扫码关注公众号           扫码咨询技术支持           扫码咨询技术服务
  
客服热线:400-901-9800  客服QQ:4009019800  技术答疑  技术支持  质量反馈  关于我们  联系我们
产品中心-北京博奥森生物技术有限公司
首页 > 产品中心 > 一抗 > 产品信息
Gamma Tubulin Mouse mAb (bsm-33313M)  
订购热线:400-901-9800
订购邮箱:sales@bioss.com.cn
订购QQ:  400-901-9800
技术支持:techsupport@bioss.com.cn
50ul/1180.00元
100ul/1980.00元
200ul/2800.00元
200ug(PBS only)/5600.00元
大包装/询价

产品编号 bsm-33313M
英文名称 Gamma Tubulin Mouse mAb
中文名称 微管蛋白γ单克隆抗体
别    名 Centrosome Marker; gamma 1 tubulin; gamma tubulin; gamma-tubulin; gamma 2 tubulin; gamma Tubulin 1; gamma Tubulin 2; gamma tubulin complex component 1; GCP 1; GCP-1; GCP1; MGC131994; TUBG; TUBG1; TUBG2; Tubulin gamma 1 chain; Tubulin gamma 2 chain; Xgam; TBG1_HUMAN; TBG2_HUMAN; Tubulin gamma-1 chain; gamma-1-tubulin; gamma-tubulin complex component 1.  
研究领域 细胞生物  神经生物学  细胞骨架  
抗体来源 Mouse
克隆类型 Monoclonal
克 隆 号 8D11
交叉反应 Human,Mouse,Rat
产品应用 WB=1:500-5000,IHC-P=1:100-500,IHC-F=1:100-500,IF=1:100-500,Flow-Cyt=1ug/Test
not yet tested in other applications.
optimal dilutions/concentrations should be determined by the end user.
理论分子量 50 kDa
检测分子量
细胞定位 细胞浆 
性    状 Liquid
浓    度 1mg/ml
免 疫 原 KLH conjugated synthetic peptide derived from human Gamma Tubulin 
亚    型 IgG
纯化方法 affinity purified by Protein G
缓 冲 液 0.01M TBS (pH7.4) with 1% BSA, 0.02% Proclin300 and 50% Glycerol.
保存条件 Shipped at 4℃. Store at -20℃ for one year. Avoid repeated freeze/thaw cycles.
注意事项 This product as supplied is intended for research use only, not for use in human, therapeutic or diagnostic applications.
PubMed PubMed
产品介绍 Centrosome Marker
Gamma tubulin, a member of the tubulin superfamily, is a ubiquitous and highly conserved protein within the microtubule organizing centre (MTOC). Gamma tubulin is not a component of microtubules, rather it functions as the microtubule nucleator at the MOTC, is responsible for binding microtubule minus ends and mediating the link between microtubles and the centrosome. By binding to the beta tubulin subunit of the tubulin molecule, it establishes the polarity of a microtubule leaving the alpha tubulin subunit exposed at the positive end.
The abundance of Gamma tubulin is less than 1% of the level of either alpha or beta tubulin. It shares approximately 28-32% identity with alpha tubulin from various organisms and 32-36% identity with beta tubulins. The detection, localization and characterization of proteins involved in microtubule function is fundamental to the understanding of mitosis, meiosis and the microtubule cytoskeleton.

Function:
Tubulin is the major constituent of microtubules. Gamma tubulin is found at microtubule organizing centers (MTOC) such as the spindle poles or the centrosome. Pericentriolar matrix component that regulates alpha/beta tubulin minus-end nucleation, centrosome duplication and spindle formation.

Subunit:
Interacts with TUBGCP2 and TUBGCP3. Interacts with B9D2 (By similarity). Interacts with CDK5RAP2; the interaction is leading to centrosomal localization of TUBG1 and CDK5RAP2. Interacts with PIFO.

Subcellular Location:
Cytoplasm, cytoskeleton, centrosome.

Tissue Specificity:
Phosphorylation at Ser-131 by BRSK1 regulates centrosome duplication, possibly by mediating relocation of gamma-tubulin and its associated proteins from the cytoplasm to the centrosome.

Post-translational modifications:
Phosphorylation at Ser-131 by BRSK1 regulates centrosome duplication, possibly by mediating relocation of gamma-tubulin and its associated proteins from the cytoplasm to the centrosome.

Similarity:
Belongs to the tubulin family.

SWISS:
Q9NRH3

Gene ID:
7283

Database links:

Entrez Gene: 27175 Human

Entrez Gene: 7283 Human

Entrez Gene: 103733 Mouse

Entrez Gene: 103768 Mouse

Entrez Gene: 252921 Rat

Entrez Gene: 680991 Rat

Omim: 191135 Human

Omim: 605785 Human

SwissProt: P23258 Human

SwissProt: Q9NRH3 Human

SwissProt: P83887 Mouse

SwissProt: Q8VCK3 Mouse

SwissProt: P83888 Rat

Unigene: 279669 Human

Unigene: 708059 Human

Unigene: 142348 Mouse

Unigene: 479145 Mouse

Unigene: 154431 Rat



结构蛋白(Structural Proteins)
gamma tubulin 微管蛋白是存于中心体的另一种微管蛋白, gamma微管蛋白对微管的形成具有重要作用。gamma微管蛋白通过与β-微管蛋白的相互作用帮助微管的成核反应(nucleation)。即在微管的组装中gamma微管蛋白先形成一个圆或形成钩环结构, γ微管蛋白的这种结构可指导微管蛋白二聚体结合上去并进行微管的组装。gamma微管蛋白在微管的组装中起关键作用。
产品图片
25 ug total protein per lane of various lysates (see on figure) probed with Gamma Tubulin monoclonal antibody, unconjugated (bsm-33313M) at 1:2000 dilution and 4°C overnight incubation. Followed by conjugated secondary antibody incubation at r.t. for 60 min.
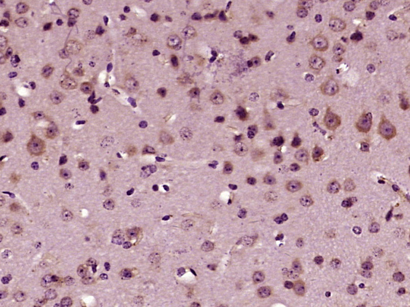
Paraformaldehyde-fixed, paraffin embedded (Rat brain); Antigen retrieval by boiling in sodium citrate buffer (pH6.0) for 15min; Block endogenous peroxidase by 3% hydrogen peroxide for 20 minutes; Blocking buffer (normal goat serum) at 37°C for 30min; Antibody incubation with (Gamma Tubulin) Polyclonal Antibody, Unconjugated (bsm-33313M) at 1:400 overnight at 4°C, followed by operating according to SP Kit(Rabbit) (sp-0023) instructionsand DAB staining.
Paraformaldehyde-fixed, paraffin embedded (Mouse brain); Antigen retrieval by boiling in sodium citrate buffer (pH6.0) for 15min; Block endogenous peroxidase by 3% hydrogen peroxide for 20 minutes; Blocking buffer (normal goat serum) at 37°C for 30min; Antibody incubation with (Gamma Tubulin) Polyclonal Antibody, Unconjugated (bsm-33313M) at 1:400 overnight at 4°C, followed by operating according to SP Kit(Rabbit) (sp-0023) instructionsand DAB staining.
Blank control(black line):Hela. Primary Antibody (green line):Mouse Anti-Gamma Tubulin antibody (bsm-33313M) Dilution:1ug/Test; Secondary Antibody(white blue line): Goat anti-Mouse IgG-AF488 Dilution: 0.5ug/Test. Isotype control(orange line): Normal Mouse IgG Protocol The cells were fixed with 4% PFA (10min at room temperature)and then permeabilized with 90% ice-cold methanol for 20 min at -20℃, The cells were then incubated in 5%BSA to block non-specific protein-protein interactions for 30 min at room temperature .Cells stained with Primary Antibody for 30 min at room temperature. The secondary antibody used for 40 min at room temperature. Acquisition of 20,000 events was performed.
版权所有 2004-2026 www.bioss.com.cn 北京博奥森生物技术有限公司
通过国际质量管理体系ISO 9001:2015 GB/T 19001-2016    证书编号: 00124Q34771R2M/1100
通过国际医疗器械-质量管理体系ISO 13485:2016 GB/T 42061-2022     证书编号: CQC24QY20047R0M/1100
京ICP备05066980号-1         京公网安备110107000727号