201-300/465 
亚    型 IgG
纯化方法 affinity purified by Protein A
缓 冲 液 Preservative: 0.02% Proclin300, Constituents: 1% BSA, 0.01M PBS, pH7.4.
保存条件 Shipped at 4℃. Store at -20℃ for one year. Avoid repeated freeze/thaw cycles.
注意事项 This product as supplied is intended for research use only, not for use in human, therapeutic or diagnostic applications.
PubMed PubMed
产品介绍 RANBP3L (RAN Binding Protein 3 Like) is a Protein Coding gene. An important paralog of this gene is RANBP3.

Function:
Nuclear export factor for BMP-specific SMAD1/5/8 that plays a critical role in terminating BMP signaling and regulating mesenchymal stem cell differentiation by blocking osteoblast differentiation to promote myogenic differention. Directly recognizes dephosphorylated SMAD1/5/8 and mediates their nuclear export in a Ran-dependent manner.

Subunit:
Interacts with SMAD1, SMAD5 and SMAD8.

SWISS:
Q86VV4

Gene ID:
202151

Database links:

Entrez Gene: 202151 Human

Entrez Gene: 223332 Mouse

SwissProt: Q86VV4 Human

SwissProt: Q6PDH4 Mouse

Unigene: 729817 Human




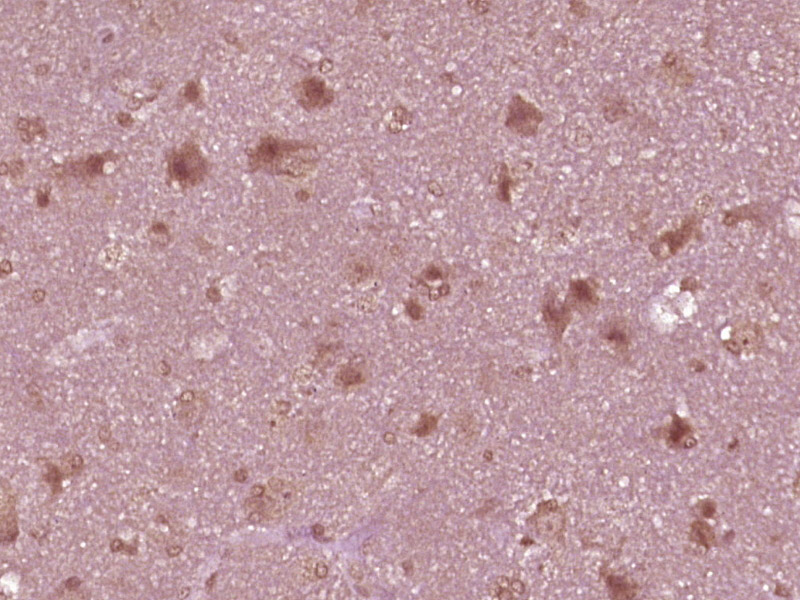
产品图片
Paraformaldehyde-fixed, paraffin embedded (human brain glioma); Antigen retrieval by boiling in sodium citrate buffer (pH6.0) for 15min; Block endogenous peroxidase by 3% hydrogen peroxide for 20 minutes; Blocking buffer (normal goat serum) at 37°C for 30min; Antibody incubation with (RANBP3L) Polyclonal Antibody, Unconjugated (bs-21154R) at 1:400 overnight at 4°C, followed by operating according to SP Kit(Rabbit) (sp-0023) instructionsand DAB staining.
版权所有 2004-2026 www.bioss.com.cn 北京博奥森生物技术有限公司
通过国际质量管理体系ISO 9001:2015 GB/T 19001-2016    证书编号: 00124Q34771R2M/1100
通过国际医疗器械-质量管理体系ISO 13485:2016 GB/T 42061-2022     证书编号: CQC24QY20047R0M/1100
京ICP备05066980号-1         京公网安备110107000727号