扫码关注公众号           扫码咨询技术支持           扫码咨询技术服务
  
客服热线:400-901-9800  客服QQ:4009019800  技术答疑  技术支持  质量反馈  关于我们  联系我们
产品中心-北京博奥森生物技术有限公司
首页 > 产品中心 > 一抗 > 产品信息
Caspase-2 p13 Rabbit pAb (bs-23456R)  
订购热线:400-901-9800
订购邮箱:sales@bioss.com.cn
订购QQ:  400-901-9800
技术支持:techsupport@bioss.com.cn
50ul/1180.00元
100ul/1980.00元
200ul/2800.00元
大包装/询价

产品编号 bs-23456R
英文名称 Caspase-2 p13 Rabbit pAb
中文名称 活化半胱胺酸蛋白酶蛋白-2抗体
别    名 Caspase-2 subunit p13; CASP 2; CASP-2; Casp2; CASP2_HUMAN; Caspase 2; Caspase 2 apoptosis related cysteine peptidase; Caspase2; ICH 1; ICH 1 protease; ICH 1L; ICH1; ICH1 protease; ICH1L; NEDD-2; NEDD2; Neural precursor cell expressed developmentally down-regulated protein 2; PPP1R57; Protease ICH-1; Protein phosphatase 1 regulatory subunit 57.  
研究领域 肿瘤  细胞生物  信号转导  细胞凋亡  新陈代谢  
抗体来源 Rabbit
克隆类型 Polyclonal
克 隆 号
交叉反应 Human,Rat (predicted: Mouse,Rabbit,Pig,Sheep,Horse)
产品应用 IHC-P=1:100-500,IHC-F=1:100-500,IF=1:100-500
not yet tested in other applications.
optimal dilutions/concentrations should be determined by the end user.
理论分子量 13/51 kDa
检测分子量
细胞定位 细胞核 细胞浆 
性    状 Liquid
浓    度 1mg/ml
免 疫 原 KLH conjugated synthetic peptide derived from human Caspase-2 subunit p13: 331-430/452 
亚    型 IgG
纯化方法 affinity purified by Protein A
缓 冲 液 0.01M TBS (pH7.4) with 1% BSA, 0.02% Proclin300 and 50% Glycerol.
保存条件 Shipped at 4℃. Store at -20℃ for one year. Avoid repeated freeze/thaw cycles.
注意事项 This product as supplied is intended for research use only, not for use in human, therapeutic or diagnostic applications.
PubMed PubMed
产品介绍 This gene encodes a member of the cysteine-aspartic acid protease (caspase) family. Caspases mediate cellular apoptosis through the proteolytic cleavage of specific protein substrates. The encoded protein may function in stress-induced cell death pathways, cell cycle maintenance, and the suppression of tumorigenesis. Increased expression of this gene may play a role in neurodegenerative disorders including Alzheimer's disease, Huntington's disease and temporal lobe epilepsy. Alternatively spliced transcript variants encoding multiple isoforms have been observed for this gene. [provided by RefSeq, Jan 2011]

Function:
Involved in the activation cascade of caspases responsible for apoptosis execution. Might function by either activating some proteins required for cell death or inactivating proteins necessary for cell survival.

Subunit:
Heterotetramer that consists of two anti-parallel arranged heterodimers, each one formed by a p18 subunit and a p12 subunit. Interacts with LRDD. Interacts with NOL3 (via CARD domain); inhibits CASP2 activity in a phosphorylation-dependent manner.

Tissue Specificity:
Expressed at higher levels in the embryonic lung, liver and kidney than in the heart and brain. In adults, higher level expression is seen in the placenta, lung, kidney, and pancreas than in the heart, brain, liver and skeletal muscle.

Post-translational modifications:
The mature protease can process its own propeptide, but not that of other caspases.

Similarity:
Belongs to the peptidase C14A family.
Contains 1 CARD domain.

SWISS:
P42575

Gene ID:
835

Database links:

Entrez Gene: 835 Human

Entrez Gene: 12366 Mouse

Entrez Gene: 64314 Rat

Omim: 600639 Human

SwissProt: P42575 Human

SwissProt: P29594 Mouse

SwissProt: P55215 Rat

Unigene: 368982 Human

Unigene: 3921 Mouse

Unigene: 1438 Rat



产品图片
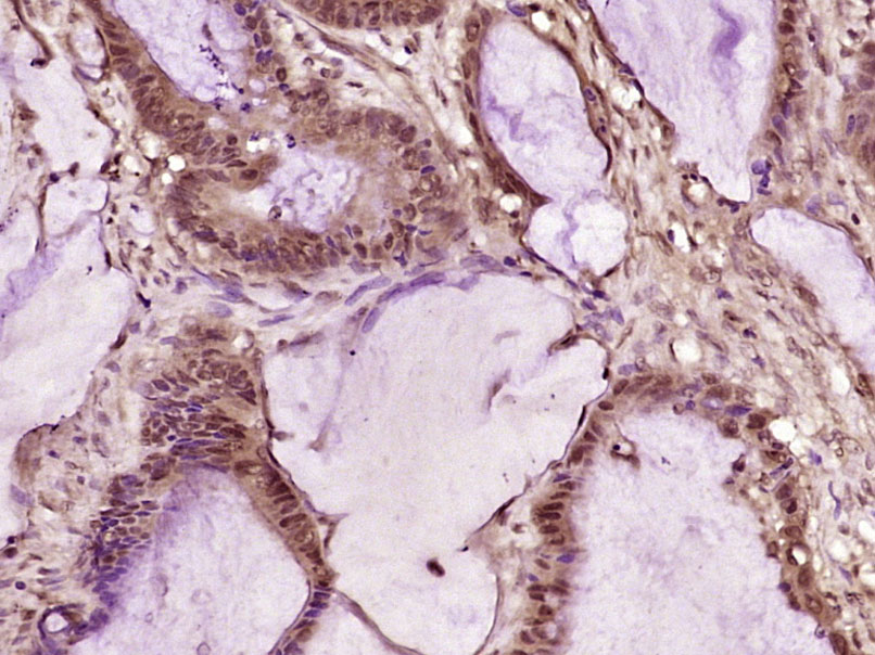
Paraformaldehyde-fixed, paraffin embedded (human lung carcinoma); Antigen retrieval by boiling in sodium citrate buffer (pH6.0) for 15min; Block endogenous peroxidase by 3% hydrogen peroxide for 20 minutes; Blocking buffer (normal goat serum) at 37°C for 30min; Antibody incubation with (Caspase-2 p13) Polyclonal Antibody, Unconjugated (bs-23456R) at 1:200 overnight at 4°C, followed by operating according to SP Kit(Rabbit) (sp-0023) instructionsand DAB staining.
Paraformaldehyde-fixed, paraffin embedded (Human breast carcinoma); Antigen retrieval by boiling in sodium citrate buffer (pH6.0) for 15min; Block endogenous peroxidase by 3% hydrogen peroxide for 20 minutes; Blocking buffer (normal goat serum) at 37°C for 30min; Antibody incubation with (Caspase-2 p13) Polyclonal Antibody, Unconjugated (bs-23456R) at 1:400 overnight at 4°C, followed by operating according to SP Kit(Rabbit) (sp-0023) instructionsand DAB staining.
Paraformaldehyde-fixed, paraffin embedded (Human colon carcinoma); Antigen retrieval by boiling in sodium citrate buffer (pH6.0) for 15min; Block endogenous peroxidase by 3% hydrogen peroxide for 20 minutes; Blocking buffer (normal goat serum) at 37°C for 30min; Antibody incubation with (Caspase-2 p13) Polyclonal Antibody, Unconjugated (bs-23456R) at 1:400 overnight at 4°C, followed by operating according to SP Kit(Rabbit) (sp-0023) instructionsand DAB staining.
Paraformaldehyde-fixed, paraffin embedded (Rat brain); Antigen retrieval by boiling in sodium citrate buffer (pH6.0) for 15min; Block endogenous peroxidase by 3% hydrogen peroxide for 20 minutes; Blocking buffer (normal goat serum) at 37°C for 30min; Antibody incubation with (Caspase-2 p13) Polyclonal Antibody, Unconjugated (bs-23456R) at 1:400 overnight at 4°C, followed by operating according to SP Kit(Rabbit) (sp-0023) instructionsand DAB staining.
版权所有 2004-2026 www.bioss.com.cn 北京博奥森生物技术有限公司
通过国际质量管理体系ISO 9001:2015 GB/T 19001-2016    证书编号: 00124Q34771R2M/1100
通过国际医疗器械-质量管理体系ISO 13485:2016 GB/T 42061-2022     证书编号: CQC24QY20047R0M/1100
京ICP备05066980号-1         京公网安备110107000727号