扫码关注公众号           扫码咨询技术支持           扫码咨询技术服务
  
客服热线:400-901-9800  客服QQ:4009019800  技术答疑  技术支持  质量反馈  关于我们  联系我们
产品中心-北京博奥森生物技术有限公司
首页 > 产品中心 > 一抗 > 产品信息
IRS-4 Rabbit pAb (bs-23362R)  
订购热线:400-901-9800
订购邮箱:sales@bioss.com.cn
订购QQ:  400-901-9800
技术支持:techsupport@bioss.com.cn
50ul/1180.00元
100ul/1980.00元
200ul/2800.00元
大包装/询价

产品编号 bs-23362R
英文名称 IRS-4 Rabbit pAb
中文名称 胰岛素受体底物-4抗体
别    名 IRS4; 160 kDa phosphotyrosine protein; Insulin receptor substrate 4; IRS 4; PY160; IRS4_HUMAN; IRS-4; phosphoprotein of 160 kDa; pp160.  
研究领域 心血管  信号转导  细胞凋亡  糖尿病  
抗体来源 Rabbit
克隆类型 Polyclonal
克 隆 号
交叉反应 Human,Mouse (predicted: Rat)
产品应用 WB=1:500-2000,IHC-P=1:100-500,IHC-F=1:100-500,IF=1:100-500
not yet tested in other applications.
optimal dilutions/concentrations should be determined by the end user.
理论分子量 134 kDa
检测分子量
细胞定位 细胞浆 细胞膜 
性    状 Liquid
浓    度 1mg/ml
免 疫 原 KLH conjugated synthetic peptide derived from human IRS-4: 551-650/1257 
亚    型 IgG
纯化方法 affinity purified by Protein A
缓 冲 液 0.01M TBS (pH7.4) with 1% BSA, 0.02% Proclin300 and 50% Glycerol.
保存条件 Shipped at 4℃. Store at -20℃ for one year. Avoid repeated freeze/thaw cycles.
注意事项 This product as supplied is intended for research use only, not for use in human, therapeutic or diagnostic applications.
PubMed PubMed
产品介绍 IRS4 (Insulin receptor substrate 4) is a cytoplasmic protein that contains many potential tyrosine and serine/threonine phosphorylation sites. Tyrosine-phosphorylated IRS4 protein has been shown to associate with cytoplasmic signaling molecules that contain SH2 domains. The IRS4 protein is phosphorylated by the insulin receptor tyrosine kinase upon receptor stimulation.

Function:
Acts as an interface between multiple growth factor receptors possessing tyrosine kinase activity, such as insulin receptor, IGF1R and FGFR1, and a complex network of intracellular signaling molecules containing SH2 domains. Involved in the IGF1R mitogenic signaling pathway. Promotes the AKT1 signaling pathway and BAD phosphorylation during insulin stimulation without activation of RPS6KB1 or the inhibition of apoptosis. Interaction with GRB2 enhances insulin-stimulated mitogen-activated protein kinase activity. May be involved in nonreceptor tyrosine kinase signaling in myoblasts. Plays a pivotal role in the proliferation/differentiation of hepatoblastoma cell through EPHB2 activation upon IGF1 stimulation. May play a role in the signal transduction in response to insulin and to a lesser extent in response to IL4 and GH on mitogenesis. Plays a role in growth, reproduction and glucose homeostasis. May acts as negative regulators of the IGFI signaling pathway by suppressing the function of IRS1 and IRS2.

Subunit:
Interacts with CRK and CRKL. Interaction with CRK is stronger than with CRKL. Interacts with CRK via the phosphorylated YXXM motifs. Interacts with PLC-gamma, SHC1, PTK6, PPP4C and NISCH. Interacts with SOCS6 in response to stimulatiom with either insulin or IGF1. Interacts with PIK3R1 and GRB2.

Subcellular Location:
Cell membrane; Peripheral membrane protein; Cytoplasmic side.

Tissue Specificity:
Expressed in skeletal muscle, brain, heart, kidney and liver.

Post-translational modifications:
Phosphorylated on tyrosine residues in response to both insulin and IGF1 signaling. Phosphorylated on Tyr-894 in response to FGF2 signaling. Phosphorylation of Tyr-894 is required for GRB2, phospholipase C-gamma and phosphatidylinositol 3-kinase interaction.

Similarity:
Contains 1 IRS-type PTB domain.
Contains 1 PH domain.

SWISS:
O14654

Gene ID:
8471

Database links:

Entrez Gene: 8471 Human

 Entrez Gene: 16370 Mouse

Entrez Gene: 315350 Rat

Omim: 603510 Human

SwissProt: O14654 Human

SwissProt: Q9Z0Y7 Mouse

Unigene: 460872 Human



产品图片
Sample: 293T(Human) Cell Lysate at 30 ug Primary: Anti-IRS-4 (bs-23362R) at 1/1000 dilution Secondary: IRDye800CW Goat Anti-Rabbit IgG at 1/20000 dilution Predicted band size: 134 kD Observed band size: 134 kD
Sample: Cerebrum (Mouse) Lysate at 40 ug Primary: Anti-IRS-4 (bs-23362R) at 1/1000 dilution Secondary: IRDye800CW Goat Anti-Rabbit IgG at 1/20000 dilution Predicted band size: 134 kD Observed band size: 130 kD
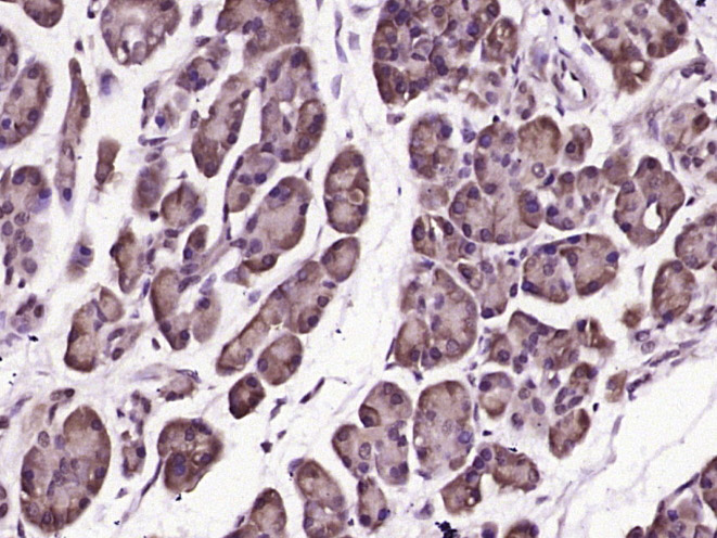
Paraformaldehyde-fixed, paraffin embedded (human Pancreatic cancer); Antigen retrieval by boiling in sodium citrate buffer (pH6.0) for 15min; Block endogenous peroxidase by 3% hydrogen peroxide for 20 minutes; Blocking buffer (normal goat serum) at 37°C for 30min; Antibody incubation with (IRS-4) Polyclonal Antibody, Unconjugated (bs-23362R) at 1:400 overnight at 4°C, followed by operating according to SP Kit(Rabbit) (sp-0023) instructionsand DAB staining.
版权所有 2004-2026 www.bioss.com.cn 北京博奥森生物技术有限公司
通过国际质量管理体系ISO 9001:2015 GB/T 19001-2016    证书编号: 00124Q34771R2M/1100
通过国际医疗器械-质量管理体系ISO 13485:2016 GB/T 42061-2022     证书编号: CQC24QY20047R0M/1100
京ICP备05066980号-1         京公网安备110107000727号