扫码关注公众号           扫码咨询技术支持           扫码咨询技术服务
  
客服热线:400-901-9800  客服QQ:4009019800  技术答疑  技术支持  质量反馈  人才招聘  关于我们  联系我们
产品中心-北京博奥森生物技术有限公司
首页 > 产品中心 > 一抗 > 产品信息
HP1 alpha Mouse mAb (bsm-33377M)  
订购热线:400-901-9800
订购邮箱:sales@bioss.com.cn
订购QQ:  400-901-9800
技术支持:techsupport@bioss.com.cn
50ul/1180.00元
100ul/1980.00元
200ul/2800.00元
200ug(PBS only)/5600.00元
大包装/询价

产品编号 bsm-33377M
英文名称 HP1 alpha Mouse mAb
中文名称 异染色质蛋白1-α单克隆抗体
别    名 HEL25; HP1; HP1A; HP1alpha; 2610029O15Rik; CBX5_HUMAN; CBX5; Antigen p25; Heterochromatin protein 1 homolog alpha (HP1 alpha); CBX5_MOUSE;   HP-1-α; HP 1α; HP-1α; HP-1 α; HP1α; HP1 α;
Specific References  (1)     |     bsm-33377M has been referenced in 1 publications.
[IF=7.666] Sarah C. Wistner. et al. Characterization of Hepatoma-Derived Growth Factor-Related Protein 2 Interactions with Heterochromatin. CELLS-BASEL. 2023 Jan;12(2):325  WB ;  Human.  
研究领域 免疫学  转录调节因子  
抗体来源 Mouse
克隆类型 Monoclonal
克 隆 号 7E3
交叉反应 Human
产品应用 IHC-P=1:100-500,IHC-F=1:100-500,IF=1:100-500
not yet tested in other applications.
optimal dilutions/concentrations should be determined by the end user.
理论分子量 22 kDa
细胞定位 细胞核 
性    状 Liquid
浓    度 1mg/ml
免 疫 原 Recombinant human HP1 alpha Protein: full length 
亚    型 IgG
纯化方法 affinity purified by Protein G
缓 冲 液 0.01M TBS (pH7.4) with 1% BSA, 0.02% Proclin300 and 50% Glycerol.
保存条件 Shipped at 4℃. Store at -20℃ for one year. Avoid repeated freeze/thaw cycles.
注意事项 This product as supplied is intended for research use only, not for use in human, therapeutic or diagnostic applications.
PubMed PubMed
产品介绍 HP1 alpha is a component of heterochromatin. It recognizes and binds histone H3 tails methylated at Lys-9, leading to epigenetic repression. HP1 alpha may interact with lamin B receptor (LBR). This interaction can contribute to the association of the heterochromatin with the inner nuclear membrane.
HP1 proteins are relatively small proteins (~25 kDa) with a conserved amino-terminal chromo domain and a structurally related carboxy-terminal motif, the chromo shadow domain. Both domains of HP1 are required for binding to native chromatin in vivo, but they contribute differentially to binding in euchromatin and heterochromatin.

Function:
Component of heterochromatin that recognizes and binds histone H3 tails methylated at 'Lys-9' (H3K9me), leading to epigenetic repression. In contrast, it is excluded from chromatin when 'Tyr-41' of histone H3 is phosphorylated (H3Y41ph). Can interact with lamin-B receptor (LBR). This interaction can contribute to the association of the heterochromatin with the inner nuclear membrane. Involved in the formation of functional kinetochore through interaction with MIS12 complex proteins.

Subunit:
Interacts with SUV420H1 and SUV420H2. Interacts with HP1BP3. Interacts directly with ATRX, CHAF1A, LBR, NIPBL, SP100, STAM2 and TRIM28 via the chromoshadow domain. Can interact directly with CBX3 via the chromoshadow domain. Interacts with histone H3 methylated at 'Lys-9'. Interacts with BAHD1, MIS12 and DSN1. Interacts with POGZ; POGZ and PXVXL motif-containing proteins such as INCENP and TRIM28 compete for interaction with CBX5. Interacts with INCENP and TRIM24. Interacts with JC virus agnoprotein; this interaction induces the dissociation of CBX5 from LBR, resulting in destabilization of the nuclear envelope. Interacts with CHAMP1. Interacts with ASXL1.

Subcellular Location:
Nucleus. Chromosome. Chromosome, centromere. Note=Component of centromeric and pericentromeric heterochromatin. Associates with chromosomes during mitosis. Associates specifically with chromatin during metaphase and anaphase.

Post-translational modifications:
Phosphorylation of HP1 and LBR may be responsible for some of the alterations in chromatin organization and nuclear structure which occur at various times during the cell cycle. Phosphorylated during interphase and possibly hyper-phosphorylated during mitosis.
Ubiquitinated.

Similarity:
Contains 2 chromo domains.

SWISS:
P45973

Gene ID:
23468

Database links:

Entrez Gene: 538885 Cow

Entrez Gene: 477593 Dog

Entrez Gene: 23468 Human

Entrez Gene: 12419 Mouse

Entrez Gene: 300266 Rat

Omim: 604478 Human

SwissProt: P45973 Human

SwissProt: Q61686 Mouse

Unigene: 349283 Human

Unigene: 262059 Mouse



产品图片
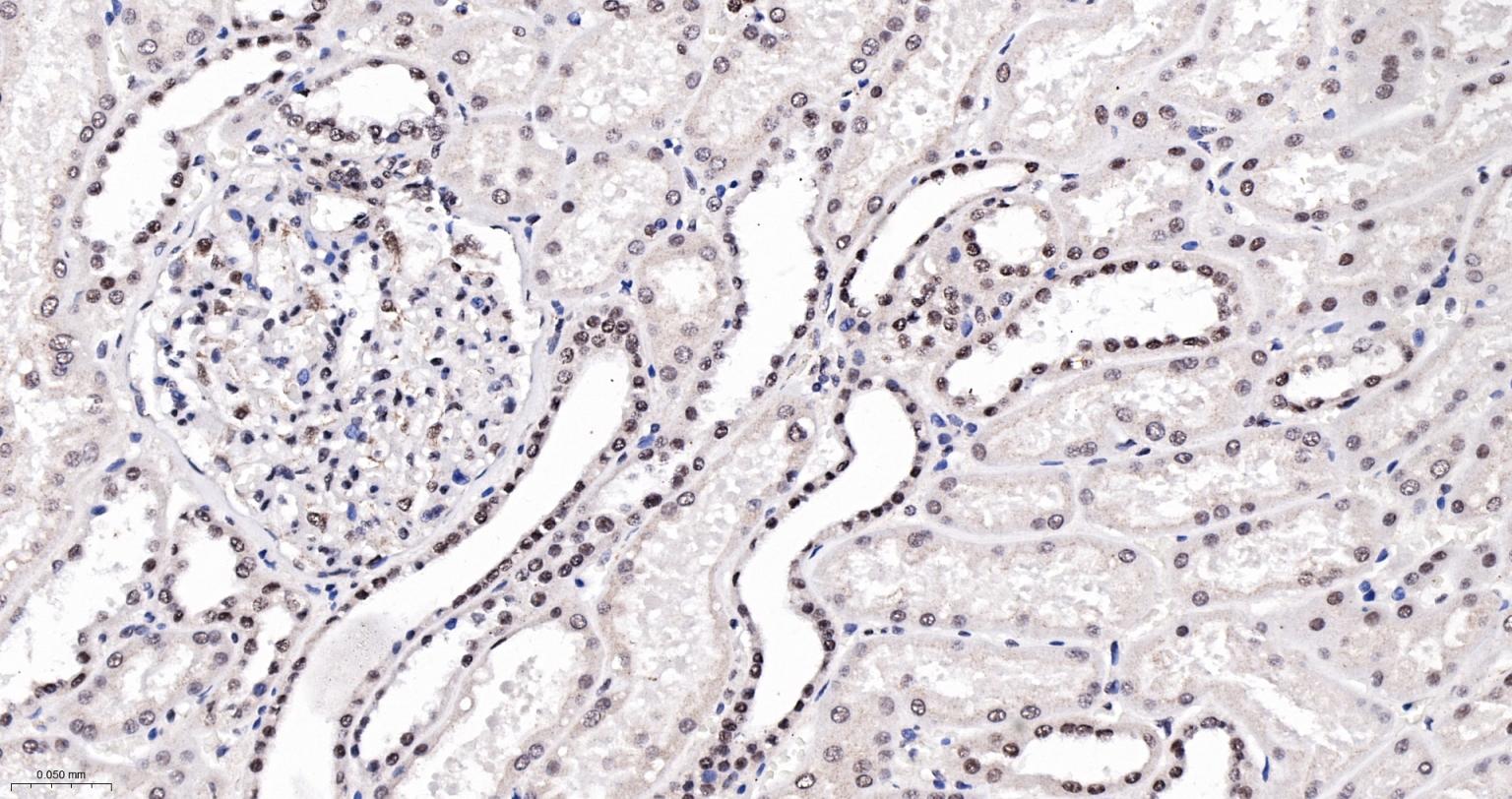
Paraformaldehyde-fixed, paraffin embedded (human kidney); Antigen retrieval by boiling in sodium citrate buffer (pH6.0) for 15min; Block endogenous peroxidase by 3% hydrogen peroxide for 20 minutes; Blocking buffer (normal goat serum) at 37°C for 30min; Antibody incubation with (HP1 alpha) Monoclonal Antibody, Unconjugated (bsm-33377M) at 1:100 overnight at 4°C, followed by operating according to SP Kit(Mouse)(sp-0024) instructionsand DAB staining.
Paraformaldehyde-fixed, paraffin embedded (human Prostate Tumor); Antigen retrieval by boiling in sodium citrate buffer (pH6.0) for 15min; Block endogenous peroxidase by 3% hydrogen peroxide for 20 minutes; Blocking buffer (normal goat serum) at 37°C for 30min; Antibody incubation with (HP1 alpha) Monoclonal Antibody, Unconjugated (bsm-33377M) at 1:100 overnight at 4°C, followed by operating according to SP Kit(Mouse)(sp-0024) instructionsand DAB staining.
Paraformaldehyde-fixed, paraffin embedded (human cervical carcinoma); Antigen retrieval by boiling in sodium citrate buffer (pH6.0) for 15min; Block endogenous peroxidase by 3% hydrogen peroxide for 20 minutes; Blocking buffer (normal goat serum) at 37°C for 30min; Antibody incubation with (HP1 alpha) Monoclonal Antibody, Unconjugated (bsm-33377M) at 1:100 overnight at 4°C, followed by operating according to SP Kit(Mouse)(sp-0024) instructionsand DAB staining.
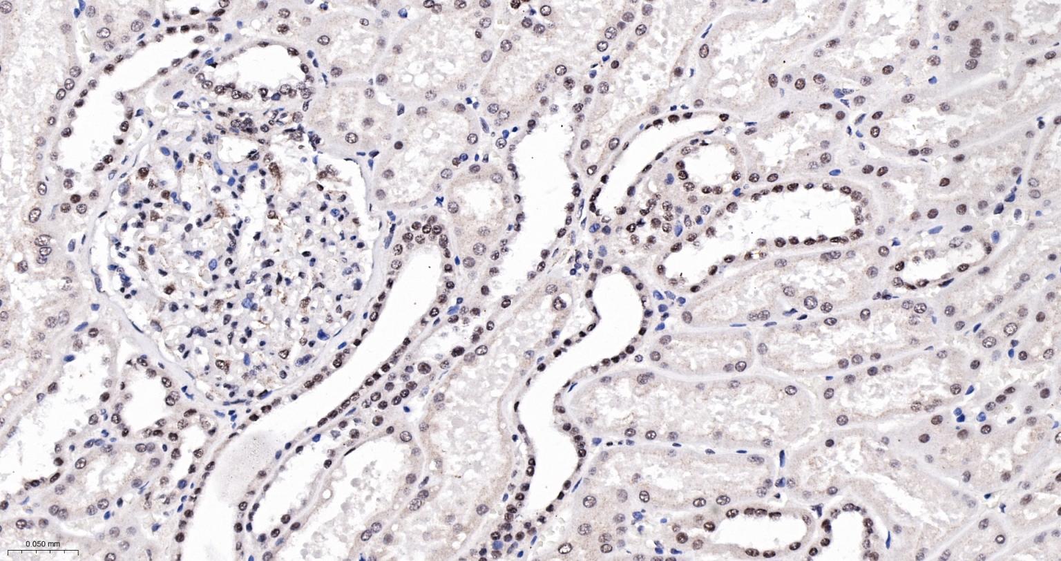
Paraformaldehyde-fixed, paraffin embedded Human Kidney; Antigen retrieval by boiling in sodium citrate buffer (pH6.0) for 15 min; The section was incubated with HP1 alpha Monoclonal Antibody, Unconjugated (bsm-33377M) at 1:200 overnight at 4°C, followed by conjugation to the bs-40296G-HRP and DAB (C-0010) staining.
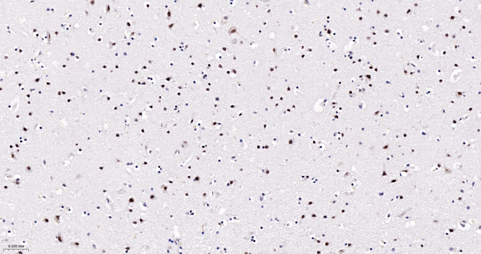
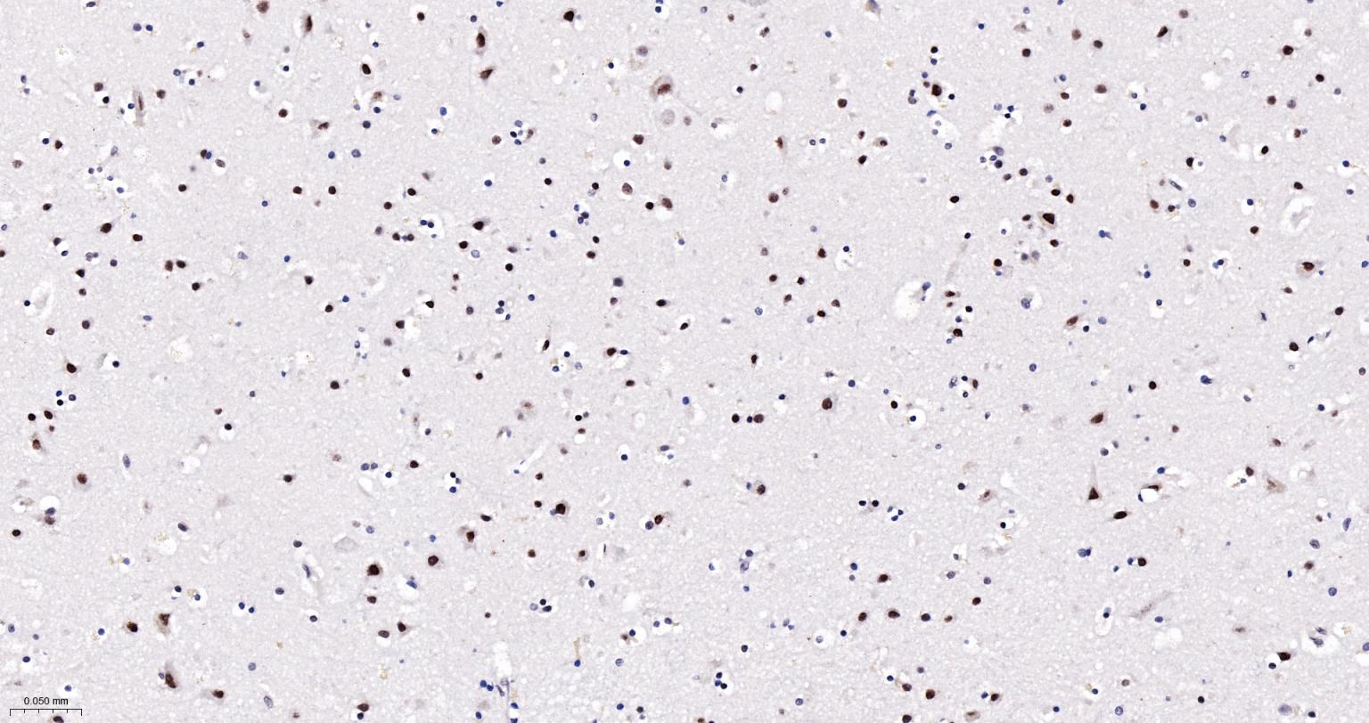
Paraformaldehyde-fixed, paraffin embedded Human Cerebrum; Antigen retrieval by boiling in sodium citrate buffer (pH6.0) for 15 min; The section was incubated with HP1 alpha Monoclonal Antibody, Unconjugated (bsm-33377M) at 1:200 overnight at 4°C, followed by conjugation to the bs-40296G-HRP and DAB (C-0010) staining.
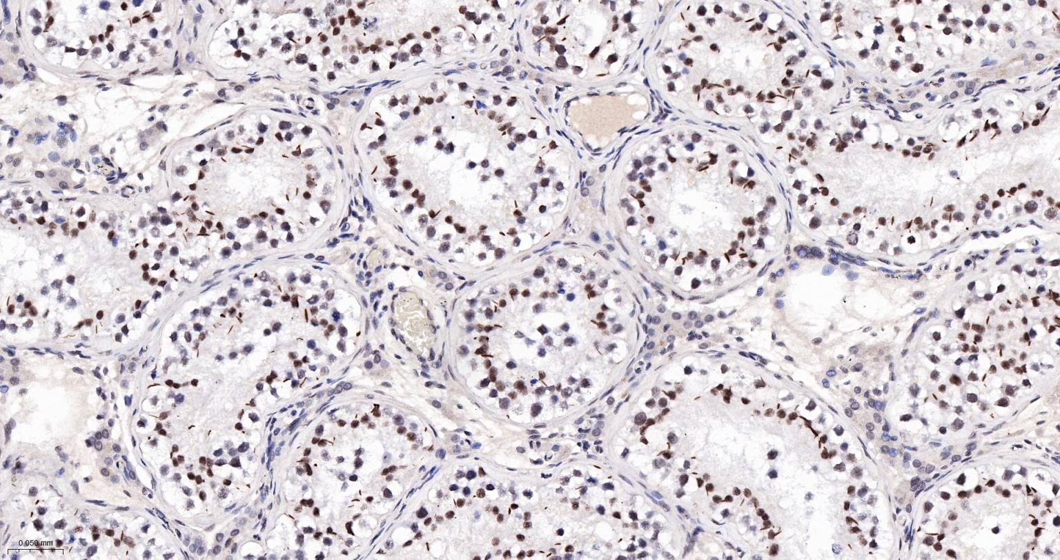
Paraformaldehyde-fixed, paraffin embedded Human Testicles; Antigen retrieval by boiling in sodium citrate buffer (pH6.0) for 15 min; The section was incubated with HP1 alpha Monoclonal Antibody, Unconjugated (bsm-33377M) at 1:200 overnight at 4°C, followed by conjugation to the bs-40296G-HRP and DAB (C-0010) staining.
Paraformaldehyde-fixed, paraffin embedded Human Kidney; Antigen retrieval by boiling in sodium citrate buffer (pH6.0) for 15 min; The section was incubated with HP1 alpha Monoclonal Antibody, Unconjugated (bsm-33377M) at 1:200 overnight at 4°C, followed by conjugation to the bs-40296G-HRP and DAB (C-0010) staining.
Paraformaldehyde-fixed, paraffin embedded Human Cerebrum; Antigen retrieval by boiling in sodium citrate buffer (pH6.0) for 15 min; The section was incubated with HP1 alpha Monoclonal Antibody, Unconjugated (bsm-33377M) at 1:200 overnight at 4°C, followed by conjugation to the bs-40296G-HRP and DAB (C-0010) staining.
Paraformaldehyde-fixed, paraffin embedded Human Testicles; Antigen retrieval by boiling in sodium citrate buffer (pH6.0) for 15 min; The section was incubated with HP1 alpha Monoclonal Antibody, Unconjugated (bsm-33377M) at 1:200 overnight at 4°C, followed by conjugation to the bs-40296G-HRP and DAB (C-0010) staining.
版权所有 2004-2026 www.bioss.com.cn 北京博奥森生物技术有限公司
通过国际质量管理体系ISO 9001:2015 GB/T 19001-2016    证书编号: 00124Q34771R2M/1100
通过国际医疗器械-质量管理体系ISO 13485:2016 GB/T 42061-2022     证书编号: CQC24QY20047R0M/1100
京ICP备05066980号-1         京公网安备110107000727号