扫码关注公众号           扫码咨询技术支持           扫码咨询技术服务
  
客服热线:400-901-9800  客服QQ:4009019800  技术答疑  技术支持  质量反馈  人才招聘  关于我们  联系我们
产品中心-北京博奥森生物技术有限公司
首页 > 产品中心 > 一抗 > 产品信息
alpha Tubulin Mouse mAb (bsm-33039M)  
订购热线:400-901-9800
订购邮箱:sales@bioss.com.cn
订购QQ:  400-901-9800
技术支持:techsupport@bioss.com.cn
50ul/1180.00元
100ul/1980.00元
200ul/2800.00元
200ug(PBS only)/5600.00元
大包装/询价

产品编号 bsm-33039M
英文名称 alpha Tubulin Mouse mAb
中文名称 微管蛋白α/Tubulin α/α-tubulin单克隆抗体
别    名 B-ALPHA-1; LIS3; TUBA3; Tuba-1; Tuba1; TBA1A_HUMAN; TUBA1A; Alpha-tubulin 3; Tubulin B-alpha-1; Tubulin alpha-3 chain; 3.6.5.-; TBA1A_MOUSE; Alpha-tubulin 1; Alpha-tubulin isotype M-alpha-1; Tubulin alpha-1 chain; TBA1A_RAT; tubulin alpha 1a; tubulin, alpha, brain-specific  α tubulin;
Specific References  (3)     |     bsm-33039M has been referenced in 3 publications.
[IF=6.513] Jinglei Wang. et al. Follicular fluid exosomes regulate OVGP1 secretion in yak oviduct epithelial cells via autophagy in vitro. J CELL PHYSIOL. 2023 Apr;:  IF ;  Bovine.  
[IF=3.895] Shen X et al.Retinoic Acid-Induced Protein 14 (RAI14) Promotes mTOR-Mediated Inflammation Under Inflammatory Stress and Chemical Hypoxia in a U87 Glioblastoma Cell Line.(2018) Cell Mol Neurobiol.  WB ;  Human.  
[IF=3.471] Yaying Wang. et al. Transcriptome sequencing reveals differences between leydig cells and sertoli cells of yak.. FRONT VET SCI. 2022 Aug;9:960250-960250  IF ;  Bovine.  
研究领域 细胞生物  信号转导  细胞骨架  
抗体来源 Mouse
克隆类型 Monoclonal
克 隆 号 10F11
交叉反应 Human,Mouse,Rat (predicted: Rabbit,Pig,Zebrafish,Chicken,Dog,GuineaPig)
产品应用 WB=1:5000-100000,IHC-P=1:500-1000,IHC-F=1:500-1000,IF=1:500-1000,Flow-Cyt=1:50-100,ICC/IF=1:50-200
not yet tested in other applications.
optimal dilutions/concentrations should be determined by the end user.
理论分子量 50kDa
检测分子量 50
细胞定位 细胞浆 
性    状 Liquid
浓    度 1mg/ml
免 疫 原 Recombinant human alpha Tubulin Protein 
亚    型 IgG
纯化方法 affinity purified by Protein G
缓 冲 液 0.01M TBS (pH7.4) with 1% BSA, 0.02% Proclin300 and 50% Glycerol.
保存条件 Shipped at 4℃. Store at -20℃ for one year. Avoid repeated freeze/thaw cycles.
注意事项 This product as supplied is intended for research use only, not for use in human, therapeutic or diagnostic applications.
PubMed PubMed
产品介绍 Microtubules of the eukaryotic cytoskeleton perform essential and diverse functions and are composed of a heterodimer of alpha and beta tubulin. The genes encoding these microtubule constituents are part of the tubulin superfamily, which is composed of six distinct families. Genes from the alpha, beta and gamma tubulin families are found in all eukaryotes. The alpha and beta tubulins represent the major components of microtubules, while gamma tubulin plays a critical role in the nucleation of microtubule assembly. There are multiple alpha and beta tubulin genes and they are highly conserved among and between species. This gene encodes an alpha tubulin that is a highly conserved homolog of a rat testis-specific alpha tubulin. Alternatively spliced transcript variants encoding different isoforms have been found for this gene. [provided by RefSeq, Jun 2013]

Function:
Tubulin is the major constituent of microtubules. It binds two moles of GTP, one at an exchangeable site on the beta chain and one at a non-exchangeable site on the alpha chain

Subunit:
Dimer of alpha and beta chains. A typical microtubule is a hollow water-filled tube with an outer diameter of 25 nm and an inner diameter of 15 nM. Alpha-beta heterodimers associate head-to-tail to form protofilaments running lengthwise along the microtubule wall with the beta-tubulin subunit facing the microtubule plus end conferring a structural polarity. Microtubules usually have 13 protofilaments but different protofilament numbers can be found in some organisms and specialized cells.

Subcellular Location:
Cytoplasm, cytoskeleton

Tissue Specificity:
Widely expressed. Overexpressed in Platelet, Brain, and Frontal cortex

Post-translational modifications:
Some glutamate residues at the C-terminus are polyglutamylated. This modification occurs exclusively on glutamate residues and results in polyglutamate chains on the gamma-carboxyl group. Also monoglycylated but not polyglycylated due to the absence of functional TTLL10 in human. Monoglycylation is mainly limited to tubulin incorporated into axonemes (cilia and flagella) whereas glutamylation is prevalent in neuronal cells, centrioles, axonemes, and the mitotic spindle. Both modifications can coexist on the same protein on adjacent residues, and lowering glycylation levels increases polyglutamylation, and reciprocally. The precise function of such modifications is still unclear but they regulate the assembly and dynamics of axonemal microtubules (Probable).
Acetylation of alpha chains at Lys-40 stabilizes microtubules and affects affinity and processivity of microtubule motors. This modification has a role in multiple cellular functions, ranging from cell motility, cell cycle progression or cell differentiation to intracellular trafficking and signaling (By similarity).

Similarity:
Belongs to the tubulin family.

SWISS:
Q71U36

Gene ID:
7846

Database links:

Entrez Gene: 7277 Human

Entrez Gene: 22145 Mouse

Entrez Gene: 316531 Rat

Omim: 191110 Human

SwissProt: P68366 Human

SwissProt: P68368 Mouse

SwissProt: Q5XIF6 Rat

Unigene: 75318 Human

Unigene: 1155 Mouse

Unigene: 92961 Rat




产品图片
25 ug total protein per lane of various lysates (see on figure) probed with alpha Tubulin monoclonal antibody, unconjugated (bsm-33039M) at 1:10000 dilution and 4°C overnight incubation. Followed by conjugated secondary antibody incubation at r.t. for 60 min.
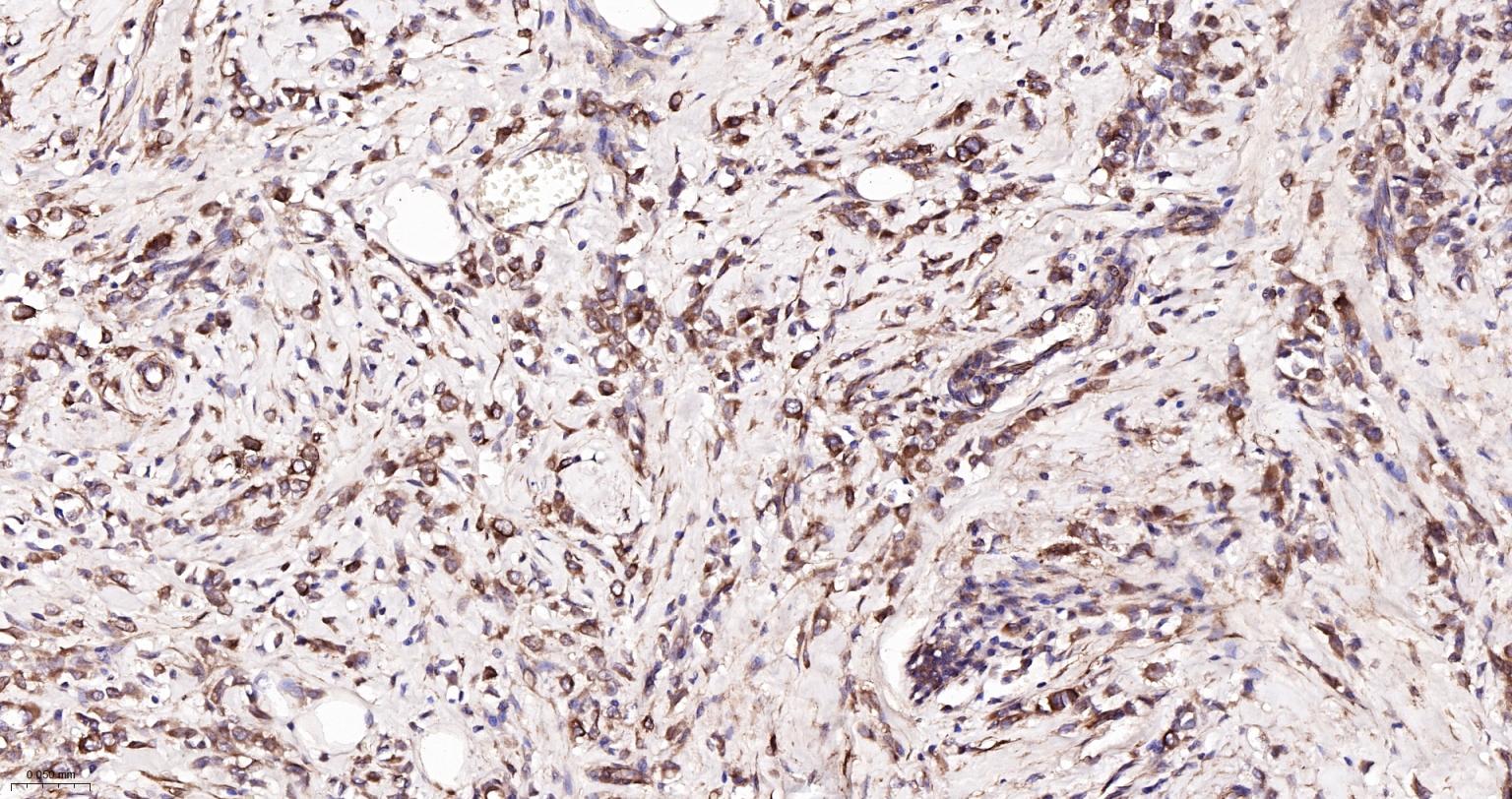
Paraformaldehyde-fixed, paraffin embedded Human Breast Cancer; Antigen retrieval by boiling in sodium citrate buffer (pH6.0) for 15 min; The section was incubated with alpha Tubulin Monoclonal Antibody, Unconjugated (bsm-33039M) at 1:1000 overnight at 4°C, followed by conjugation to the bs-40296G-HRP and DAB (C-0010) staining.
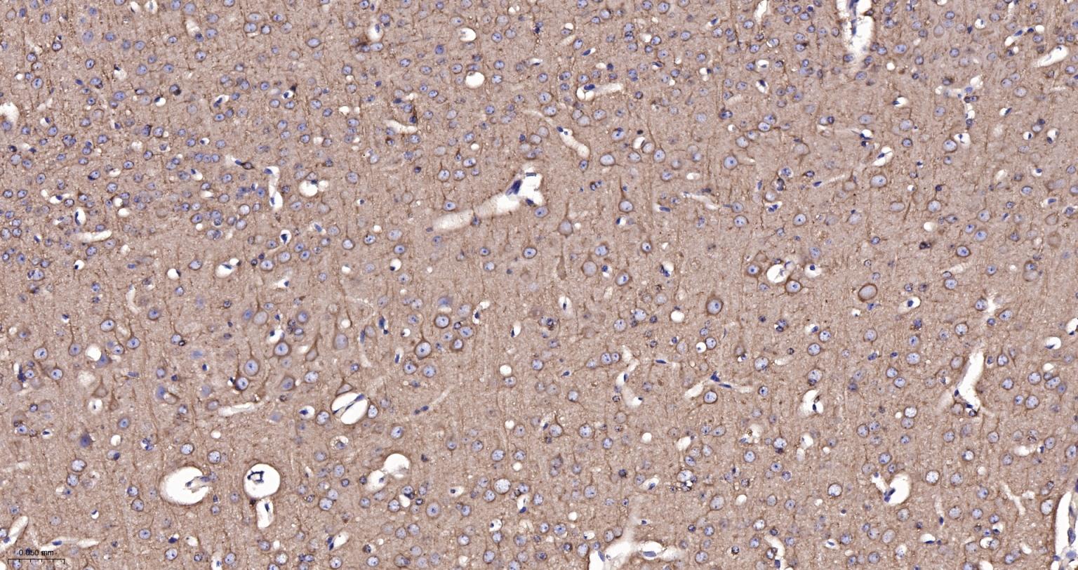
Paraformaldehyde-fixed, paraffin embedded Human Left Parietal Lobe; Antigen retrieval by boiling in sodium citrate buffer (pH6.0) for 15 min; The section was incubated with alpha Tubulin Monoclonal Antibody, Unconjugated (bsm-33039M) at 1:1000 overnight at 4°C, followed by conjugation to the bs-40296G-HRP and DAB (C-0010) staining.
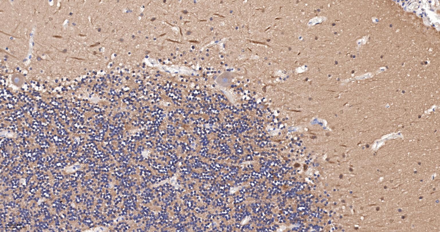
Paraformaldehyde-fixed, paraffin embedded Human Cerebellum; Antigen retrieval by boiling in sodium citrate buffer (pH6.0) for 15 min; The section was incubated with alpha Tubulin Monoclonal Antibody, Unconjugated (bsm-33039M) at 1:1000 overnight at 4°C, followed by conjugation to the bs-40296G-HRP and DAB (C-0010) staining.
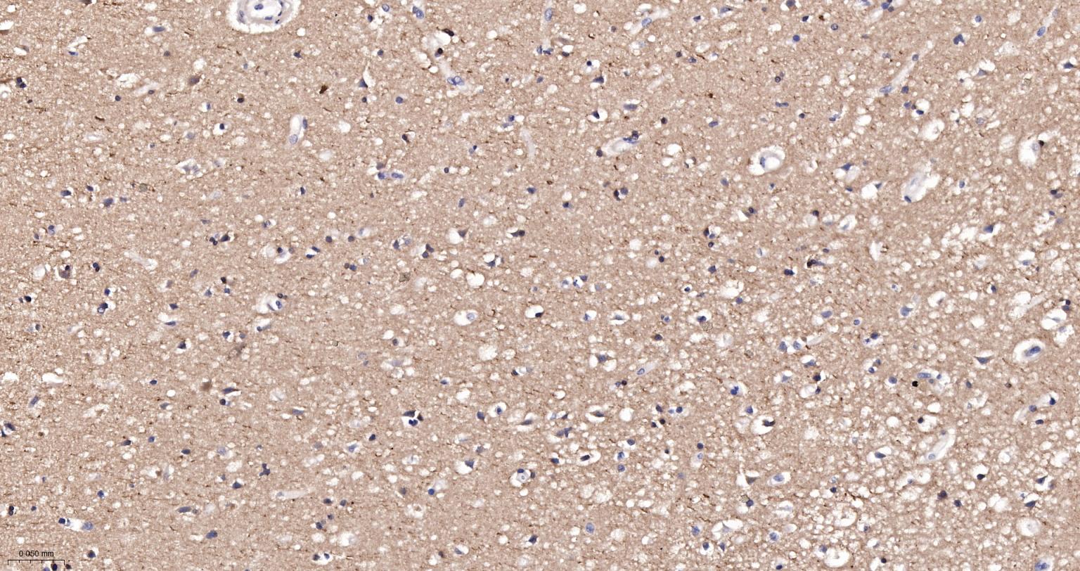
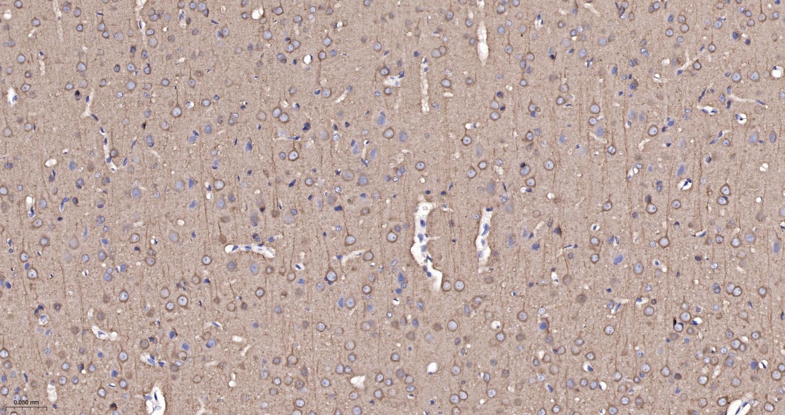
Paraformaldehyde-fixed, paraffin embedded Rat Cerebrum; Antigen retrieval by boiling in sodium citrate buffer (pH6.0) for 15 min; The section was incubated with alpha Tubulin Monoclonal Antibody, Unconjugated (bsm-33039M) at 1:1000 overnight at 4°C, followed by conjugation to the bs-40296G-HRP and DAB (C-0010) staining.
Paraformaldehyde-fixed, paraffin embedded Mouse Cerebrum; Antigen retrieval by boiling in sodium citrate buffer (pH6.0) for 15 min; The section was incubated with alpha Tubulin Monoclonal Antibody, Unconjugated (bsm-33039M) at 1:1000 overnight at 4°C, followed by conjugation to the bs-40296G-HRP and DAB (C-0010) staining.
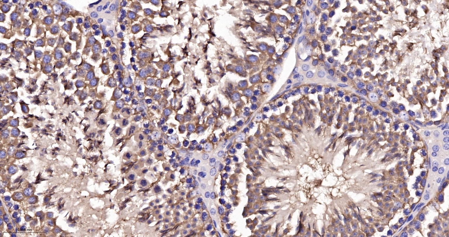
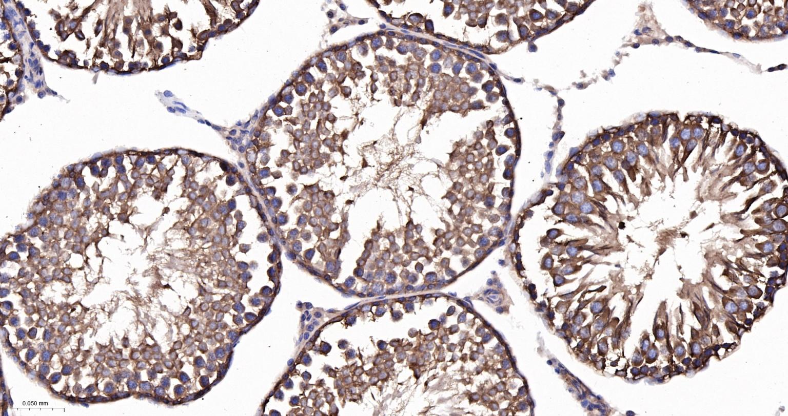
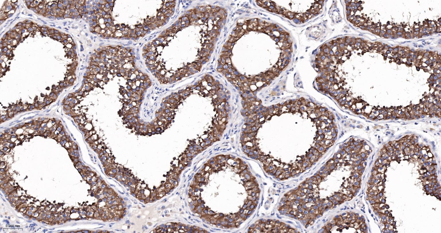
Paraformaldehyde-fixed, paraffin embedded Human Testicles; Antigen retrieval by boiling in sodium citrate buffer (pH6.0) for 15 min; The section was incubated with alpha Tubulin Monoclonal Antibody, Unconjugated (bsm-33039M) at 1:1000 overnight at 4°C, followed by conjugation to the bs-40296G-HRP and DAB (C-0010) staining.
Paraformaldehyde-fixed, paraffin embedded Rat Testicles; Antigen retrieval by boiling in sodium citrate buffer (pH6.0) for 15 min; The section was incubated with alpha Tubulin Monoclonal Antibody, Unconjugated (bsm-33039M) at 1:1000 overnight at 4°C, followed by conjugation to the bs-40296G-HRP and DAB (C-0010) staining.
Paraformaldehyde-fixed, paraffin embedded Mouse Testicles; Antigen retrieval by boiling in sodium citrate buffer (pH6.0) for 15 min; The section was incubated with alpha Tubulin Monoclonal Antibody, Unconjugated (bsm-33039M) at 1:1000 overnight at 4°C, followed by conjugation to the bs-40296G-HRP and DAB (C-0010) staining.
4% Paraformaldehyde-fixed HepG2 (H) cell; Triton X-100 at r.t. for 20 min; Antibody incubation with (alpha Tubulin) monoclonal Antibody, unconjugated (bsm-33039M) 1:100, 90 min at 37°C; followed by BF488 conjugated Goat Anti-Mouse IgG antibody (green, bs-60296G-FITC) at 37°C for 90 min, DAPI (blue, C02-04002) was used to stain the cell nuclei. PBS instead of the primary antibody was used as the blank control.
The HepG2 (H) cells were fixed with 4% PFA (10 min at r.t.) and then permeabilized with 90% ice-cold methanol for 20 min at -20℃,the cells then were incubated in 5%BSA to block non-specific protein-protein interactions (30 min at r.t.), followed by secondary antibody incubation for 40 min at room temperature. Primary Antibody (green):Mouse Anti-alpha Tubulin antibody (bsm-33039M,1:100); Isotype Control (orange): Mouse IgG (bs-0296P). Blank control (black): PBS. Acquisition of 20,000 events was performed.
版权所有 2004-2026 www.bioss.com.cn 北京博奥森生物技术有限公司
通过国际质量管理体系ISO 9001:2015 GB/T 19001-2016    证书编号: 00124Q34771R2M/1100
通过国际医疗器械-质量管理体系ISO 13485:2016 GB/T 42061-2022     证书编号: CQC24QY20047R0M/1100
京ICP备05066980号-1         京公网安备110107000727号