扫码关注公众号           扫码咨询技术支持           扫码咨询技术服务
  
客服热线:400-901-9800  客服QQ:4009019800  技术答疑  技术支持  质量反馈  关于我们  联系我们
产品中心-北京博奥森生物技术有限公司
首页 > 产品中心 > 一抗 > 产品信息
GATA4 Rabbit pAb (bs-23982R)  
订购热线:400-901-9800
订购邮箱:sales@bioss.com.cn
订购QQ:  400-901-9800
技术支持:techsupport@bioss.com.cn
50ul/1180.00元
100ul/1980.00元
200ul/2800.00元
大包装/询价

产品编号 bs-23982R
英文名称 GATA4 Rabbit pAb
中文名称 GATA结合蛋白4抗体
别    名 GATA binding factor 4; GATA 4; GATA4; GATA-4; Transcription factor GATA-4; GATA-binding factor 4; Gata4; GATA4_HUMAN; GATA-binding factor 4.  
Specific References  (1)     |     bs-23982R has been referenced in 1 publications.
[IF=3.471] Yaying Wang. et al. Transcriptome sequencing reveals differences between leydig cells and sertoli cells of yak.. FRONT VET SCI. 2022 Aug;9:960250-960250  IF ;  Bovine.  
研究领域 心血管  免疫学  发育生物学  干细胞  转录调节因子  锌指蛋白  表观遗传学  
抗体来源 Rabbit
克隆类型 Polyclonal
克 隆 号
交叉反应 Mouse (predicted: Human,Rat,Rabbit,Pig,Cow,Dog)
产品应用 IHC-P=1:100-500,IHC-F=1:100-500,IF=1:100-500
not yet tested in other applications.
optimal dilutions/concentrations should be determined by the end user.
理论分子量 49 kDa
检测分子量
细胞定位 细胞核 
性    状 Liquid
浓    度 1mg/ml
免 疫 原 KLH conjugated synthetic peptide derived from human GATA4: 31-130/442 
亚    型 IgG
纯化方法 affinity purified by Protein A
缓 冲 液 0.01M TBS (pH7.4) with 1% BSA, 0.02% Proclin300 and 50% Glycerol.
保存条件 Shipped at 4℃. Store at -20℃ for one year. Avoid repeated freeze/thaw cycles.
注意事项 This product as supplied is intended for research use only, not for use in human, therapeutic or diagnostic applications.
PubMed PubMed
产品介绍 GATA4 is a 46 kDa member of the GATA family of zinc finger containing transcription factors that is involved in the development of cardiac hypertrophy and remodeling, and plays a critical role in regulating basal and agonist or stress induced gene expression in cardiac and smooth muscle cell types. GATA4 contains a conserved MAPK phosphorylation site at serine 105 within the transcriptional activation domain. Serine 105 of GATA4 is phosphorylated in response to agonist stimulation through MEK 1 ERK1 / 2, and weakly through JNK or p38 MAPKs.

Function:
Transcriptional activator. Binds to the consensus sequence 5'-AGATAG-3'. Acts as a transcriptional activator of ANF in cooperation with NKX2-5 (By similarity). Promotes cardiac myocyte enlargement.

Subunit:
Interacts with ZNF260. Interacts with the homeobox domain of NKX2-5 through its C-terminal zinc finger. Also interacts with JARID2 which represses its ability to activate transcription of ANF. Interacts with NFATC4 and LMCD1. Forms a complex made of CDK9, CCNT1/cyclin-T1, EP300 and GATA4 that stimulates hypertrophy in cardiomyocytes.

Subcellular Location:
Nucleus.

Post-translational modifications:
Methylation at Lys-300 attenuates transcriptional activity.

DISEASE:
Defects in GATA4 are the cause of atrial septal defect type 2 (ASD2) [MIM:607941]. ASD2 is a congenital heart malformation characterized by incomplete closure of the wall between the atria resulting in blood flow from the left to the right atria. ASD2 patients show other heart abnormalities including ventricular and atrioventricular septal defects, pulmonary valve thickening or insufficiency of the cardiac valves. ASD2 is not associated with defects in the cardiac conduction system or non-cardiac abnormalities.

Similarity:
Contains 2 GATA-type zinc fingers.

SWISS:
P43694

Gene ID:
2626

Database links:

Entrez Gene: 2626 Human

Entrez Gene: 14463 Mouse

Entrez Gene: 54254 Rat

Omim: 600576 Human

SwissProt: P43694 Human

SwissProt: Q08369 Mouse

SwissProt: P46152 Rat

Unigene: 243987 Human

Unigene: 247669 Mouse

Unigene: 26251 Rat



GATA-4属于转录调节性因子,表达在心组织、胃肠道组织中,并调节该类T细胞的发育和功能。
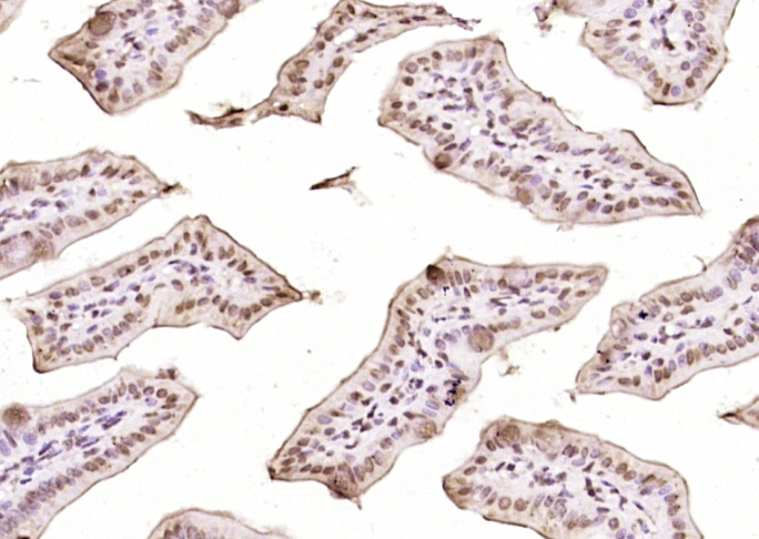
产品图片
Paraformaldehyde-fixed, paraffin embedded (mouse intestine tissue); Antigen retrieval by boiling in sodium citrate buffer (pH6.0) for 15min; Block endogenous peroxidase by 3% hydrogen peroxide for 20 minutes; Blocking buffer (normal goat serum) at 37°C for 30min; Antibody incubation with (GATA4) Polyclonal Antibody, Unconjugated (bs-23982R) at 1:200 overnight at 4°C, followed by operating according to SP Kit(Rabbit) (sp-0023) instructionsand DAB staining.
版权所有 2004-2026 www.bioss.com.cn 北京博奥森生物技术有限公司
通过国际质量管理体系ISO 9001:2015 GB/T 19001-2016    证书编号: 00124Q34771R2M/1100
通过国际医疗器械-质量管理体系ISO 13485:2016 GB/T 42061-2022     证书编号: CQC24QY20047R0M/1100
京ICP备05066980号-1         京公网安备110107000727号