扫码关注公众号           扫码咨询技术支持           扫码咨询技术服务
  
客服热线:400-901-9800  客服QQ:4009019800  技术答疑  技术支持  质量反馈  人才招聘  关于我们  联系我们
产品中心-北京博奥森生物技术有限公司
首页 > 产品中心 > 一抗 > 产品信息
DUSP21 Rabbit pAb (bs-20849R)  
订购热线:400-901-9800
订购邮箱:sales@bioss.com.cn
订购QQ:  400-901-9800
技术支持:techsupport@bioss.com.cn
50ul/1180.00元
100ul/1980.00元
200ul/2800.00元
大包装/询价

产品编号 bs-20849R
英文名称 DUSP21 Rabbit pAb
中文名称 双特异性磷酸酶抗体21抗体
别    名 LMWDSP21; DUS21_HUMAN; DUSP21; Low molecular weight dual specificity phosphatase 21 (LMW-DSP21); 3.1.3.16; 3.1.3.48;   
研究领域 细胞生物  信号转导  激酶和磷酸酶  
抗体来源 Rabbit
克隆类型 Polyclonal
克 隆 号
交叉反应 Rat (predicted: Mouse)
产品应用 IHC-P=1:100-500,IHC-F=1:100-500,IF=1:100-500
not yet tested in other applications.
optimal dilutions/concentrations should be determined by the end user.
理论分子量 22 kDa
细胞定位 细胞核 细胞浆 
性    状 Liquid
浓    度 1mg/ml
免 疫 原 KLH conjugated synthetic peptide derived from mouse DUSP21: 41-140/190 
亚    型 IgG
纯化方法 affinity purified by Protein A
缓 冲 液 0.01M TBS (pH7.4) with 1% BSA, 0.02% Proclin300 and 50% Glycerol.
保存条件 Shipped at 4℃. Store at -20℃ for one year. Avoid repeated freeze/thaw cycles.
注意事项 This product as supplied is intended for research use only, not for use in human, therapeutic or diagnostic applications.
PubMed PubMed
产品介绍 This gene encodes a member of the dual specificity phosphatase family, specifically the low molecular weight dual specificity phosphatase family. The encoded protein localizes to both the cytoplasm and the nucleus and functions to remove phosphate groups from phosphotyrosine and phosphothreonine residues.[provided by RefSeq, Mar 2009]

Function:
Can dephosphorylate single and diphosphorylated synthetic MAPK peptides, with preference for the phosphotyrosine and diphosphorylated forms over phosphothreonine.

Subcellular Location:
Cytoplasm. Nucleus.

Tissue Specificity:
Expressed in testis.

Similarity:
Belongs to the protein-tyrosine phosphatase family. Non-receptor class dual specificity subfamily.
Contains 1 tyrosine-protein phosphatase domain.

Database links:

Entrez Gene: 73547 Mouse

SwissProt: Q9D9D8 Mouse



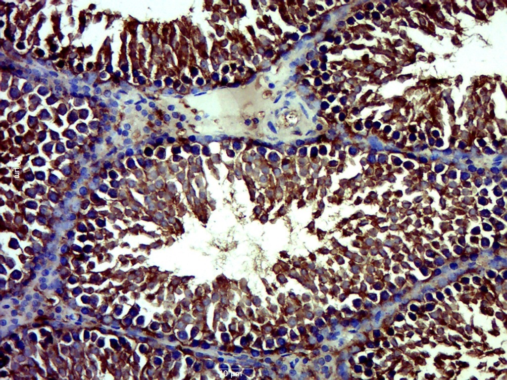
产品图片
Paraformaldehyde-fixed, paraffin embedded (Rat testis); Antigen retrieval by boiling in sodium citrate buffer (pH6.0) for 15min; Block endogenous peroxidase by 3% hydrogen peroxide for 20 minutes; Blocking buffer (normal goat serum) at 37°C for 30min; Antibody incubation with (DUSP21) Polyclonal Antibody, Unconjugated (bs-20849R) at 1:500 overnight at 4°C, followed by a conjugated secondary (sp-0023) for 20 minutes and DAB staining.
版权所有 2004-2026 www.bioss.com.cn 北京博奥森生物技术有限公司
通过国际质量管理体系ISO 9001:2015 GB/T 19001-2016    证书编号: 00124Q34771R2M/1100
通过国际医疗器械-质量管理体系ISO 13485:2016 GB/T 42061-2022     证书编号: CQC24QY20047R0M/1100
京ICP备05066980号-1         京公网安备110107000727号