扫码关注公众号           扫码咨询技术支持           扫码咨询技术服务
  
客服热线:400-901-9800  客服QQ:4009019800  技术答疑  技术支持  质量反馈  人才招聘  关于我们  联系我们
产品中心-北京博奥森生物技术有限公司
首页 > 产品中心 > 一抗 > 产品信息
Galactosylceramidase Rabbit pAb (bs-20477R)  
订购热线:400-901-9800
订购邮箱:sales@bioss.com.cn
订购QQ:  400-901-9800
技术支持:techsupport@bioss.com.cn
50ul/1180.00元
100ul/1980.00元
200ul/2800.00元
大包装/询价

产品编号 bs-20477R
英文名称 Galactosylceramidase Rabbit pAb
中文名称 半乳糖神经酰胺酶抗体
别    名 2310068B06Rik; A930008M05Rik; Gacy; twi; twitcher; GALC_CANLF; GALC; GALCERase; Galactocerebroside beta-galactosidase; Galactosylceramidase; Galactosylceramide beta-galactosidase; 3.2.1.46; GALC_HUMAN; GALC_MOUSE;   
研究领域 肿瘤  细胞生物  神经生物学  信号转导  新陈代谢  
抗体来源 Rabbit
克隆类型 Polyclonal
克 隆 号
交叉反应 Human,Rat (predicted: Mouse,Rabbit,Pig,Sheep,Cow,Dog,Horse)
产品应用 WB=1:500-2000,IHC-P=1:100-500,IHC-F=1:100-500,IF=1:100-500
not yet tested in other applications.
optimal dilutions/concentrations should be determined by the end user.
理论分子量 73 kDa
检测分子量 73
细胞定位 细胞浆 
性    状 Liquid
浓    度 1mg/ml
免 疫 原 KLH conjugated synthetic peptide derived from human Galactosylceramidase: 211-320/685 
亚    型 IgG
纯化方法 affinity purified by Protein A
缓 冲 液 0.01M TBS (pH7.4) with 1% BSA, 0.02% Proclin300 and 50% Glycerol.
保存条件 Shipped at 4℃. Store at -20℃ for one year. Avoid repeated freeze/thaw cycles.
注意事项 This product as supplied is intended for research use only, not for use in human, therapeutic or diagnostic applications.
PubMed PubMed
产品介绍 GALC is a lysosomal enzyme that hydrolyzes galactose ester bonds in various galactolipids, including galactosylceramide, galactosylsphingosine, lactosylceramide and monogalactosyldiglyceride. Galactolipids contain glucose and/or galactose, and are found in the brain and other nerve tissue, especially the myelin sheath. Galactosylceramide is a major lipid in myelin, kidney, and epithelial cells of the small intestine and colon. Mutations in the GALC gene that compromise protein function correlate to Krabbe disease (globoid cell leukodystrophy, GLD). GLD is an autosomal recessive condition that affects approximately 1 in 150,000 infants and results in progressive destruction of the nervous system. The “twitcher” mouse is a model system for GLD; the genotype is a premature stop codon (W339X) in the galactosylceramidase (GALC) gene that abolishes enzymatic activity. Alternate transcriptional splice variants, encoding different isoforms, have been characterized.

Function:
Galactosylceramidase hydrolyzes the galactose ester bonds of galactosylceramide, galactosylsphingosine, lactosylceramide, and monogalactosyldiglyceride. It is an enzyme with very low activity responsible for the lysosomal catabolism of galactosylceramide, a major lipid in myelin, kidney and epithelial cells of small intestine and colon. It shows highest level of activity in testes compared to brain, kidney, placenta and liver. It can also be found in urine. Defects in Galactosylceramidase are the cause of globoid cell leukodystrophy (GLD); also known as Krabbe disease. This autosomal recessive disorder results in the insufficient catabolism of several galactolipids that are important in the production of normal myelin. Clinically, the most frequent form is the infantile form. Most patients (90%) present before six months of age with irritability, spasticity, arrest of motor and mental development, and bouts of temperature elevation without infection. This is followed by myoclonic jerks of arms and legs, oposthotonus, hypertonic fits, and mental regression, which progresses to a severe decerebrate condition with no voluntary movements and death from respiratory infections or cerebral hyperpyrexia before 2 years of age. However, a significant number of cases with later onset, presenting with unexplained blindness, weakness and/or progressive motor, and sensory neuropathy that can progress to severe mental incapacity and death, have been identified.

Subcellular Location:
Lysosomal.

Tissue Specificity:
Highest level of activity in testes compared to brain, kidney, placenta and liver. Can also be found in urine.

DISEASE:
Defects in GALC are the cause of leukodystrophy globoid cell (GLD) [MIM:245200]; also known as Krabbe disease. This autosomal recessive disorder results in the insufficient catabolism of several galactolipids that are important in the production of normal myelin. Clinically, the most frequent form is the infantile form. Most patients (90%) present before six months of age with irritability, spasticity, arrest of motor and mental development, and bouts of temperature elevation without infection. This is followed by myoclonic jerks of arms and legs, oposthotonus, hypertonic fits, and mental regression, which progresses to a severe decerebrate condition with no voluntary movements and death from respiratory infections or cerebral hyperpyrexia before 2 years of age. However, a significant number of cases with later onset, presenting with unexplained blindness, weakness and/or progressive motor, and sensory neuropathy that can progress to severe mental incapacity and death, have been identified.

Similarity:
Belongs to the glycosyl hydrolase 59 family.

SWISS:
P54803

Gene ID:
2581

Database links:

Entrez Gene: 533428 Cow

Entrez Gene: 403916 Dog

Entrez Gene: 2581 Human

Entrez Gene: 14420 Mouse

Entrez Gene: 314360 Rat

Omim: 606890 Human

SwissProt: P54804 Dog

SwissProt: P54803 Human

SwissProt: P54818 Mouse

Unigene: 41497 Cow

Unigene: 3777 Dog

Unigene: 513439 Human

Unigene: 5120 Mouse

Unigene: 30608 Rat



产品图片
Sample: Lane 1: Human HUVEC cell Lysates Lane 2: Human U-2 OScell Lysates Primary: Anti-Galactosylceramidase (bs-20477R) at 1/1000 dilution Secondary: IRDye800CW Goat Anti-Rabbit IgG at 1/20000 dilution Predicted band size: 73kDa Observed band size: 73kDa
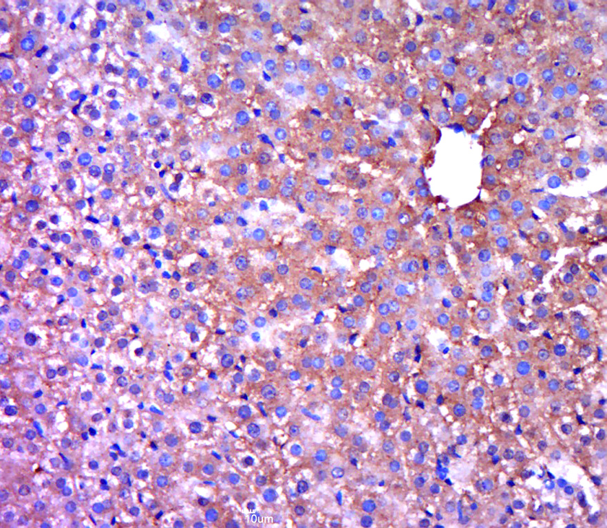
Paraformaldehyde-fixed, paraffin embedded (rat liver tissue); Antigen retrieval by boiling in sodium citrate buffer (pH6.0) for 15min; Block endogenous peroxidase by 3% hydrogen peroxide for 20 minutes; Blocking buffer (normal goat serum) at 37°C for 30min; Antibody incubation with (Galactosylceramidase) Polyclonal Antibody, Unconjugated (bs-20477R) at 1:400 overnight at 4°C, followed by a conjugated secondary (sp-0023) for 20 minutes and DAB staining.
版权所有 2004-2026 www.bioss.com.cn 北京博奥森生物技术有限公司
通过国际质量管理体系ISO 9001:2015 GB/T 19001-2016    证书编号: 00124Q34771R2M/1100
通过国际医疗器械-质量管理体系ISO 13485:2016 GB/T 42061-2022     证书编号: CQC24QY20047R0M/1100
京ICP备05066980号-1         京公网安备110107000727号