扫码关注公众号           扫码咨询技术支持           扫码咨询技术服务
  
客服热线:400-901-9800  客服QQ:4009019800  技术答疑  技术支持  质量反馈  关于我们  联系我们
产品中心-北京博奥森生物技术有限公司
首页 > 产品中心 > 一抗 > 产品信息
HES5 Rabbit pAb (bs-23071R)  
订购热线:400-901-9800
订购邮箱:sales@bioss.com.cn
订购QQ:  400-901-9800
技术支持:techsupport@bioss.com.cn
50ul/1180.00元
100ul/1980.00元
200ul/2800.00元
大包装/询价

产品编号 bs-23071R
英文名称 HES5 Rabbit pAb
中文名称 发状分裂相关增强子-5抗体
别    名 BHLHB38; Transcription factor HES-5; Class B basic helix-loop-helix protein 38(bHLHb38); Hairy and enhancer of split 5; HES 5; HES5 protein; MGI:104876; HES5_HUMAN.  
研究领域 信号转导  干细胞  转录调节因子  
抗体来源 Rabbit
克隆类型 Polyclonal
克 隆 号
交叉反应 Human,Mouse (predicted: Rat,Cow,Dog,Horse)
产品应用 IHC-P=1:100-500,IHC-F=1:100-500,IF=1:100-500,ICC/IF=1:100-500
not yet tested in other applications.
optimal dilutions/concentrations should be determined by the end user.
理论分子量 18 kDa
检测分子量
细胞定位 细胞核 
性    状 Liquid
浓    度 1mg/ml
免 疫 原 KLH conjugated synthetic peptide derived from human HES5: 31-130/166 
亚    型 IgG
纯化方法 affinity purified by Protein A
缓 冲 液 0.01M TBS (pH7.4) with 1% BSA, 0.02% Proclin300 and 50% Glycerol.
保存条件 Shipped at 4℃. Store at -20℃ for one year. Avoid repeated freeze/thaw cycles.
注意事项 This product as supplied is intended for research use only, not for use in human, therapeutic or diagnostic applications.
PubMed PubMed
产品介绍 This gene encodes a member of a family of basic helix-loop-helix transcriptional repressors. The protein product of this gene, which is activated downstream of the Notch pathway, regulates cell differentiation in multiple tissues. Disruptions in the normal expression of this gene have been associated with developmental diseases and cancer. [provided by RefSeq, Dec 2008]

Function:
Transcriptional repressor of genes that require a bHLH protein for their transcription

Subunit:
Transcription repression requires formation of a complex with a corepressor protein of the Groucho/TLE family.

Subcellular Location:
Nucleus.

Tissue Specificity:
Expressed in fetal heart and brain tumors.

Similarity:
Contains 1 basic helix-loop-helix (bHLH) domain.
Contains 1 Orange domain.

SWISS:
Q5TA89

Gene ID:
388585

Database links:

Entrez Gene: 388585 Human

Entrez Gene: 15208 Mouse

Entrez Gene: 79225 Rat

SwissProt: Q5TA89 Human

SwissProt: P70120 Mouse

SwissProt: Q03062 Rat



产品图片
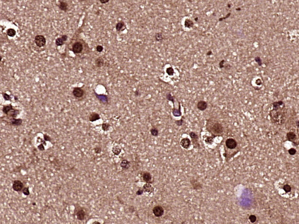
Paraformaldehyde-fixed, paraffin embedded (Human glioma); Antigen retrieval by boiling in sodium citrate buffer (pH6.0) for 15min; Block endogenous peroxidase by 3% hydrogen peroxide for 20 minutes; Blocking buffer (normal goat serum) at 37°C for 30min; Antibody incubation with (Hes5) Polyclonal Antibody, Unconjugated (bs-23071R) at 1:400 overnight at 4°C, followed by operating according to SP Kit(Rabbit) (sp-0023) instructionsand DAB staining.
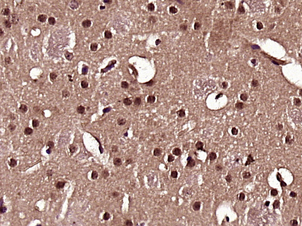
Paraformaldehyde-fixed, paraffin embedded (Mouse brain); Antigen retrieval by boiling in sodium citrate buffer (pH6.0) for 15min; Block endogenous peroxidase by 3% hydrogen peroxide for 20 minutes; Blocking buffer (normal goat serum) at 37°C for 30min; Antibody incubation with (Hes5) Polyclonal Antibody, Unconjugated (bs-23071R) at 1:400 overnight at 4°C, followed by operating according to SP Kit(Rabbit) (sp-0023) instructionsand DAB staining.
U87MG cell; 4% Paraformaldehyde-fixed; Triton X-100 at room temperature for 20 min; Blocking buffer (normal goat serum, C-0005) at 37°C for 20 min; Antibody incubation with (Hes5) polyclonal Antibody, Unconjugated (bs-23071R) 1:100, 90 minutes at 37°C; followed by a conjugated Goat Anti-Rabbit IgG antibody at 37°C for 90 minutes, DAPI (blue, C02-04002) was used to stain the cell nuclei.
版权所有 2004-2026 www.bioss.com.cn 北京博奥森生物技术有限公司
通过国际质量管理体系ISO 9001:2015 GB/T 19001-2016    证书编号: 00124Q34771R2M/1100
通过国际医疗器械-质量管理体系ISO 13485:2016 GB/T 42061-2022     证书编号: CQC24QY20047R0M/1100
京ICP备05066980号-1         京公网安备110107000727号