 
| 产品编号 | bsm-33323M | 
| 英文名称 | Beclin 1 Mouse mAb | 
| 中文名称 | 自噬效应蛋白Beclin 1单克隆抗体 | 
| 别 名 | Beclin-1; ATG6; beclin1; VPS30; Beclin 1 like protein 1; 4921513J16Rik; 5430417M23Rik; ATG6; BECLIN 1; BECN1; MGC6843; BECN1_HUMAN. | 
|  | Specific References  (2)     |     bsm-33323M has been referenced in 2 publications. 
[IF=8.469] Mao, Shaowei. et al. FKBP51 promotes invasion and migration by increasing the autophagic degradation of TIMP3 in clear cell renal cell carcinoma. Cell Death Dis. 2021 Oct;12(10):1-15  IF ;  Human.   
[IF=5.988] Zhao-Jie Ji. et al. Neuroprotective Effect of Taohong Siwu Decoction on Cerebral Ischemia/Reperfusion Injury via Mitophagy-NLRP3 Inflammasome Pathway. FRONT PHARMACOL. 2022; 13: 910217  IF ;  Rat.   | 
| 研究领域 | 肿瘤 免疫学 神经生物学 细胞凋亡 | 
| 抗体来源 | Mouse | 
| 克隆类型 | Monoclonal | 
| 克 隆 号 | 7B12 | 
| 交叉反应 | Human,Mouse,Rat | 
| 产品应用 | IHC-P=1:100-500,IHC-F=1:100-500,IF=1:100-500 not yet tested in other applications. optimal dilutions/concentrations should be determined by the end user. | 
| 理论分子量 | 50 kDa | 
| 检测分子量 | |
| 细胞定位 | 细胞浆 细胞膜 | 
| 性 状 | Liquid | 
| 浓 度 | 1mg/ml | 
| 免 疫 原 | KLH conjugated synthetic peptide derived from human Beclin 1 | 
| 亚 型 | IgG | 
| 纯化方法 | affinity purified by Protein G | 
| 缓 冲 液 | 0.01M TBS (pH7.4) with 1% BSA, 0.02% Proclin300 and 50% Glycerol. | 
| 保存条件 | Shipped at 4℃. Store at -20℃ for one year. Avoid repeated freeze/thaw cycles. | 
| 注意事项 | This product as supplied is intended for research use only, not for use in human, therapeutic or diagnostic applications. | 
| PubMed | PubMed | 
| 产品介绍 | Beclin 1 is the first identified mammalian gene to mediate autophagy and also has tumor suppressor and antiviral function. Autophagy, a process of bulk protein degradation through an autophagosomic lysosomal pathway, is important for differentiation, survival during nutrient deprivation, and normal growth control, and is often defective in tumor cells. Beclin 1 was originally isolated in a yeast two hybrid screen to identify Bcl 2 binding partners and maps to a tumor susceptibility locus on human chromosome 17q21 that is frequently monoallelically deleted in human breast, ovarian and prostate cancer. Beclin 1 encodes an evolutionarily conserved 52kDa coiled coil protein that is expressed in human muscle, epithelial cells and neurons. Function: Plays a central role in autophagy. Required for the abcission step in cytokinesis. May play a role in antiviral host defense. Protects against infection by a neurovirulent strain of Sindbis virus. Subunit: Interacts with GOPC and GRID2. Interacts with AMBRA1. Forms a complex with PIK3C3 and PIK3R4 and either UVRAG and KIAA0226/Rubicon, or with ATG14. UVRAG and ATG14 form mutually exclusive complexes through direct competition for BECN1-binding. The complex containing ATG14 up-regulates autophagy, while the one containing Rubicon down-regulates autophagy. Interacts with BCL2 and BCL2L1. Interacts with VMP1. Interacts with PIK3CB. Interacts with DAPK1. Interacts with human cytomegalovirus/HHV-5 protein TRS1. Subcellular Location: Golgi apparatus, trans-Golgi network membrane; Peripheral membrane protein. Note=Interaction with ATG14 promotes translocation to autophagosomes. Expressed in dendrites and cell bodies of cerebellar Purkinje cells. Tissue Specificity: Ubiquitous. Post-translational modifications: Phosphorylation at Thr-119 by DAPK1 reduces its interaction with BCL2 and BCL2L1 and promotes induction of autophagy. Ubiquitinated. Deubiquitinated by USP10 and USP13, leading to stabilize the PIK3C3/VPS34-containing complexes. Similarity: Belongs to the beclin family. SWISS: Q14457 Gene ID: 8678 Database links: Entrez Gene: 8678 Human Entrez Gene: 56208 Mouse Omim: 604378 Human SwissProt: Q14457 Human SwissProt: O88597 Mouse Unigene: 716464 Human Unigene: 178947 Mouse Unigene: 2776 Rat BECN1是一种分子质量为60KDa的蛋白质, 它能与细胞凋亡抑制剂Bcl-2相互作用, 减少中枢神经系统的凋亡,参与PI3K复合物的组成和自噬体的形成。主要表达在胞质。抑癌基因beclin 1通过自噬作用来调节细胞生长。 | 
| 产品图片 | 
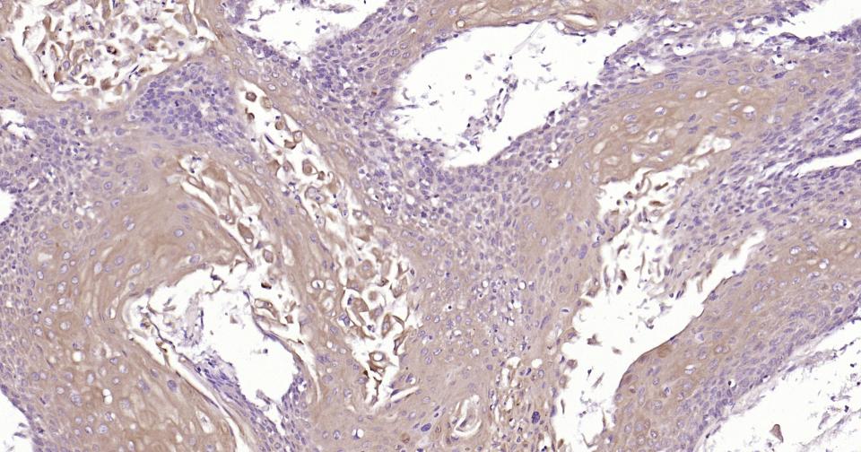
Paraformaldehyde-fixed, paraffin embedded Human Cervical Cancer; Antigen retrieval by boiling in sodium citrate buffer (pH6.0) for 15 min; Antibody incubation with Beclin 1 Monoclonal Antibody, Unconjugated (ascites of bsm-33323M) at 1:200 overnight at 4°C, followed by conjugation to the bs-40296G-HRP and  DAB (C-0010) staining.
 
Paraformaldehyde-fixed, paraffin embedded Human Fundus; Antigen retrieval by boiling in sodium citrate buffer (pH6.0) for 15 min; Antibody incubation with Beclin 1 Monoclonal Antibody, Unconjugated (ascites of bsm-33323M) at 1:200 overnight at 4°C, followed by conjugation to the bs-40296G-HRP and  DAB (C-0010) staining.
 
Paraformaldehyde-fixed, paraffin embedded Rat Stomach; Antigen retrieval by boiling in sodium citrate buffer (pH6.0) for 15 min; Antibody incubation with Beclin 1 Monoclonal Antibody, Unconjugated (ascites of bsm-33323M) at 1:200 overnight at 4°C, followed by conjugation to the bs-40296G-HRP and  DAB (C-0010) staining.
 
Paraformaldehyde-fixed, paraffin embedded Mouse Cerebrum; Antigen retrieval by boiling in sodium citrate buffer (pH6.0) for 15 min; Antibody incubation with Beclin 1 Monoclonal Antibody, Unconjugated (ascites of bsm-33323M) at 1:200 overnight at 4°C, followed by conjugation to the bs-40296G-HRP and  DAB (C-0010) staining.
 
Paraformaldehyde-fixed, paraffin embedded Rat Cerebrum; Antigen retrieval by boiling in sodium citrate buffer (pH6.0) for 15 min; Antibody incubation with Beclin 1 Monoclonal Antibody, Unconjugated (ascites of bsm-33323M) at 1:200 overnight at 4°C, followed by conjugation to the bs-40296G-HRP and  DAB (C-0010) staining.
 
Paraformaldehyde-fixed, paraffin embedded Human Kidney; Antigen retrieval by boiling in sodium citrate buffer (pH6.0) for 15 min; Antibody incubation with Beclin 1 Monoclonal Antibody, Unconjugated (ascites of bsm-33323M) at 1:200 overnight at 4°C, followed by conjugation to the bs-40296G-HRP and  DAB (C-0010) staining.
 
Paraformaldehyde-fixed, paraffin embedded Mouse Kidney; Antigen retrieval by boiling in sodium citrate buffer (pH6.0) for 15 min; Antibody incubation with Beclin 1 Monoclonal Antibody, Unconjugated (ascites of bsm-33323M) at 1:200 overnight at 4°C, followed by conjugation to the bs-40296G-HRP and  DAB (C-0010) staining.
 
Paraformaldehyde-fixed, paraffin embedded Rat Spleen; Antigen retrieval by boiling in sodium citrate buffer (pH6.0) for 15 min; Antibody incubation with Beclin 1 Monoclonal Antibody, Unconjugated (ascites of bsm-33323M) at 1:200 overnight at 4°C, followed by conjugation to the bs-40296G-HRP and  DAB (C-0010) staining.
 
Paraformaldehyde-fixed, paraffin embedded Mouse Spleen; Antigen retrieval by boiling in sodium citrate buffer (pH6.0) for 15 min; Antibody incubation with Beclin 1 Monoclonal Antibody, Unconjugated (ascites of bsm-33323M) at 1:200 overnight at 4°C, followed by conjugation to the bs-40296G-HRP and  DAB (C-0010) staining.
 
Paraformaldehyde-fixed, paraffin embedded Human Colon; Antigen retrieval by boiling in sodium citrate buffer (pH6.0) for 15 min; Antibody incubation with Beclin 1 Monoclonal Antibody, Unconjugated (ascites of bsm-33323M) at 1:200 overnight at 4°C, followed by conjugation to the bs-40296G-HRP and  DAB (C-0010) staining.
 
Paraformaldehyde-fixed, paraffin embedded Rat Colon; Antigen retrieval by boiling in sodium citrate buffer (pH6.0) for 15 min; Antibody incubation with Beclin 1 Monoclonal Antibody, Unconjugated (ascites of bsm-33323M) at 1:200 overnight at 4°C, followed by conjugation to the bs-40296G-HRP and  DAB (C-0010) staining.
 
Paraformaldehyde-fixed, paraffin embedded Mouse Colon; Antigen retrieval by boiling in sodium citrate buffer (pH6.0) for 15 min; Antibody incubation with Beclin 1 Monoclonal Antibody, Unconjugated (ascites of bsm-33323M) at 1:200 overnight at 4°C, followed by conjugation to the bs-40296G-HRP and  DAB (C-0010) staining
 | 
| 1、抗体溶解方法 | |
| 2、抗体修复方式 | |
| 3、常用试剂的配制 | |
| 4、免疫组化操作步骤 | |
| 5、免疫组化问题解答 | |
| 6、Western Blotting 操作步骤 | |
| 7、Western Blotting 问题解答 | |
| 8、关于肽链的设计 | |
| 9、多肽的溶解与保存 | |
| 10、酶标抗体效价测定程序 | |