扫码关注公众号           扫码咨询技术支持           扫码咨询技术服务
  
客服热线:400-901-9800  客服QQ:4009019800  技术答疑  技术支持  质量反馈  关于我们  联系我们
产品中心-北京博奥森生物技术有限公司
首页 > 产品中心 > 一抗 > 产品信息
MCFD2 Rabbit pAb (bs-24080R)  
订购热线:400-901-9800
订购邮箱:sales@bioss.com.cn
订购QQ:  400-901-9800
技术支持:techsupport@bioss.com.cn
50ul/1180.00元
100ul/1980.00元
200ul/2800.00元
大包装/询价

产品编号 bs-24080R
英文名称 MCFD2 Rabbit pAb
中文名称 多种凝血因子缺乏蛋白2抗体
别    名 1810021C21Rik; DKFZp686G21263; F5F8D; LMAN1IP; MCFD 2; Mcfd2; MCFD2_MOUSE; Multiple coagulation factor deficiency protein 2; Neural stem cell derived neuronal survival protein; Neural stem cell-derived neuronal survival protein; SDNSF.  
研究领域 细胞生物  神经生物学  信号转导  干细胞  
抗体来源 Rabbit
克隆类型 Polyclonal
克 隆 号
交叉反应 Mouse,Rat
产品应用 WB=1:500-2000,IHC-P=1:100-500,IHC-F=1:100-500,IF=1:100-500
not yet tested in other applications.
optimal dilutions/concentrations should be determined by the end user.
理论分子量 16 kDa
检测分子量
细胞定位 细胞浆 
性    状 Liquid
浓    度 1mg/ml
免 疫 原 KLH conjugated synthetic peptide derived from mouse MCFD2: 1-100/145 
亚    型 IgG
纯化方法 affinity purified by Protein A
缓 冲 液 0.01M TBS (pH7.4) with 1% BSA, 0.02% Proclin300 and 50% Glycerol.
保存条件 Shipped at 4℃. Store at -20℃ for one year. Avoid repeated freeze/thaw cycles.
注意事项 This product as supplied is intended for research use only, not for use in human, therapeutic or diagnostic applications.
PubMed PubMed
产品介绍 This gene encodes a soluble luminal protein with two calmodulin-like EF-hand motifs at its C-terminus. This protein forms a complex with LAMN1 (lectin mannose binding protein 1; also known as ERGIC-53) that facilitates the transport of coagulation factors V (FV) and VIII (FVIII) from the endoplasmic reticulum to the Golgi apparatus via an endoplasmic reticulum Golgi intermediate compartment (ERGIC). Mutations in this gene cause combined deficiency of FV and FVIII (F5F8D); a rare autosomal recessive bleeding disorder characterized by mild to moderate bleeding and coordinate reduction in plasma FV and FVIII levels. This protein has also been shown to maintain stem cell potential in adult central nervous system and is a marker for testicular germ cell tumors. The 3' UTR of this gene contains a transposon-like human repeat element named 'THE 1'. A processed RNA pseudogene of this gene is on chromosome 6p22.1. Alternative splicing results in multiple transcript variants encoding distinct isoforms. [provided by RefSeq, Jun 2010]

Function:
The MCFD2-LMAN1 complex forms a specific cargo receptor for the ER-to-Golgi transport of selected proteins. Plays a role in the secretion of coagulation factors.

Subcellular Location:
Endoplasmic reticulum-Golgi intermediate compartment; Endoplasmic reticulum; Golgi apparatus;

DISEASE:
Defects in MCFD2 are a cause of factor V and factor VIII combined deficiency type 2 (F5F8D2) [MIM:613625]; also known as multiple coagulation factor deficiency 2 (MCFD2). F5F8D2 is a blood coagulation disorder characterized by bleeding symptoms similar to those in hemophilia or parahemophilia, that are caused by single deficiency of FV or FVIII, respectively. The most common symptoms are epistaxis, menorrhagia, and excessive bleeding during or after trauma. Plasma levels of coagulation factors V and VIII are in the range of 5 to 30% of normal.

Similarity:
Contains 2 EF-hand domains.

Database links:

Entrez Gene: 90411 Human

Entrez Gene: 193813 Mouse

Omim: 607788 Human

SwissProt: Q8NI22 Human

SwissProt: Q8K5B2 Mouse

Unigene: 293689 Human



产品图片
Sample: Lane 1: Heart (Mouse) Lysate at 40 ug Lane 2: Heart (Rat) Lysate at 40 ug Primary: Anti-MCFD2 (bs-24080R) at 1/1000 dilution Secondary: IRDye800CW Goat Anti-Rabbit IgG at 1/20000 dilution Predicted band size: 16 kD Observed band size: 14 kD
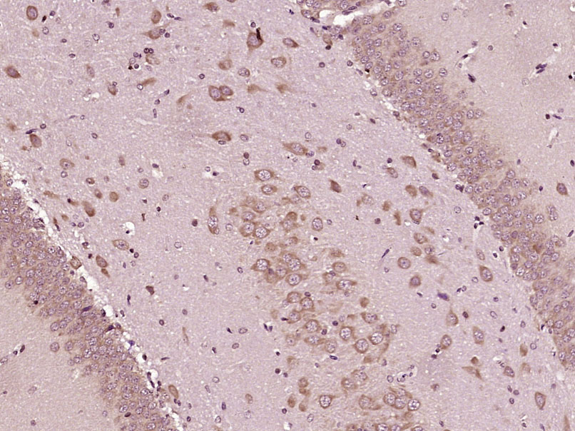
Paraformaldehyde-fixed, paraffin embedded (Rat brain); Antigen retrieval by boiling in sodium citrate buffer (pH6.0) for 15min; Block endogenous peroxidase by 3% hydrogen peroxide for 20 minutes; Blocking buffer (normal goat serum) at 37°C for 30min; Antibody incubation with (MCFD2) Polyclonal Antibody, Unconjugated (bs-24080R) at 1:400 overnight at 4°C, followed by operating according to SP Kit(Rabbit) (sp-0023) instructionsand DAB staining.
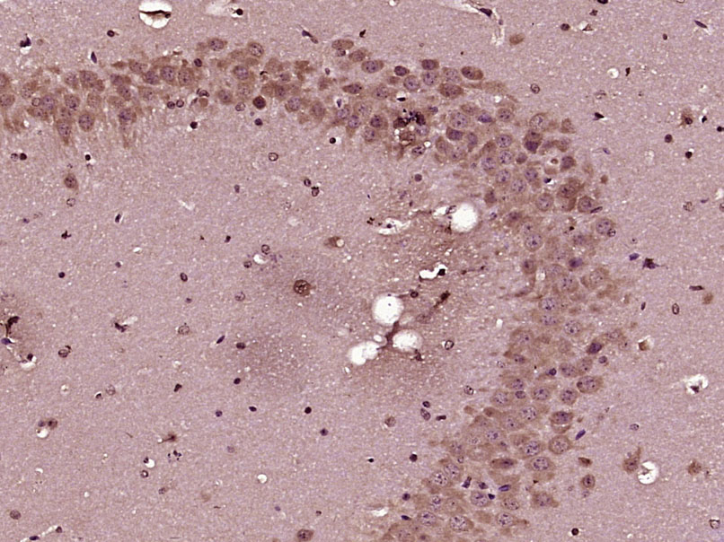
Paraformaldehyde-fixed, paraffin embedded (Mouse brain); Antigen retrieval by boiling in sodium citrate buffer (pH6.0) for 15min; Block endogenous peroxidase by 3% hydrogen peroxide for 20 minutes; Blocking buffer (normal goat serum) at 37°C for 30min; Antibody incubation with (MCFD2) Polyclonal Antibody, Unconjugated (bs-24080R) at 1:400 overnight at 4°C, followed by operating according to SP Kit(Rabbit) (sp-0023) instructionsand DAB staining.
版权所有 2004-2026 www.bioss.com.cn 北京博奥森生物技术有限公司
通过国际质量管理体系ISO 9001:2015 GB/T 19001-2016    证书编号: 00124Q34771R2M/1100
通过国际医疗器械-质量管理体系ISO 13485:2016 GB/T 42061-2022     证书编号: CQC24QY20047R0M/1100
京ICP备05066980号-1         京公网安备110107000727号