扫码关注公众号           扫码咨询技术支持           扫码咨询技术服务
  
客服热线:400-901-9800  客服QQ:4009019800  技术答疑  技术支持  质量反馈  关于我们  联系我们
产品中心-北京博奥森生物技术有限公司
首页 > 产品中心 > 一抗 > 产品信息
ABCB5 Mouse mAb (bsm-33080M)  
订购热线:400-901-9800
订购邮箱:sales@bioss.com.cn
订购QQ:  400-901-9800
技术支持:techsupport@bioss.com.cn
50ul/1180.00元
100ul/1980.00元
200ul/2800.00元
200ug(PBS only)/5600.00元
大包装/询价

产品编号 bsm-33080M
英文名称 ABCB5 Mouse mAb
中文名称 ATP结合蛋白家族5单克隆抗体
别    名 ATP-binding cassette sub-family B member 5; ABCB 5; ABCB5alpha; ABCB5beta; ATP binding cassette sub family B(MDR/TAP) member 5; ATP binding cassette sub family B member 5; EST422562; P glycoprotein ABCB5; ABCB5_HUMAN.  
研究领域 肿瘤  信号转导  通道蛋白  糖蛋白  
抗体来源 Mouse
克隆类型 Monoclonal
克 隆 号 11B4
交叉反应 Human
产品应用 WB=1:500-1000,IHC-P=1:100-500,IHC-F=1:100-500,IF=1:100-500
not yet tested in other applications.
optimal dilutions/concentrations should be determined by the end user.
理论分子量 89 kDa
检测分子量
细胞定位 细胞膜 
性    状 Liquid
浓    度 1mg/ml
免 疫 原 KLH conjugated synthetic peptide derived from human ABCB5 
亚    型 IgG
纯化方法 affinity purified by Protein G
缓 冲 液 0.01M TBS (pH7.4) with 1% BSA, 0.02% Proclin300 and 50% Glycerol.
保存条件 Shipped at 4℃. Store at -20℃ for one year. Avoid repeated freeze/thaw cycles.
注意事项 This product as supplied is intended for research use only, not for use in human, therapeutic or diagnostic applications.
PubMed PubMed
产品介绍 ABCB5 belongs to the ATP-binding cassette (ABC) transporter superfamily of integral membrane proteins. These proteins participate in ATP-dependent transmembrane transport of structurally diverse molecules ranging from small ions, sugars, and peptides to more complex organic molecules (Chen et al., 2005 [PubMed 15760339]).[supplied by OMIM, Mar 2008]

Function:
Plasma membrane transporter able to mediate efflux from cells of the rhodamine dye and of the therapeutic drug doxorubicin. Responsible for the resistance to doxorubicin of a subset of malignant melanomas.

Subcellular Location:
Cell membrane; Multi-pass membrane protein.

Tissue Specificity:
Expressed by CD133-expressing progenitor cells among epidermal melanocytes (at protein level). Widely expressed with specific expression in pigment cells. Also expressed in several malignant tissues.

Similarity:
Belongs to the ABC transporter superfamily. ABCB family. Multidrug resistance exporter (TC 3.A.1.201) subfamily.
Contains 1 ABC transmembrane type-1 domain.
Contains 2 ABC transporter domains.

SWISS:
Q2M3G0

Gene ID:
340273

Database links:

Entrez Gene: 340273 Human

Omim: 611785 Human

SwissProt: Q2M3G0 Human

Unigene: 404102 Human



产品图片
Sample: Lane 1: Human HepG2 cell lysates Lane 2: Human HL-60 cell lysates Primary: Anti-ABCB5 (bsm-33080M) at 1/1000 dilution Secondary: IRDye800CW Goat Anti-Mouse IgG at 1/20000 dilution Predicted band size: 89 kDa Observed band size: 85 kDa
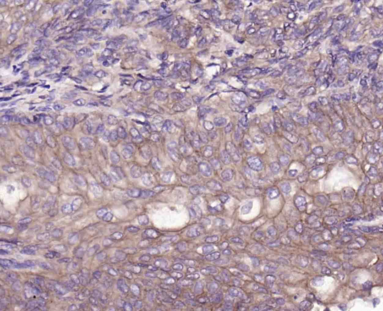
Paraformaldehyde-fixed, paraffin embedded (human kidney carcinoma); Antigen retrieval by boiling in sodium citrate buffer (pH6.0) for 15min; Block endogenous peroxidase by 3% hydrogen peroxide for 20 minutes; Blocking buffer (normal goat serum) at 37°C for 30min; Incubation with (ABCB5) Monoclonal Antibody, Unconjugated (bsm-33080M) at 1:200 overnight at 4°C, followed by operating according to SP Kit(Mouse)(sp-0024) instructionsand DAB staining.
Paraformaldehyde-fixed, paraffin embedded (human liver carcinoma); Antigen retrieval by boiling in sodium citrate buffer (pH6.0) for 15min; Block endogenous peroxidase by 3% hydrogen peroxide for 20 minutes; Blocking buffer (normal goat serum) at 37°C for 30min; Incubation with (ABCB5) Monoclonal Antibody, Unconjugated (bsm-33080M) at 1:200 overnight at 4°C, followed by operating according to SP Kit(Mouse)(sp-0024) instructionsand DAB staining.
Paraformaldehyde-fixed, paraffin embedded (human kidney); Antigen retrieval by boiling in sodium citrate buffer (pH6.0) for 15min; Block endogenous peroxidase by 3% hydrogen peroxide for 20 minutes; Blocking buffer (normal goat serum) at 37°C for 30min; Incubation with (ABCB5) Monoclonal Antibody, Unconjugated (bsm-33080M) at 1:200 overnight at 4°C, followed by operating according to SP Kit(Mouse)(sp-0024) instructionsand DAB staining.
版权所有 2004-2026 www.bioss.com.cn 北京博奥森生物技术有限公司
通过国际质量管理体系ISO 9001:2015 GB/T 19001-2016    证书编号: 00124Q34771R2M/1100
通过国际医疗器械-质量管理体系ISO 13485:2016 GB/T 42061-2022     证书编号: CQC24QY20047R0M/1100
京ICP备05066980号-1         京公网安备110107000727号