扫码关注公众号           扫码咨询技术支持           扫码咨询技术服务
  
客服热线:400-901-9800  客服QQ:4009019800  技术答疑  技术支持  质量反馈  人才招聘  关于我们  联系我们
产品中心-北京博奥森生物技术有限公司
首页 > 产品中心 > 一抗 > 产品信息
HP1 gamma Mouse mAb (bsm-33375M)  
订购热线:400-901-9800
订购邮箱:sales@bioss.com.cn
订购QQ:  400-901-9800
技术支持:techsupport@bioss.com.cn
50ul/1180.00元
100ul/1980.00元
200ul/2800.00元
200ug(PBS only)/5600.00元
大包装/询价

产品编号 bsm-33375M
英文名称 HP1 gamma Mouse mAb
中文名称 异染色质蛋白1-γ/HP-1γ单克隆抗体
别    名 HECH; HP1-GAMMA; HP1Hs-gamma; HP1gamma; HP1g; M32; CBX3_HUMAN; CBX3; Heterochromatin protein 1 homolog gamma (HP1 gamma); Modifier 2 protein; CBX3_MOUSE;   HP-1-γ; HP 1γ; HP-1γ; HP-1 γ; HP1γ; HP1 γ;
研究领域 肿瘤  细胞生物  染色质和核信号  
抗体来源 Mouse
克隆类型 Monoclonal
克 隆 号 5B9
交叉反应 Human,Mouse,Rat
产品应用 IHC-P=1:100-500,IHC-F=1:100-500,IF=1:100-500
not yet tested in other applications.
optimal dilutions/concentrations should be determined by the end user.
理论分子量 21 kDa
细胞定位 细胞核 
性    状 Liquid
浓    度 1mg/ml
免 疫 原 Recombinant human HP1 gamma Protein 
亚    型 IgG
纯化方法 affinity purified by Protein G
缓 冲 液 0.01M TBS (pH7.4) with 1% BSA, 0.02% Proclin300 and 50% Glycerol.
保存条件 Shipped at 4℃. Store at -20℃ for one year. Avoid repeated freeze/thaw cycles.
注意事项 This product as supplied is intended for research use only, not for use in human, therapeutic or diagnostic applications.
PubMed PubMed
产品介绍 HP1 gamma appears to be involved in transcriptional silencing in heterochromatin-like complexes. It recognizes and binds histone H3 tails methylated at 'Lys-9', leading to epigenetic repression. HP1 gamma may contribute to the association of the heterochromatin with the inner nuclear membrane through its interaction with lamin B receptor (LBR) and involved in the formation of functional kinetochore through interaction with MIS12 complex proteins.

Function:
Seems to be involved in transcriptional silencing in heterochromatin-like complexes. Recognizes and binds histone H3 tails methylated at 'Lys-9', leading to epigenetic repression. May contribute to the association of the heterochromatin with the inner nuclear membrane through its interaction with lamin B receptor (LBR). Involved in the formation of functional kinetochore through interaction with MIS12 complex proteins.

Subunit:
Binds directly to CHAF1A. Interacts with histone H3 methylated at 'Lys-9'. Part of the E2F6.com-1 complex in G0 phase composed of E2F6, MGA, MAX, TFDP1, CBX3, BAT8, EUHMTASE1, RING1, RNF2, MBLR, L3MBTL2 and YAF2. Interacts with LBR, INCENP, TRIM28/TIF1B, SUV420H1, SUV420H2 and SP100. Interacts with TIF1A. Interacts with MIS12 and DSN1. Can interact directly with CBX5 via the chromoshadow domain. Interacts with POGZ. Interacts with CHAMP1. Interacts with ASXL1.

Subcellular Location:
Nucleus (Potential). Note=Associates with euchromatin and is largely excluded from constitutive heterochromatin. May be associated with microtubules and mitotic poles during mitosis (Potential).

Post-translational modifications:
Phosphorylated by PIM1. Phosphorylated during interphase and possibly hyper-phosphorylated during mitosis.

Similarity:
Contains 2 chromo domains.

SWISS:
Q13185

Gene ID:
11335

Database links:

Entrez Gene: 11335 Human

Entrez Gene: 12417 Mouse

Entrez Gene: 297093 Rat

Omim: 604477 Human

SwissProt: Q13185 Human

SwissProt: P23198 Mouse

Unigene: 381189 Human

Unigene: 280968 Mouse

Unigene: 458234 Mouse

Unigene: 485141 Mouse




产品图片
Paraformaldehyde-fixed, paraffin embedded (mouse testis); Antigen retrieval by boiling in sodium citrate buffer (pH6.0) for 15min; Block endogenous peroxidase by 3% hydrogen peroxide for 20 minutes; Blocking buffer (normal goat serum) at 37°C for 30min; Antibody incubation with (HP1 gamma) Monoclonal Antibody, Unconjugated (bsm-33375M) at 1:200 overnight at 4°C, followed by operating according to SP Kit(Mouse) (sp-0024) instructionsand DAB staining.
Paraformaldehyde-fixed, paraffin embedded (mouse brain); Antigen retrieval by boiling in sodium citrate buffer (pH6.0) for 15min; Block endogenous peroxidase by 3% hydrogen peroxide for 20 minutes; Blocking buffer (normal goat serum) at 37°C for 30min; Antibody incubation with (HP1 gamma) Monoclonal Antibody, Unconjugated (bsm-33375M) at 1:200 overnight at 4°C, followed by operating according to SP Kit(Mouse)(sp-0024) instructionsand DAB staining.
Paraformaldehyde-fixed, paraffin embedded (rat brain); Antigen retrieval by boiling in sodium citrate buffer (pH6.0) for 15min; Block endogenous peroxidase by 3% hydrogen peroxide for 20 minutes; Blocking buffer (normal goat serum) at 37°C for 30min; Antibody incubation with (HP1 gamma) Monoclonal Antibody, Unconjugated (bsm-33375M) at 1:200 overnight at 4°C, followed by operating according to SP Kit(Mouse) (sp-0024) instructionsand DAB staining.
Paraformaldehyde-fixed, paraffin embedded (rat liver); Antigen retrieval by boiling in sodium citrate buffer (pH6.0) for 30min; Block endogenous peroxidase by 3% hydrogen peroxide for 20 minutes; Blocking buffer (normal goat serum) at 37°C for 30min; Antibody incubation with (HP1 gamma) Monoclonal Antibody, Unconjugated (bsm-33375M) at 1:200 overnight at 4°C, followed by operating according to SP Kit(Mouse) (sp-0024) instructionsand DAB staining.
Paraformaldehyde-fixed, paraffin embedded (mouse kidney); Antigen retrieval by boiling in sodium citrate buffer (pH6.0) for 15min; Block endogenous peroxidase by 3% hydrogen peroxide for 20 minutes; Blocking buffer (normal goat serum) at 37°C for 30min; Antibody incubation with (HP1 gamma) Monoclonal Antibody, Unconjugated (bsm-33375M) at 1:200 overnight at 4°C, followed by operating according to SP Kit(Mouse) (sp-0024) instructionsand DAB staining.
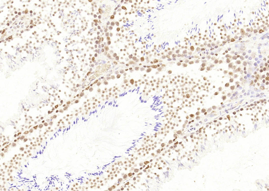
Paraformaldehyde-fixed, paraffin embedded (rat testis); Antigen retrieval by boiling in sodium citrate buffer (pH6.0) for 15min; Block endogenous peroxidase by 3% hydrogen peroxide for 20 minutes; Blocking buffer (normal goat serum) at 37°C for 30min; Antibody incubation with (HP1 gamma) Monoclonal Antibody, Unconjugated (bsm-33375M) at 1:200 overnight at 4°C, followed by operating according to SP Kit(Mouse) (sp-0024) instructionsand DAB staining.
Paraformaldehyde-fixed, paraffin embedded (rat kidney); Antigen retrieval by boiling in sodium citrate buffer (pH6.0) for 15min; Block endogenous peroxidase by 3% hydrogen peroxide for 20 minutes; Blocking buffer (normal goat serum) at 37°C for 30min; Antibody incubation with (HP1 gamma) Monoclonal Antibody, Unconjugated (bsm-33375M) at 1:200 overnight at 4°C, followed by operating according to SP Kit(Mouse) (sp-0024) instructionsand DAB staining.
Paraformaldehyde-fixed, paraffin embedded (mouse liver); Antigen retrieval by boiling in sodium citrate buffer (pH6.0) for 15min; Block endogenous peroxidase by 3% hydrogen peroxide for 20 minutes; Blocking buffer (normal goat serum) at 37°C for 30min; Antibody incubation with (HP1 gamma) Monoclonal Antibody, Unconjugated (bsm-33375M) at 1:200 overnight at 4°C, followed by operating according to SP Kit(Mouse) (sp-0024) instructionsand DAB staining.
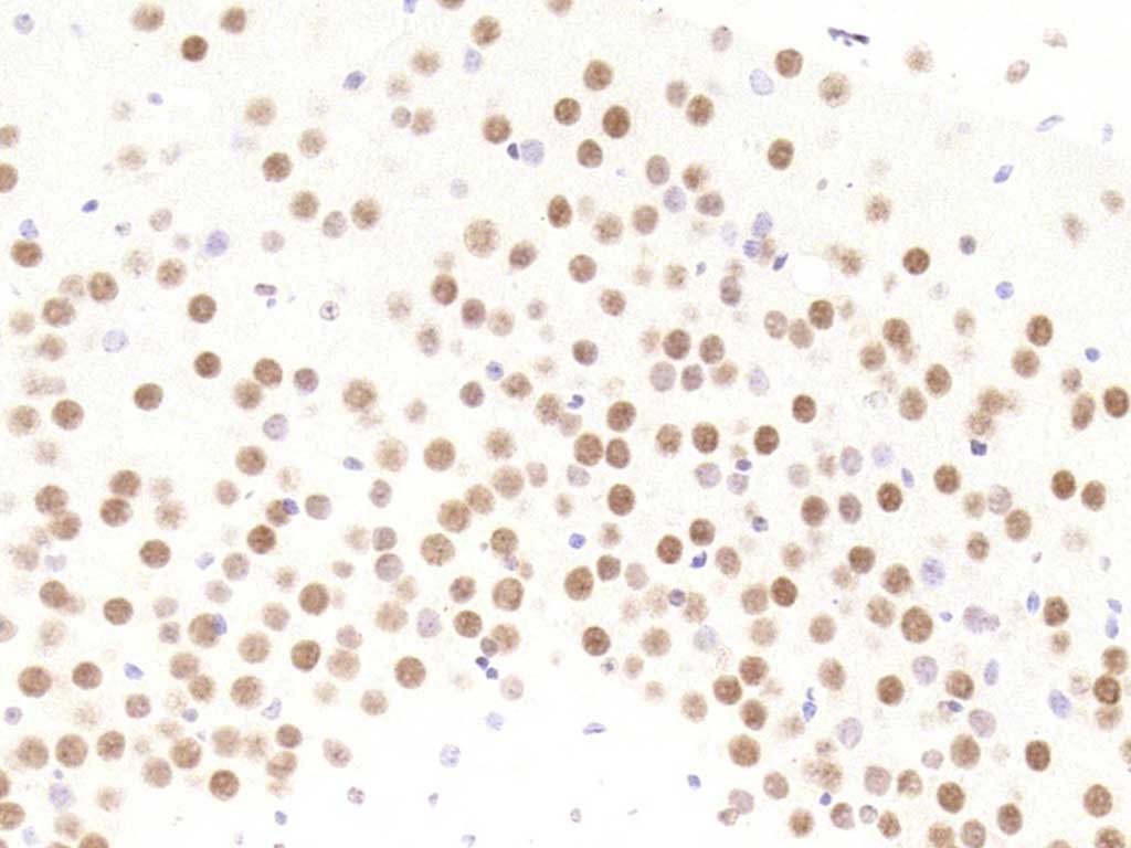
Paraformaldehyde-fixed, paraffin embedded (human rectal carcinoma); Antigen retrieval by boiling in sodium citrate buffer (pH6.0) for 30min; Block endogenous peroxidase by 3% hydrogen peroxide for 20 minutes; Blocking buffer (normal goat serum) at 37°C for 30min; Antibody incubation with (HP1 gamma) Monoclonal Antibody, Unconjugated (bsm-33375M) at 1:200 overnight at 4°C, followed by operating according to SP Kit(Mouse) (sp-0024) instructionsand DAB staining.
版权所有 2004-2026 www.bioss.com.cn 北京博奥森生物技术有限公司
通过国际质量管理体系ISO 9001:2015 GB/T 19001-2016    证书编号: 00124Q34771R2M/1100
通过国际医疗器械-质量管理体系ISO 13485:2016 GB/T 42061-2022     证书编号: CQC24QY20047R0M/1100
京ICP备05066980号-1         京公网安备110107000727号