扫码关注公众号           扫码咨询技术支持           扫码咨询技术服务
  
客服热线:400-901-9800  客服QQ:4009019800  技术答疑  技术支持  质量反馈  关于我们  联系我们
产品中心-北京博奥森生物技术有限公司
首页 > 产品中心 > 一抗 > 产品信息
CD31 Rabbit pAb (bs-20322R)  
订购热线:400-901-9800
订购邮箱:sales@bioss.com.cn
订购QQ:  400-901-9800
技术支持:techsupport@bioss.com.cn
50ul/1180.00元
100ul/1980.00元
200ul/2800.00元
大包装/询价

产品编号 bs-20322R
英文名称 CD31 Rabbit pAb
中文名称 血小板内皮细胞黏附分子-1抗体
别    名 platelet endothelial cell adhesion molecule precursor-1; PECAM-1; PECAM1; Adhesion molecule; CD31 antigen; CD31 EndoCAM; Endocam; FLJ34100; FLJ58394; GPIIA; Pecam 1; PECA1_HUMAN; PECAM 1 CD31 EndoCAM; PECA1; Pecam1; Platelet endothelial cell adhesion molecule; Platelet/endothelial cell adhesion molecule 1; Adhesion molecule; Platelet/endothelial cell adhesion molecule.  
Specific References  (6)     |     bs-20322R has been referenced in 6 publications.
[IF=20.722] Meng Lin. et al. CRISPR-based in situ engineering tumor cells to reprogram macrophages for effective cancer immunotherapy. Nano Today. 2022 Feb;42:101359  IF ;  Mouse.  
[IF=11.092] Cristiane M. Franca. et al. High-Throughput Bioprinting of Geometrically-Controlled Pre-Vascularized Injectable Microgels for Accelerated Tissue Regeneration. ADV HEALTHC MATER. 2023 May;:2202840  IF ;  Mouse.  
[IF=5.443] Dai Yarong. et al. METTL3-Mediated m6A RNA Modification Regulates Corneal Injury Repair. Stem Cells Int. 2021;2021:5512153  IF ;  Mouse.  
[IF=2.87] Zhihao Wang. et al. Rapid Preparation Method for Preparing Tracheal Decellularized Scaffolds: Vacuum Assistance and Optimization of DNase I. Acs Omega. 2021;6(16):10637–10644  IF ;  Rat.  
[IF=1.664] Song N et al. Synergistic anti-tumor effects of dasatinib and dendritic cell vaccine onmetastatic breast cancer in a mouse model. Oncology Letters.2018.  IHC-P ;  Mouse.  
[IF=1.39] Cao et al. Danshensu, a major water-soluble component ofSalvia miltiorrhiza, enhances the radioresponse for Lewis Lung Carcinoma xenografts in mice. (2017) Oncol.Lett. 13:605-612  IHC-P ;  Mouse.  
研究领域 肿瘤  心血管  细胞生物  免疫学  信号转导  干细胞  细胞粘附分子  细胞表面分子  糖蛋白  血管内皮细胞  淋巴细胞  t-淋巴细胞  骨髓细胞  
抗体来源 Rabbit
克隆类型 Polyclonal
克 隆 号
交叉反应 Mouse,Rat
产品应用 IHC-P=1:200-500,IHC-F=1:200-500,IF=1:200-500
not yet tested in other applications.
optimal dilutions/concentrations should be determined by the end user.
理论分子量 78 kDa
检测分子量
细胞定位 细胞膜 
性    状 Liquid
浓    度 1mg/ml
免 疫 原 KLH conjugated synthetic peptide derived from mouse CD31: 251-350/727 <Extracellular>
亚    型 IgG
纯化方法 affinity purified by Protein A
缓 冲 液 Preservative: 0.02% Proclin300, Constituents: 1% BSA, 0.01M PBS, pH7.4.
保存条件 Shipped at 4℃. Store at -20℃ for one year. Avoid repeated freeze/thaw cycles.
注意事项 This product as supplied is intended for research use only, not for use in human, therapeutic or diagnostic applications.
PubMed PubMed
产品介绍 The protein encoded by this gene is found on the surface of platelets, monocytes, neutrophils, and some types of T-cells, and makes up a large portion of endothelial cell intercellular junctions. The encoded protein is a member of the immunoglobulin superfamily and is likely involved in leukocyte migration, angiogenesis, and integrin activation. [provided by RefSeq, May 2010]

Function:
Induces susceptibility to atherosclerosis (By similarity). Cell adhesion molecule which is required for leukocyte transendothelial migration (TEM) under most inflammatory conditions. Tyr-690 plays a critical role in TEM and is required for efficient trafficking of PECAM1 to and from the lateral border recycling compartment (LBRC) and is also essential for the LBRC membrane to be targeted around migrating leukocytes. Prevents phagocyte ingestion of closely apposed viable cells by transmitting 'detachment' signals, and changes function on apoptosis, promoting tethering of dying cells to phagocytes (the encounter of a viable cell with a phagocyte via the homophilic interaction of PECAM1 on both cell surfaces leads to the viable cell's active repulsion from the phagocyte. During apoptosis, the inside-out signaling of PECAM1 is somehow disabled so that the apoptotic cell does not actively reject the phagocyte anymore. The lack of this repulsion signal together with the interaction of the eat-me signals and their respective receptors causes the attachment of the apoptotic cell to the phagocyte, thus triggering the process of engulfment). Isoform Delta15 is unable to protect against apoptosis. Modulates BDKRB2 activation. Regulates bradykinin- and hyperosmotic shock-induced ERK1/2 activation in human umbilical cord vein cells (HUVEC).

Subunit:
Interacts with PTPN11; Tyr-713 is critical for PTPN11 recruitment. Forms a complex with BDKRB2 and GNAQ. Interacts with BDKRB2 and GNAQ.

Subcellular Location:
Isoform Long: Membrane; Single-pass type I membrane protein. Cell junction. Note=Localizes to the lateral border recycling compartment (LBRC) and recycles from the LBRC to the junction in resting endothelial cells.
Isoform Delta15: Cell junction. Note=Localizes to the lateral border recycling compartment (LBRC) and recycles from the LBRC to the junction in resting endothelial cells.

Tissue Specificity:
Expressed on platelets and leukocytes and is primarily concentrated at the borders between endothelial cells. Isoform Long predominates in all tissues examined. Isoform Delta12 is detected only in trachea. Isoform Delta14-15 is only detected in lung. Isoform Delta14 is detected in all tissues examined with the strongest expression in heart. Isoform Delta15 is expressed in brain, testis, ovary, cell surface of platelets, human umbilical vein endothelial cells (HUVECs), Jurkat T-cell leukemia, human erythroleukemia (HEL) and U937 histiocytic lymphoma cell lines (at protein level).

Post-translational modifications:
Phosphorylated on Ser and Tyr residues after cellular activation. Phosphorylated on tyrosine residues by FER and FES in response to FCER1 activation (By similarity). In endothelial cells Fyn mediates mechanical-force (stretch or pull) induced tyrosine phosphorylation.

Similarity:
Contains 6 Ig-like C2-type (immunoglobulin-like) domains.

SWISS:
Q08481

Gene ID:
18613

Database links:

Entrez Gene: 5175 Human

Entrez Gene: 18613 Mouse

Omim: 173445 Human

SwissProt: P16284 Human

SwissProt: Q08481 Mouse

Unigene: 343951 Mouse



产品图片
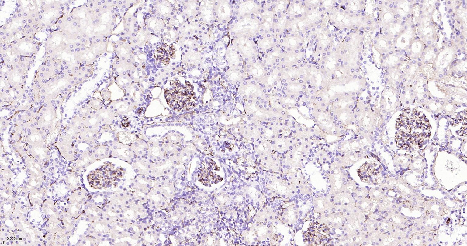
Paraformaldehyde-fixed, paraffin embedded Rat kidney; Antigen retrieval by boiling in sodium citrate buffer (pH6.0) for 15 min; Antibody incubation with CD31 Polyclonal Antibody, Unconjugated(bs-20322R) at 1:500 overnight at 4°C, followed by conjugation to the bs-0295G-HRP and DAB (C-0010) staining.
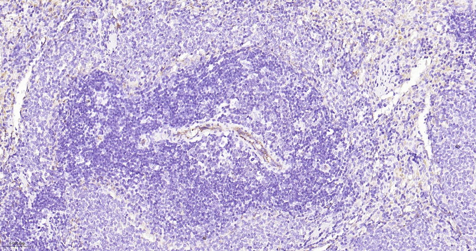
Paraformaldehyde-fixed, paraffin embedded Rat spleen; Antigen retrieval by boiling in sodium citrate buffer (pH6.0) for 15 min; Antibody incubation with CD31 Polyclonal Antibody, Unconjugated(bs-20322R) at 1:500 overnight at 4°C, followed by conjugation to the bs-0295G-HRP and DAB (C-0010) staining.
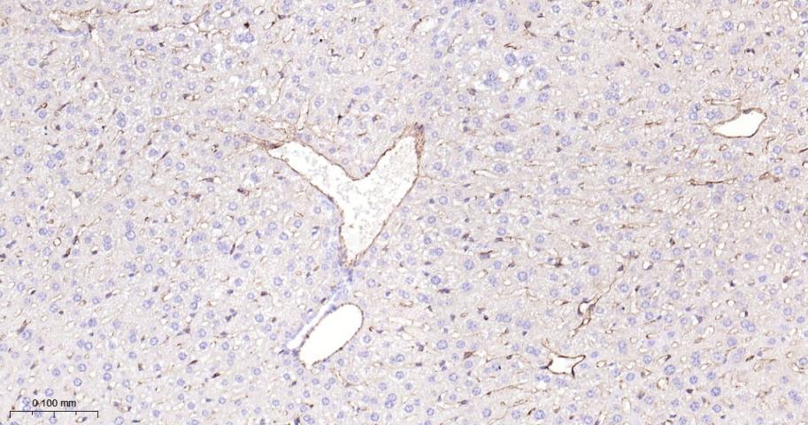
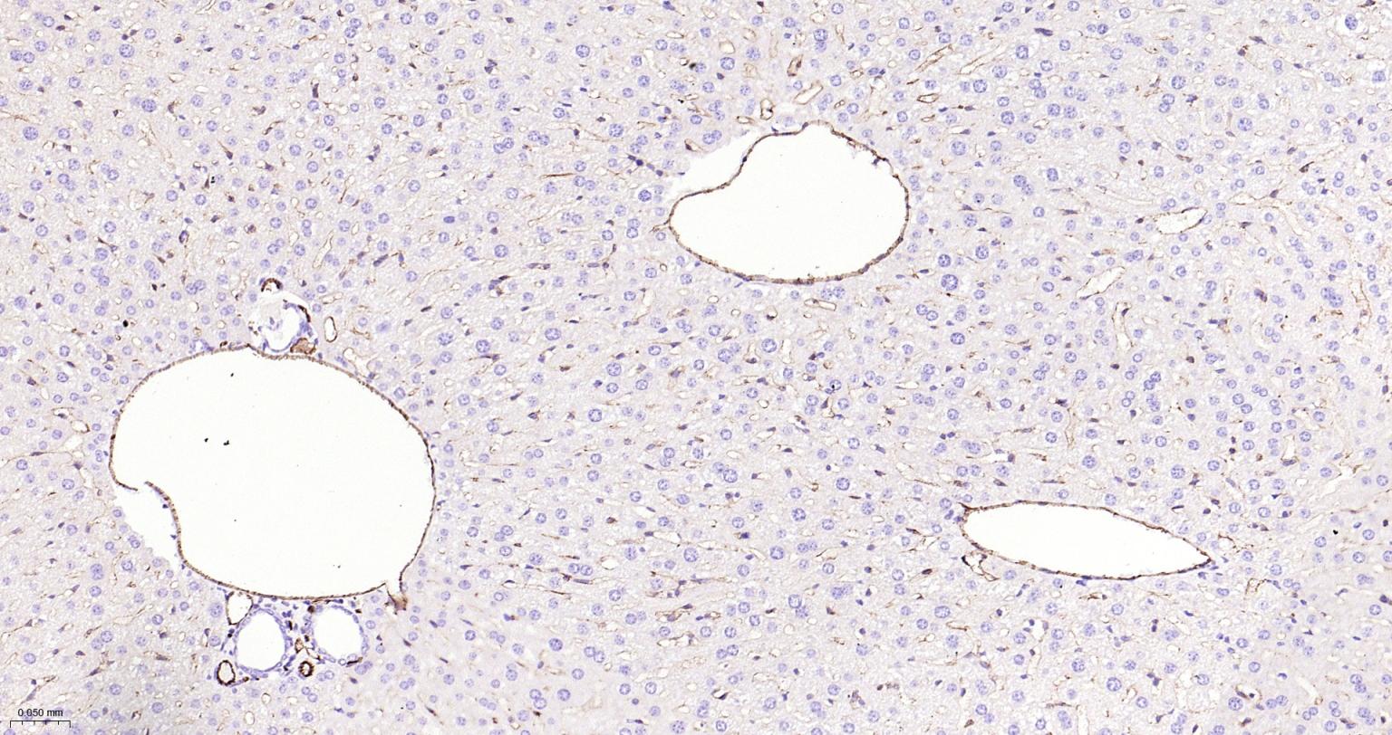
Paraformaldehyde-fixed, paraffin embedded Rat liver; Antigen retrieval by boiling in sodium citrate buffer (pH6.0) for 15 min; Antibody incubation with CD31 Polyclonal Antibody, Unconjugated(bs-20322R) at 1:500 overnight at 4°C, followed by conjugation to the bs-0295G-HRP and DAB (C-0010) staining.
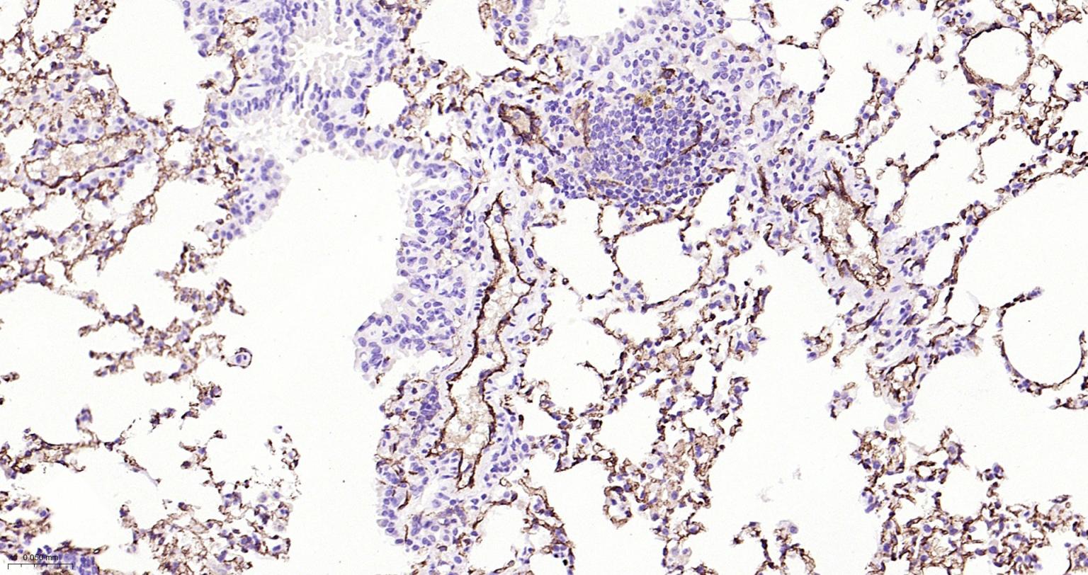
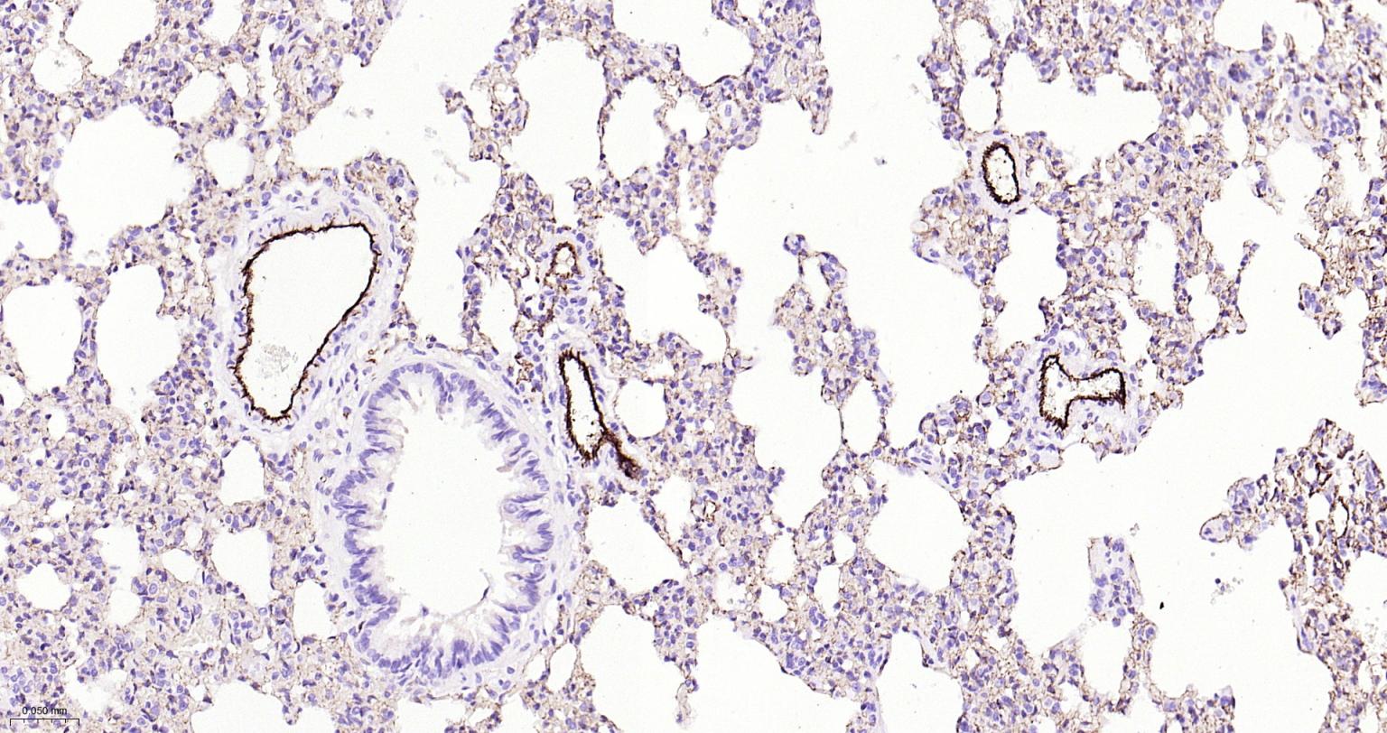
Paraformaldehyde-fixed, paraffin embedded Rat lung; Antigen retrieval by boiling in sodium citrate buffer (pH6.0) for 15 min; Antibody incubation with CD31 Polyclonal Antibody, Unconjugated(bs-20322R) at 1:500 overnight at 4°C, followed by conjugation to the bs-0295G-HRP and DAB (C-0010) staining.
Paraformaldehyde-fixed, paraffin embedded Mouse kidney; Antigen retrieval by boiling in sodium citrate buffer (pH6.0) for 15 min; Antibody incubation with CD31 Polyclonal Antibody, Unconjugated(bs-20322R) at 1:500 overnight at 4°C, followed by conjugation to the bs-0295G-HRP and DAB (C-0010) staining.
Paraformaldehyde-fixed, paraffin embedded Mouse spleen; Antigen retrieval by boiling in sodium citrate buffer (pH6.0) for 15 min; Antibody incubation with CD31 Polyclonal Antibody, Unconjugated(bs-20322R) at 1:500 overnight at 4°C, followed by conjugation to the bs-0295G-HRP and DAB (C-0010) staining.
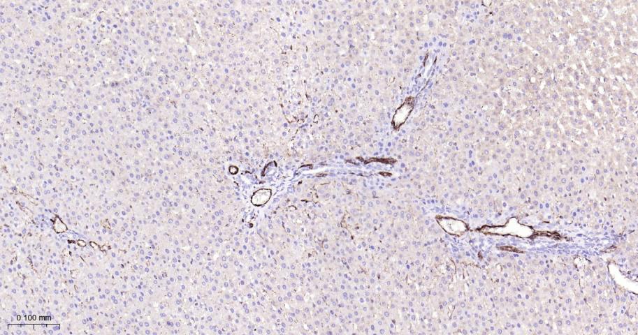
Paraformaldehyde-fixed, paraffin embedded Mouse liver; Antigen retrieval by boiling in sodium citrate buffer (pH6.0) for 15 min; Antibody incubation with CD31 Polyclonal Antibody, Unconjugated(bs-20322R) at 1:500 overnight at 4°C, followed by conjugation to the bs-0295G-HRP and DAB (C-0010) staining.
Paraformaldehyde-fixed, paraffin embedded Mouse lung; Antigen retrieval by boiling in sodium citrate buffer (pH6.0) for 15 min; Antibody incubation with CD31 Polyclonal Antibody, Unconjugated(bs-20322R) at 1:500 overnight at 4°C, followed by conjugation to the bs-0295G-HRP and DAB (C-0010) staining.
版权所有 2004-2026 www.bioss.com.cn 北京博奥森生物技术有限公司
通过国际质量管理体系ISO 9001:2015 GB/T 19001-2016    证书编号: 00124Q34771R2M/1100
通过国际医疗器械-质量管理体系ISO 13485:2016 GB/T 42061-2022     证书编号: CQC24QY20047R0M/1100
京ICP备05066980号-1         京公网安备110107000727号