扫码关注公众号           扫码咨询技术支持           扫码咨询技术服务
  
客服热线:400-901-9800  客服QQ:4009019800  技术答疑  技术支持  质量反馈  关于我们  联系我们
产品中心-北京博奥森生物技术有限公司
首页 > 产品中心 > 一抗 > 产品信息
UCP-2 Rabbit pAb (bs-20750R)  
订购热线:400-901-9800
订购邮箱:sales@bioss.com.cn
订购QQ:  400-901-9800
技术支持:techsupport@bioss.com.cn
50ul/1180.00元
100ul/1980.00元
200ul/2800.00元
大包装/询价

产品编号 bs-20750R
英文名称 UCP-2 Rabbit pAb
中文名称 线粒体脱偶连蛋白2抗体
别    名 Uncoupling Protein-2; UCP2; UCP 2; BMIQ4; Mitochondrial uncoupling protein 2; SLC25A8; UCPH; Uncoupling protein 2; Uncoupling protein 2 mitochondrial proton carrier; Solute carrier family 25 member 8; UCP2_HUMAN.  
Specific References  (3)     |     bs-20750R has been referenced in 3 publications.
[IF=7.129] Li Xu. et al. Fenpropathrin increases gliquidone absorption via causing damage to the integrity of intestinal barrier. ECOTOX ENVIRON SAFE. 2022 Sep;242:113882  WB ;  Rat.  
[IF=6.312] Jianwei Wang. et al. A Preliminary Study on the Effect of Hydrogen Gas on Alleviating Early CCl4-Induced Chronic Liver Injury in Rats. Antioxidants-Basel. 2021 Dec;10(12):1933  WB ;  Rat.  
[IF=5.279] Lei Wang. et al. Lactobacillus plantarum DP189 Reduces α-SYN Aggravation in MPTP-Induced Parkinson’s Disease Mice via Regulating Oxidative Damage, Inflammation, and Gut Microbiota Disorder. J Agr Food Chem. 2022;70(4):1163–1173  WB ;  Mouse.  
研究领域 细胞生物  免疫学  染色质和核信号  糖尿病  
抗体来源 Rabbit
克隆类型 Polyclonal
克 隆 号
交叉反应 Human,Mouse (predicted: Rat,Rabbit,Pig,Sheep,Cow,Dog,Horse)
产品应用 WB=1:500-2000,IHC-P=1:100-500,IHC-F=1:100-500,IF=1:100-500
not yet tested in other applications.
optimal dilutions/concentrations should be determined by the end user.
理论分子量 34 kDa
检测分子量
细胞定位 细胞浆 
性    状 Liquid
浓    度 1mg/ml
免 疫 原 KLH conjugated synthetic peptide derived from human UCP-2: 121-220/309 
亚    型 IgG
纯化方法 affinity purified by Protein A
缓 冲 液 0.01M TBS (pH7.4) with 1% BSA, 0.02% Proclin300 and 50% Glycerol.
保存条件 Shipped at 4℃. Store at -20℃ for one year. Avoid repeated freeze/thaw cycles.
注意事项 This product as supplied is intended for research use only, not for use in human, therapeutic or diagnostic applications.
PubMed PubMed
产品介绍 UCPs facilitate the transfer of anions from the inner to the outer mitochondrial membrane and the return transfer of protons from the outer to the inner mitochondrial membrane. They also reduce the mitochondrial membrane potential in mammalian cells. UCP2 gene is expressed in many tissues, with the greatest expression in skeletal muscle. UCP2 is thought to play a role in non shivering thermogenesis, obesity and diabetes.

Function:
UCP are mitochondrial transporter proteins that create proton leaks across the inner mitochondrial membrane, thus uncoupling oxidative phosphorylation from ATP synthesis. As a result, energy is dissipated in the form of heat.

Subunit:
Acts as a dimer forming a proton channel (By similarity).

Subcellular Location:
Mitochondrion inner membrane; Multi-pass membrane protein.

Tissue Specificity:
Widely expressed in adult human tissues, including tissues rich in macrophages. Most expressed in white adipose tissue and skeletal muscle.

Similarity:
Belongs to the mitochondrial carrier family.
Contains 3 Solcar repeats.

SWISS:
P55851

Gene ID:
7351

Database links:

Entrez Gene: 7351 Human

Entrez Gene: 54315 Rat

Omim: 601693 Human

SwissProt: P55851 Human

SwissProt: P56500 Rat

Unigene: 80658 Human

Unigene: 13333 Rat



UCP-2又称解耦联蛋白 2 (UCP2 )是 1997年发现的一种新的解偶联蛋白 ,它是线粒体内膜载体家族的一员 。与其类似物UCP1相比 ,UCP2在棕色脂肪组织中含量较低 ,但在体内分布广泛。解耦联蛋白(UCP)具有使线粒体呼吸链解耦联作用,解耦联所释放的能量以热能的形式散发。在对UCP与产热关系的研究中,发现UCP2具有调节机体能量代谢的功能,并且可能是肥胖与2型糖尿病相关联的一个重要基因。
产品图片
Sample: Lane 1: Stomach (Mouse) Lysate at 40 ug Lane 2: Spleen (Mouse) Lysate at 40 ug Lane 3: NIH/3T3 (Mouse) Cell Lysate at 30 ug Lane 4: Du145 (Human) Cell Lysate at 30 ug Primary: Anti-UCP-2 (bs-20750R) at 1/1000 dilution Secondary: IRDye800CW Goat Anti-Rabbit IgG at 1/20000 dilution Predicted band size: 33 kD Observed band size: 33 kD
Sample: Hela(Human) Cell Lysate at 30 ug A673(Human) Cell Lysate at 30 ug Primary: Anti-UCP-2 (bs-20750R) at 1/300 dilution Secondary: IRDye800CW Goat Anti-Rabbit IgG at 1/20000 dilution Predicted band size: 34 kD Observed band size: 34 kD
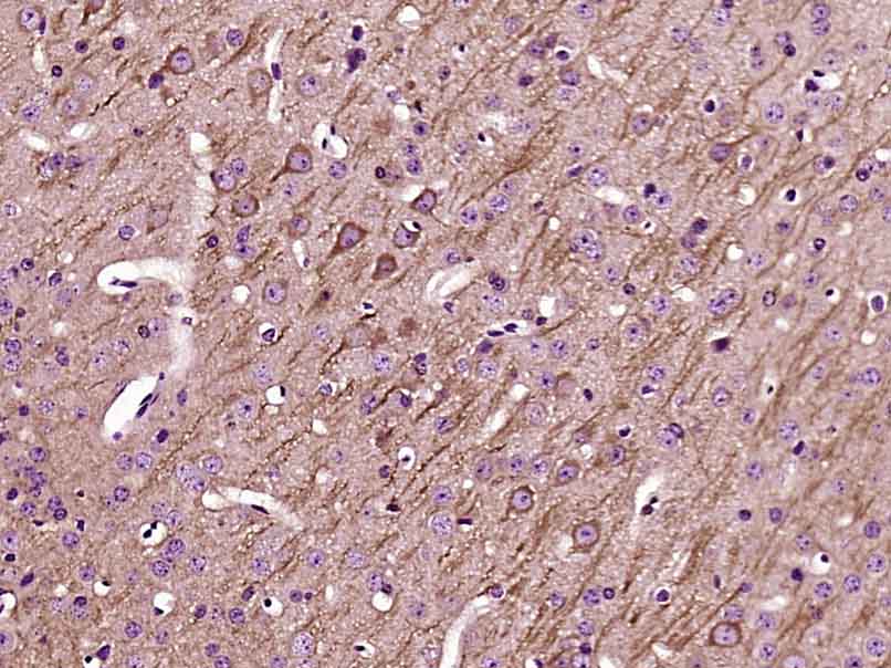
Paraformaldehyde-fixed, paraffin embedded (Mouse brain); Antigen retrieval by boiling in sodium citrate buffer (pH6.0) for 15min; Block endogenous peroxidase by 3% hydrogen peroxide for 20 minutes; Blocking buffer (normal goat serum) at 37°C for 30min; Antibody incubation with (UCP-2) Polyclonal Antibody, Unconjugated (bs-20750R) at 1:400 overnight at 4°C, followed by operating according to SP Kit(Rabbit) (sp-0023) instructionsand DAB staining.
版权所有 2004-2026 www.bioss.com.cn 北京博奥森生物技术有限公司
通过国际质量管理体系ISO 9001:2015 GB/T 19001-2016    证书编号: 00124Q34771R2M/1100
通过国际医疗器械-质量管理体系ISO 13485:2016 GB/T 42061-2022     证书编号: CQC24QY20047R0M/1100
京ICP备05066980号-1         京公网安备110107000727号