 
| 产品编号 | bsm-33041M | 
| 英文名称 | beta I Tubulin Mouse mAb, Loading Control | 
| 中文名称 | 微管蛋白β1 tubulin(内参)单克隆抗体 | 
| 别 名 | 2810484G07Rik; beta tubulin 1, class VI; Class VI beta tubulin; dJ543J19.4; M(beta)1; TBB1_HUMAN; TUBB1; Tubulin beta 1 class VI; Tubulin beta-1 chain; Tubulin, beta 1; tubulin, beta1; | 
|  | Specific References  (1)     |     bsm-33041M has been referenced in 1 publications. 
[IF=3.231] Ruihua Xu. et al. Exosomes Derived from Yak Follicular Fluid Increase 2-Hydroxyestradiol Secretion by Activating Autophagy in Cumulus Cells. ANIMALS. 2022 Jan;12(22):3174  IF ;  Bovine.   | 
| 产品类型 | 内参抗体 | 
| 研究领域 | 细胞生物 免疫学 信号转导 细胞骨架 | 
| 抗体来源 | Mouse | 
| 克隆类型 | Monoclonal | 
| 克 隆 号 | 5F7 | 
| 交叉反应 | Human,Mouse,Rat | 
| 产品应用 | WB=1:1000-5000,IHC-P=1:100-500,IHC-F=1:100-500,IF=1:100-500,ICC/IF=1:100-200 not yet tested in other applications. optimal dilutions/concentrations should be determined by the end user. | 
| 理论分子量 | 50 kDa | 
| 检测分子量 | |
| 细胞定位 | 细胞浆 | 
| 性 状 | Liquid | 
| 浓 度 | 1mg/ml | 
| 免 疫 原 | KLH conjugated synthetic peptide derived from human beta I Tubulin | 
| 亚 型 | IgG2a | 
| 纯化方法 | affinity purified by Protein G | 
| 缓 冲 液 | 0.01M TBS (pH7.4) with 1% BSA, 0.02% Proclin300 and 50% Glycerol. | 
| 保存条件 | Shipped at 4℃. Store at -20℃ for one year. Avoid repeated freeze/thaw cycles. | 
| 注意事项 | This product as supplied is intended for research use only, not for use in human, therapeutic or diagnostic applications. | 
| PubMed | PubMed | 
| 产品介绍 | This gene encodes a member of the beta tubulin protein family. Beta tubulins are one of two core protein families (alpha and beta tubulins) that heterodimerize and assemble to form microtubules. This protein is specifically expressed in platelets and megakaryocytes and may be involved in proplatelet production and platelet release. A mutations in this gene is associated with autosomal dominant macrothrombocytopenia. Two pseudogenes of this gene are found on chromosome Y.[provided by RefSeq, Jul 2010] Function: Tubulin is the major constituent of microtubules. It binds two moles of GTP, one at an exchangeable site on the beta chain and one at a non-exchangeable site on the alpha chain (By similarity). Subunit: Dimer of alpha and beta chains. A typical microtubule is a hollow water-filled tube with an outer diameter of 25 nm and an inner diameter of 15 nM. Alpha-beta heterodimers associate head-to-tail to form protofilaments running lengthwise along the microtubule wall with the beta-tubulin subunit facing the microtubule plus end conferring a structural polarity. Microtubules usually have 13 protofilaments but different protofilament numbers can be found in some organisms and specialized cells. Interacts with RANBP10. Subcellular Location: Cytoplasm, cytoskeleton Tissue Specificity: Hematopoietic cell-specific. Major isotype in leukocytes, where it represents 50% of all beta-tubulins. Post-translational modifications: Some glutamate residues at the C-terminus are polyglutamylated, resulting in polyglutamate chains on the gamma-carboxyl group (PubMed:26875866). Polyglutamylation plays a key role in microtubule severing by spastin (SPAST). SPAST preferentially recognizes and acts on microtubules decorated with short polyglutamate tails: severing activity by SPAST increases as the number of glutamates per tubulin rises from one to eight, but decreases beyond this glutamylation threshold (PubMed:26875866). Some glutamate residues at the C-terminus are monoglycylated but not polyglycylated due to the absence of functional TTLL10 in human. Monoglycylation is mainly limited to tubulin incorporated into axonemes (cilia and flagella). Both polyglutamylation and monoglycylation can coexist on the same protein on adjacent residues, and lowering glycylation levels increases polyglutamylation, and reciprocally. The precise function of monoglycylation is still unclear (Probable). Phosphorylated on Ser-172 by CDK1 during the cell cycle, from metaphase to telophase, but not in interphase. This phosphorylation inhibits tubulin incorporation into microtubules. DISEASE: Macrothrombocytopenia, autosomal dominant, TUBB1-related (MAD-TUBB1). The disease is caused by mutations affecting the gene represented in this entry. A congenital blood disorder characterized by increased platelet size and decreased number of circulating platelets. Similarity: Belongs to the tubulin family. SWISS: Q9H4B7 Gene ID: 81027 Database links: Entrez Gene: 396427 Chicken Entrez Gene: 101836899 Hamster Entrez Gene: 81027 Human Entrez Gene: 545486 Mouse Omim: 612901 Human SwissProt: P09203 Chicken SwissProt: Q9H4B7 Human SwissProt: A2AQ07 Mouse Unigene: 303023 Human Unigene: 45285 Mouse | 
| 产品图片 | 
25 ug total protein per lane of various lysates (see on figure) probed with beta I Tubulin monoclonal antibody, unconjugated (bsm-33041M) at 1:2000 dilution and 4°C overnight incubation. Followed by conjugated secondary antibody incubation at r.t. for 60 min.
 
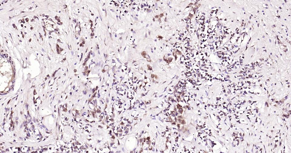
Paraformaldehyde-fixed, paraffin embedded Human Breast Cancer; Antigen retrieval by boiling in sodium citrate buffer (pH6.0) for 15 min; Antibody incubation with beta I Tubulin Monoclonal Antibody, Unconjugated(bsm-33041M) at 1:200 overnight at 4°C, followed by conjugation to the bs-40296G-HRP and DAB (C-0010) staining.
 
Paraformaldehyde-fixed, paraffin embedded Rat Cerebellum; Antigen retrieval by boiling in sodium citrate buffer (pH6.0) for 15 min; Antibody incubation with beta I Tubulin Monoclonal Antibody, Unconjugated(bsm-33041M) at 1:200 overnight at 4°C, followed by conjugation to the bs-40296G-HRP and DAB (C-0010) staining.
 
Paraformaldehyde-fixed, paraffin embedded Mouse Cerebellum; Antigen retrieval by boiling in sodium citrate buffer (pH6.0) for 15 min; Antibody incubation with beta I Tubulin Monoclonal Antibody, Unconjugated(bsm-33041M) at 1:200 overnight at 4°C, followed by conjugation to the bs-40296G-HRP and DAB (C-0010) staining.
 
Paraformaldehyde-fixed, paraffin embedded Human Cerebrum; Antigen retrieval by boiling in sodium citrate buffer (pH6.0) for 15 min; Antibody incubation with beta I Tubulin Monoclonal Antibody, Unconjugated(bsm-33041M) at 1:200 overnight at 4°C, followed by conjugation to the bs-40296G-HRP and DAB (C-0010) staining.
 
Paraformaldehyde-fixed, paraffin embedded Rat Cerebrum; Antigen retrieval by boiling in sodium citrate buffer (pH6.0) for 15 min; Antibody incubation with beta I Tubulin Monoclonal Antibody, Unconjugated(bsm-33041M) at 1:200 overnight at 4°C, followed by conjugation to the bs-40296G-HRP and DAB (C-0010) staining.
 
Paraformaldehyde-fixed, paraffin embedded Mouse Cerebrum; Antigen retrieval by boiling in sodium citrate buffer (pH6.0) for 15 min; Antibody incubation with beta I Tubulin Monoclonal Antibody, Unconjugated(bsm-33041M) at 1:200 overnight at 4°C, followed by conjugation to the bs-40296G-HRP and DAB (C-0010) staining.
 
Tissue/cell: HeLa cell; 4% Paraformaldehyde-fixed; Triton X-100 at room temperature for 20 min; Blocking buffer (normal goat serum, C-0005) at 37°C for 20 min; Antibody incubation with (beta I Tubulin) Monoclonal Antibody, Unconjugated (bsm-33041M) 1:50, 90 minutes at 37°C; followed by a conjugated Goat Anti-Rabbit IgG antibody (bs-0296G-FITC) at 37°C for 90 minutes, DAPI (5ug/ml, blue, C-0033) was used to stain the cell nuclei.
 | 
| 1、抗体溶解方法 | |
| 2、抗体修复方式 | |
| 3、常用试剂的配制 | |
| 4、免疫组化操作步骤 | |
| 5、免疫组化问题解答 | |
| 6、Western Blotting 操作步骤 | |
| 7、Western Blotting 问题解答 | |
| 8、关于肽链的设计 | |
| 9、多肽的溶解与保存 | |
| 10、酶标抗体效价测定程序 | |