扫码关注公众号           扫码咨询技术支持           扫码咨询技术服务
  
客服热线:400-901-9800  客服QQ:4009019800  技术答疑  技术支持  质量反馈  关于我们  联系我们
产品中心-北京博奥森生物技术有限公司
首页 > 产品中心 > 一抗 > 产品信息
SMAD1 Rabbit pAb (bs-16376R)  
订购热线:400-901-9800
订购邮箱:sales@bioss.com.cn
订购QQ:  400-901-9800
技术支持:techsupport@bioss.com.cn
50ul/1180.00元
100ul/1980.00元
200ul/2800.00元
大包装/询价

产品编号 bs-16376R
英文名称 SMAD1 Rabbit pAb
中文名称 细胞信号转导分子Smad-1抗体
别    名 Mothers against decapentaplegic homolog 1; BSP 1; BSP1; BSP-1; Dwarfin A; DwfA; hSMAD 1; hSMAD1; JV 41; JV4 1; JV4-1; JV41; MAD mothers against decapentaplegic homolog 1; Mad related protein 1; MADH 1; MADH1; Madr 1; MADR1; Mothers against decapentaplegic homolog 1; Mothers against DPP homolog 1; Sma and Mad related protein 1; SMAD 1; SMAD-1; SMAD family member 1; SMAD mothers against DPP homolog 1 Drosophila; Spinal muscular atrophy distal with upper limb predominance; TGF beta signaling protein 1; Transforming growth factor beta signaling protein 1; SMAD1_HUMAN; MAD homolog 1; Mothers against DPP homolog 1; Mad-related protein 1; SMAD family member 1; Smad1; Transforming growth factor-beta-signaling protein 1.  
Specific References  (1)     |     bs-16376R has been referenced in 1 publications.
[IF=2.784] Yang et al. miR-1307-3p suppresses the chondrogenic differentiation of human adipose-derived stem cells by targeting BMPR2. (2018) Int.J.Mol.Med. 42:3115-3124  WB ;  
抗体来源 Rabbit
克隆类型 Polyclonal
克 隆 号
交叉反应 Human,Mouse,Rat (predicted: Chicken)
产品应用 WB=1:500-2000,IHC-P=1:100-500,IHC-F=1:100-500,IF=1:100-500
not yet tested in other applications.
optimal dilutions/concentrations should be determined by the end user.
理论分子量 51 kDa
检测分子量
细胞定位 细胞核 细胞浆 
性    状 Liquid
浓    度 1mg/ml
免 疫 原 KLH conjugated synthetic peptide derived from human SMAD1: 151-250/465 
亚    型 IgG
纯化方法 affinity purified by Protein A
缓 冲 液 Preservative: 0.02% Proclin300, Constituents: 1% BSA, 0.01M PBS, pH7.4.
保存条件 Shipped at 4℃. Store at -20℃ for one year. Avoid repeated freeze/thaw cycles.
注意事项 This product as supplied is intended for research use only, not for use in human, therapeutic or diagnostic applications.
PubMed PubMed
产品介绍 The protein encoded by this gene belongs to the SMAD, a family of proteins similar to the gene products of the Drosophila gene 'mothers against decapentaplegic' (Mad) and the C. elegans gene Sma. SMAD proteins are signal transducers and transcriptional modulators that mediate multiple signaling pathways. This protein mediates the signals of the bone morphogenetic proteins (BMPs), which are involved in a range of biological activities including cell growth, apoptosis, morphogenesis, development and immune responses. In response to BMP ligands, this protein can be phosphorylated and activated by the BMP receptor kinase. The phosphorylated form of this protein forms a complex with SMAD4, which is important for its function in the transcription regulation. This protein is a target for SMAD-specific E3 ubiquitin ligases, such as SMURF1 and SMURF2, and undergoes ubiquitination and proteasome-mediated degradation. Alternatively spliced transcript variants encoding the same protein have been observed. [provided by RefSeq].

Function:
Transcriptional modulator activated by BMP (bone morphogenetic proteins) type 1 receptor kinase. SMAD1 is a receptor-regulated SMAD (R-SMAD). SMAD1/OAZ1/PSMB4 complex mediates the degradation of the CREBBP/EP300 repressor SNIP1.

Subunit:
Interacts with HGS, NANOG and ZCCHC12 (By similarity). May form trimers with another SMAD1 and the co-SMAD SMAD4. Interacts with PEBP2-alpha subunit, CREB-binding protein (CBP), p300, SMURF1, SMURF2 and HOXC8. Associates with ZNF423 or ZNF521 in response to BMP2 leading to activate transcription of BMP target genes. Interacts with SKOR1. Interacts (via MH2 domain) with LEMD3. Binding to LEMD3 results in at least a partial reduction of receptor-mediated phosphorylation. Forms a ternary complex with PSMB4 and OAZ1 before PSMB4 is incorporated into the 20S proteasome.

Subcellular Location:
Cytoplasm. Nucleus. Note=Cytoplasmic in the absence of ligand. Migrates to the nucleus when complexed with SMAD4. Co-localizes with LEMD3 at the nucleus inner membrane.

Tissue Specificity:
Ubiquitous. Highest expression seen in the heart and skeletal muscle.

Post-translational modifications:
Phosphorylated on serine by BMP type 1 receptor kinase.

DISEASE:
Defects in SMAD1 may be a cause of primary pulmonary hypertension (PPH1) [MIM:178600]. A rare disorder characterized by plexiform lesions of proliferating endothelial cells in pulmonary arterioles. The lesions lead to elevated pulmonary arterial pression, right ventricular failure, and death. The disease can occur from infancy throughout life and it has a mean age at onset of 36 years. Penetrance is reduced. Although familial PPH1 is rare, cases secondary to known etiologies are more common and include those associated with the appetite-suppressant drugs.

Similarity:
Belongs to the dwarfin/SMAD family.
Contains 1 MH1 (MAD homology 1) domain.
Contains 1 MH2 (MAD homology 2) domain.


SWISS:
Q15797

Gene ID:
4086

Database links:

Entrez Gene: 4086 Human

Entrez Gene: 17125 Mouse

Entrez Gene: 25671 Rat

Omim: 601595 Human

SwissProt: Q15797 Human

SwissProt: P70340 Mouse

SwissProt: P97588 Rat

Unigene: 604588 Human

Unigene: 223717 Mouse

Unigene: 10635 Rat



产品图片
Sample: Heart (Mouse) Lysate at 40 ug Muscle (Mouse) Lysate at 40 ug Primary: Anti-SMAD1 (bs-16376R) at 1/300 dilution Secondary: IRDye800CW Goat Anti-Rabbit IgG at 1/20000 dilution Predicted band size: 51 kD Observed band size: 51 kD
Sample: H9C2(Rat) Cell Lysate at 30 ug Primary: Anti-SMAD1 (bs-16376R) at 1/1000 dilution Secondary: IRDye800CW Goat Anti-Rabbit IgG at 1/20000 dilution Predicted band size: 51 kD Observed band size: 51 kD
Sample: MCF-7(Human) Cell Lysate at 30 ug Primary: Anti-SMAD1 (bs-16376R) at 1/1000 dilution Secondary: IRDye800CW Goat Anti-Rabbit IgG at 1/20000 dilution Predicted band size: 51 kD Observed band size: 51 kD
Tissue/cell: human breast cancer; 4% Paraformaldehyde-fixed and paraffin-embedded; Antigen retrieval: citrate buffer ( 0.01M, pH 6.0 ), Boiling bathing for 15min; Block endogenous peroxidase by 3% Hydrogen peroxide for 30min; Blocking buffer (normal goat serum,C-0005) at 37℃ for 20 min; Incubation: Anti-MDFI Polyclonal Antibody, Unconjugated(bs-16376R) 1:500, overnight at 4°C, followed by conjugation to the secondary antibody(SP-0023) and DAB(C-0010) staining
Paraformaldehyde-fixed, paraffin embedded (Human brain glioma); Antigen retrieval by boiling in sodium citrate buffer (pH6.0) for 15min; Block endogenous peroxidase by 3% hydrogen peroxide for 20 minutes; Blocking buffer (normal goat serum) at 37°C for 30min; Antibody incubation with (SMAD1) Polyclonal Antibody, Unconjugated (bs-16376R) at 1:400 overnight at 4°C, followed by operating according to SP Kit(Rabbit) (sp-0023) instructionsand DAB staining.
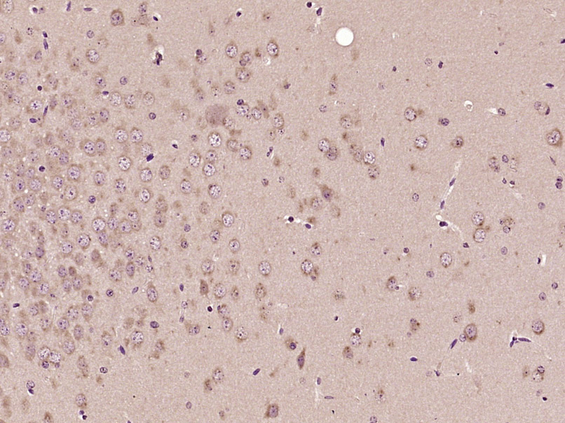
Paraformaldehyde-fixed, paraffin embedded (Mouse brain); Antigen retrieval by boiling in sodium citrate buffer (pH6.0) for 15min; Block endogenous peroxidase by 3% hydrogen peroxide for 20 minutes; Blocking buffer (normal goat serum) at 37°C for 30min; Antibody incubation with (SMAD1) Polyclonal Antibody, Unconjugated (bs-16376R) at 1:400 overnight at 4°C, followed by operating according to SP Kit(Rabbit) (sp-0023) instructionsand DAB staining.
版权所有 2004-2026 www.bioss.com.cn 北京博奥森生物技术有限公司
通过国际质量管理体系ISO 9001:2015 GB/T 19001-2016    证书编号: 00124Q34771R2M/1100
通过国际医疗器械-质量管理体系ISO 13485:2016 GB/T 42061-2022     证书编号: CQC24QY20047R0M/1100
京ICP备05066980号-1         京公网安备110107000727号