扫码关注公众号           扫码咨询技术支持           扫码咨询技术服务
  
客服热线:400-901-9800  客服QQ:4009019800  技术答疑  技术支持  质量反馈  关于我们  联系我们
产品中心-北京博奥森生物技术有限公司
首页 > 产品中心 > 一抗 > 产品信息
[KO验证抗体] STAT3 Mouse mAb (bsm-33218M)  
订购热线:400-901-9800
订购邮箱:sales@bioss.com.cn
订购QQ:  400-901-9800
技术支持:techsupport@bioss.com.cn
50ul/1180.00元
100ul/1980.00元
200ul/2800.00元
200ug(PBS only)/5600.00元
大包装/询价

产品编号 bsm-33218M
英文名称 [KO验证抗体] STAT3 Mouse mAb
中文名称 信号转导和转录激活因子3单克隆抗体
别    名 1110034C02Rik; Acute Phase Response Factor; APRF; AW109958; DNA binding protein APRF; FLJ20882; HIES; MGC128731; MGC16063; MGC93551; Signal transducer and activator of transcription 3(acute-phase response factor); Signal transducer and activator of transcription 3; Signal Transductor and Activator of Transcription 3; STAT 3; Transcription factor; STAT3_HUMAN.  
Specific References  (7)     |     bsm-33218M has been referenced in 7 publications.
[IF=8.724] Yong Tang. et al. Phosphorylation inhibition of protein-tyrosine phosphatase 1B tyrosine-152 induces bone regeneration coupled with angiogenesis for bone tissue engineering. Bioact Mater. 2021 Jul;6:2039  WB ;  Mouse.  
[IF=6.543] Zhou Wan. et al. The Effects of RBP4 and Vitamin D on the Proliferation and Migration of Vascular Smooth Muscle Cells via the JAK2/STAT3 Signaling Pathway. Oxid Med Cell Longev. 2022;2022:3046777  WB ;  Rat.  
[IF=5.682] Xiaolan You. et al. Dihydroartemisinin attenuates pulmonary inflammation and fibrosis in rats by suppressing JAK2/STAT3 signaling. Aging-Us. 2022 Feb 15; 14(3): 1110–1127  IHC,WB ;  Rat.  
[IF=5.037] Xin-yu Zhang. et al. Cerebralcare Granule® combined with nimodipine improves cognitive impairment in bilateral carotid artery occlusion rats by reducing lipocalin-2. Life Sci. 2021 Dec;286:120048  WB ;  Rat.  
[IF=3.606] Xuejiao Zhou. et al. The novel ALK inhibitor ZX‐29 induces apoptosis through inhibiting ALK and inducing ROS‐mediated endoplasmic reticulum stress in Karpas299 cells. 2020 Nov 02  WB ;  Human.  
[IF=2.064] Liu B et al. Zhuang Gu Guan Jie Wan: Reasonable Application Can Alleviate the Liver Injury for Osteoarthritis Treatment.(2018)Evid Based Complement Alternat Med;2018:6716529.  IHC ;  Rat.  
[IF=2.05] Mengmeng Zhang. et al. Hepatoprotective effect and possible mechanism of phytoestrogen calycosin on carbon tetrachloride–induced liver fibrosis in mice. N-S Arch Pharmacol. 2021 Jan;394(1):189-204  WB ;  Mouse.  
研究领域 肿瘤  细胞生物  信号转导  细胞凋亡  转录调节因子  
抗体来源 Mouse
克隆类型 Monoclonal
克 隆 号 3F5
交叉反应 Human,Mouse,Rat (predicted: Cow)
产品应用 WB=1:1000-5000,IHC-P=1:200-2000,IHC-F=1:200-2000,IF=1:200-2000
not yet tested in other applications.
optimal dilutions/concentrations should be determined by the end user.
理论分子量 88 kDa
检测分子量
细胞定位 细胞核 细胞浆 
性    状 Liquid
浓    度 1mg/ml
免 疫 原 Recombinant human STAT3 Protein: 9-265/770 
亚    型 IgG
纯化方法 affinity purified by Protein G
缓 冲 液 0.01M TBS (pH7.4) with 1% BSA, 0.02% Proclin300 and 50% Glycerol.
保存条件 Shipped at 4℃. Store at -20℃ for one year. Avoid repeated freeze/thaw cycles.
注意事项 This product as supplied is intended for research use only, not for use in human, therapeutic or diagnostic applications.
PubMed PubMed
产品介绍 The protein encoded by this gene is a member of the STAT protein family. In response to cytokines and growth factors, STAT family members are phosphorylated by the receptor associated kinases, and then form homo- or heterodimers that translocate to the cell nucleus where they act as transcription activators. This protein is activated through phosphorylation in response to various cytokines and growth factors including IFNs, EGF, IL5, IL6, HGF, LIF and BMP2. This protein mediates the expression of a variety of genes in response to cell stimuli, and thus plays a key role in many cellular processes such as cell growth and apoptosis. The small GTPase Rac1 has been shown to bind and regulate the activity of this protein. PIAS3 protein is a specific inhibitor of this protein. Three alternatively spliced transcript variants encoding distinct isoforms have been described. Gene Symbol: APRF; FLJ20882; HIES; MGC16063.

Subunit:
Forms a homodimer or a heterodimer with a related family member (at least STAT1). Interacts with IL31RA, NCOA1, PELP1, SIPAR, SOCS7, STATIP1 and TMF1. Interacts with HCV core protein. Interacts with IL23R in presence of IL23. Interacts (via SH2 domain) with NLK. Interacts with ARL2BP; the interaction is enhanced by LIF and JAK1 expression (By similarity). Interacts with KPNA4 and KPNA5; KPNA4 may be the primary mediator of nuclear import (By similarity). Interacts with CAV2; the interaction is increased on insulin-induced tyrosine phosphorylation of CAV2 and leads to STAT3 activation (By similarity). Interacts with ARL2BP; interaction is enhanced with ARL2. Interacts with NEK6 (By similarity). Binds to CDK9 when activated and nuclear. Interacts with BMX. Interacts with ZIPK/DAPK3. Interacts with PIAS3; the interaction occurs on stimulation by IL6, CNTF or OSM and inhibits the DNA binding activity of STAT3. In prostate cancer cells, interacts with STAT3 and promotes DNA binding activity of STAT3. Interacts with STMN3, antagonizing its microtubule-destabilizing activity.

Subcellular Location:
Cytoplasm. Nucleus. Note=Shuttles between the nucleus and the cytoplasm. Translocated into the nucleus upon tyrosine phosphorylation and dimerization, in response to signaling by activated FGFR1, FGFR2, FGFR3 or FGFR4. Constitutive nuclear presence is independent of tyrosine phosphorylation. Predominantly present in the cytoplasm without stimuli. Upon leukemia inhibitory factor (LIF) stimulation, accumulates in the nucleus. The complex composed of BART and ARL2 plays an important role in the nuclear translocation and retention of STAT3. Identified in a complex with LYN and PAG1.

Tissue Specificity:
Heart, brain, placenta, lung, liver, skeletal muscle, kidney and pancreas.

Similarity:
Belongs to the transcription factor STAT family.
Contains 1 SH2 domain.

SWISS:
P40763

Gene ID:
6774

Database links:

Entrez Gene: 6774 Human

Entrez Gene: 20848 Mouse

Entrez Gene: 25125 Rat

Omim: 102582 Human

SwissProt: P40763 Human

SwissProt: P42227 Mouse

SwissProt: P52631 Rat

Unigene: 463059 Human



Stat3在细胞分化、增殖、凋亡等方面有着重要生理作用。有学者认为:STAT-3对肿瘤有一定的抑制作用,由于其与肿瘤的关系较为密切,越来越受到人们的重视。
产品图片
25 ug total protein per lane of various lysates (see on figure) probed with STAT3 monoclonal antibody, unconjugated (bsm-33218M) at 1:1000 dilution and 4°C overnight incubation. Followed by conjugated secondary antibody incubation at r.t. for 60 min.
25 ug total protein per lane of various lysates (see on figure) probed with STAT3 monoclonal antibody, unconjugated (bsm-33218M) at 1:1000 dilution and 4°C overnight incubation. Followed by conjugated secondary antibody incubation at r.t. for 60 min.
Paraformaldehyde-fixed, paraffin embedded Human Breast Cancer; Antigen retrieval by boiling in sodium citrate buffer (pH6.0) for 15 min; The section was incubated with STAT3 Monoclonal Antibody, Unconjugated (ascites of bsm-33218M) at 1:1500 overnight at 4°C, followed by conjugation to the bs-40296G-HRP and DAB (C-0010) staining.
Paraformaldehyde-fixed, paraffin embedded Human Pancreas; Antigen retrieval by boiling in sodium citrate buffer (pH6.0) for 15 min; The section was incubated with STAT3 Monoclonal Antibody, Unconjugated (ascites of bsm-33218M) at 1:1500 overnight at 4°C, followed by conjugation to the bs-40296G-HRP and DAB (C-0010) staining.
Paraformaldehyde-fixed, paraffin embedded Human Small Intestine; Antigen retrieval by boiling in sodium citrate buffer (pH6.0) for 15 min; The section was incubated with STAT3 Monoclonal Antibody, Unconjugated (ascites of bsm-33218M) at 1:1500 overnight at 4°C, followed by conjugation to the bs-40296G-HRP and DAB (C-0010) staining.
Paraformaldehyde-fixed, paraffin embedded Human Kidney; Antigen retrieval by boiling in sodium citrate buffer (pH6.0) for 15 min; The section was incubated with STAT3 Monoclonal Antibody, Unconjugated (ascites of bsm-33218M) at 1:1500 overnight at 4°C, followed by conjugation to the bs-40296G-HRP and DAB (C-0010) staining.
Paraformaldehyde-fixed, paraffin embedded Human Cerebrum; Antigen retrieval by boiling in sodium citrate buffer (pH6.0) for 15 min; The section was incubated with STAT3 Monoclonal Antibody, Unconjugated (ascites of bsm-33218M) at 1:1500 overnight at 4°C, followed by conjugation to the bs-40296G-HRP and DAB (C-0010) staining.
Paraformaldehyde-fixed, paraffin embedded Human Liver; Antigen retrieval by boiling in sodium citrate buffer (pH6.0) for 15 min; The section was incubated with STAT3 Monoclonal Antibody, Unconjugated (ascites of bsm-33218M) at 1:1500 overnight at 4°C, followed by conjugation to the bs-40296G-HRP and DAB (C-0010) staining.
Paraformaldehyde-fixed, paraffin embedded Human Tonsil; Antigen retrieval by boiling in sodium citrate buffer (pH6.0) for 15 min; The section was incubated with STAT3 Monoclonal Antibody, Unconjugated (ascites of bsm-33218M) at 1:1500 overnight at 4°C, followed by conjugation to the bs-40296G-HRP and DAB (C-0010) staining.
Paraformaldehyde-fixed, paraffin embedded Human Colon Cancer; Antigen retrieval by boiling in sodium citrate buffer (pH6.0) for 15 min; The section was incubated with STAT3 alpha Monoclonal Antibody, Unconjugated (ascites of bsm-33218M) at 1:1500 overnight at 4°C, followed by conjugation to the bs-40296G-HRP and DAB (C-0010) staining.
Paraformaldehyde-fixed, paraffin embedded Human Cervical Cancer; Antigen retrieval by boiling in sodium citrate buffer (pH6.0) for 15 min; The section was incubated with STAT3 Monoclonal Antibody, Unconjugated (ascites of bsm-33218M) at 1:1500 overnight at 4°C, followed by conjugation to the bs-40296G-HRP and DAB (C-0010) staining.
Paraformaldehyde-fixed, paraffin embedded Human Lung Cancer; Antigen retrieval by boiling in sodium citrate buffer (pH6.0) for 15 min; The section was incubated with STAT3 Monoclonal Antibody, Unconjugated (ascites of bsm-33218M) at 1:1500 overnight at 4°C, followed by conjugation to the bs-40296G-HRP and DAB (C-0010) staining.
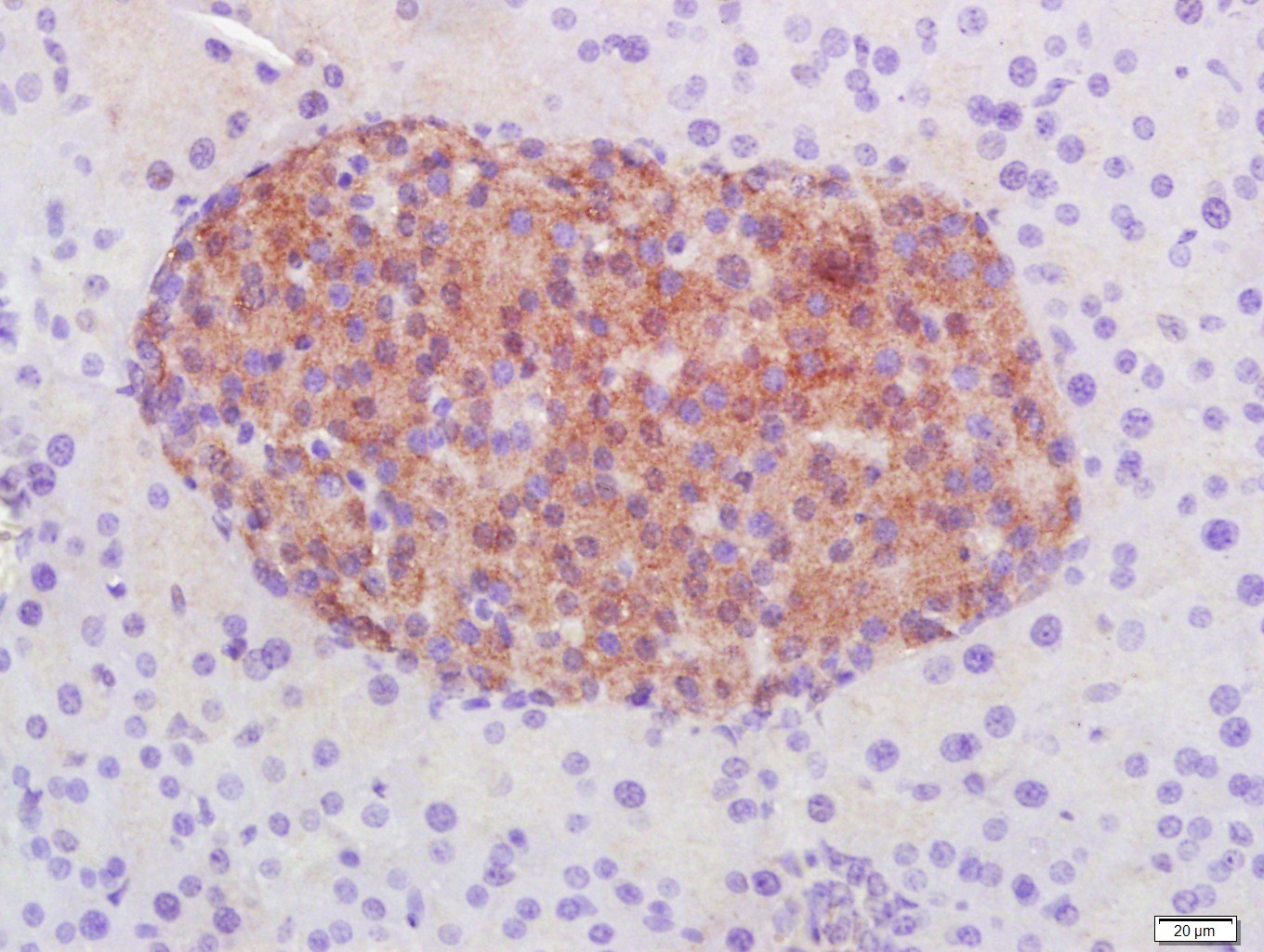
Paraformaldehyde-fixed, paraffin embedded (Mouse pancreas); Antigen retrieval by boiling in sodium citrate buffer (pH6.0) for 15min; Block endogenous peroxidase by 3% hydrogen peroxide for 20 minutes; Blocking buffer (normal goat serum) at 37°C for 30min; Antibody incubation with (STAT3) Monoclonal Antibody, Unconjugated (bsm-33218M) at 1:400 overnight at 4°C, followed by a conjugated secondary (sp-0023) for 20 minutes and DAB staining.
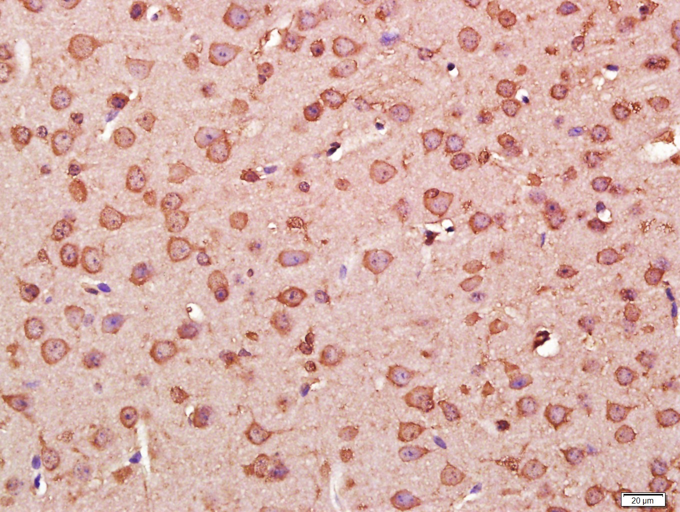
Paraformaldehyde-fixed, paraffin embedded (Mouse brain); Antigen retrieval by boiling in sodium citrate buffer (pH6.0) for 15min; Block endogenous peroxidase by 3% hydrogen peroxide for 20 minutes; Blocking buffer (normal goat serum) at 37°C for 30min; Antibody incubation with (STAT3) Monoclonal Antibody, Unconjugated (bsm-33218M) at 1:400 overnight at 4°C, followed by a conjugated secondary (sp-0023) for 20 minutes and DAB staining.
Paraformaldehyde-fixed, paraffin embedded (rat pancreas); Antigen retrieval by boiling in sodium citrate buffer (pH6.0) for 15min; Block endogenous peroxidase by 3% hydrogen peroxide for 20 minutes; Blocking buffer (normal goat serum) at 37°C for 30min; Antibody incubation with (STAT3) Polyclonal Antibody, Unconjugated (bsm-33218M) at 1:200 overnight at 4°C, followed by operating according to SP Kit(Mouse)(sp-0024) instructionsand DAB staining.
Paraformaldehyde-fixed, paraffin embedded (rat brain); Antigen retrieval by boiling in sodium citrate buffer (pH6.0) for 15min; Block endogenous peroxidase by 3% hydrogen peroxide for 20 minutes; Blocking buffer (normal goat serum) at 37°C for 30min; Antibody incubation with (STAT3) Polyclonal Antibody, Unconjugated (bsm-33218M) at 1:200 overnight at 4°C, followed by operating according to SP Kit(Mouse)(sp-0024) instructionsand DAB staining.
Paraformaldehyde-fixed, paraffin embedded (mouse brain); Antigen retrieval by boiling in sodium citrate buffer (pH6.0) for 15min; Block endogenous peroxidase by 3% hydrogen peroxide for 20 minutes; Blocking buffer (normal goat serum) at 37°C for 30min; Antibody incubation with (STAT3) Polyclonal Antibody, Unconjugated (bsm-33218M) at 1:200 overnight at 4°C, followed by operating according to SP Kit(Mouse)(sp-0024) instructionsand DAB staining.
Paraformaldehyde-fixed, paraffin embedded (rat kidney); Antigen retrieval by boiling in sodium citrate buffer (pH6.0) for 15min; Block endogenous peroxidase by 3% hydrogen peroxide for 20 minutes; Blocking buffer (normal goat serum) at 37°C for 30min; Antibody incubation with (STAT3) Monoclonal Antibody, Unconjugated (ascites of bsm-33218M 3F5) at 1:2000 overnight at 4°C, followed by operating according to SP Kit(Mouse) (sp-0024) instructions and DAB staining.
版权所有 2004-2026 www.bioss.com.cn 北京博奥森生物技术有限公司
通过国际质量管理体系ISO 9001:2015 GB/T 19001-2016    证书编号: 00124Q34771R2M/1100
通过国际医疗器械-质量管理体系ISO 13485:2016 GB/T 42061-2022     证书编号: CQC24QY20047R0M/1100
京ICP备05066980号-1         京公网安备110107000727号