扫码关注公众号           扫码咨询技术支持           扫码咨询技术服务
  
客服热线:400-901-9800  客服QQ:4009019800  技术答疑  技术支持  质量反馈  人才招聘  关于我们  联系我们
产品中心-北京博奥森生物技术有限公司
首页 > 产品中心 > 一抗 > 产品信息
Transferrin Mouse mAb, Serum Loading Control (bsm-33243M)  
订购热线:400-901-9800
订购邮箱:sales@bioss.com.cn
订购QQ:  400-901-9800
技术支持:techsupport@bioss.com.cn
50ul/680.00元
100ul/980.00元
500ul/4000.00元
200ug(PBS only)/5600.00元
大包装/询价

产品编号 bsm-33243M
英文名称 Transferrin Mouse mAb, Serum Loading Control
中文名称 转铁蛋白(内参)单克隆抗体
别    名 HEL-S-71p; PRO1557; PRO2086; TFQTL1; Cd176; HP; Tf; Tfn; hpx; Trf; TRFE_HUMAN; Transferrin; Beta-1 metal-binding globulin; Siderophilin; TRFE_MOUSE; TRFE_RAT; Liver regeneration-related protein LRRG03; TRFE_BOVIN;   
产品类型 内参抗体 
研究领域 心血管  
抗体来源 Mouse
克隆类型 Monoclonal
克 隆 号 12A7
交叉反应 Human,Mouse,Rat,Cow
产品应用 WB=1:5000-10000,IHC-P=1:100-500,IHC-F=1:100-500,IF=1:100-500,Flow-Cyt=2ug/Test
not yet tested in other applications.
optimal dilutions/concentrations should be determined by the end user.
理论分子量 77 kDa
检测分子量 75
细胞定位 分泌型蛋白 
性    状 Liquid
浓    度 1mg/ml
免 疫 原 Full length native Transferrin protein purified from human plasma 
亚    型 IgG
纯化方法 affinity purified by Protein G
缓 冲 液 0.01M TBS (pH7.4) with 1% BSA, 0.02% Proclin300 and 50% Glycerol.
保存条件 Shipped at 4℃. Store at -20℃ for one year. Avoid repeated freeze/thaw cycles.
注意事项 This product as supplied is intended for research use only, not for use in human, therapeutic or diagnostic applications.
PubMed PubMed
产品介绍 This gene encodes a glycoprotein with an approximate molecular weight of 76.5 kDa. It is thought to have been created as a result of an ancient gene duplication event that led to generation of homologous C and N-terminal domains each of which binds one ion of ferric iron. The function of this protein is to transport iron from the intestine, reticuloendothelial system, and liver parenchymal cells to all proliferating cells in the body. This protein may also have a physiologic role as granulocyte/pollen-binding protein (GPBP) involved in the removal of certain organic matter and allergens from serum. [provided by RefSeq, Sep 2009].

Function:
Transferrins are iron binding transport proteins which can bind two Fe(3+) ions in association with the binding of an anion, usually bicarbonate. It is responsible for the transport of iron from sites of absorption and heme degradation to those of storage and utilization. Serum transferrin may also have a further role in stimulating cell proliferation.

Subunit:
Monomer.

Subcellular Location:
Secreted.

Tissue Specificity:
Expressed by the liver and secreted in plasma.

DISEASE:
Defects in TF are the cause of atransferrinemia (ATRAF) [MIM:209300]. Atransferrinemia is rare autosomal recessive disorder characterized by iron overload and hypochromic anemia.

Similarity:
Belongs to the transferrin family.
Contains 2 transferrin-like domains.

SWISS:
P02787

Gene ID:
7018

Database links:

Entrez Gene: 7018 Human

Entrez Gene: 22041 Mouse

Entrez Gene: 24825 Rat

Omim: 190000 Human

SwissProt: P02787 Human

SwissProt: Q921I1 Mouse

SwissProt: P12346 Rat

Unigene: 518267 Human

Unigene: 37214 Mouse

Unigene: 91296 Rat



产品图片
25 ug total protein per lane of various lysates (see on figure) probed with Transferrin monoclonal antibody, unconjugated (bsm-33243M) at 1:5000 dilution and 4°C overnight incubation. Followed by conjugated secondary antibody incubation at r.t. for 60 min.
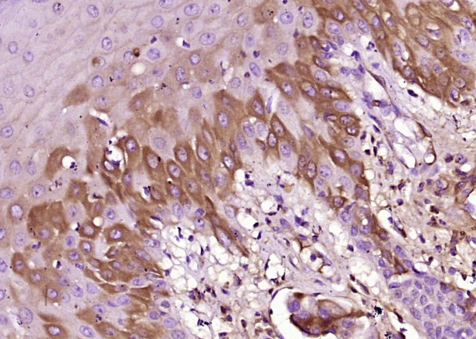
Paraformaldehyde-fixed, paraffin embedded (human skin cancer); Antigen retrieval by boiling in sodium citrate buffer (pH6.0) for 15min; Block endogenous peroxidase by 3% hydrogen peroxide for 20 minutes; Blocking buffer (normal goat serum) at 37°C for 30min; Antibody incubation with (Transferrin) Monoclonal Antibody, Unconjugated (bsm-33243M) at 1:400 overnight at 4°C, followed by operating according to SP Kit(Mouse)(sp-0024) instructionsand DAB staining.
Paraformaldehyde-fixed, paraffin embedded (human colon carcinoma); Antigen retrieval by boiling in sodium citrate buffer (pH6.0) for 15min; Block endogenous peroxidase by 3% hydrogen peroxide for 20 minutes; Blocking buffer (normal goat serum) at 37°C for 30min; Antibody incubation with (Transferrin) Monoclonal Antibody, Unconjugated (bsm-33243M) at 1:400 overnight at 4°C, followed by operating according to SP Kit(Mouse)(sp-0024) instructionsand DAB staining.
Blank control(black line):HepG2. Primary Antibody (green line): Mosue Anti-Transferrin(Serum Loading Control) antibody (bsm-33243M) Dilution:1ug/Test; Secondary Antibody(white blue line): Goat anti-mouse IgG-AF488 Dilution: 0.5ug/Test. Isotype control(orange line): Normal Mouse IgG Protocol The cells were fixed with 4% PFA (10min at room temperature)and then permeabilized with 90% ice-cold methanol for 20 min at -20℃, The cells were then incubated in 5%BSA to block non-specific protein-protein interactions for 30 min at room temperature .Cells stained with Primary Antibody for 30 min at room temperature. The secondary antibody used for 40 min at room temperature. Acquisition of 20,000 events was performed.
版权所有 2004-2026 www.bioss.com.cn 北京博奥森生物技术有限公司
通过国际质量管理体系ISO 9001:2015 GB/T 19001-2016    证书编号: 00124Q34771R2M/1100
通过国际医疗器械-质量管理体系ISO 13485:2016 GB/T 42061-2022     证书编号: CQC24QY20047R0M/1100
京ICP备05066980号-1         京公网安备110107000727号