扫码关注公众号           扫码咨询技术支持           扫码咨询技术服务
  
客服热线:400-901-9800  客服QQ:4009019800  技术答疑  技术支持  质量反馈  人才招聘  关于我们  联系我们
产品中心-北京博奥森生物技术有限公司
首页 > 产品中心 > 一抗 > 产品信息
CATSPER Rabbit pAb (bs-23326R)  
订购热线:400-901-9800
订购邮箱:sales@bioss.com.cn
订购QQ:  400-901-9800
技术支持:techsupport@bioss.com.cn
50ul/1180.00元
100ul/1980.00元
200ul/2800.00元
大包装/询价

产品编号 bs-23326R
英文名称 CATSPER Rabbit pAb
中文名称 阳离子通道精子相关蛋白1抗体
别    名 CATSPER; SPGF7; KSper; CTSR1_HUMAN; CATSPER1; hCatSper; CTSR1_MOUSE;   
研究领域 细胞生物  发育生物学  通道蛋白  
抗体来源 Rabbit
克隆类型 Polyclonal
克 隆 号
交叉反应 Human,Mouse,Rat
产品应用 WB=1:500-2000,IHC-P=1:100-500,IHC-F=1:100-500,IF=1:100-500
not yet tested in other applications.
optimal dilutions/concentrations should be determined by the end user.
理论分子量 90 kDa
细胞定位 细胞膜 
性    状 Liquid
浓    度 1mg/ml
免 疫 原 KLH conjugated synthetic peptide derived from human CATSPER: 551-650/780 <Extracellular>
亚    型
纯化方法 affinity purified by Protein A
缓 冲 液 0.01M TBS (pH7.4) with 1% BSA, 0.02% Proclin300 and 50% Glycerol.
保存条件 Shipped at 4℃. Store at -20℃ for one year. Avoid repeated freeze/thaw cycles.
注意事项 This product as supplied is intended for research use only, not for use in human, therapeutic or diagnostic applications.
PubMed PubMed
产品介绍 CATSPER1 is a voltage-gated calcium channel that plays a central role in sperm cell hyperactivation. It controls calcium entry to mediate the hyperactivated motility, a step needed for sperm motility which is essential late in the preparation of sperm for fertilization. It is activated by intracellular alkalinization.

Function:
Voltage-gated calcium channel that plays a central role in calcium-dependent physiological responses essential for successful fertilization, such as sperm hyperactivation, acrosome reaction and chemotaxis towards the oocyte. Activated by extracellular progesterone and prostaglandins following the sequence: progesterone > PGF1-alpha = PGE1 > PGA1 > PGE2 >> PGD2. The primary effect of progesterone activation is to shift voltage dependence towards more physiological, negative membrane potentials; it is not mediated by metabotropic receptors and second messengers. Sperm capacitation enhances the effect of progesterone by providing additional negative shift. Also activated by the elevation of intracellular pH.

Subunit:
Heterotetramer; possibly composed of CATSPER1, CATSPER2, CATSPER3 and CATSPER4 (Potential). Component of the CatSper complex. Interacts with CATSPER3 and CATSPER4. Interacts with Ca(v)3.3/CACNA1I, leading to suppress T-type calcium channel activity.

Subcellular Location:
Cell projection, cilium, flagellum membrane; Multi-pass membrane protein. Note=Specifically located in the principal piece of sperm tail.

Tissue Specificity:
Testis-specific.

DISEASE:
Defects in CATSPER1 are the cause of spermatogenic failure type 7 (SPGF7) [MIM:612997]. An infertility disorder characterized by non-motile sperm or sperm motility below the normal threshold, low sperm count, increased abnormally structured spermatozoa, and reduced semen volume.

Similarity:
Belongs to the cation channel sperm-associated (TC 1.A.1.19) family.

SWISS:
Q8NEC5

Gene ID:
117144

Database links:

Entrez Gene: 117144 Human

Entrez Gene: 225865 Mouse

SwissProt: Q8NEC5 Human

SwissProt: Q91ZR5 Mouse



产品图片
Sample: Lane 1: Human MCF-7 cell lysates Lane 2: Human K562 cell lysates Primary: Anti-CATSPER (bs-23326R) at 1/1000 dilution Secondary: IRDye800CW Goat Anti-Rabbit IgG at 1/20000 dilution Predicted band size: 90 kDa Observed band size: 95 kDa
Sample: U2OS(Human) Cell Lysate at 30 ug Primary: Anti- CATSPER (bs-23326R) at 1/1000 dilution Secondary: IRDye800CW Goat Anti-Rabbit IgG at 1/20000 dilution Predicted band size: 90 kD Observed band size: 90 kD
Paraformaldehyde-fixed, paraffin embedded (rat testis); Antigen retrieval by boiling in sodium citrate buffer (pH6.0) for 15min; Block endogenous peroxidase by 3% hydrogen peroxide for 20 minutes; Blocking buffer (normal goat serum) at 37°C for 30min; Incubation with (CATSPER) Polyclonal Antibody, Unconjugated (bs-23326R) at 1:200 overnight at 4°C, followed by operating according to SP Kit(Rabbit) (sp-0023) instructionsand DAB staining.
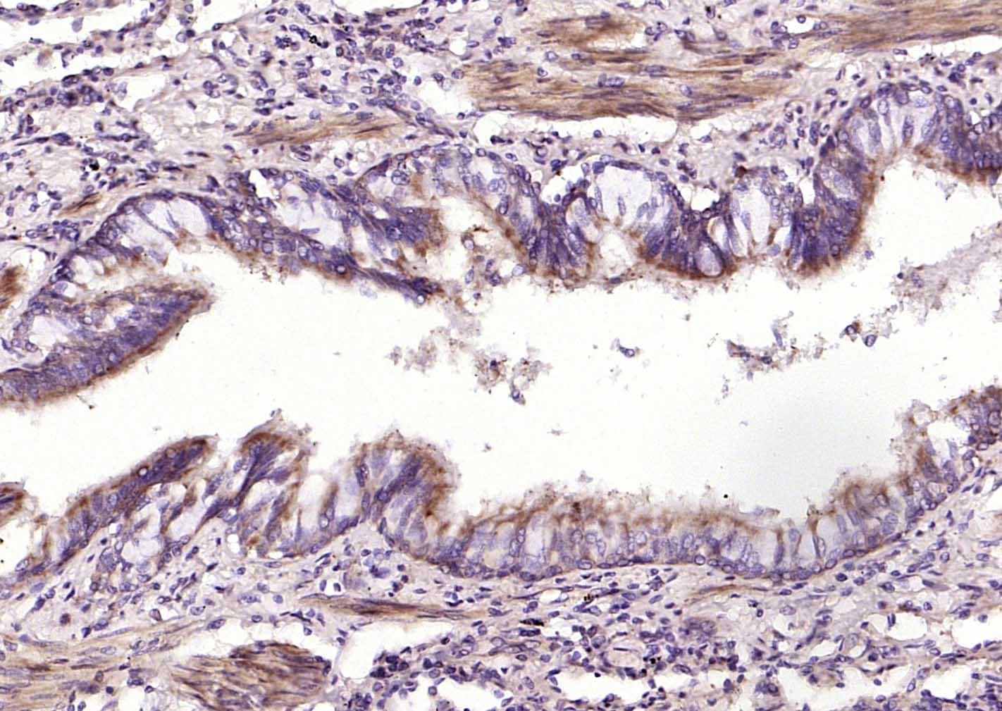
Paraformaldehyde-fixed, paraffin embedded (human lung); Antigen retrieval by boiling in sodium citrate buffer (pH6.0) for 15min; Block endogenous peroxidase by 3% hydrogen peroxide for 20 minutes; Blocking buffer (normal goat serum) at 37°C for 30min; Incubation with (CATSPER) Polyclonal Antibody, Unconjugated (bs-23326R) at 1:200 overnight at 4°C, followed by operating according to SP Kit(Rabbit) (sp-0023) instructionsand DAB staining.
Paraformaldehyde-fixed, paraffin embedded (mouse lung); Antigen retrieval by boiling in sodium citrate buffer (pH6.0) for 15min; Block endogenous peroxidase by 3% hydrogen peroxide for 20 minutes; Blocking buffer (normal goat serum) at 37°C for 30min; Incubation with (CATSPER) Polyclonal Antibody, Unconjugated (bs-23326R) at 1:200 overnight at 4°C, followed by operating according to SP Kit(Rabbit) (sp-0023) instructionsand DAB staining.
版权所有 2004-2026 www.bioss.com.cn 北京博奥森生物技术有限公司
通过国际质量管理体系ISO 9001:2015 GB/T 19001-2016    证书编号: 00124Q34771R2M/1100
通过国际医疗器械-质量管理体系ISO 13485:2016 GB/T 42061-2022     证书编号: CQC24QY20047R0M/1100
京ICP备05066980号-1         京公网安备110107000727号