扫码关注公众号           扫码咨询技术支持           扫码咨询技术服务
  
客服热线:400-901-9800  客服QQ:4009019800  技术答疑  技术支持  质量反馈  人才招聘  关于我们  联系我们
产品中心-北京博奥森生物技术有限公司
首页 > 产品中心 > 一抗 > 产品信息
FASN Mouse mAb (bsm-51155M)  
订购热线:400-901-9800
订购邮箱:sales@bioss.com.cn
订购QQ:  400-901-9800
技术支持:techsupport@bioss.com.cn
50ul/1580.00元
100ul/2500.00元
大包装/询价

产品编号 bsm-51155M
英文名称 FASN Mouse mAb
中文名称 脂肪酸合成酶单克隆抗体
别    名 FAS; OA-519; SDR27X1; A630082H08Rik; FAS_CHICK; FASN; 2.3.1.85; FAS_BOVIN; FAS_HUMAN; Type I fatty acid synthase; FAS_MOUSE; FAS_RAT; Type I FAS; fatty acid synthase; short chain dehydrogenase/reductase family 27X, member 1; [Acyl-carrier-protein] S-acetyltransferase; [Acyl-carrier-protein] S-malonyltransferase; 3-oxoacyl-[acyl-carrier-protein] synthase; 3-oxoacyl-[acyl-carrier-protein] reductase; 3-hydroxyacyl-[acyl-carrier-protein] dehydratase; Enoyl-[acyl-carrier-protein] reductase; Acyl-[acyl-carrier-protein] hydrolase  
Specific References  (3)     |     bsm-51155M has been referenced in 3 publications.
[IF=3.654] Yingjun Zhou. et al. Chrysin improves diabetic nephropathy by regulating the AMPK-mediated lipid metabolism in HFD/STZ-induced DN mice. J FOOD BIOCHEM. 2022 Aug;:e14379  WB ;  Mouse.  
[IF=3.448] Yang X et al. miR‐760 exerts an antioncogenic effect in esophageal squamous cell carcinoma by negatively driving fat metabolism via targeting c‐Myc. J Cell Biochem. 2019 Nov 10.  WB ;  Human.  
[IF=3.231] Jing Fan. et al. Chitosan Oligosaccharide Inhibits the Synthesis of Milk Fat in Bovine Mammary Epithelial Cells through AMPK-Mediated Downstream Signaling Pathway. ANIMALS. 2022 Jan;12(13):1692  WB ;  Bovine.  
研究领域 肿瘤  心血管  免疫学  神经生物学  信号转导  合成与降解  
抗体来源 Mouse
克隆类型 Monoclonal
克 隆 号 2C5
交叉反应 Human (predicted: Mouse)
产品应用 WB=1:500-5000,IHC-P=1:100-500,IHC-F=1:20-200,IF=1:20-200,ICC/IF=1:100-500
not yet tested in other applications.
optimal dilutions/concentrations should be determined by the end user.
理论分子量 274kDa
检测分子量 270
细胞定位 细胞浆 
性    状 Liquid
浓    度 1mg/ml
免 疫 原 KLH conjugated synthetic peptide derived from human FASN 
亚    型 IgG1, k
纯化方法 affinity purified by Protein AGL
缓 冲 液 0.01M TBS (pH7.4) with 1% BSA, 0.02% Proclin300 and 50% Glycerol.
保存条件 Shipped at 4℃. Store at -20℃ for one year. Avoid repeated freeze/thaw cycles.
注意事项 This product as supplied is intended for research use only, not for use in human, therapeutic or diagnostic applications.
PubMed PubMed
产品介绍 FASN (Fatty Acid Synthase) is a central enzyme in de novo lipogenesis. FAS is a target for SREBP and is upregulated by LXR activation; it is also one of the accepted markers for insulin resistance, SREBP and LXR activation.

Function:
Fatty acid synthetase catalyzes the formation of long-chain fatty acids from acetyl-CoA, malonyl-CoA and NADPH. This multifunctional protein has 7 catalytic activities and an acyl carrier protein.

Subunit:
Homodimer which is arranged in a head to tail fashion.

Subcellular Location:
Cytoplasm. Melanosome. Identified by mass spectrometry in melanosome fractions from stage I to stage IV.

Tissue Specificity:
Ubiquitous. Prominent expression in brain, lung, and liver.

Similarity:
Contains 1 acyl carrier domain.

SWISS:
P49327

Gene ID:
2194

Database links:

Entrez Gene: 2194 Human

Entrez Gene: 14104 Mouse

Entrez Gene: 50671 Rat

Entrez Gene: 281152 Cow

Omim: 600212 Human

SwissProt: P12276 Chicken

SwissProt: Q71SP7 Cow

SwissProt: P49327 Human

SwissProt: P19096 Mouse

SwissProt: P12785 Rat

Unigene: 8951 Chicken

Unigene: 30099 Cow

Unigene: 83190 Human

Unigene: 236443 Mouse

Unigene: 9486 Rat



产品图片
25 ug total protein per lane of various lysates (see on figure) probed with FASN monoclonal antibody, unconjugated (bsm-51155M) at 1:4000 dilution and 4°C overnight incubation. Followed by conjugated secondary antibody incubation at r.t. for 60 min.
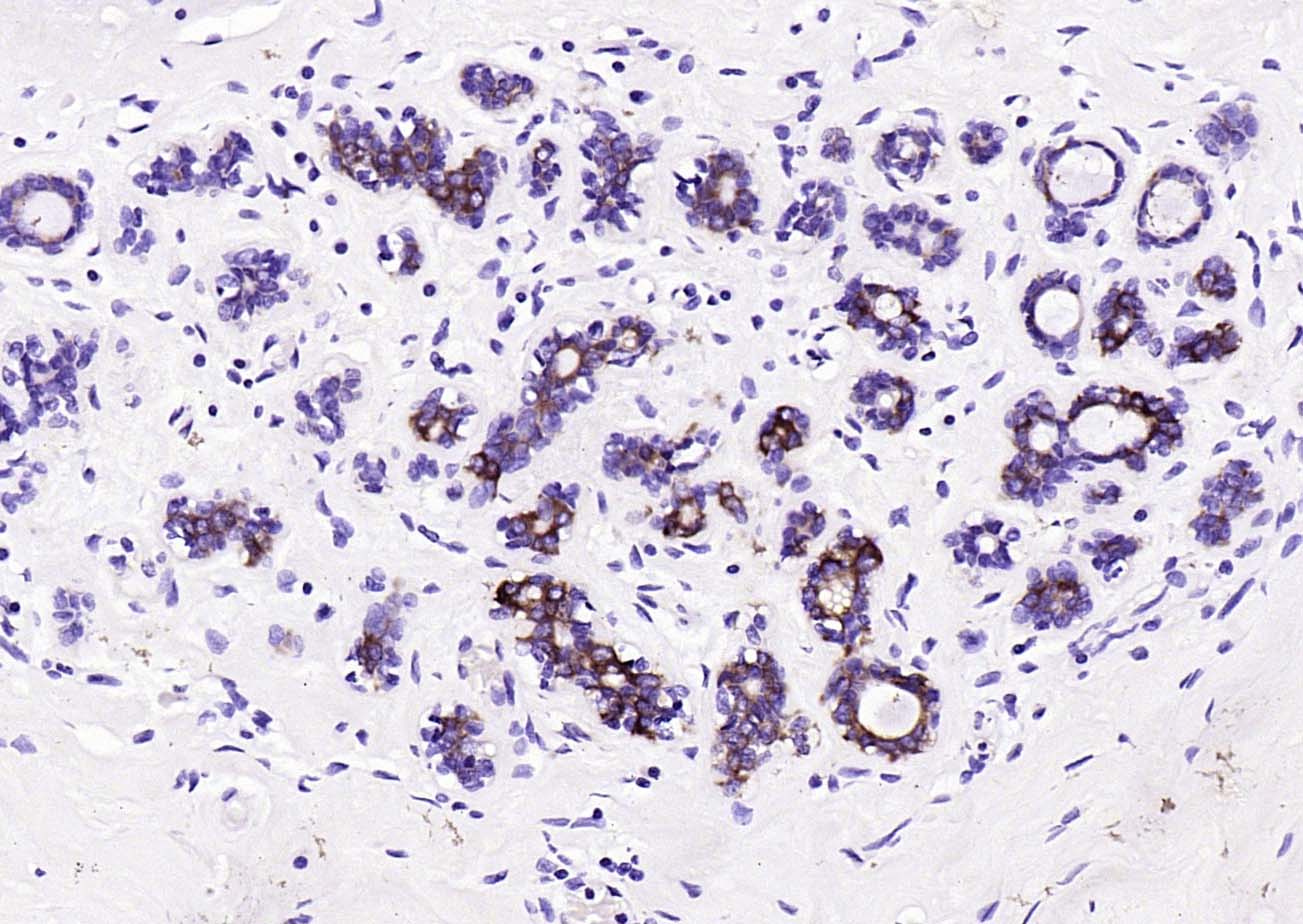
Paraformaldehyde-fixed, paraffin embedded (human breast carcinoma); Antigen retrieval by boiling in sodium citrate buffer (pH6.0) for 15min; Block endogenous peroxidase by 3% hydrogen peroxide for 20 minutes; Blocking buffer (normal goat serum) at 37°C for 30min; Incubation with (FASN) Monoclonal Antibody, Unconjugated (bsm-51155M) at 1:200 overnight at 4°C, followed by operating according to SP Kit(Mouse)(sp-0024) instructionsand DAB staining.
Paraformaldehyde-fixed, paraffin embedded (human breast); Antigen retrieval by boiling in sodium citrate buffer (pH6.0) for 15min; Block endogenous peroxidase by 3% hydrogen peroxide for 20 minutes; Blocking buffer (normal goat serum) at 37°C for 30min; Incubation with (FASN) Monoclonal Antibody, Unconjugated (bsm-51155M) at 1:200 overnight at 4°C, followed by operating according to SP Kit(Mouse)(sp-0024) instructionsand DAB staining.
Paraformaldehyde-fixed, paraffin embedded (human liver carcinoma); Antigen retrieval by boiling in sodium citrate buffer (pH6.0) for 15min; Block endogenous peroxidase by 3% hydrogen peroxide for 20 minutes; Blocking buffer (normal goat serum) at 37°C for 30min; Incubation with (FASN) Monoclonal Antibody, Unconjugated (bsm-51155M) at 1:200 overnight at 4°C, followed by operating according to SP Kit(Mouse)(sp-0024) instructionsand DAB staining.
Paraformaldehyde-fixed, paraffin embedded (human lung carcinoma); Antigen retrieval by boiling in sodium citrate buffer (pH6.0) for 15min; Block endogenous peroxidase by 3% hydrogen peroxide for 20 minutes; Blocking buffer (normal goat serum) at 37°C for 30min; Incubation with (FASN) Monoclonal Antibody, Unconjugated (bsm-51155M) at 1:200 overnight at 4°C, followed by operating according to SP Kit(Mouse)(sp-0024) instructionsand DAB staining.
版权所有 2004-2026 www.bioss.com.cn 北京博奥森生物技术有限公司
通过国际质量管理体系ISO 9001:2015 GB/T 19001-2016    证书编号: 00124Q34771R2M/1100
通过国际医疗器械-质量管理体系ISO 13485:2016 GB/T 42061-2022     证书编号: CQC24QY20047R0M/1100
京ICP备05066980号-1         京公网安备110107000727号