扫码关注公众号           扫码咨询技术支持           扫码咨询技术服务
  
客服热线:400-901-9800  客服QQ:4009019800  技术答疑  技术支持  质量反馈  关于我们  联系我们
产品中心-北京博奥森生物技术有限公司
首页 > 产品中心 > 一抗 > 产品信息
LC3A Mouse mAb (bsm-33309M)  
订购热线:400-901-9800
订购邮箱:sales@bioss.com.cn
订购QQ:  400-901-9800
技术支持:techsupport@bioss.com.cn
50ul/1180.00元
100ul/1980.00元
200ul/2800.00元
200ug(PBS only)/5600.00元
大包装/询价

产品编号 bsm-33309M
英文名称 LC3A Mouse mAb
中文名称 自噬微管相关蛋白轻链3单克隆抗体
别    名 ATG8E; Autophagy-related protein LC3 A; Autophagy-related ubiquitin-like modifier LC3 A; LC3; MAP1 light chain 3 like protein 1; MAP1 light chain 3-like protein 1; MAP1A/1B light chain 3 A; MAP1A/MAP1B LC3 A; MAP1A/MAP1B light chain 3 A; MAP1ALC3; MAP1BLC3; Map1lc3a; Microtubule associated proteins 1A/1B light chain 3; Microtubule-associated protein 1 light chain 3 alpha; Microtubule-associated proteins 1A and 1B, light chain 3; Microtubule-associated proteins 1A/1B light chain 3A; MLP3A_HUMAN.  
Specific References  (1)     |     bsm-33309M has been referenced in 1 publications.
[IF=2.1] Rong Hu. et al. Apatinib sensitizes chemoresistant NSCLC cells to doxetaxel via regulating autophagy and enhances the therapeutic efficacy in advanced and refractory/recurrent NSCLC. Mol Med Rep. 2020 Nov;22(5):3935-3943  WB,IHC ;  Human.  
研究领域 肿瘤  细胞生物  免疫学  细胞凋亡  细胞自噬  
抗体来源 Mouse
克隆类型 Monoclonal
克 隆 号 7G10
交叉反应 Human,Mouse,Rat
产品应用 WB=1:500-1000,IHC-P=1:100-500,IHC-F=1:100-500,IF=1:100-500
not yet tested in other applications.
optimal dilutions/concentrations should be determined by the end user.
理论分子量 14/16 kDa
检测分子量
细胞定位 细胞浆 细胞膜 
性    状 Liquid
浓    度 1mg/ml
免 疫 原 KLH conjugated synthetic peptide derived from human LC3A: 1-100/121 
亚    型 IgG
纯化方法 affinity purified by Protein G
缓 冲 液 0.01M TBS (pH7.4) with 1% BSA, 0.02% Proclin300 and 50% Glycerol.
保存条件 Shipped at 4℃. Store at -20℃ for one year. Avoid repeated freeze/thaw cycles.
注意事项 This product as supplied is intended for research use only, not for use in human, therapeutic or diagnostic applications.
PubMed PubMed
产品介绍 Microtubule-associated MAPILC3A constitutes nearly half of the mass of all the microtubule associated proteins that copurify with brain microtubules. MAP1LC3A is one of three human orthologs of the rat Map1LC3, (named MAP1LC3A, MAP1LC3B, and MAP1LC3C). The three isoforms of human MAP1LC3 exhibit distinct expression patterns in different human tissues and also differ in their post-translation modifications. MAP1LC3A and MAP1LC3C are produced by the proteolytic cleavage after the conserved C-terminal Gly residue; MAP1LC3B does not undergo C-terminal cleavage and exists in a single modified form.

Function:
Probably involved in formation of autophagosomal vacuoles (autophagosomes).

Subunit:
3 different light chains, LC1, LC2 and LC3, can associate with MAP1A and MAP1B proteins. Interacts with SQSTM1. Interacts with TP53INP1 and TP53INP2.

Subcellular Location:
Cytoplasm, cytoskeleton. Endomembrane system; Lipid-anchor. Cytoplasmic vesicle, autophagosome membrane; Lipid-anchor. Cytoplasmic vesicle, autophagosome. Note=LC3-II binds to the autophagic membranes.

Tissue Specificity:
Most abundant in heart, brain, liver, skeletal muscle and testis but absent in thymus and peripheral blood leukocytes.

Post-translational modifications:
The precursor molecule is cleaved by APG4B/ATG4B to form the cytosolic form, LC3-I. This is activated by APG7L/ATG7, transferred to ATG3 and conjugated to phospholipid to form the membrane-bound form, LC3-II.

Similarity:
Detects a band of approximately 16 kDa (predicted molecular weight: 14 kDa).

SWISS:
Q9H492

Gene ID:
84557

Database links:

Entrez Gene: 84557 Human

Entrez Gene: 66734 Mouse

Entrez Gene: 362245 Rat

Omim: 601242 Human

SwissProt: Q9H492 Human

SwissProt: Q91VR7 Mouse

SwissProt: Q6XVN8 Rat

Unigene: 632273 Human

Unigene: 196239 Mouse

Unigene: 3135 Rat



产品图片
Sample: Lane 1: Mouse Cerebrum tissue lysates Lane 2: Rat Cerebrum tissue lysates Lane 3: Rat Cerebellum tissue lysates Primary: Anti-LC3A (bsm-33309M) at 1/1000 dilution Secondary: IRDye800CW Goat Anti-Mouse IgG at 1/20000 dilution Predicted band size: 14/16 kDa Observed band size: 15 kDa
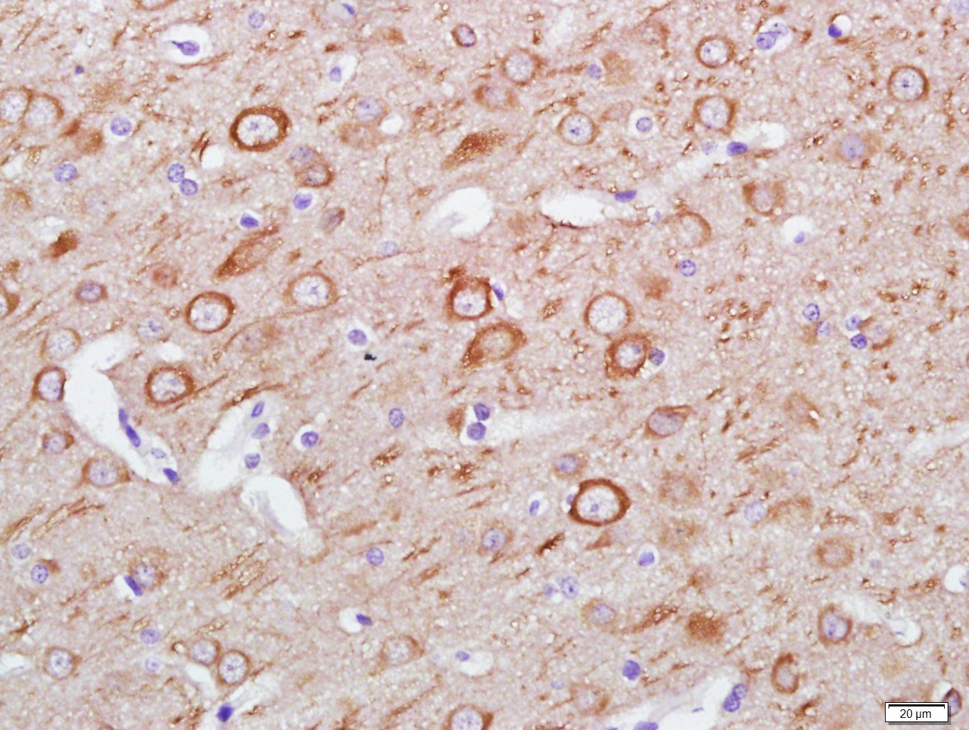
Paraformaldehyde-fixed, paraffin embedded (Rat brain); Antigen retrieval by boiling in sodium citrate buffer (pH6.0) for 15min; Block endogenous peroxidase by 3% hydrogen peroxide for 20 minutes; Blocking buffer (normal goat serum) at 37°C for 30min; Antibody incubation with (LC3A) Monoclonal Antibody, Unconjugated (bsm-33309M) at 1:400 overnight at 4°C, followed by a conjugated secondary (sp-0023) for 20 minutes and DAB staining.
Paraformaldehyde-fixed, paraffin embedded (Mouse brain); Antigen retrieval by boiling in sodium citrate buffer (pH6.0) for 15min; Block endogenous peroxidase by 3% hydrogen peroxide for 20 minutes; Blocking buffer (normal goat serum) at 37°C for 30min; Antibody incubation with (LC3A) Monoclonal Antibody, Unconjugated (bsm-33309M) at 1:400 overnight at 4°C, followed by a conjugated secondary (sp-0023) for 20 minutes and DAB staining.
Paraformaldehyde-fixed, paraffin embedded (human brain); Antigen retrieval by boiling in sodium citrate buffer (pH6.0) for 15min; Block endogenous peroxidase by 3% hydrogen peroxide for 20 minutes; Blocking buffer (normal goat serum) at 37°C for 30min; Incubation with (LC3A ) Monoclonal Antibody, Unconjugated (bsm-33309M) at 1:200 overnight at 4°C, followed by operating according to SP Kit(Mouse)(sp-0024) instructionsand DAB staining.
Paraformaldehyde-fixed, paraffin embedded (mouse cerebellum); Antigen retrieval by boiling in sodium citrate buffer (pH6.0) for 15min; Block endogenous peroxidase by 3% hydrogen peroxide for 20 minutes; Blocking buffer (normal goat serum) at 37°C for 30min; Incubation with (LC3A ) Monoclonal Antibody, Unconjugated (bsm-33309M) at 1:200 overnight at 4°C, followed by operating according to SP Kit(Mouse)(sp-0024) instructionsand DAB staining.
Paraformaldehyde-fixed, paraffin embedded (human cerebellum); Antigen retrieval by boiling in sodium citrate buffer (pH6.0) for 15min; Block endogenous peroxidase by 3% hydrogen peroxide for 20 minutes; Blocking buffer (normal goat serum) at 37°C for 30min; Incubation with (LC3A ) Monoclonal Antibody, Unconjugated (bsm-33309M) at 1:200 overnight at 4°C, followed by operating according to SP Kit(Mouse)(sp-0024) instructionsand DAB staining.
Paraformaldehyde-fixed, paraffin embedded (rat cerebellum); Antigen retrieval by boiling in sodium citrate buffer (pH6.0) for 15min; Block endogenous peroxidase by 3% hydrogen peroxide for 20 minutes; Blocking buffer (normal goat serum) at 37°C for 30min; Incubation with (LC3A ) Monoclonal Antibody, Unconjugated (bsm-33309M) at 1:200 overnight at 4°C, followed by operating according to SP Kit(Mouse)(sp-0024) instructionsand DAB staining.
Paraformaldehyde-fixed, paraffin embedded (Mouse brain); Antigen retrieval by boiling in sodium citrate buffer (pH6.0) for 15min; Block endogenous peroxidase by 3% hydrogen peroxide for 20 minutes; Blocking buffer (normal goat serum) at 37°C for 30min; Antibody incubation with (LC3A) Monoclonal Antibody, Unconjugated (bsm-33309M) at 1:400 overnight at 4°C, followed by a conjugated Goat Anti-Mouse IgG antibody (bs-0296G-FITC) for 90 minutes, and DAPI for nuclei staining.
版权所有 2004-2026 www.bioss.com.cn 北京博奥森生物技术有限公司
通过国际质量管理体系ISO 9001:2015 GB/T 19001-2016    证书编号: 00124Q34771R2M/1100
通过国际医疗器械-质量管理体系ISO 13485:2016 GB/T 42061-2022     证书编号: CQC24QY20047R0M/1100
京ICP备05066980号-1         京公网安备110107000727号