扫码关注公众号           扫码咨询技术支持           扫码咨询技术服务
  
客服热线:400-901-9800  客服QQ:4009019800  技术答疑  技术支持  质量反馈  关于我们  联系我们
产品中心-北京博奥森生物技术有限公司
首页 > 产品中心 > 一抗 > 产品信息
Aquaporin 4 Mouse mAb (bsm-33068M)  
订购热线:400-901-9800
订购邮箱:sales@bioss.com.cn
订购QQ:  400-901-9800
技术支持:techsupport@bioss.com.cn
50ul/1180.00元
100ul/1980.00元
200ul/2800.00元
200ug(PBS only)/5600.00元
大包装/询价

产品编号 bsm-33068M
英文名称 Aquaporin 4 Mouse mAb
中文名称 水通道蛋白4单克隆抗体
别    名 aquaporin 4; WCH4; Mercurial-insensitive water channel; MIWC; AQP 4; AQP4; Aquaporin4; HMIWC 2; HMIWC2; Mercurial insensitive water channel; MGC22454; MIWC; AQP4_HUMAN; Aquaporin-4; AQP-4.  
研究领域 肿瘤  信号转导  通道蛋白  新陈代谢  
抗体来源 Mouse
克隆类型 Monoclonal
克 隆 号 6G1
交叉反应 Human,Mouse,Rat
产品应用 IHC-P=1:100-500,IHC-F=1:100-500,IF=1:100-500
not yet tested in other applications.
optimal dilutions/concentrations should be determined by the end user.
理论分子量 36 kDa
检测分子量
细胞定位 细胞膜 
性    状 Liquid
浓    度 1mg/ml
免 疫 原 Recombinant human Aquaporin 4 Protein 
亚    型 IgG1
纯化方法 affinity purified by Protein G
缓 冲 液 0.01M TBS (pH7.4) with 1% BSA, 0.02% Proclin300 and 50% Glycerol.
保存条件 Shipped at 4℃. Store at -20℃ for one year. Avoid repeated freeze/thaw cycles.
注意事项 This product as supplied is intended for research use only, not for use in human, therapeutic or diagnostic applications.
PubMed PubMed
产品介绍 This gene encodes a member of the aquaporin family of intrinsic membrane proteins that function as water-selective channels in the plasma membranes of many cells. The encoded protein is the predominant aquaporin found in brain. Two alternatively spliced transcript variants encoding distinct isoforms have been found for this gene. [provided by RefSeq, Jul 2008]

Function:
Forms a water-specific channel. Osmoreceptor which regulates body water balance and mediates water flow within the central nervous system.

Subunit:
Homotetramer. Part of a complex containing MLC1, TRPV4, HEPACAM and ATP1B1.

Subcellular Location:
Membrane; Multi-pass membrane protein.

Tissue Specificity:
Brain, muscle, heart, kidney, lung, and trachea.

Similarity:
Belongs to the MIP/aquaporin (TC 1.A.8) family.

SWISS:
P55087

Gene ID:
361

Database links:

Entrez Gene: 281008 Cow

Entrez Gene: 361 Human

Entrez Gene: 11829 Mouse

Entrez Gene: 25293 Rat

Omim: 600308 Human

SwissProt: O77750 Cow

SwissProt: P55087 Human

SwissProt: P55088 Mouse

SwissProt: P47863 Rat

Unigene: 281008 Cow

Unigene: 315369 Human

Unigene: 250786 Mouse

Unigene: 90091 Rat



产品图片
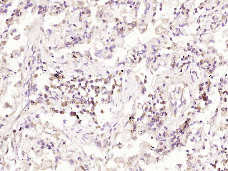
Paraformaldehyde-fixed, paraffin embedded (Human lung cancer); Antigen retrieval by boiling in sodium citrate buffer (pH6.0) for 15min; Block endogenous peroxidase by 3% hydrogen peroxide for 20 minutes; Blocking buffer (normal goat serum) at 37°C for 30min; Antibody incubation with (Aquaporin 4) Monoclonal Antibody, Unconjugated (bsm-33068M) at 1:800 overnight at 4°C, followed by operating according to SP Kit(Mouse) (sp-0024) instructions and DAB staining.
Paraformaldehyde-fixed, paraffin embedded (Rat brain); Antigen retrieval by boiling in sodium citrate buffer (pH6.0) for 15min; Block endogenous peroxidase by 3% hydrogen peroxide for 20 minutes; Blocking buffer (normal goat serum) at 37°C for 30min; Antibody incubation with (Aquaporin 4) Monoclonal Antibody, Unconjugated (bsm-33068M) at 1:800 overnight at 4°C, followed by operating according to SP Kit(Mouse) (sp-0024) instructions and DAB staining.
Paraformaldehyde-fixed, paraffin embedded (mouse lung); Antigen retrieval by boiling in sodium citrate buffer (pH6.0) for 15min; Block endogenous peroxidase by 3% hydrogen peroxide for 20 minutes; Blocking buffer (normal goat serum) at 37°C for 30min; Antibody incubation with (Aquaporin 4) Monoclonal Antibody, Unconjugated (ascites of bsm-33068M 6G1) at 1:2000 overnight at 4°C, followed by operating according to SP Kit(Mouse) (sp-0024) instructions and DAB staining.
版权所有 2004-2026 www.bioss.com.cn 北京博奥森生物技术有限公司
通过国际质量管理体系ISO 9001:2015 GB/T 19001-2016    证书编号: 00124Q34771R2M/1100
通过国际医疗器械-质量管理体系ISO 13485:2016 GB/T 42061-2022     证书编号: CQC24QY20047R0M/1100
京ICP备05066980号-1         京公网安备110107000727号