扫码关注公众号           扫码咨询技术支持           扫码咨询技术服务
  
客服热线:400-901-9800  客服QQ:4009019800  技术答疑  技术支持  质量反馈  关于我们  联系我们
产品中心-北京博奥森生物技术有限公司
首页 > 产品中心 > 一抗 > 产品信息
STAT3 Rabbit pAb (bs-20382R)  
订购热线:400-901-9800
订购邮箱:sales@bioss.com.cn
订购QQ:  400-901-9800
技术支持:techsupport@bioss.com.cn
50ul/1180.00元
100ul/1980.00元
200ul/2800.00元
大包装/询价

产品编号 bs-20382R
英文名称 STAT3 Rabbit pAb
中文名称 信号转导和转录激活因子3抗体
别    名 1110034C02Rik; Acute Phase Response Factor; APRF; AW109958; DNA binding protein APRF; FLJ20882; HIES; MGC128731; MGC16063; MGC93551; Signal transducer and activator of transcription 3(acute-phase response factor); Signal transducer and activator of transcription 3; Signal Transductor and Activator of Transcription 3; STAT 3; Transcription factor; STAT3_HUMAN.  
Specific References  (3)     |     bs-20382R has been referenced in 3 publications.
[IF=3.361] Li C et al. Arsenic trioxide improves Treg and Th17 balance by modulating STAT3 in treatment-naïve rheumatoid arthritis patients. Int Immunopharmacol. 2019 Aug;73:539-551.  IHC-P ;  Mouse.  
[IF=2.083] Wenyang YU. et al. Seasonal change of circulating leptin associated with testicular activities of the wild ground squirrels (Citellus dauricus Brandt). INTEGR ZOOL. 2022 Jul;:  IHC ;  Squirrel.  
[IF=2.05] Zhang M et al. Hepatoprotective effect and possible mechanism of phytoestrogen calycosin on carbon tetrachloride–induced liver fibrosis in mice. Naunyn Schmiedebergs Arch Pharmacol . 2020 May 30.  WB ;  Mouse.  
研究领域 肿瘤  细胞生物  发育生物学  信号转导  细胞凋亡  转录调节因子  
抗体来源 Rabbit
克隆类型 Polyclonal
克 隆 号
交叉反应 Human,Mouse,Rat
产品应用 IHC-P=1:200-1000,IHC-F=1:200-1000,IF=1:200-1000
not yet tested in other applications.
optimal dilutions/concentrations should be determined by the end user.
理论分子量 88 kDa
检测分子量
细胞定位 细胞核 细胞浆 
性    状 Liquid
浓    度 1mg/ml
免 疫 原 KLH conjugated synthetic peptide derived from human STAT3: 151-250/770 
亚    型 IgG
纯化方法 affinity purified by Protein A
缓 冲 液 Preservative: 0.02% Proclin300, Constituents: 1% BSA, 0.01M PBS, pH7.4.
保存条件 Shipped at 4℃. Store at -20℃ for one year. Avoid repeated freeze/thaw cycles.
注意事项 This product as supplied is intended for research use only, not for use in human, therapeutic or diagnostic applications.
PubMed PubMed
产品介绍 The protein encoded by this gene is a member of the STAT protein family. In response to cytokines and growth factors, STAT family members are phosphorylated by the receptor associated kinases, and then form homo- or heterodimers that translocate to the cell nucleus where they act as transcription activators. This protein is activated through phosphorylation in response to various cytokines and growth factors including IFNs, EGF, IL5, IL6, HGF, LIF and BMP2. This protein mediates the expression of a variety of genes in response to cell stimuli, and thus plays a key role in many cellular processes such as cell growth and apoptosis. The small GTPase Rac1 has been shown to bind and regulate the activity of this protein. PIAS3 protein is a specific inhibitor of this protein. Three alternatively spliced transcript variants encoding distinct isoforms have been described. Gene Symbol: APRF; FLJ20882; HIES; MGC16063.

Subunit:
Forms a homodimer or a heterodimer with a related family member (at least STAT1). Interacts with IL31RA, NCOA1, PELP1, SIPAR, SOCS7, STATIP1 and TMF1. Interacts with HCV core protein. Interacts with IL23R in presence of IL23. Interacts (via SH2 domain) with NLK. Interacts with ARL2BP; the interaction is enhanced by LIF and JAK1 expression (By similarity). Interacts with KPNA4 and KPNA5; KPNA4 may be the primary mediator of nuclear import (By similarity). Interacts with CAV2; the interaction is increased on insulin-induced tyrosine phosphorylation of CAV2 and leads to STAT3 activation (By similarity). Interacts with ARL2BP; interaction is enhanced with ARL2. Interacts with NEK6 (By similarity). Binds to CDK9 when activated and nuclear. Interacts with BMX. Interacts with ZIPK/DAPK3. Interacts with PIAS3; the interaction occurs on stimulation by IL6, CNTF or OSM and inhibits the DNA binding activity of STAT3. In prostate cancer cells, interacts with STAT3 and promotes DNA binding activity of STAT3. Interacts with STMN3, antagonizing its microtubule-destabilizing activity.

Subcellular Location:
Cytoplasm. Nucleus. Note=Shuttles between the nucleus and the cytoplasm. Translocated into the nucleus upon tyrosine phosphorylation and dimerization, in response to signaling by activated FGFR1, FGFR2, FGFR3 or FGFR4. Constitutive nuclear presence is independent of tyrosine phosphorylation. Predominantly present in the cytoplasm without stimuli. Upon leukemia inhibitory factor (LIF) stimulation, accumulates in the nucleus. The complex composed of BART and ARL2 plays an important role in the nuclear translocation and retention of STAT3. Identified in a complex with LYN and PAG1.

Tissue Specificity:
Heart, brain, placenta, lung, liver, skeletal muscle, kidney and pancreas.

Similarity:
Belongs to the transcription factor STAT family.
Contains 1 SH2 domain.

SWISS:
P40763

Gene ID:
6774

Database links:

Entrez Gene: 6774 Human

Entrez Gene: 20848 Mouse

Entrez Gene: 25125 Rat

Omim: 102582 Human

SwissProt: P40763 Human

SwissProt: P42227 Mouse

SwissProt: P52631 Rat

Unigene: 463059 Human

 



Stat3在细胞分化、增殖、凋亡等方面有着重要生理作用。有学者认为:STAT-3对肿瘤有一定的抑制作用,由于其与肿瘤的关系较为密切,越来越受到人们的重视。
产品图片
Paraformaldehyde-fixed, paraffin embedded Human Small Intestine; Antigen retrieval by boiling in sodium citrate buffer (pH6.0) for 15 min; The section was incubated with STAT3 Polyclonal Antibody, Unconjugated (bs-20382R) at 1:200 overnight at 4°C, followed by conjugation to the bs-0295G-HRP and DAB (C-0010) staining.
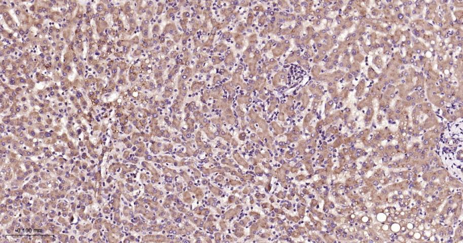
Paraformaldehyde-fixed, paraffin embedded Human Liver; Antigen retrieval by boiling in sodium citrate buffer (pH6.0) for 15 min; The section was incubated with STAT3 Polyclonal Antibody, Unconjugated (bs-20382R) at 1:200 overnight at 4°C, followed by conjugation to the bs-0295G-HRP and DAB (C-0010) staining.
Paraformaldehyde-fixed, paraffin embedded Human Colon Cancer; Antigen retrieval by boiling in sodium citrate buffer (pH6.0) for 15 min; The section was incubated with STAT3 Polyclonal Antibody, Unconjugated (bs-20382R) at 1:200 overnight at 4°C, followed by conjugation to the bs-0295G-HRP and DAB (C-0010) staining.
Paraformaldehyde-fixed, paraffin embedded Human Cervical Cancer; Antigen retrieval by boiling in sodium citrate buffer (pH6.0) for 15 min; The section was incubated with STAT3 Polyclonal Antibody, Unconjugated (bs-20382R) at 1:200 overnight at 4°C, followed by conjugation to the bs-0295G-HRP and DAB (C-0010) staining.
Paraformaldehyde-fixed, paraffin embedded Rat Lung; Antigen retrieval by boiling in sodium citrate buffer (pH6.0) for 15 min; The section was incubated with STAT3 Polyclonal Antibody, Unconjugated (bs-20382R) at 1:200 overnight at 4°C, followed by conjugation to the bs-0295G-HRP and DAB (C-0010) staining.
Paraformaldehyde-fixed, paraffin embedded Rat Pancreas; Antigen retrieval by boiling in sodium citrate buffer (pH6.0) for 15 min; The section was incubated with STAT3 Polyclonal Antibody, Unconjugated (bs-20382R) at 1:200 overnight at 4°C, followed by conjugation to the bs-0295G-HRP and DAB (C-0010) staining.
Paraformaldehyde-fixed, paraffin embedded Mouse Pancreas; Antigen retrieval by boiling in sodium citrate buffer (pH6.0) for 15 min; The section was incubated with STAT3 Polyclonal Antibody, Unconjugated (bs-20382R) at 1:200 overnight at 4°C, followed by conjugation to the bs-0295G-HRP and DAB (C-0010) staining.
Paraformaldehyde-fixed, paraffin embedded Rat Heart; Antigen retrieval by boiling in sodium citrate buffer (pH6.0) for 15 min; The section was incubated with STAT3 Polyclonal Antibody, Unconjugated (bs-20382R) at 1:200 overnight at 4°C, followed by conjugation to the bs-0295G-HRP and DAB (C-0010) staining.
Paraformaldehyde-fixed, paraffin embedded Mouse Heart; Antigen retrieval by boiling in sodium citrate buffer (pH6.0) for 15 min; The section was incubated with STAT3 Polyclonal Antibody, Unconjugated (bs-20382R) at 1:200 overnight at 4°C, followed by conjugation to the bs-0295G-HRP and DAB (C-0010) staining.
Paraformaldehyde-fixed, paraffin embedded Rat Kidney; Antigen retrieval by boiling in sodium citrate buffer (pH6.0) for 15 min; The section was incubated with STAT3 Polyclonal Antibody, Unconjugated (bs-20382R) at 1:200 overnight at 4°C, followed by conjugation to the bs-0295G-HRP and DAB (C-0010) staining.
Paraformaldehyde-fixed, paraffin embedded Mouse Kidney; Antigen retrieval by boiling in sodium citrate buffer (pH6.0) for 15 min; The section was incubated with STAT3 Polyclonal Antibody, Unconjugated (bs-20382R) at 1:200 overnight at 4°C, followed by conjugation to the bs-0295G-HRP and DAB (C-0010) staining.
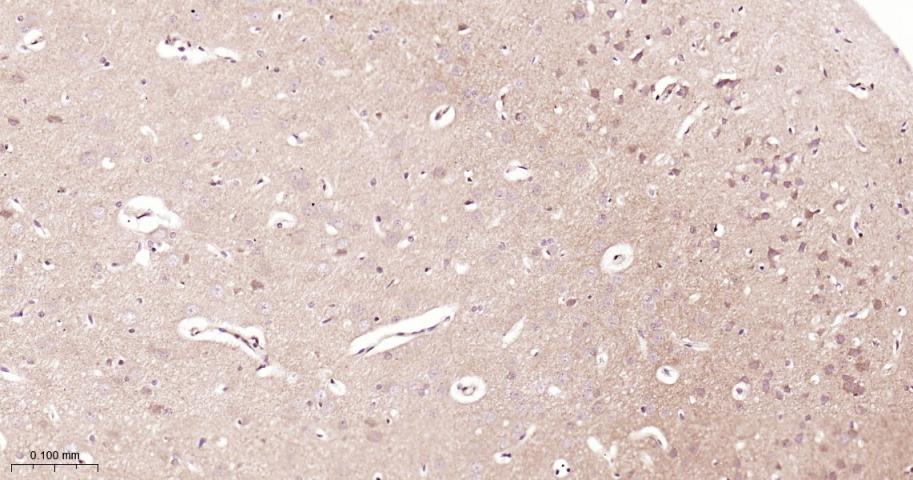
Paraformaldehyde-fixed, paraffin embedded Rat Cerebrum; Antigen retrieval by boiling in sodium citrate buffer (pH6.0) for 15 min; The section was incubated with STAT3 Polyclonal Antibody, Unconjugated (bs-20382R) at 1:200 overnight at 4°C, followed by conjugation to the bs-0295G-HRP and DAB (C-0010) staining.
Paraformaldehyde-fixed, paraffin embedded Mouse Cerebrum; Antigen retrieval by boiling in sodium citrate buffer (pH6.0) for 15 min; The section was incubated with STAT3 Polyclonal Antibody, Unconjugated (bs-20382R) at 1:200 overnight at 4°C, followed by conjugation to the bs-0295G-HRP and DAB (C-0010) staining.
版权所有 2004-2026 www.bioss.com.cn 北京博奥森生物技术有限公司
通过国际质量管理体系ISO 9001:2015 GB/T 19001-2016    证书编号: 00124Q34771R2M/1100
通过国际医疗器械-质量管理体系ISO 13485:2016 GB/T 42061-2022     证书编号: CQC24QY20047R0M/1100
京ICP备05066980号-1         京公网安备110107000727号