| 产品编号 | bsm-33037M | 
| 英文名称 | COX4I1 Mouse mAb, Mitochondrial Loading Control | 
| 中文名称 | 细胞色素c氧化酶IV亚型1(内参)单克隆抗体 | 
| 别 名 | COX41_HUMAN; Cytochrome c oxidase subunit 4 isoform 1, mitochondrial; COX4; Cytochrome c oxidase polypeptide IV; Cytochrome c oxidase subunit IV isoform 1(COX IV-1); COX-IV; COX IV; COX 4; COX 4I1; 线粒体内参; | 
|  | Specific References  (3)     |     bsm-33037M has been referenced in 3 publications. 
[IF=13.934] Han Yan. et al. FAM3A maintains metabolic homeostasis by interacting with F1-ATP synthase to regulate the activity and assembly of ATP synthase. METABOLISM. 2022 Dec;:155372  WB ;  Mouse, Human.   
[IF=9.685] Chen, Ying. et al. Elevated SFXN2 limits mitochondrial autophagy and increases iron-mediated energy production to promote multiple myeloma cell proliferation. CELL DEATH DIS. 2022 Sep;13(9):1-14  IF ;  Human.   
[IF=3.585]    | 
| 产品类型 | 内参抗体 | 
| 研究领域 | 细胞生物 免疫学 线粒体 | 
| 抗体来源 | Mouse | 
| 克隆类型 | Monoclonal | 
| 克 隆 号 | 8D8 | 
| 交叉反应 | Human,Mouse,Rat | 
| 产品应用 | WB=1:500-2000,IHC-P=1:200-800,IHC-F=1:200-800,IF=1:200-800 not yet tested in other applications. optimal dilutions/concentrations should be determined by the end user. | 
| 理论分子量 | 17 kDa | 
| 检测分子量 | |
| 细胞定位 | 细胞浆 细胞膜 线粒体 | 
| 性 状 | Liquid | 
| 浓 度 | 1mg/ml | 
| 免 疫 原 | Recombinant human COX4 | 
| 亚 型 | IgG | 
| 纯化方法 | affinity purified by Protein G | 
| 缓 冲 液 | 0.01M TBS (pH7.4) with 1% BSA, 0.02% Proclin300 and 50% Glycerol. | 
| 保存条件 | Shipped at 4℃. Store at -20℃ for one year. Avoid repeated freeze/thaw cycles. | 
| 注意事项 | This product as supplied is intended for research use only, not for use in human, therapeutic or diagnostic applications. | 
| PubMed | PubMed | 
| 产品介绍 | Cytochrome c oxidase (COX) is the terminal enzyme of the mitochondrial respiratory chain. It is a multi-subunit enzyme complex that couples the transfer of electrons from cytochrome c to molecular oxygen and contributes to a proton electrochemical gradient across the inner mitochondrial membrane. The complex consists of 13 mitochondrial- and nuclear-encoded subunits. The mitochondrially-encoded subunits perform the electron transfer and proton pumping activities. The functions of the nuclear-encoded subunits are unknown but they may play a role in the regulation and assembly of the complex. This gene encodes the nuclear-encoded subunit IV isoform 1 of the human mitochondrial respiratory chain enzyme. It is located at the 3' of the NOC4 (neighbor of COX4) gene in a head-to-head orientation, and shares a promoter with it. [provided by RefSeq, Jul 2008] Function: This protein is one of the nuclear-coded polypeptide chains of cytochrome c oxidase, the terminal oxidase in mitochondrial electron transport. Subcellular Location: Mitochondrion inner membrane. Tissue Specificity: Ubiquitous. Similarity: Belongs to the cytochrome c oxidase IV family. SWISS: P13073 Gene ID: 1327 Database links: Entrez Gene: 1327 Human Entrez Gene: 12857 Mouse SwissProt: P13073 Human SwissProt: P19783 Mouse 细胞色素c氧化酶4亚型1抗体;(细胞色素c氧化酶IV亚型1)是一种存在线粒体上的大型跨膜蛋白复合物。由于细胞色素氧化酶是呼吸电子传递链的第四个中心酶复合物,因此又被称为复合物IV。 | 
| 产品图片 | 
Sample: 
Lane 1: Mouse NIH/3T3 cell lysates
Lane 2: Mouse Cerebrum tissue lysates
Lane 3: Mouse Kidney tissue lysates
Lane 4: Mouse Heart tissue lysates
Lane 5: Rat Cerebrum tissue lysates
Lane 6: Rat Kidney tissue lysates
Lane 7: Rat Heart tissue lysates
Lane 8: Human HeLa cell lysates
Lane 9: Human Jurkat cell lysates
Lane 10: Human Raji cell lysates
Lane 11: Human 293T cell lysates
Lane 12: Human MCF-7 cell lysates
Primary: Anti-COX4I1(Mitochondrial Loading Control) (bsm-33037M) at 1/1000 dilution
Secondary: IRDye800CW Goat Anti-Mouse IgG at 1/20000 dilution
Predicted band size: 17 kDa
Observed band size: 17 kDa
 
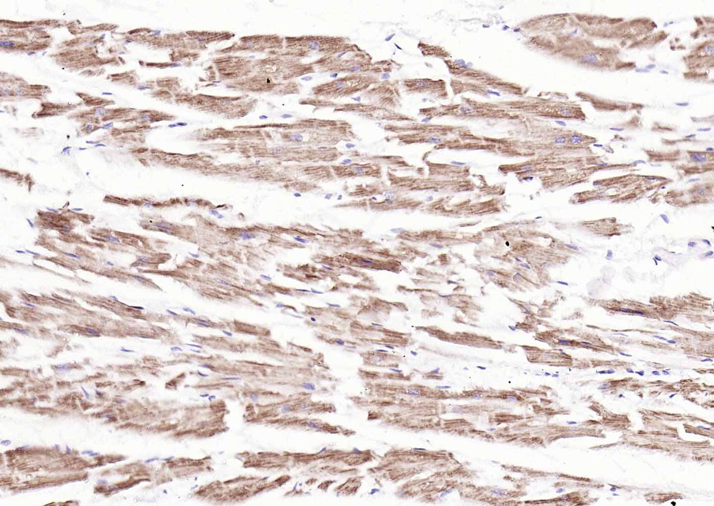
Paraformaldehyde-fixed, paraffin embedded (human heart); Antigen retrieval by boiling in sodium citrate buffer (pH6.0) for 15min; Block endogenous peroxidase by 3% hydrogen peroxide for 20 minutes; Blocking buffer (normal goat serum) at 37°C for 30min; Incubation with (COX4I1(Mitochondrial Loading Control)) Monoclonal Antibody, Unconjugated (bsm-33037M) at 1:100 overnight at 4°C, followed by operating according to SP Kit(Mouse)(sp-0024) instructionsand DAB staining.
 
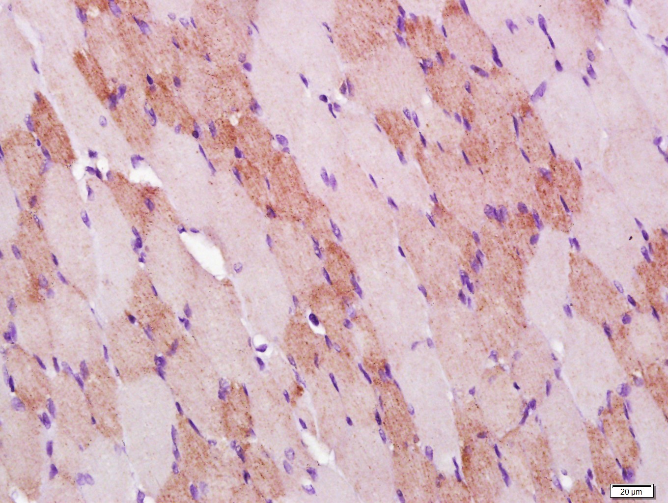
Paraformaldehyde-fixed, paraffin embedded (Rat skeletal muscle); Antigen retrieval by boiling in sodium citrate buffer (pH6.0) for 15min; Block endogenous peroxidase by 3% hydrogen peroxide for 20 minutes; Blocking buffer (normal goat serum) at 37°C for 30min; Antibody incubation with (COX4) Monoclonal Antibody, Unconjugated (bsm-33037M) at 1:400 overnight at 4°C, followed by a conjugated secondary (sp-0023) for 20 minutes and DAB staining.
 
Paraformaldehyde-fixed, paraffin embedded (human liver carcinoma); Antigen retrieval by boiling in sodium citrate buffer (pH6.0) for 15min; Block endogenous peroxidase by 3% hydrogen peroxide for 20 minutes; Blocking buffer (normal goat serum) at 37°C for 30min; Incubation with (COX4I1(Mitochondrial Loading Control)) Monoclonal Antibody, Unconjugated (bsm-33037M) at 1:100 overnight at 4°C, followed by operating according to SP Kit(Mouse)(sp-0024) instructionsand DAB staining.
 
Paraformaldehyde-fixed, paraffin embedded (human liver ); Antigen retrieval by boiling in sodium citrate buffer (pH6.0) for 15min; Block endogenous peroxidase by 3% hydrogen peroxide for 20 minutes; Blocking buffer (normal goat serum) at 37°C for 30min; Incubation with (COX4I1(Mitochondrial Loading Control)) Monoclonal Antibody, Unconjugated (bsm-33037M) at 1:100 overnight at 4°C, followed by operating according to SP Kit(Mouse)(sp-0024) instructionsand DAB staining.
 
Paraformaldehyde-fixed, paraffin embedded (rat pancreas); Antigen retrieval by boiling in sodium citrate buffer (pH6.0) for 15min; Block endogenous peroxidase by 3% hydrogen peroxide for 20 minutes; Blocking buffer (normal goat serum) at 37°C for 30min; Incubation with (COX4I1(Mitochondrial Loading Control)) Monoclonal Antibody, Unconjugated (bsm-33037M) at 1:100 overnight at 4°C, followed by operating according to SP Kit(Mouse)(sp-0024) instructionsand DAB staining.
 
Paraformaldehyde-fixed, paraffin embedded (mouse pancreas); Antigen retrieval by boiling in sodium citrate buffer (pH6.0) for 15min; Block endogenous peroxidase by 3% hydrogen peroxide for 20 minutes; Blocking buffer (normal goat serum) at 37°C for 30min; Incubation with (COX4I1(Mitochondrial Loading Control)) Monoclonal Antibody, Unconjugated (bsm-33037M) at 1:100 overnight at 4°C, followed by operating according to SP Kit(Mouse)(sp-0024) instructionsand DAB staining.
 
Paraformaldehyde-fixed, paraffin embedded (rat heart); Antigen retrieval by boiling in sodium citrate buffer (pH6.0) for 15min; Block endogenous peroxidase by 3% hydrogen peroxide for 20 minutes; Blocking buffer (normal goat serum) at 37°C for 30min; Incubation with (COX4I1(Mitochondrial Loading Control)) Monoclonal Antibody, Unconjugated (bsm-33037M) at 1:100 overnight at 4°C, followed by operating according to SP Kit(Mouse)(sp-0024) instructionsand DAB staining.
 
Paraformaldehyde-fixed, paraffin embedded (mouse heart); Antigen retrieval by boiling in sodium citrate buffer (pH6.0) for 15min; Block endogenous peroxidase by 3% hydrogen peroxide for 20 minutes; Blocking buffer (normal goat serum) at 37°C for 30min; Incubation with (COX4I1(Mitochondrial Loading Control)) Monoclonal Antibody, Unconjugated (bsm-33037M) at 1:100 overnight at 4°C, followed by operating according to SP Kit(Mouse)(sp-0024) instructionsand DAB staining.
 
Paraformaldehyde-fixed, paraffin embedded (Human heart); Antigen retrieval by boiling in sodium citrate buffer (pH6.0) for 15min; Block endogenous peroxidase by 3% hydrogen peroxide for 20 minutes; Blocking buffer (normal goat serum) at 37°C for 30min; Incubation with (COX4I1(Mitochondrial Loading Control)  ) Monoclonal Antibody, Unconjugated (bsm-33037M) at 1:200 overnight at 4°C, followed by operating according to SP Kit(Mouse)(sp-0024) instructionsand DAB staining.
 
Paraformaldehyde-fixed, paraffin embedded (Human duodenum); Antigen retrieval by boiling in sodium citrate buffer (pH6.0) for 15min; Block endogenous peroxidase by 3% hydrogen peroxide for 20 minutes; Blocking buffer (normal goat serum) at 37°C for 30min; Incubation with (COX4I1(Mitochondrial Loading Control)  ) Monoclonal Antibody, Unconjugated (bsm-33037M) at 1:200 overnight at 4°C, followed by operating according to SP Kit(Mouse)(sp-0024) instructionsand DAB staining.
 
Paraformaldehyde-fixed, paraffin embedded (rat liver); Antigen retrieval by boiling in sodium citrate buffer (pH6.0) for 15min; Block endogenous peroxidase by 3% hydrogen peroxide for 20 minutes; Blocking buffer (normal goat serum) at 37°C for 30min; Incubation with (COX4I1(Mitochondrial Loading Control)  ) Monoclonal Antibody, Unconjugated (bsm-33037M) at 1:200 overnight at 4°C, followed by operating according to SP Kit(Mouse)(sp-0024) instructionsand DAB staining.
 
 Paraformaldehyde-fixed, paraffin embedded (Rat skeletal muscle); Antigen retrieval by boiling in sodium citrate buffer (pH6.0) for 15min; Block endogenous peroxidase by 3% hydrogen peroxide for 20 minutes; Blocking buffer (normal goat serum) at 37°C for 30min; Antibody incubation with (COX4) Monoclonal Antibody, Unconjugated (bsm-33037M-8D8) at 1:500 overnight at 4°C, followed by a conjugated secondary (sp-0023) for 20 minutes and DAB staining. 
 
Paraformaldehyde-fixed, paraffin embedded (Rat skeletal muscle); Antigen retrieval by boiling in sodium citrate buffer (pH6.0) for 15min; Block endogenous peroxidase by 3% hydrogen peroxide for 20 minutes; Blocking buffer (normal goat serum) at 37°C for 30min; Antibody incubation with (COX4) Monoclonal Antibody, Unconjugated (bsm-33037M) at 1:400 overnight at 4°C, followed by a conjugated Goat Anti-Mouse IgG antibody (bs-0296G-CY3) for 90 minutes, and DAPI for nuclei staining.
 
Paraformaldehyde-fixed, paraffin embedded (Rat skeletal muscle); Antigen retrieval by boiling in sodium citrate buffer (pH6.0) for 15min; Block endogenous peroxidase by 3% hydrogen peroxide for 20 minutes; Blocking buffer (normal goat serum) at 37°C for 30min; Antibody incubation with (COX4) Monoclonal Antibody, Unconjugated (bsm-33037M) at 1:400 overnight at 4°C, followed by a conjugated Goat Anti-Mouse IgG antibody (bs-0296G-FITC) for 90 minutes, and DAPI for nuclei staining.
 | 
| 1、抗体溶解方法 | |
| 2、抗体修复方式 | |
| 3、常用试剂的配制 | |
| 4、免疫组化操作步骤 | |
| 5、免疫组化问题解答 | |
| 6、Western Blotting 操作步骤 | |
| 7、Western Blotting 问题解答 | |
| 8、关于肽链的设计 | |
| 9、多肽的溶解与保存 | |
| 10、酶标抗体效价测定程序 | |