扫码关注公众号           扫码咨询技术支持           扫码咨询技术服务
  
客服热线:400-901-9800  客服QQ:4009019800  技术答疑  技术支持  质量反馈  关于我们  联系我们
产品中心-北京博奥森生物技术有限公司
首页 > 产品中心 > 一抗 > 产品信息
phospho-PTEN (Ser380) Recombinant Rabbit mAb (bsm-52192R)  
订购热线:400-901-9800
订购邮箱:sales@bioss.com.cn
订购QQ:  400-901-9800
技术支持:techsupport@bioss.com.cn
50ul/1400.00元
100ul/2500.00元
大包装/询价

产品编号 bsm-52192R
英文名称 phospho-PTEN (Ser380) Recombinant Rabbit mAb
中文名称 磷酸化肿瘤抑制基因PTEN重组兔单抗
别    名 PTEN(phospho S380); ITGA 2; MGC11227; MHAM; MMAC 1; MMAC1; Bannayan Zonana; BZS a; Multiple hamartoma(Cowden syndrome); Mutated in Mutiple Advanced Cancers 1; Phosphatase and Tensin Homolog; Phosphatidylinositol 345 trisphosphate 3 phosphatase and dual specificity protein phosphatase PTEN; Phosphatidylinositol 345 trisphosphate 3 phosphatase; Platelet antigen BR; PTEN 1; PTEN1; Tensin homolog; TEP 1; TEP1; VLA 2 Receptor alpha Subunit.  
产品类型 磷酸化抗体 重组兔单抗 
研究领域 肿瘤  免疫学  信号转导  转录调节因子  激酶和磷酸酶  
抗体来源 Rabbit
克隆类型 Recombinant
克 隆 号 4C9
交叉反应 Human,Rat (predicted: Mouse)
产品应用 WB=1:500-2000,IHC-P=1:100-500,IHC-F=1:100-500,IF=1:20-200,ICC/IF=1:100-500
not yet tested in other applications.
optimal dilutions/concentrations should be determined by the end user.
理论分子量 44 kDa
检测分子量
细胞定位 细胞核 细胞浆 
性    状 Liquid
浓    度 1mg/ml
免 疫 原 KLH conjugated synthesised phosphopeptide derived from human PTEN around the phosphorylation site of Ser380: RY(p-S)DT 
亚    型 IgG
纯化方法 affinity purified by Protein A
缓 冲 液 0.01M TBS (pH7.4) with 1% BSA, 0.02% Proclin300 and 50% Glycerol.
保存条件 Shipped at 4℃. Store at -20℃ for one year. Avoid repeated freeze/thaw cycles.
注意事项 This product as supplied is intended for research use only, not for use in human, therapeutic or diagnostic applications.
PubMed PubMed
产品介绍 Potential tumor suppressor. Acts as a phosphoinositide3-phosphatase by regulating PtdIns (3,4,5)P3 levels. Involved in regulation of the AKT1 signaling pathway. The unphosphorylated form cooperates with AIP1 to suppress AKT1 activation.The PTEN/MMAC1 discovers the first to have the suppress of the phosphoric acid enzyme activity cancer gene currently.The gene of PTEN locates the chromosome10q23 area, sending forth sex tumor and a few households cancers with the variety to suffer from the comprehensive disease easilyrelevant.The activity that passes to repress the Akt regulates the cell period, the cell ground rule decease and glues to connect.This text discussed PTEN structure, function and its correlationses, the PTEN is in tumor repress function mechanism.

Function:
Tumor suppressor. Acts as a dual-specificity protein phosphatase, dephosphorylating tyrosine-, serine- and threonine-phosphorylated proteins. Also acts as a lipid phosphatase, removing the phosphate in the D3 position of the inositol ring from phosphatidylinositol 3,4,5-trisphosphate, phosphatidylinositol 3,4-diphosphate, phosphatidylinositol 3-phosphate and inositol 1,3,4,5-tetrakisphosphate with order of substrate preference in vitro PtdIns(3,4,5)P3 > PtdIns(3,4)P2 > PtdIns3P > Ins(1,3,4,5)P4. The lipid phosphatase activity is critical for its tumor suppressor function. Antagonizes the PI3K-AKT/PKB signaling pathway by dephosphorylating phosphoinositides and thereby modulating cell cycle progression and cell survival. The unphosphorylated form cooperates with AIP1 to suppress AKT1 activation. Dephosphorylates tyrosine-phosphorylated focal adhesion kinase and inhibits cell migration and integrin-mediated cell spreading and focal adhesion formation. Plays a role as a key modulator of the AKT-mTOR signaling pathway controlling the tempo of the process of newborn neurons integration during adult neurogenesis, including correct neuron positioning, dendritic development and synapse formation. May be a negative regulator of insulin signaling and glucose metabolism in adipose tissue. The nuclear monoubiquitinated form possesses greater apoptotic potential, whereas the cytoplasmic nonubiquitinated form induces less tumor suppressive ability.

Subunit:
Monomer. The unphosphorylated form interacts with the second PDZ domain of AIP1 and with DLG1 and MAST2 in vitro. Interacts with MAGI2, MAGI3, MAST1 and MAST3, but neither with MAST4 nor with DLG5. Interaction with MAGI2 increases protein stability. Interacts with NEDD4. Interacts with NDFIP1 and NDFIP2; in the presence of NEDD4 or ITCH, this interaction promotes PTEN ubiquitination. Interacts (via C2 domain) with FRK. Interacts with USP7; the interaction is direct. Interacts with ROCK1. Interacts with XIAP/BIRC4.

Subcellular Location:
Cytoplasm. Nucleus. Nucleus, PML body. Note=Monoubiquitinated form is nuclear. Nonubiquitinated form is cytoplasmic. Colocalized with PML and USP7 in PML nuclear bodies. XIAP/BIRC4 promotes its nuclear localization.

Tissue Specificity:
Expressed at a relatively high level in all adult tissues, including heart, brain, placenta, lung, liver, muscle, kidney and pancreas.

Post-translational modifications:
Constitutively phosphorylated by CK2 under normal conditions. Phosphorylated in vitro by MAST1, MAST2 and MAST3. Phosphorylation results in an inhibited activity towards PIP3. Phosphorylation can both inhibit or promote PDZ-binding. Phosphorylation at Tyr-336 by FRK/PTK5 protects this protein from ubiquitin-mediated degradation probably by inhibiting its binding to NEDD4. Phosphorylation by ROCK1 is essential for its stability and activity. Phosphorylation by PLK3 promotes its stability and prevents its degradation by the proteasome.
Monoubiquitinated; monoubiquitination is increased in presence of retinoic acid. Deubiquitinated by USP7; leading to its nuclear exclusion. Monoubiquitination of one of either Lys-13 and Lys-289 amino acid is sufficient to modulate PTEN compartmentalization. Ubiquitinated by XIAP/BIRC4.

DISEASE:
Defects in PTEN are a cause of Cowden disease (CD) [MIM:158350]; also known as Cowden syndrome (CS). CD is an autosomal dominant cancer predisposition syndrome associated with elevated risk for tumors of the breast, thyroid and skin. The predominant phenotype for CD is multiple hamartoma syndrome, in many organ systems including the breast (70% of CD patients), thyroid (40-60%), skin, CNS (40%), gastrointestinal tract. Affected individuals are at an increased risk of both breast and thyroid cancers. Trichilemmomas (benign tumors of the hair follicle infundibulum), and mucocutaneous papillomatosis (99%) are hallmarks of CD.
Defects in PTEN are the cause of Lhermitte-Duclos disease (LDD) [MIM:158350]; also known as cerebelloparenchymal disorder VI. LDD is characterized by dysplastic gangliocytoma of the cerebellum which often results in cerebellar signs and seizures. LDD and CD seem to be the same entity, and are considered as hamartoma-neoplasia syndromes.
Defects in PTEN are a cause of Bannayan-Zonana syndrome (BZS) [MIM:153480]; also known as Ruvalcaba-Myhre-Smith syndrome (RMSS) or Bannayan-Riley-Ruvalcaba syndrome (BRRS). In BZS there seems not to be an increased risk of malignancy. It has a partial clinical overlap with CD. BZS is characterized by the classic triad of macrocephaly, lipomatosis and pigmented macules of the gland penis.
Defects in PTEN are a cause of head and neck squamous cell carcinomas (HNSCC) [MIM:275355]; also known as squamous cell carcinoma of the head and neck.
Defects in PTEN are a cause of susceptibility to endometrial cancer (ENDMC) [MIM:608089].
Note=PTEN mutations are found in a subset of patients with Proteus syndrome, a genetically heterogeneous condition. The molecular diagnosis of PTEN mutation positive cases classifies Proteus syndrome patients as part of the PTEN hamartoma syndrome spectrum. As such, patients surviving the early years of Proteus syndrome are likely at a greater risk of developing malignancies.
Defects in PTEN are a cause of susceptibility to glioma type 2 (GLM2) [MIM:613028]. Gliomas are central nervous system neoplasms derived from glial cells and comprise astrocytomas, glioblastoma multiforme, oligodendrogliomas, and ependymomas.
[DISEASE] Defects in PTEN are a cause of VACTERL association with hydrocephalus (VACTERL-H) [MIM:276950]. VACTERL is an acronym for vertebral anomalies, anal atresia, congenital cardiac disease, tracheoesophageal fistula, renal anomalies, radial dysplasia, and other limb defects.
Defects in PTEN may be a cause of susceptibility to prostate cancer (PC) [MIM:176807]. It is a malignancy originating in tissues of the prostate. Most prostate cancers are adenocarcinomas that develop in the acini of the prostatic ducts. Other rare histopathologic types of prostate cancer that occur in approximately 5% of patients include small cell carcinoma, mucinous carcinoma, prostatic ductal carcinoma, transitional cell carcinoma, squamous cell carcinoma, basal cell carcinoma, adenoid cystic carcinoma (basaloid), signet-ring cell carcinoma and neuroendocrine carcinoma.
Defects in PTEN are a cause of macrocephaly/autism syndrome (MCEPHAS) [MIM:605309]. Patients have autism spectrum disorders and macrocephaly, with head circumferences ranging from +2.5 to +8 SD for age and sex (average head circumference +4.0 SD).
Note=A microdeletion of chromosome 10q23 involving BMPR1A and PTEN is a cause of chromosome 10q23 deletion syndrome, which shows overlapping features of the following three disorders: Bannayan-Zonana syndrome, Cowden disease and juvenile polyposis syndrome.

Similarity:
Contains 1 C2 tensin-type domain.
Contains 1 phosphatase tensin-type domain.

SWISS:
P60484

Gene ID:
5728

Database links:

Entrez Gene: 5728 Human

Entrez Gene: 19211 Mouse

Entrez Gene: 50557 Rat

Omim: 601728 Human

SwissProt: P60484 Human

SwissProt: O08586 Mouse

Unigene: 500466 Human

Unigene: 245395 Mouse

Unigene: 444861 Mouse



产品图片
Sample: Lane 1: Rat Cerebrum tissue lysates Lane 2: Human SH-SY5Y cell lysates Primary: Anti-Phospho-PTEN (Ser380) (bsm-52192R) at 1/1000 dilution Secondary: IRDye800CW Goat Anti-Rabbit IgG at 1/20000 dilution Predicted band size: 44 kDa Observed band size: 55 kDa
Paraformaldehyde-fixed, paraffin embedded (human lung carcinoma); Antigen retrieval by boiling in sodium citrate buffer (pH6.0) for 15min; Block endogenous peroxidase by 3% hydrogen peroxide for 20 minutes; Blocking buffer (normal goat serum) at 37°C for 30min; Antibody incubation with (Phospho-PTEN (Ser380)) Monoclonal Antibody, Unconjugated (bsm-52192R) at 1:200 overnight at 4°C, followed by operating according to SP Kit(Rabbit) (sp-0023) instructionsand DAB staining.
Paraformaldehyde-fixed, paraffin embedded (human gastric carcinoma); Antigen retrieval by boiling in sodium citrate buffer (pH6.0) for 15min; Block endogenous peroxidase by 3% hydrogen peroxide for 20 minutes; Blocking buffer (normal goat serum) at 37°C for 30min; Antibody incubation with (Phospho-PTEN (Ser380)) Monoclonal Antibody, Unconjugated (bsm-52192R) at 1:200 overnight at 4°C, followed by operating according to SP Kit(Rabbit) (sp-0023) instructionsand DAB staining.
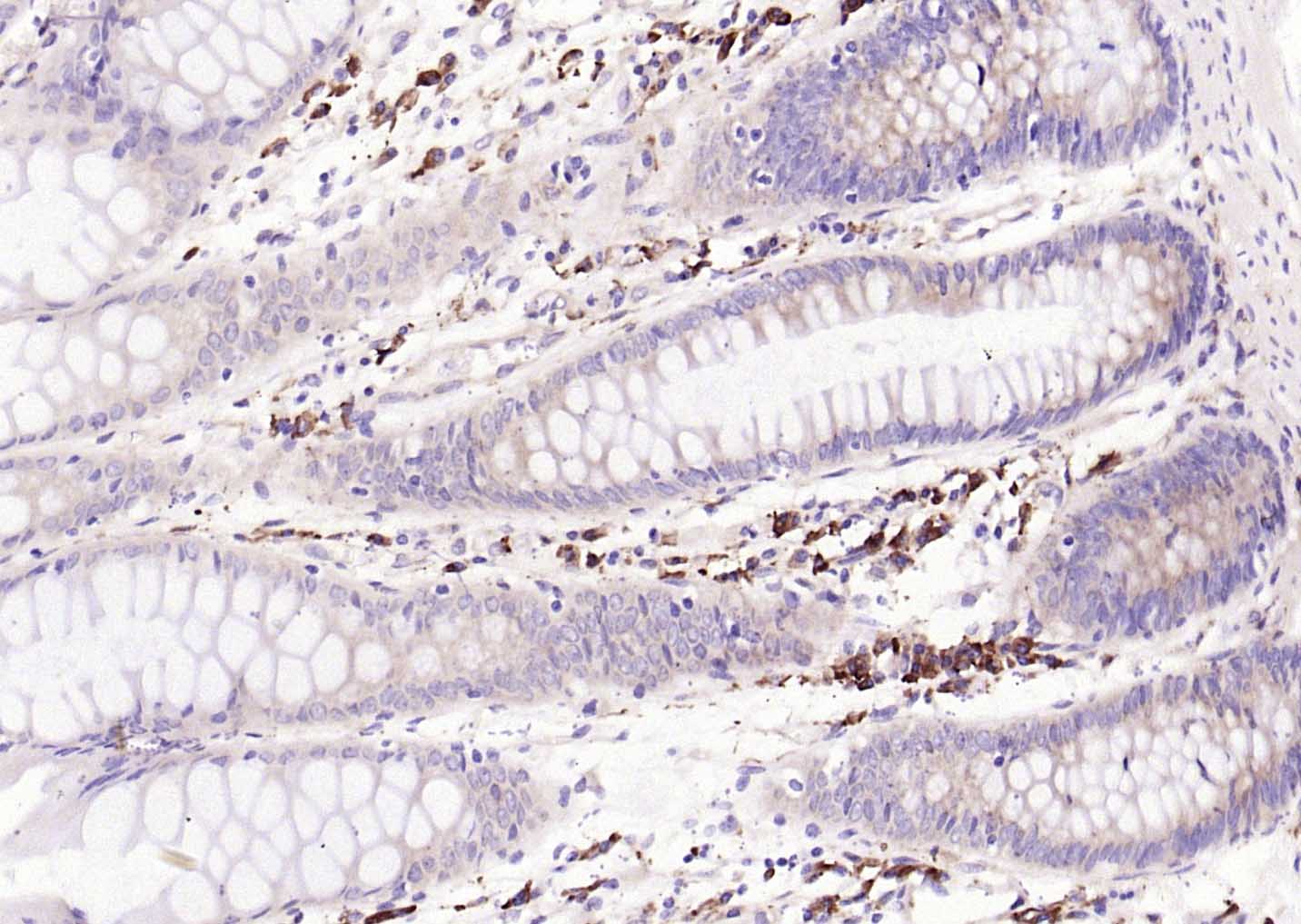
Paraformaldehyde-fixed, paraffin embedded (human colon carcinoma); Antigen retrieval by boiling in sodium citrate buffer (pH6.0) for 15min; Block endogenous peroxidase by 3% hydrogen peroxide for 20 minutes; Blocking buffer (normal goat serum) at 37°C for 30min; Antibody incubation with (Phospho-PTEN (Ser380)) Monoclonal Antibody, Unconjugated (bsm-52192R) at 1:200 overnight at 4°C, followed by operating according to SP Kit(Rabbit) (sp-0023) instructionsand DAB staining.
版权所有 2004-2026 www.bioss.com.cn 北京博奥森生物技术有限公司
通过国际质量管理体系ISO 9001:2015 GB/T 19001-2016    证书编号: 00124Q34771R2M/1100
通过国际医疗器械-质量管理体系ISO 13485:2016 GB/T 42061-2022     证书编号: CQC24QY20047R0M/1100
京ICP备05066980号-1         京公网安备110107000727号