扫码关注公众号           扫码咨询技术支持           扫码咨询技术服务
  
客服热线:400-901-9800  客服QQ:4009019800  技术答疑  技术支持  质量反馈  人才招聘  关于我们  联系我们
产品中心-北京博奥森生物技术有限公司
首页 > 产品中心 > 一抗 > 产品信息
Fumarase/FH Mouse mAb (bsm-33167M)  
订购热线:400-901-9800
订购邮箱:sales@bioss.com.cn
订购QQ:  400-901-9800
技术支持:techsupport@bioss.com.cn
50ul/1180.00元
100ul/1980.00元
200ul/2800.00元
200ug(PBS only)/5600.00元
大包装/询价

产品编号 bsm-33167M
英文名称 Fumarase/FH Mouse mAb
中文名称 富马酸水合酶单克隆抗体
别    名 FMRD; HLRCC; HsFH; LRCC; MCL; MCUL1; Fh; Fh-1; Fumarase; Fh1; im:7152785; ns:zf-e152; zf-e152; zgc:66253; zgc:77498; FUMH_HUMAN; 4.2.1.2; FUMH_MOUSE; EF-3; FUMH_PIG; FUMH_RAT; FUMH_DANRE; fumarate hydratase  
研究领域 肿瘤  细胞生物  免疫学  转录调节因子  线粒体  
抗体来源 Mouse
克隆类型 Monoclonal
克 隆 号 4C12
交叉反应 Human,Mouse,Rat
产品应用 WB=1:500-3000,IHC-P=1:100-500,IHC-F=1:100-500,IF=1:100-500
not yet tested in other applications.
optimal dilutions/concentrations should be determined by the end user.
理论分子量 51kDa
检测分子量 42
细胞定位 细胞浆 线粒体
性    状 Liquid
浓    度 1mg/ml
免 疫 原 Recombinant human Fumarase/FH Protein 
亚    型 IgG
纯化方法 affinity purified by Protein G
缓 冲 液 0.01M TBS (pH7.4) with 1% BSA, 0.02% Proclin300 and 50% Glycerol.
保存条件 Shipped at 4℃. Store at -20℃ for one year. Avoid repeated freeze/thaw cycles.
注意事项 This product as supplied is intended for research use only, not for use in human, therapeutic or diagnostic applications.
PubMed PubMed
产品介绍 The protein encoded by this gene is an enzymatic component of the tricarboxylic acid (TCA) cycle, or Krebs cycle, and catalyzes the formation of L-malate from fumarate. It exists in both a cytosolic form and an N-terminal extended form, differing only in the translation start site used. The N-terminal extended form is targeted to the mitochondrion, where the removal of the extension generates the same form as in the cytoplasm. It is similar to some thermostable class II fumarases and functions as a homotetramer. Mutations in this gene can cause fumarase deficiency and lead to progressive encephalopathy. [provided by RefSeq, Jul 2008]

Function:
Also acts as a tumor suppressor.

Subunit:
Homotetramer.

Subcellular Location:
Cytoplasm, Mitochondrion

Tissue Specificity:
Expressed in red blood cells; underexpressed in red blood cells (cytoplasm) of patients with hereditary non-spherocytic hemolytic anemia of unknown etiology.

DISEASE:
Fumarase deficiency (FMRD): The disease is caused by mutations affecting the gene represented in this entry. A severe autosomal recessive metabolic disorder characterized by early-onset hypotonia, profound psychomotor retardation, and brain abnormalities, such as agenesis of the corpus callosum, gyral defects, and ventriculomegaly. Many patients show neonatal distress, metabolic acidosis, and/or encephalopathy.
Hereditary leiomyomatosis and renal cell cancer (HLRCC): The disease is caused by mutations affecting the gene represented in this entry. A disorder characterized by predisposition to cutaneous and uterine leiomyomas, and papillary type 2 renal cancer which occurs in about 20% of patients.

Similarity:
Belongs to the class-II fumarase/aspartase family. Fumarase subfamily.

SWISS:
P07954

Gene ID:
2271

Database links:

Entrez Gene: 520260 Cow

Entrez Gene: 480092 Dog

Entrez Gene: 2271 Human

Entrez Gene: 14194 Mouse

Entrez Gene: 100627128 Pig

Entrez Gene: 24368 Rat

Entrez Gene: 393938 Zebrafish

Omim: 136850 Human

SwissProt: P07954 Human

SwissProt: P97807 Mouse

SwissProt: P10173 Pig

SwissProt: P14408 Rat

SwissProt: Q7SX99 Zebrafish

Unigene: 592490 Human

Unigene: 41502 Mouse

Unigene: 29782 Rat

Unigene: 104452 Zebrafish



产品图片
25 ug total protein per lane of various lysates (see on figure) probed with Fumarase/FH monoclonal antibody, unconjugated (bsm-33167M) at 1:2500 dilution and 4°C overnight incubation. Followed by conjugated secondary antibody incubation at r.t. for 60 min.
Paraformaldehyde-fixed, paraffin embedded (human myocardium); Antigen retrieval by boiling in sodium citrate buffer (pH6.0) for 15min; Block endogenous peroxidase by 3% hydrogen peroxide for 20 minutes; Blocking buffer (normal goat serum) at 37°C for 30min; Antibody incubation with (Fumarase/FH) Monoclonal Antibody, Unconjugated (bsm-33167M) at 1:200 overnight at 4°C, followed by operating according to SP Kit(Mouse)(sp-0024) instructionsand DAB staining.
Paraformaldehyde-fixed, paraffin embedded (human gastric carcinoma); Antigen retrieval by boiling in sodium citrate buffer (pH6.0) for 15min; Block endogenous peroxidase by 3% hydrogen peroxide for 20 minutes; Blocking buffer (normal goat serum) at 37°C for 30min; Antibody incubation with (Fumarase/FH) Monoclonal Antibody, Unconjugated (bsm-33167M) at 1:200 overnight at 4°C, followed by operating according to SP Kit(Mouse)(sp-0024) instructionsand DAB staining.
Paraformaldehyde-fixed, paraffin embedded (mouse heart); Antigen retrieval by boiling in sodium citrate buffer (pH6.0) for 15min; Block endogenous peroxidase by 3% hydrogen peroxide for 20 minutes; Blocking buffer (normal goat serum) at 37°C for 30min; Antibody incubation with (Fumarase/FH) Monoclonal Antibody, Unconjugated (bsm-33167M) at 1:200 overnight at 4°C, followed by operating according to SP Kit(Mouse)(sp-0024) instructionsand DAB staining.
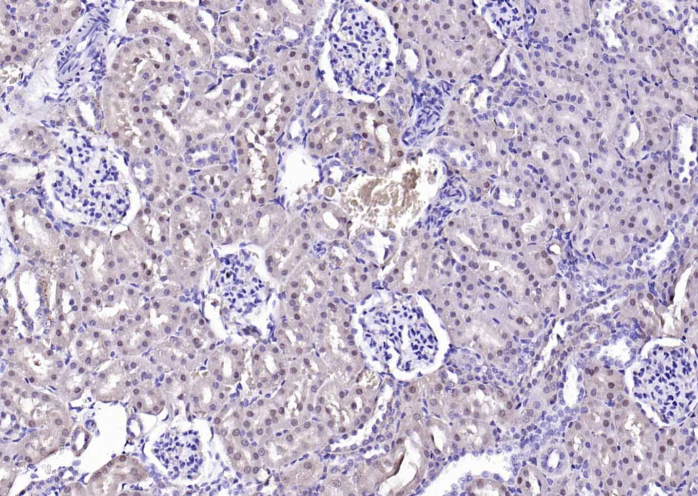
Paraformaldehyde-fixed, paraffin embedded (rat kidney); Antigen retrieval by boiling in sodium citrate buffer (pH6.0) for 15min; Block endogenous peroxidase by 3% hydrogen peroxide for 20 minutes; Blocking buffer (normal goat serum) at 37°C for 30min; Antibody incubation with (Fumarase/FH) Monoclonal Antibody, Unconjugated (bsm-33167M) at 1:200 overnight at 4°C, followed by operating according to SP Kit(Mouse)(sp-0024) instructionsand DAB staining.
Paraformaldehyde-fixed, paraffin embedded (human kidney); Antigen retrieval by boiling in sodium citrate buffer (pH6.0) for 15min; Block endogenous peroxidase by 3% hydrogen peroxide for 20 minutes; Blocking buffer (normal goat serum) at 37°C for 30min; Antibody incubation with (Fumarase/FH) Monoclonal Antibody, Unconjugated (bsm-33167M) at 1:200 overnight at 4°C, followed by operating according to SP Kit(Mouse)(sp-0024) instructionsand DAB staining.
Paraformaldehyde-fixed, paraffin embedded (rat brain); Antigen retrieval by boiling in sodium citrate buffer (pH6.0) for 15min; Block endogenous peroxidase by 3% hydrogen peroxide for 20 minutes; Blocking buffer (normal goat serum) at 37°C for 30min; Antibody incubation with (Fumarase/FH) Monoclonal Antibody, Unconjugated (bsm-33167M) at 1:200 overnight at 4°C, followed by operating according to SP Kit(Mouse)(sp-0024) instructionsand DAB staining.
版权所有 2004-2026 www.bioss.com.cn 北京博奥森生物技术有限公司
通过国际质量管理体系ISO 9001:2015 GB/T 19001-2016    证书编号: 00124Q34771R2M/1100
通过国际医疗器械-质量管理体系ISO 13485:2016 GB/T 42061-2022     证书编号: CQC24QY20047R0M/1100
京ICP备05066980号-1         京公网安备110107000727号