扫码关注公众号           扫码咨询技术支持           扫码咨询技术服务
  
客服热线:400-901-9800  客服QQ:4009019800  技术答疑  技术支持  质量反馈  关于我们  联系我们
产品中心-北京博奥森生物技术有限公司
首页 > 产品中心 > 一抗 > 产品信息
CD23 Mouse mAb (bsm-33088M)  
订购热线:400-901-9800
订购邮箱:sales@bioss.com.cn
订购QQ:  400-901-9800
技术支持:techsupport@bioss.com.cn
50ul/1180.00元
100ul/1980.00元
200ul/2800.00元
200ug(PBS only)/5600.00元
大包装/询价

产品编号 bsm-33088M
英文名称 CD23 Mouse mAb
中文名称 CD23/FcεRII单克隆抗体
别    名 Fc EpsilonR II; FcεRII; Blast 2; Blast2; C type lectin domain family 4 member J; C-type lectin domain family 4, member J; CD 23; CD 23A; CD23 antigen; CD23A; CLEC 4J; CLEC4J; Fc epsilon RII; Fc fragment of IgE low affinity II receptor for; Fc fragment of IgE, low affinity II, receptor for(CD23); Fc of IgE, low affinity II, receptor for(CD23); Fc receptor IgE low affinity II alpha polypeptide; Fc receptor, IgE, low affinity II, alpha polypeptide, isoform CRA_a; FCE 2; FCE2; FCER 2; FCER2; FCER2A; IgE binding factor; IgE receptor lymphocyte; IgE-binding factor; IGEBF; Immunoglobulin E binding factor; Immunoglobulin E receptor, low affinity II; Low affinity immunoglobulin epsilon Fc receptor; Low affinity immunoglobulin epsilon Fc receptor membrane bound form; Low affinity immunoglobulin epsilon Fc receptor soluble form; Ly-42; Ly42; Lymphocyte antigen CD23; Lymphocyte IgE receptor; MGC93219.  
Specific References  (1)     |     bsm-33088M has been referenced in 1 publications.
[IF=6.922] Maoyu Ye. et al. Long-Term Exposure to Sulfur Dioxide Before Sensitization Decreased the Production of Specific IgE in HDM-Sensitized Allergic Rhinitis Mice. J INFLAMM RES. 2022; 15: 2477–2490  IF ;  Mouse.  
研究领域 细胞生物  免疫学  b-淋巴细胞  
抗体来源 Mouse
克隆类型 Monoclonal
克 隆 号 12G2
交叉反应 Human
产品应用 IHC-P=1:100-500,IHC-F=1:100-500,IF=1:100-500,Flow-Cyt=1ug/Test
not yet tested in other applications.
optimal dilutions/concentrations should be determined by the end user.
理论分子量 36 kDa
检测分子量
细胞定位 细胞膜 
性    状 Liquid
浓    度 1mg/ml
免 疫 原 Recombinant human CD23 
亚    型 IgG
纯化方法 affinity purified by Protein G
缓 冲 液 0.01M TBS (pH7.4) with 1% BSA, 0.02% Proclin300 and 50% Glycerol.
保存条件 Shipped at 4℃. Store at -20℃ for one year. Avoid repeated freeze/thaw cycles.
注意事项 This product as supplied is intended for research use only, not for use in human, therapeutic or diagnostic applications.
PubMed PubMed
产品介绍 The CD23 antigen is the low affinity IgE Fc receptor, which is a 49 kDa protein with 38 and 28 kDa fragments. It is expressed on most mature, conventional B cells (but not on peritoneal CD5+ B cells), and can also be found on the surface of T cells, macrophages, platelets and EBV transformed B lymphoblasts. Expression of CD23 has been detected in neoplastic cells from cases of B cell chronic Lymphocytic leukemia. CD23 is expressed by B cells in the follicular mantle but not by proliferating germinal centre cells. CD23 is also expressed by eosinophils. CD23 is distinct from the high affinity IgE receptors found on basophils and mast cells, which mediate allergic reactions. The low affinity receptors are thought to play a role in isotype specific immunoregulation. The regulation of CD23 surface expression appears to be integral with the complex IgE system, which involves interactions of cells, cytokines, antibodies and regulatory factors. CD23 has been described as a “membrane bound cytokine," in that the soluble cleavage products of CD23 are themselves able to act as cytokines in vitro.

Function:
Low-affinity receptor for immunoglobulin E (IgE) and CR2/CD21. Has essential roles in the regulation of IgE production and in the differentiation of B-cells (it is a B-cell-specific antigen).

Subcellular Location:
Cell membrane; Single-pass type II membrane protein. Secreted. Note=Also exists as a soluble excreted form.

Post-translational modifications:
N- and O-glycosylated.

Similarity:
Contains 1 C-type lectin domain.

SWISS:
P06734

Gene ID:
2208

Database links:

Entrez Gene: 2208 Human

Entrez Gene: 14128 Mouse

Omim: 151445 Human

SwissProt: P06734 Human

SwissProt: P20693 Mouse

Unigene: 465778 Human

Unigene: 1233 Mouse



CD23是一种II型跨膜糖蛋白,是存在于B细胞表面的IgE受体。在慢性B淋巴细胞白血病(CLL)和小B细胞淋巴瘤(SLL)为阳性,套细胞淋巴瘤和小核裂淋巴细胞淋巴瘤阴性。也表达于外周血B细胞的某些亚型、B淋巴细胞和EB病毒转染的B淋巴瘤细胞系。CD23是慢性B淋巴细胞白血病,小B细胞淋巴瘤诊断和鉴别诊断有用的标记物。
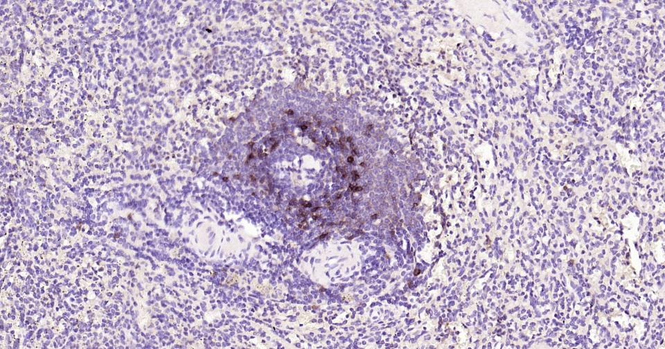
产品图片
Paraformaldehyde-fixed, paraffin embedded Human Lymph; Antigen retrieval by boiling in sodium citrate buffer (pH6.0) for 15 min; Antibody incubation with CD23 Monoclonal Antibody, Unconjugated(bsm-33088M) at 1:200 overnight at 4°C, followed by conjugation to the bs-40296G-HRP and DAB (C-0010) staining.
Paraformaldehyde-fixed, paraffin embedded Human Tonsil; Antigen retrieval by boiling in sodium citrate buffer (pH6.0) for 15 min; Antibody incubation with CD23 Monoclonal Antibody, Unconjugated(bsm-33088M) at 1:200 overnight at 4°C, followed by conjugation to the bs-40296G-HRP and DAB (C-0010) staining.
Paraformaldehyde-fixed, paraffin embedded Human Spleen; Antigen retrieval by boiling in sodium citrate buffer (pH6.0) for 15 min; Antibody incubation with CD23 Monoclonal Antibody, Unconjugated(bsm-33088M) at 1:200 overnight at 4°C, followed by conjugation to the bs-40296G-HRP and DAB (C-0010) staining.
(Negative control)Paraformaldehyde-fixed, paraffin embedded Human Heart; Antigen retrieval by boiling in sodium citrate buffer (pH6.0) for 15 min; Antibody incubation with CD23 Monoclonal Antibody, Unconjugated(bsm-33088M) at 1:200 overnight at 4°C, followed by conjugation to the bs-40296G-HRP and DAB (C-0010) staining.
The Daudi(H) cells were incubated in 5%BSA to block non-specific protein-protein interactions (30 min at r.t.). Primary Antibody (green): Mouse Anti-CD23 antibody (bsm-33088M): 1 μg/10^6 cells; Secondary Antibody (white blue): Goat anti-Mouse IgG-FITC (bs-60296G-FITC): 1 μg/test.Blank control (black): PBS. Acquisition of 20,000 events was performed.
版权所有 2004-2026 www.bioss.com.cn 北京博奥森生物技术有限公司
通过国际质量管理体系ISO 9001:2015 GB/T 19001-2016    证书编号: 00124Q34771R2M/1100
通过国际医疗器械-质量管理体系ISO 13485:2016 GB/T 42061-2022     证书编号: CQC24QY20047R0M/1100
京ICP备05066980号-1         京公网安备110107000727号