扫码关注公众号           扫码咨询技术支持           扫码咨询技术服务
  
客服热线:400-901-9800  客服QQ:4009019800  技术答疑  技术支持  质量反馈  关于我们  联系我们
产品中心-北京博奥森生物技术有限公司
首页 > 产品中心 > 一抗 > 产品信息
phospho-BRCA1 (Ser1466) Rabbit pAb (bs-20442R)  
订购热线:400-901-9800
订购邮箱:sales@bioss.com.cn
订购QQ:  400-901-9800
技术支持:techsupport@bioss.com.cn
50ul/1180.00元
100ul/1980.00元
200ul/2800.00元
大包装/询价

产品编号 bs-20442R
英文名称 phospho-BRCA1 (Ser1466) Rabbit pAb
中文名称 磷酸化乳腺癌易感基因1抗体
别    名 BRCA1(phospho S1466); BRCA1(phospho Ser1466); p-BRCA1(S1466); p-BRCA1(Ser1466); p-BRCA1(phospho S1466); BRCA1(phospho-Ser1423); BRCA 1; BRCA1; BRCA1/BRCA2 containing complex subunit 1; BRCA1/BRCA2-containing complex, subunit 1; BRCA1_HUMAN; BRCAI; BRAC 1; BRCA 1; BRCC 1; BRCC1; Breast Cancer 1; Breast Cancer 1 Early Onset; Breast cancer type 1 susceptibility protein; Breast and ovarian cancer susceptibility protein 1; Breast Ovarian Cancer Susceptibility; IRIS; Papillary Serous Carcinoma Of The Peritoneum; PSCP; RING finger protein 53; BROVCA1; IRIS; PNCA4; PPP1R53; Protein phosphatase 1 regulatory subunit 53; RNF53; BAP1.  
产品类型 磷酸化抗体 
研究领域 肿瘤  细胞生物  信号转导  细胞凋亡  
抗体来源 Rabbit
克隆类型 Polyclonal
克 隆 号
交叉反应 Human (predicted: Horse)
产品应用 IHC-P=1:100-500,IHC-F=1:100-500,IF=1:100-500,Flow-Cyt=1μg/Test
not yet tested in other applications.
optimal dilutions/concentrations should be determined by the end user.
理论分子量 208 kDa
检测分子量
细胞定位 细胞核 细胞浆 
性    状 Liquid
浓    度 1mg/ml
免 疫 原 KLH conjugated synthesised phosphopeptide derived from human BRCA1 around the phosphorylation site of Ser1466: PI(p-S)QN 
亚    型 IgG
纯化方法 affinity purified by Protein A
缓 冲 液 0.01M TBS (pH7.4) with 1% BSA, 0.02% Proclin300 and 50% Glycerol.
保存条件 Shipped at 4℃. Store at -20℃ for one year. Avoid repeated freeze/thaw cycles.
注意事项 This product as supplied is intended for research use only, not for use in human, therapeutic or diagnostic applications.
PubMed PubMed
产品介绍 This gene encodes a nuclear phosphoprotein that plays a role in maintaining genomic stability, and it also acts as a tumor suppressor. The encoded protein combines with other tumor suppressors, DNA damage sensors, and signal transducers to form a large multi-subunit protein complex known as the BRCA1-associated genome surveillance complex (BASC). This gene product associates with RNA polymerase II, and through the C-terminal domain, also interacts with histone deacetylase complexes. This protein thus plays a role in transcription, DNA repair of double-stranded breaks, and recombination. Mutations in this gene are responsible for approximately 40% of inherited breast cancers and more than 80% of inherited breast and ovarian cancers. Alternative splicing plays a role in modulating the subcellular localization and physiological function of this gene. Many alternatively spliced transcript variants, some of which are disease-associated mutations, have been described for this gene, but the full-length natures of only some of these variants has been described. A related pseudogene, which is also located on chromosome 17, has been identified. [provided by RefSeq, May 2009].

Function:
E3 ubiquitin-protein ligase that specifically mediatesthe formation of 'Lys-6'-linked polyubiquitin chains and plays acentral role in DNA repair by facilitating cellular responses toDNA damage. It is unclear whether it also mediates the formation ofother types of polyubiquitin chains. The E3 ubiquitin-proteinligase activity is required for its tumor suppressor function. TheBRCA1-BARD1 heterodimer coordinates a diverse range of cellularpathways such as DNA damage repair, ubiquitination andtranscriptional regulation to maintain genomic stability. Regulatescentrosomal microtubule nucleation. Required for normal cell cycleprogression from G2 to mitosis. Required for appropriate cell cyclearrests after ionizing irradiation in both the S-phase and the G2phase of the cell cycle. Involved in transcriptional regulation ofP21 in response to DNA damage. Required for FANCD2 targeting tosites of DNA damage. May function as a transcriptional regulator.Inhibits lipid synthesis by binding to inactive phosphorylatedACACA and preventing its dephosphorylation. Contributes tohomologous recombination repair (HRR) via its direct interactionwith PALB2, fine-tunes recombinational repair partly through itsmodulatory role in the PALB2-dependent loading of BRCA2-RAD51repair machinery at DNA breaks. Component of the BRCA1-RBBP8complex which regulates CHEK1 activation and controls cell cycleG2/M checkpoints on DNA damage via BRCA1-mediated ubiquitination ofRBBP8.

Subunit:
Heterodimer with BARD1. Part of the BRCA1-associated genome surveillance complex (BASC), which contains BRCA1, MSH2, MSH6, MLH1, ATM, BLM, PMS2 and the RAD50-MRE11-NBN protein complex. This association could be a dynamic process changing throughout the cell cycle and within subnuclear domains. Component of the BRCA1-A complex, at least composed of the BRCA1, BARD1, UIMC1/RAP80, FAM175A/Abraxas, BRCC3/BRCC36, BRE/BRCC45 and BABAM1/NBA1. Interacts (via BRCT domains) with FAM175A/Abraxas and RBBP8. Associates with RNA polymerase II holoenzyme. Interacts with SMC1A and COBRA1/NELFB. Interacts (via BRCT domains) with phosphorylated BRIP1. Interacts with FANCD2 (ubiquitinated). Interacts with BAP1. Interacts with DCLRE1C/Artemis and CLSPN. Interacts with H2AFX (phosphorylated on 'Ser-140'). Interacts with CHEK1 and CHEK2. Interacts with BRCC3. Interacts (via BRCT domains) with ACACA (phosphorylated); the interaction prevents dephosphorylation of ACACA. Interacts with AURKA. Interacts with UBXN1. Part of a trimeric complex containing BRCA1, BRCA2 and PALB2. Interacts with PALB2 and this interaction is essential for its function in HRR. Interacts with BRCA2 only in the presence of PALB2 which serves as the bridging protein.

Subcellular Location:
Cytoplasm; Nucleus. Localizes at sites of DNA damage at double-strand breaks (DSBs) and recruitment to DNA damage sites is mediated by the BRCA1-A complex.

Tissue Specificity:
Isoform 1 and isoform 3 are widely expressed. Isoform 3 is reduced or absent in several breast and ovarian cancer cell lines.

Post-translational modifications:
Phosphorylation at Ser-308 by AURKA is required for normalcell cycle progression from G2 to mitosis. Phosphorylated inresponse to IR, UV, and various stimuli that cause checkpointactivation, probably by ATM or ATR. Phosphorylation at Ser-988 byCHEK2 regulates mitotic spindle assembly.
Autoubiquitinated, undergoes 'Lys-6'-linkedpolyubiquitination. 'Lys-6'-linked polyubiquitination does notpromote degradation.

DISEASE:
Defects in BRCA1 are a cause of susceptibility to breastcancer (BC) [MIM:114480]. A common malignancy originating frombreast epithelial tissue. Breast neoplasms can be distinguished bytheir histologic pattern. Invasive ductal carcinoma is by far themost common type. Breast cancer is etiologically and geneticallyheterogeneous. Important genetic factors have been indicated byfamilial occurrence and bilateral involvement. Mutations at morethan one locus can be involved in different families or even in thesame case. Note=Mutations in BRCA1 are thought to be responsiblefor 45% of inherited breast cancer. Moreover, BRCA1 carriers have a4-fold increased risk of colon cancer, whereas male carriers face a3-fold increased risk of prostate cancer. Cells lacking BRCA1 showdefects in DNA repair by homologous recombination.
Defects in BRCA1 are a cause of susceptibility tofamilial breast-ovarian cancer type 1 (BROVCA1) [MIM:604370]. Acondition associated with familial predisposition to cancer of thebreast and ovaries. Characteristic features in affected familiesare an early age of onset of breast cancer (often before age 50),increased chance of bilateral cancers (cancer that develop in bothbreasts, or both ovaries, independently), frequent occurrence ofbreast cancer among men, increased incidence of tumors of otherspecific organs, such as the prostate. Note=Mutations in BRCA1 arethought to be responsible for more than 80% of inheritedbreast-ovarian cancer.
Defects in BRCA1 are a cause of susceptibility to ovariancancer (OC) [MIM:167000]. The term ovarian cancer definesmalignancies originating from ovarian tissue. Although manyhistologic types of ovarian tumors have been described, epithelialovarian carcinoma is the most common form. Ovarian cancers areoften asymptomatic and the recognized signs and symptoms, even oflate-stage disease, are vague. Consequently, most patients arediagnosed with advanced disease.
Defects in BRCA1 are a cause of susceptibility topancreatic cancer type 4 (PNCA4)

Similarity:
Contains 2 BRCT domains.
Contains 1 RING-type zinc finger.

SWISS:
P38398

Gene ID:
672

Database links:

Entrez Gene: 672 Human

Omim: 113705 Human

SwissProt: P38398 Human

Unigene: 194143 Human



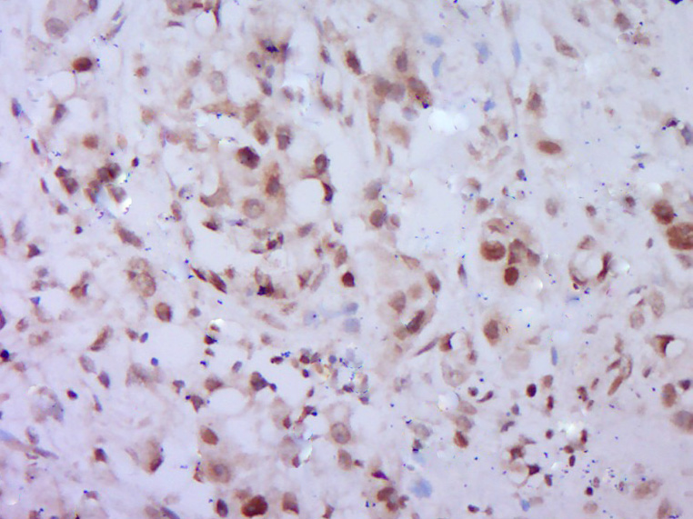
产品图片
Paraformaldehyde-fixed, paraffin embedded (human prostate tissue); Antigen retrieval by boiling in sodium citrate buffer (pH6.0) for 15min; Block endogenous peroxidase by 3% hydrogen peroxide for 20 minutes; Blocking buffer (normal goat serum) at 37°C for 30min; Antibody incubation with (P-BRCA1 (Ser1466)) Polyclonal Antibody, Unconjugated (bs-20442R) at 1:400 overnight at 4°C, followed by a conjugated secondary (sp-0023) for 20 minutes and DAB staining.
Paraformaldehyde-fixed, paraffin embedded (human breast carcinoma); Antigen retrieval by boiling in sodium citrate buffer (pH6.0) for 15min; Block endogenous peroxidase by 3% hydrogen peroxide for 20 minutes; Blocking buffer (normal goat serum) at 37°C for 30min; Antibody incubation with (Phospho-BRCA1 (Ser1466)) Polyclonal Antibody, Unconjugated (bs-20442R) at 1:200 overnight at 4°C, followed by operating according to SP Kit(Rabbit) (sp-0023) instructionsand DAB staining.
Paraformaldehyde-fixed, paraffin embedded (human breast); Antigen retrieval by boiling in sodium citrate buffer (pH6.0) for 15min; Block endogenous peroxidase by 3% hydrogen peroxide for 20 minutes; Blocking buffer (normal goat serum) at 37°C for 30min; Antibody incubation with (Phospho-BRCA1 (Ser1466)) Polyclonal Antibody, Unconjugated (bs-20442R) at 1:200 overnight at 4°C, followed by operating according to SP Kit(Rabbit) (sp-0023) instructionsand DAB staining.
Paraformaldehyde-fixed, paraffin embedded (Human stomach cancer); Antigen retrieval by boiling in sodium citrate buffer (pH6.0) for 15min; Block endogenous peroxidase by 3% hydrogen peroxide for 20 minutes; Blocking buffer (normal goat serum) at 37°C for 30min; Antibody incubation with (P-BRCA1 (Ser1466)) Polyclonal Antibody, Unconjugated (bs-20442R) at 1:400 overnight at 4°C, followed by operating according to SP Kit(Rabbit) (sp-0023) instructionsand DAB staining.
Paraformaldehyde-fixed, paraffin embedded (Human kidney); Antigen retrieval by boiling in sodium citrate buffer (pH6.0) for 15min; Block endogenous peroxidase by 3% hydrogen peroxide for 20 minutes; Blocking buffer (normal goat serum) at 37°C for 30min; Antibody incubation with (P-BRCA1 (Ser1466)) Polyclonal Antibody, Unconjugated (bs-20442R) at 1:400 overnight at 4°C, followed by operating according to SP Kit(Rabbit) (sp-0023) instructionsand DAB staining.
Blank control (blue line): HL60(fixed with 70% methanol (Overnight at -20℃) and then permeabilized with ice-cold 90% methanol for 30 min on ice). Primary Antibody (green line): Rabbit Anti-Phospho-BRCA1 (Ser1466) antibody (bs-20442R),Dilution: 1μg /10^6 cells; Isotype Control Antibody (orange line): Rabbit IgG . Secondary Antibody (white blue line): Goat anti-rabbit IgG-PE,Dilution: 1μg /test.
版权所有 2004-2026 www.bioss.com.cn 北京博奥森生物技术有限公司
通过国际质量管理体系ISO 9001:2015 GB/T 19001-2016    证书编号: 00124Q34771R2M/1100
通过国际医疗器械-质量管理体系ISO 13485:2016 GB/T 42061-2022     证书编号: CQC24QY20047R0M/1100
京ICP备05066980号-1         京公网安备110107000727号