扫码关注公众号           扫码咨询技术支持           扫码咨询技术服务
  
客服热线:400-901-9800  客服QQ:4009019800  技术答疑  技术支持  质量反馈  关于我们  联系我们
产品中心-北京博奥森生物技术有限公司
首页 > 产品中心 > 一抗 > 产品信息
phospho-STAT3 (Ser727) Recombinant Rabbit mAb (bsm-52210R)  
订购热线:400-901-9800
订购邮箱:sales@bioss.com.cn
订购QQ:  400-901-9800
技术支持:techsupport@bioss.com.cn
25ul/800.00元
50ul/1400.00元
100ul/2500.00元
大包装/询价

产品编号 bsm-52210R
英文名称 phospho-STAT3 (Ser727) Recombinant Rabbit mAb
中文名称 磷酸化信号转导和转录激活因子3重组兔单抗
别    名 STAT3(phospho S727); p-STAT3(phospho S727); STAT3(phospho Ser727); STAT3(phospho S727); p-STAT3(Ser727); Acute Phase Response Factor; APRF; DNA binding protein APRF; Signal Transductor and Activator of Transcription 3; STAT 3; STAT3_HUMAN.  
Specific References  (1)     |     bsm-52210R has been referenced in 1 publications.
[IF=2.447] Mei-Hua Jin. et al. Hispidin inhibits LPS‑induced nitric oxide production in BV‑2 microglial cells via ROS‑dependent MAPK signaling. Exp Ther Med. 2021 Sep;22(3):1-9  WB ;  Mouse.  
产品类型 磷酸化抗体 重组兔单抗 
研究领域 肿瘤  细胞生物  免疫学  信号转导  细胞凋亡  转录调节因子  
抗体来源 Rabbit
克隆类型 Recombinant
克 隆 号 4G1
交叉反应 Human,Mouse,Rat
产品应用 WB=1:500-2000,IHC-P=1:200-800,IHC-F=1:200-800,IF=1:200-800,ICC/IF=1:100-500
not yet tested in other applications.
optimal dilutions/concentrations should be determined by the end user.
理论分子量 88 kDa
检测分子量
细胞定位 细胞核 细胞浆 
性    状 Liquid
浓    度 1mg/ml
免 疫 原 A synthesized peptide derived from human STAT3 around the phosphorylation site of S727: PM-pS-PR 
亚    型 IgG
纯化方法 affinity purified by Protein A
缓 冲 液 0.01M TBS (pH7.4) with 1% BSA, 0.02% Proclin300 and 50% Glycerol.
保存条件 Shipped at 4℃. Store at -20℃ for one year. Avoid repeated freeze/thaw cycles.
注意事项 This product as supplied is intended for research use only, not for use in human, therapeutic or diagnostic applications.
PubMed PubMed
产品介绍 STATs (signal transducers and activators of transcription) were originally discovered as two proteins (STAT1 and STAT2) which were involved in interferon alpha (IFN alpha) and IFN gamma signal transduction. Since then, several additional STAT proteins have been identified (STAT3, 4, 5a, 5b, and 6). STATs undergo tyrosine phosphorylation in response to growth factor or cytokine signaling. This phosphorylation results in dimerization and translocation of STAT proteins to the nucleus. In some cases this process is mediated by JAK Kinases (Janus Kinases 1, 2, and 3). For maximum activation of these proteins, phosphorylation at specific tyrosine and serine residues may be required in STAT1 alpha, 3, 4, and 5. Specific functions of the various members of the STAT family are poorly understood. STAT3 has been shown to be activated by IFN alpha but not IFN beta. The transcription factors associated with STAT3 are cJun and cyclic AMP responsive enhancer binding protein (CREB). Deletion of the STAT3 gene in knock out mice was lethal at the early embryonic stage.

Function:
Signal transducer and transcription activator that mediates cellular responses to interleukins, KITLG/SCF and other growth factors. May mediate cellular responses to activated FGFR1, FGFR2, FGFR3 and FGFR4. Binds to the interleukin-6 (IL-6)-responsive elements identified in the promoters of various acute-phase protein genes. Activated by IL31 through IL31RA. Cytoplasmic STAT3 represses macroautophagy by inhibiting EIF2AK2/PKR activity. Plays an important role in host defense in methicillin-resistant S.aureus lung infection by regulating the expression of the antimicrobial lectin REG3G (By similarity).

Subunit:
Forms a homodimer or a heterodimer with a related family member (at least STAT1). Interacts with IL31RA, NCOA1, PELP1, SIPAR, SOCS7, STATIP1 and TMF1. Interacts with HCV core protein. Interacts with IL23R in presence of IL23. Interacts (via SH2 domain) with NLK. Interacts with ARL2BP; the interaction is enhanced by LIF and JAK1 expression (By similarity). Interacts with KPNA4 and KPNA5; KPNA4 may be the primary mediator of nuclear import (By similarity). Interacts with CAV2; the interaction is increased on insulin-induced tyrosine phosphorylation of CAV2 and leads to STAT3 activation (By similarity). Interacts with ARL2BP; interaction is enhanced with ARL2. Interacts with NEK6 (By similarity). Binds to CDK9 when activated and nuclear. Interacts with BMX. Interacts with ZIPK/DAPK3. Interacts with PIAS3; the interaction occurs on stimulation by IL6, CNTF or OSM and inhibits the DNA binding activity of STAT3. In prostate cancer cells, interacts with STAT3 and promotes DNA binding activity of STAT3. Interacts with STMN3, antagonizing its microtubule-destabilizing activity. Interacts with the 'Lys-129' acetylated form of BIRC5/survivin. Interacts with FER. Interacts (via SH2 domain) with EIF2AK2/PKR (via the kinase catalytic domain).

Subcellular Location:
Cytoplasm. Nucleus. Note=Shuttles between the nucleus and the cytoplasm. Translocated into the nucleus upon tyrosine phosphorylation and dimerization, in response to signaling by activated FGFR1, FGFR2, FGFR3 or FGFR4. Constitutive nuclear presence is independent of tyrosine phosphorylation. Predominantly present in the cytoplasm without stimuli. Upon leukemia inhibitory factor (LIF) stimulation, accumulates in the nucleus. The complex composed of BART and ARL2 plays an important role in the nuclear translocation and retention of STAT3. Identified in a complex with LYN and PAG1.

Tissue Specificity:
Heart, brain, placenta, lung, liver, skeletal muscle, kidney and pancreas.

Post-translational modifications:
Tyrosine phosphorylated upon stimulation with EGF. Tyrosine phosphorylated in response to constitutively activated FGFR1, FGFR2, FGFR3 and FGFR4 (By similarity). Activated through tyrosine phosphorylation by BMX. Tyrosine phosphorylated in response to IL6, IL11, LIF, CNTF, KITLG/SCF, CSF1, EGF, PDGF, IFN-alpha and OSM. Activated KIT promotes phosphorylation on tyrosine residues and subsequent translocation to the nucleus. Phosphorylated on serine upon DNA damage, probably by ATM or ATR. Serine phosphorylation is important for the formation of stable DNA-binding STAT3 homodimers and maximal transcriptional activity. ARL2BP may participate in keeping the phosphorylated state of STAT3 within the nucleus. Upon LPS challenge, phosphorylated within the nucleus by IRAK1. Upon erythropoietin treatment, phosphorylated on Ser-727 by RPS6KA5. Phosphoryation at Tyr-705 by PTK6 or FER leads to an increase of its transcriptional activity.

DISEASE:
Hyperimmunoglobulin E recurrent infection syndrome, autosomal dominant (AD-HIES) [MIM:147060]: A rare disorder of immunity and connective tissue characterized by immunodeficiency, chronic eczema, recurrent Staphylococcal infections, increased serum IgE, eosinophilia, distinctive coarse facial appearance, abnormal dentition, hyperextensibility of the joints, and bone fractures. Note=The disease is caused by mutations affecting the gene represented in this entry.

Similarity:
Belongs to the transcription factor STAT family.
Contains 1 SH2 domain.

SWISS:
P40763

Gene ID:
6774

Database links:

Entrez Gene: 6774 Human

Entrez Gene: 20848 Mouse

Entrez Gene: 25125 Rat

Omim: 102582 Human

SwissProt: P40763 Human

SwissProt: P42227 Mouse

SwissProt: P52631 Rat

Unigene: 463059 Human 



产品图片
Hela (H) cells were treated with or without IFN (50 ng/ml) for 30 min, 25 μg total protein per lane of cell lysates (see on figure) probed with phospho-STAT3 (Ser727) monoclonal antibody, unconjugated (bsm-52210R) at 1:1000 dilution and 4°C overnight incubation. Followed by conjugated secondary antibody incubation at r.t. for 60 min.
Paraformaldehyde-fixed, paraffin embedded Human Lung Cancer; Antigen retrieval by boiling in sodium citrate buffer (pH6.0) for 15 min; The section was incubated with phospho-STAT3 (Ser727) Monoclonal Antibody, Unconjugated (bsm-52210R) at 1:200 overnight at 4°C, followed by conjugation to the bs-0295G-HRP and DAB (C-0010) staining.
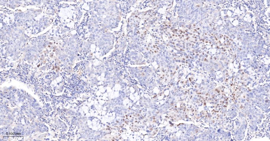
Paraformaldehyde-fixed, paraffin embedded Human Colon Cancer; Antigen retrieval by boiling in sodium citrate buffer (pH6.0) for 15 min; Antibody incubation with phospho-STAT3 (Ser727)  Monoclonal Antibody, Unconjugated(bsm-52210R) at 1:200 overnight at 4°C, followed by conjugation to the bs-0295G-HRP and DAB (C-0010) staining.
Paraformaldehyde-fixed, paraffin embedded Rat Liver; Antigen retrieval by boiling in sodium citrate buffer (pH6.0) for 15 min; Antibody incubation with phospho-STAT3 (Ser727)  Monoclonal Antibody, Unconjugated(bsm-52210R) at 1:200 overnight at 4°C, followed by conjugation to the bs-0295G-HRP and DAB (C-0010) staining.
Paraformaldehyde-fixed, paraffin embedded Rat Heart; Antigen retrieval by boiling in sodium citrate buffer (pH6.0) for 15 min; Antibody incubation with phospho-STAT3 (Ser727)  Monoclonal Antibody, Unconjugated(bsm-52210R) at 1:200 overnight at 4°C, followed by conjugation to the bs-0295G-HRP and DAB (C-0010) staining.
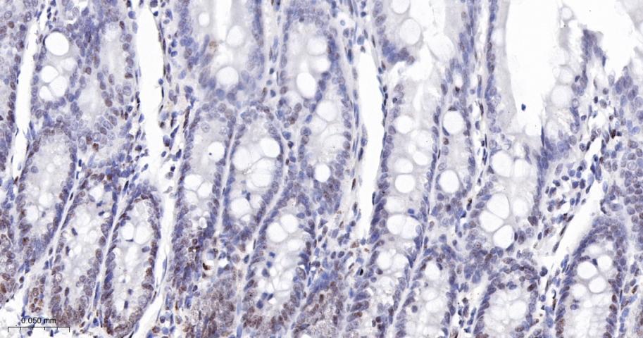
Paraformaldehyde-fixed, paraffin embedded Mouse Small Intestine; Antigen retrieval by boiling in sodium citrate buffer (pH6.0) for 15 min; Antibody incubation with phospho-STAT3 (Ser727)  Monoclonal Antibody, Unconjugated(bsm-52210R) at 1:200 overnight at 4°C, followed by conjugation to the bs-0295G-HRP and DAB (C-0010) staining.
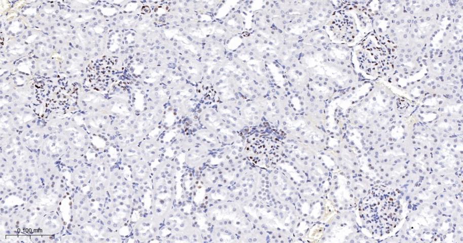
Paraformaldehyde-fixed, paraffin embedded Rat Kidney; Antigen retrieval by boiling in sodium citrate buffer (pH6.0) for 15 min; Antibody incubation with phospho-STAT3 (Ser727)  Monoclonal Antibody, Unconjugated(bsm-52210R) at 1:200 overnight at 4°C, followed by conjugation to the bs-0295G-HRP and DAB (C-0010) staining.
Paraformaldehyde-fixed, paraffin embedded Mouse Kidney; Antigen retrieval by boiling in sodium citrate buffer (pH6.0) for 15 min; Antibody incubation with phospho-STAT3 (Ser727)  Monoclonal Antibody, Unconjugated(bsm-52210R) at 1:200 overnight at 4°C, followed by conjugation to the bs-0295G-HRP and DAB (C-0010) staining.
Paraformaldehyde-fixed, paraffin embedded Rat Cerebrum; Antigen retrieval by boiling in sodium citrate buffer (pH6.0) for 15 min; Antibody incubation with phospho-STAT3 (Ser727)  Monoclonal Antibody, Unconjugated(bsm-52210R) at 1:200 overnight at 4°C, followed by conjugation to the bs-0295G-HRP and DAB (C-0010) staining
Paraformaldehyde-fixed, paraffin embedded Mouse Cerebrum; Antigen retrieval by boiling in sodium citrate buffer (pH6.0) for 15 min; Antibody incubation with phospho-STAT3 (Ser727)  Monoclonal Antibody, Unconjugated(bsm-52210R) at 1:200 overnight at 4°C, followed by conjugation to the bs-0295G-HRP and DAB (C-0010) staining.
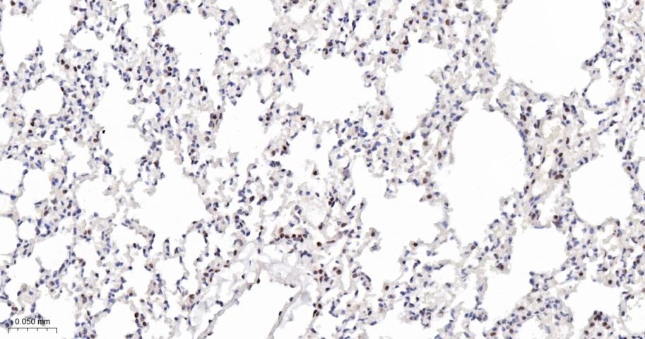
Paraformaldehyde-fixed, paraffin embedded Rat Lung; Antigen retrieval by boiling in sodium citrate buffer (pH6.0) for 15 min; Antibody incubation with phospho-STAT3 (Ser727)  Monoclonal Antibody, Unconjugated(bsm-52210R) at 1:200 overnight at 4°C, followed by conjugation to the bs-0295G-HRP and DAB (C-0010) staining.
Paraformaldehyde-fixed, paraffin embedded Mouse Lung; Antigen retrieval by boiling in sodium citrate buffer (pH6.0) for 15 min; Antibody incubation with phospho-STAT3 (Ser727)  Monoclonal Antibody, Unconjugated(bsm-52210R) at 1:200 overnight at 4°C, followed by conjugation to the bs-0295G-HRP and DAB (C-0010) staining.
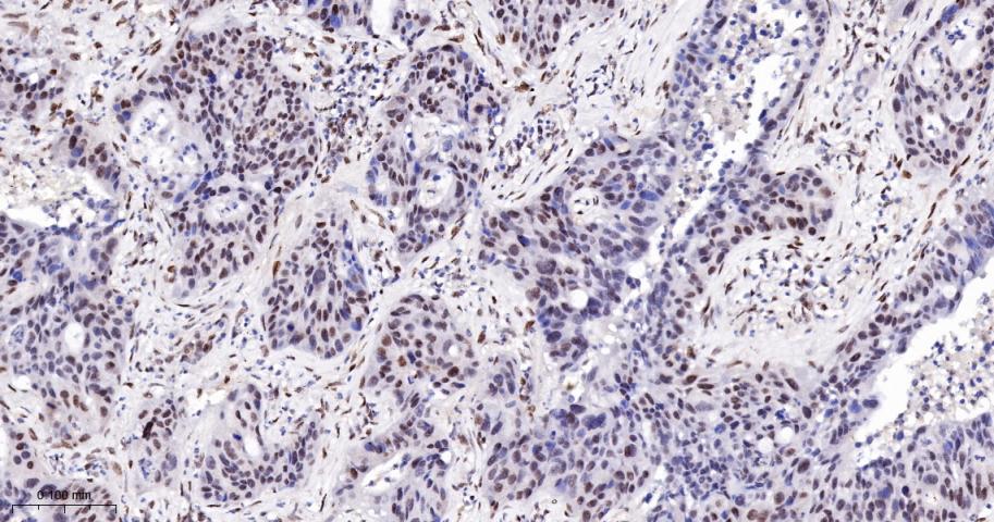
Paraformaldehyde-fixed, paraffin embedded Human Breast Cancer; Antigen retrieval by boiling in sodium citrate buffer (pH6.0) for 15 min; The section was incubated with phospho-STAT3 (Ser727) Monoclonal Antibody, Unconjugated (bsm-52210R) at 1:200 overnight at 4°C, followed by conjugation to the bs-0295G-HRP and DAB (C-0010) staining.
Paraformaldehyde-fixed, paraffin embedded Rat Small Intestine; Antigen retrieval by boiling in sodium citrate buffer (pH6.0) for 15 min; The section was incubated with phospho-STAT3 (Ser727) Monoclonal Antibody, Unconjugated (bsm-52210R) at 1:200 overnight at 4°C, followed by conjugation to the bs-0295G-HRP and DAB (C-0010) staining.
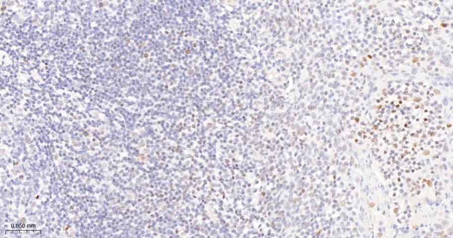
Paraformaldehyde-fixed, paraffin embedded Human Tonsil; Antigen retrieval by boiling in sodium citrate buffer (pH6.0) for 15 min; Antibody incubation with phospho-STAT3 (Ser727)  Monoclonal Antibody, Unconjugated(bsm-52210R) at 1:200 overnight at 4°C, followed by conjugation to the bs-0295G-HRP and DAB (C-0010) staining.
Paraformaldehyde-fixed, paraffin embedded Human Cervical Cancer; Antigen retrieval by boiling in sodium citrate buffer (pH6.0) for 15 min; Antibody incubation with phospho-STAT3 (Ser727)  Monoclonal Antibody, Unconjugated(bsm-52210R) at 1:200 overnight at 4°C, followed by conjugation to the bs-0295G-HRP and DAB (C-0010) staining.
Paraformaldehyde-fixed, paraffin embedded Mouse Heart; Antigen retrieval by boiling in sodium citrate buffer (pH6.0) for 15 min; Antibody incubation with phospho-STAT3 (Ser727)  Monoclonal Antibody, Unconjugated(bsm-52210R) at 1:200 overnight at 4°C, followed by conjugation to the bs-0295G-HRP and DAB (C-0010) staining.
Paraformaldehyde-fixed, paraffin embedded Human Kidney; Antigen retrieval by boiling in sodium citrate buffer (pH6.0) for 15 min; Antibody incubation with phospho-STAT3 (Ser727)  Monoclonal Antibody, Unconjugated(bsm-52210R) at 1:200 overnight at 4°C, followed by conjugation to the bs-0295G-HRP and DAB (C-0010) staining.
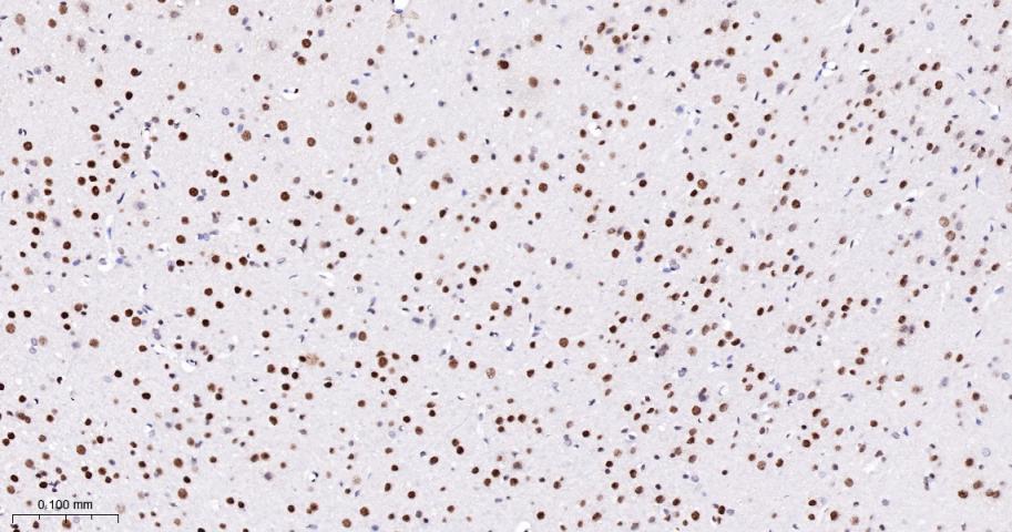
Paraformaldehyde-fixed, paraffin embedded Human Cerebrum; Antigen retrieval by boiling in sodium citrate buffer (pH6.0) for 15 min; Antibody incubation with phospho-STAT3 (Ser727)  Monoclonal Antibody, Unconjugated(bsm-52210R) at 1:200 overnight at 4°C, followed by conjugation to the bs-0295G-HRP and DAB (C-0010) staining
Hela cell; 4% Paraformaldehyde-fixed; Triton X-100 at room temperature for 20 min; Blocking buffer (normal goat serum, C-0005) at 37°C for 20 min; Antibody incubation with (phospho-STAT3 (Ser727)) monoclonal Antibody, Unconjugated (bsm-52210R) 1:100, 90 minutes at 37°C; followed by a conjugated Goat Anti-Rabbit IgG antibody at 37°C for 90 minutes, DAPI (blue, C02-04002) was used to stain the cell nuclei.
版权所有 2004-2026 www.bioss.com.cn 北京博奥森生物技术有限公司
通过国际质量管理体系ISO 9001:2015 GB/T 19001-2016    证书编号: 00124Q34771R2M/1100
通过国际医疗器械-质量管理体系ISO 13485:2016 GB/T 42061-2022     证书编号: CQC24QY20047R0M/1100
京ICP备05066980号-1         京公网安备110107000727号