扫码关注公众号           扫码咨询技术支持           扫码咨询技术服务
  
客服热线:400-901-9800  客服QQ:4009019800  技术答疑  技术支持  质量反馈  人才招聘  关于我们  联系我们
产品中心-北京博奥森生物技术有限公司
首页 > 产品中心 > 一抗 > 产品信息
PDK2 Mouse mAb (bsm-51043M)  
订购热线:400-901-9800
订购邮箱:sales@bioss.com.cn
订购QQ:  400-901-9800
技术支持:techsupport@bioss.com.cn
50ul/1580.00元
100ul/2500.00元
大包装/询价

产品编号 bsm-51043M
英文名称 PDK2 Mouse mAb
中文名称 丙酮酸脱氢酶激酶亚型2单克隆抗体
别    名 PDHK2; PDKII; PDK2_HUMAN; PDK2; Pyruvate dehydrogenase kinase isoform 2 (PDH kinase 2 | PDKII); 2.7.11.2; PDK2_MOUSE; Pyruvate dehydrogenase kinase isoform 2 (PDH kinase 2); PDK2_RAT; PDK P45; pyruvate dehydrogenase kinase 2; pyruvate dehydrogenase kinase, isoenzyme 2; pyruvate dehydrogenase kinase, isozyme 2  
研究领域 肿瘤  细胞生物  信号转导  转录调节因子  激酶和磷酸酶  线粒体  
抗体来源 Mouse
克隆类型 Monoclonal
克 隆 号 7E5
交叉反应 Human,Mouse,Rat
产品应用 WB=1:500-2000,IHC-P=1:50-200,IHC-F=1:50-200,IF=1:50-200
not yet tested in other applications.
optimal dilutions/concentrations should be determined by the end user.
理论分子量 46kDa
检测分子量 46
细胞定位 细胞浆 线粒体
性    状 Liquid
浓    度 1mg/ml
免 疫 原 Recombinant human PDK2 
亚    型 IgG1
纯化方法 affinity purified by Protein G
缓 冲 液 0.01M TBS (pH7.4) with 1% BSA, 0.02% Proclin300 and 50% Glycerol.
保存条件 Shipped at 4℃. Store at -20℃ for one year. Avoid repeated freeze/thaw cycles.
注意事项 This product as supplied is intended for research use only, not for use in human, therapeutic or diagnostic applications.
PubMed PubMed
产品介绍 This gene encodes a member of the pyruvate dehydrogenase kinase family. The encoded protein phosphorylates pyruvate dehydrogenase, down-regulating the activity of the mitochondrial pyruvate dehydrogenase complex. Overexpression of this gene may play a role in both cancer and diabetes. Alternatively spliced transcript variants encoding multiple isoforms have been observed for this gene. [provided by RefSeq, Dec 2010].

Function:
Serine/threonine kinase that plays a key role in the regulation of glucose and fatty acid metabolism and homeostasis via phosphorylation of the pyruvate dehydrogenase subunits PDHA1 and PDHA2. This inhibits pyruvate dehydrogenase activity, and thereby regulates metabolite flux through the tricarboxylic acid cycle, down-regulates aerobic respiration and inhibits the formation of acetyl-coenzyme A from pyruvate. Inhibition of pyruvate dehydrogenase decreases glucose utilization and increases fat metabolism. Mediates cellular responses to insulin. Plays an important role in maintaining normal blood glucose levels and in metabolic adaptation to nutrient availability. Via its regulation of pyruvate dehydrogenase activity, plays an important role in maintaining normal blood pH and in preventing the accumulation of ketone bodies under starvation. Plays a role in the regulation of cell proliferation and in resistance to apoptosis under oxidative stress. Plays a role in p53/TP53-mediated apoptosis.

Subunit:
Homodimer, and heterodimer with PDK1. Interacts with the pyruvate dehydrogenase complex subunit DLAT, and is part of the multimeric pyruvate dehydrogenase complex that contains multiple copies of pyruvate dehydrogenase (E1), dihydrolipoamide acetyltransferase (DLAT, E2) and lipoamide dehydrogenase (DLD, E3).

Subcellular Location:
Mitochondrion matrix.

Tissue Specificity:
Expressed in many tissues, with the highest level in heart and skeletal muscle, intermediate levels in brain, kidney, pancreas and liver, and low levels in placenta and lung.

Similarity:
Belongs to the PDK/BCKDK protein kinase family.
Contains 1 histidine kinase domain.

SWISS:
Q15119

Gene ID:
5164

Database links:

Entrez Gene: 5164 Human

Entrez Gene: 18604 Mouse

Entrez Gene: 81530 Rat

Omim: 602525 Human

SwissProt: Q15119 Human

SwissProt: Q9JK42 Mouse

SwissProt: Q64536 Rat

Unigene: 256667 Human

Unigene: 29768 Mouse

Unigene: 88597 Rat



产品图片
25 ug total protein per lane of various lysates (see on figure) probed with PDK2 monoclonal antibody, unconjugated (bsm-51043M) at 1:1000 dilution and 4°C overnight incubation. Followed by conjugated secondary antibody incubation at r.t. for 60 min.
Paraformaldehyde-fixed, paraffin embedded Human Kidney; Antigen retrieval by boiling in sodium citrate buffer (pH6.0) for 15 min; The section was incubated with PDK2 Monoclonal Antibody, Unconjugated (bsm-51043M) at 1:200 overnight at 4°C, followed by conjugation to the bs-40296G-HRP and DAB (C-0010) staining.
Paraformaldehyde-fixed, paraffin embedded Human Cerebrum; Antigen retrieval by boiling in sodium citrate buffer (pH6.0) for 15 min; The section was incubated with PDK2 Monoclonal Antibody, Unconjugated (bsm-51043M) at 1:200 overnight at 4°C, followed by conjugation to the bs-40296G-HRP and DAB (C-0010) staining.
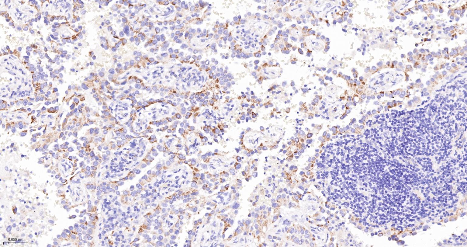
Paraformaldehyde-fixed, paraffin embedded Human Lung Cancer; Antigen retrieval by boiling in sodium citrate buffer (pH6.0) for 15 min; The section was incubated with PDK2 Monoclonal Antibody, Unconjugated (bsm-51043M) at 1:200 overnight at 4°C, followed by conjugation to the bs-40296G-HRP and DAB (C-0010) staining.
版权所有 2004-2026 www.bioss.com.cn 北京博奥森生物技术有限公司
通过国际质量管理体系ISO 9001:2015 GB/T 19001-2016    证书编号: 00124Q34771R2M/1100
通过国际医疗器械-质量管理体系ISO 13485:2016 GB/T 42061-2022     证书编号: CQC24QY20047R0M/1100
京ICP备05066980号-1         京公网安备110107000727号