扫码关注公众号           扫码咨询技术支持           扫码咨询技术服务
  
客服热线:400-901-9800  客服QQ:4009019800  技术答疑  技术支持  质量反馈  关于我们  联系我们
产品中心-北京博奥森生物技术有限公司
首页 > 产品中心 > 一抗 > 产品信息
ST2 Rabbit pAb (bs-23758R)  
订购热线:400-901-9800
订购邮箱:sales@bioss.com.cn
订购QQ:  400-901-9800
技术支持:techsupport@bioss.com.cn
50ul/1180.00元
100ul/1980.00元
200ul/2800.00元
大包装/询价

产品编号 bs-23758R
英文名称 ST2 Rabbit pAb
中文名称 白细胞介素1受体相关蛋白抗体
别    名 DER-4; DER4; FIT 1; Growth stimulation expressed gene 2; homolog of mouse growth stimulation-expressed; Il1rl1; IL33R; ILRL1_HUMAN; Interleukin 1 receptor like 1; interleukin 1 receptor related protein; Interleukin-1 receptor-like 1; Ly84; Lymphocyte antigen 84; Protein ST2; ST2; ST2L; ST2V; Ste2; Suppressor of tumorigenicity 2; T1; T1 protein.  生长刺激表达基因2
Specific References  (1)     |     bs-23758R has been referenced in 1 publications.
[IF=3.263] Li L et al. Sacubitril/valsartan attenuates atrial electrical and structural remodelling in a rabbit model of atrial fibrillation. Eur J Pharmacol . 2020 Aug 15;881:173120.  IHC,WB ;  rabbit.  
研究领域 心血管  细胞生物  免疫学  
抗体来源 Rabbit
克隆类型 Polyclonal
克 隆 号
交叉反应 Human,Mouse
产品应用 WB=1:500-2000,IHC-P=1:100-500,IHC-F=1:100-500,IF=1:100-500
not yet tested in other applications.
optimal dilutions/concentrations should be determined by the end user.
理论分子量 61 kDa
检测分子量
细胞定位 细胞膜 分泌型蛋白 
性    状 Liquid
浓    度 1mg/ml
免 疫 原 KLH conjugated synthetic peptide derived from human ST2 (isoform A,B,C): 1-100/556 
亚    型 IgG
纯化方法 affinity purified by Protein A
缓 冲 液 0.01M TBS (pH7.4) with 1% BSA, 0.02% Proclin300 and 50% Glycerol.
保存条件 Shipped at 4℃. Store at -20℃ for one year. Avoid repeated freeze/thaw cycles.
注意事项 This product as supplied is intended for research use only, not for use in human, therapeutic or diagnostic applications.
PubMed PubMed
产品介绍 ST2 is a member of a superfamily containing the Interleukin 1 (IL1) receptor and the Toll-like receptors (TLRs). The TLRs are signaling molecules that recognize different microbial products during infection and serve as an important link between the innate and adaptive immune responses. ST2 was originally identified as a protein whose production was stimulated by various proliferation-inducing agents such as PDGF and FGF. More recently, it has been shown to negatively regulate IL1 receptor and Toll-like receptor 4 (TLR4) signaling and to maintain endotoxin tolerance. It has been suggested that the inhibition of TLR4 signaling occurs through the association and sequestering of TLR adaptor molecules such as MyD88 and TIRAP.

Function:
Receptor for interleukin-33 (IL-33), its stimulation recruits MYD88, IRAK1, IRAK4, and TRAF6, followed by phosphorylation of MAPK3/ERK1 and/or MAPK1/ERK2, MAPK14, and MAPK8. Possibly involved in helper T-cell function.

Subunit:
Interacts with MYD88, IRAK1, IRAK4, and TRAF6.

Subcellular Location:
Isoform C: Cell membrane.
Isoform B: Secreted.
Cell membrane; Single-pass type I membrane protein.

Tissue Specificity:
Highly expressed in kidney, lung, placenta, stomach, skeletal muscle, colon and small intestine. Isoform A is prevalently expressed in the lung, testis, placenta, stomach and colon. Isoform B is more abundant in the brain, kidney and the liver. Isoform C is not detected in brain, heart, liver, kidney and skeletal muscle.

Similarity:
Belongs to the interleukin-1 receptor family.
Contains 3 Ig-like C2-type (immunoglobulin-like) domains.
Contains 1 TIR domain.

SWISS:
Q01638

Gene ID:
9173

Database links:

Entrez Gene: 9173 Human

Entrez Gene: 17082 Mouse

Omim: 601203 Human

SwissProt: Q01638 Human

SwissProt: P14719 Mouse

Unigene: 66 Human

Unigene: 289824 Mouse



产品图片
Sample: 293T(Human) Cell Lysate at 30 ug A549(Human) Cell Lysate at 30 ug A673(Human) Cell Lysate at 30 ug MKN45(Human) Cell Lysate at 30 ug Primary: Anti-ST2   (bs-23758R) at 1/1000 dilution Secondary: IRDye800CW Goat Anti-Rabbit IgG at 1/20000 dilution Predicted band size: 61 kD Observed band size: 61 kD
Sample: Kidney (Mouse) Lysate at 40 ug Primary: Anti- ST2 (bs-23758R) at 1/1000 dilution Secondary: IRDye800CW Goat Anti-Rabbit IgG at 1/20000 dilution Predicted band size: 61 kD Observed band size: 61 kD
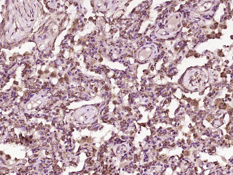
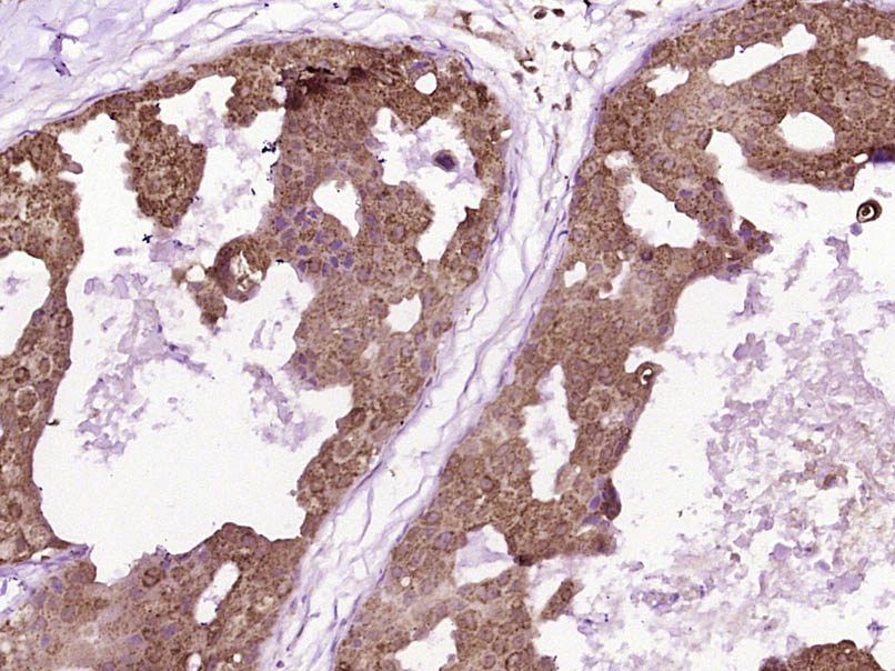
Paraformaldehyde-fixed, paraffin embedded (Human breast carcinoma); Antigen retrieval by boiling in sodium citrate buffer (pH6.0) for 15min; Block endogenous peroxidase by 3% hydrogen peroxide for 20 minutes; Blocking buffer (normal goat serum) at 37°C for 30min; Antibody incubation with (ST2) Polyclonal Antibody, Unconjugated (bs-23758R) at 1:400 overnight at 4°C, followed by operating according to SP Kit(Rabbit) (sp-0023) instructionsand DAB staining.
Paraformaldehyde-fixed, paraffin embedded (Human lung carcinoma); Antigen retrieval by boiling in sodium citrate buffer (pH6.0) for 15min; Block endogenous peroxidase by 3% hydrogen peroxide for 20 minutes; Blocking buffer (normal goat serum) at 37°C for 30min; Antibody incubation with (ST2) Polyclonal Antibody, Unconjugated (bs-23758R) at 1:400 overnight at 4°C, followed by operating according to SP Kit(Rabbit) (sp-0023) instructionsand DAB staining.
版权所有 2004-2026 www.bioss.com.cn 北京博奥森生物技术有限公司
通过国际质量管理体系ISO 9001:2015 GB/T 19001-2016    证书编号: 00124Q34771R2M/1100
通过国际医疗器械-质量管理体系ISO 13485:2016 GB/T 42061-2022     证书编号: CQC24QY20047R0M/1100
京ICP备05066980号-1         京公网安备110107000727号