扫码关注公众号           扫码咨询技术支持           扫码咨询技术服务
  
客服热线:400-901-9800  客服QQ:4009019800  技术答疑  技术支持  质量反馈  关于我们  联系我们
产品中心-北京博奥森生物技术有限公司
首页 > 产品中心 > 一抗 > 产品信息
MDM2 Rabbit pAb (bs-23748R)  
订购热线:400-901-9800
订购邮箱:sales@bioss.com.cn
订购QQ:  400-901-9800
技术支持:techsupport@bioss.com.cn
50ul/1180.00元
100ul/1980.00元
200ul/2800.00元
大包装/询价

产品编号 bs-23748R
英文名称 MDM2 Rabbit pAb
中文名称 双微体2癌基因抗体
别    名 Double minute 2 protein; Hdm 2; HDM2; MDM 2; Mdm2 transformed 3T3 cell double minute 2 p53 binding protein(mouse) binding protein 104kDa; MDM2BP; Mouse Double Minute 2; MTBP; Murine Double Minute Chromosome 2; Oncoprotein Mdm2; p53 Binding Protein Mdm2; Ubiquitin protein ligase E3 Mdm2; MDM2_HUMAN; E3 ubiquitin-protein ligase Mdm2.  
Specific References  (2)     |     bs-23748R has been referenced in 2 publications.
[IF=6.575] Qiyu Gan. et al. Prognostic Value and Immune Infiltration of HPV-Related Genes in the Immune Microenvironment of Cervical Squamous Cell Carcinoma and Endocervical Adenocarcinoma. CANCERS. 2023 Jan;15(5):1419  IHC ;  Human.  
[IF=5.111] Yang N et al. SUMO3 modification by PIAS1 modulates androgen receptor cellular distribution and stability. Cell Commun Signal. 2019 Nov 21;17(1):153.  ICF, IP&WB ;  Human.  
研究领域 肿瘤  细胞生物  细胞凋亡  细胞周期蛋白  转录调节因子  表观遗传学  
抗体来源 Rabbit
克隆类型 Polyclonal
克 隆 号
交叉反应 Human,Mouse (predicted: Rat,Pig,Dog)
产品应用 IHC-P=1:100-500,IHC-F=1:100-500,IF=1:100-500
not yet tested in other applications.
optimal dilutions/concentrations should be determined by the end user.
理论分子量 55 kDa
检测分子量
细胞定位 细胞核 细胞浆 
性    状 Liquid
浓    度 1mg/ml
免 疫 原 KLH conjugated synthetic peptide derived from human MDM2 : 401-490/490 
亚    型 IgG
纯化方法 affinity purified by Protein A
缓 冲 液 0.01M TBS (pH7.4) with 1% BSA, 0.02% Proclin300 and 50% Glycerol.
保存条件 Shipped at 4℃. Store at -20℃ for one year. Avoid repeated freeze/thaw cycles.
注意事项 This product as supplied is intended for research use only, not for use in human, therapeutic or diagnostic applications.
PubMed PubMed
产品介绍 Inhibits TP53/p53- and TP73/p73-mediated cell cyclearrest and apoptosis by binding its transcriptional activation domain. Functions as a ubiquitin ligase E3, in the presence of E1 and E2, toward p53 and itself. Permits the nuclear export of p53 and targets it for proteasome-mediated proteolysis. Binds p53, p73, ARF(P14), ribosomal protein L5 and specifically to RNA. Can interact also with retinoblastoma protein(RB), E1A-associated protein EP300 and the E2F1 transcription factor. Forms a ternary complex with TP53/p53 and WWOX. Interacts with CDKN2AIP, MTBP, TRBG1 and USP7. Isoform Mdm2-F does not interact with TP53/p53. Interacts with PYHIN1. Interacts with, and ubiquitinates HIV-1 Tat. Belongs to the MDM2/MDM4 family.

Function:
E3 ubiquitin-protein ligase that mediates ubiquitination of p53/TP53, leading to its degradation by the proteasome. Inhibits p53/TP53- and p73/TP73-mediated cell cycle arrest and apoptosis by binding its transcriptional activation domain. Also acts as an ubiquitin ligase E3 toward itself and ARRB1. Permits the nuclear export of p53/TP53. Promotes proteasome-dependent ubiquitin-independent degradation of retinoblastoma RB1 protein. Inhibits DAXX-mediated apoptosis by inducing its ubiquitination and degradation. Component of the TRIM28/KAP1-MDM2-p53/TP53 complex involved in stabilizing p53/TP53. Also component of the TRIM28/KAP1-ERBB4-MDM2 complex which links growth factor and DNA damage response pathways.

Subcellular Location:
Nucleus, nucleoplasm. Cytoplasm. Nucleus, nucleolus. Expressed predominantly in the nucleoplasm. Interaction with ARF(P14) results in the localization of both proteins to the nucleolus. The nucleolar localization signals in both ARF(P14) and MDM2 may be necessary to allow efficient nucleolar localization of both proteins. Colocalizes with RASSF1 isoform A in the nucleus.

Tissue Specificity:
Ubiquitous. Isoform Mdm2-A, isoform Mdm2-B, isoform Mdm2-C, isoform Mdm2-D, isoform Mdm2-E, isoform Mdm2-F and isoform Mdm2-G are observed in a range of cancers but absent in normal tissues.

Post-translational modifications:
Phosphorylated in response to ionizing radiation in an ATM-dependent manner.
Auto-ubiquitinated; which leads to proteasomal degradation. Deubiquitinated by USP2 leads to its accumulation and increases deubiquitinilation and degradation of p53/TP53. Deubiquitinated by USP7; leading to stabilize it.

DISEASE:
Note=Seems to be amplified in certain tumors (including soft tissue sarcomas, osteosarcomas and gliomas). A higher frequency of splice variants lacking p53 binding domain sequences was found in late-stage and high-grade ovarian and bladder carcinomas. Four of the splice variants show loss of p53 binding.

Similarity:
Belongs to the MDM2/MDM4 family.
Contains 1 RanBP2-type zinc finger.
Contains 1 RING-type zinc finger.

SWISS:
Q00987

Gene ID:
4193

Database links:

Entrez Gene: 4193 Human

Entrez Gene: 17246 Mouse

Entrez Gene: 314856 Rat

Omim: 164785 Human

SwissProt: Q00987 Human

SwissProt: P23804 Mouse

Unigene: 484551 Human

Unigene: 22670 Mouse

Unigene: 447669 Mouse

Unigene: 91829 Rat



Mdm2基因在肿瘤发生、发展的过程中起着重要作用,Mdm2蛋白过度表达与p53基因突变有重要的关联性。Mdm2基因在肿瘤发生、发展的过程中起着重要作用。MDM2广泛分布于人体正常组织中,可与p53蛋白相互作用。活化的p53导致MDM2表达,而MDM2的表达又可抑制野生型p53的转录激活作用。MDM2通常在软组织肉瘤中有过表达现象,而在膀胱癌、乳腺癌、宫颈癌、胶质细胞瘤中也有一定程度的表达,并可能与肿瘤细胞的耐药有关。
产品图片
Paraformaldehyde-fixed, paraffin embedded (mouse brain tissue); Antigen retrieval by boiling in sodium citrate buffer (pH6.0) for 15min; Block endogenous peroxidase by 3% hydrogen peroxide for 20 minutes; Blocking buffer (normal goat serum) at 37°C for 30min; Antibody incubation with (MDM2) Polyclonal Antibody, Unconjugated (bs-23748R) at 1:400 overnight at 4°C, followed by operating according to SP Kit(Rabbit) (sp-0023) instructionsand DAB staining.
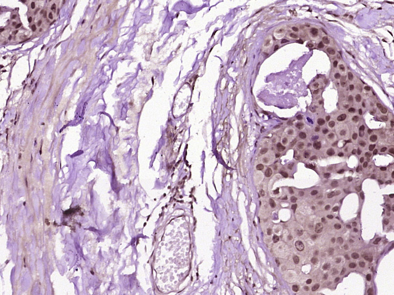
Paraformaldehyde-fixed, paraffin embedded (Human breast carcinoma); Antigen retrieval by boiling in sodium citrate buffer (pH6.0) for 15min; Block endogenous peroxidase by 3% hydrogen peroxide for 20 minutes; Blocking buffer (normal goat serum) at 37°C for 30min; Antibody incubation with (MDM2) Polyclonal Antibody, Unconjugated (bs-23748R) at 1:400 overnight at 4°C, followed by operating according to SP Kit(Rabbit) (sp-0023) instructionsand DAB staining.
Paraformaldehyde-fixed, paraffin embedded (Mouse brain); Antigen retrieval by boiling in sodium citrate buffer (pH6.0) for 15min; Block endogenous peroxidase by 3% hydrogen peroxide for 20 minutes; Blocking buffer (normal goat serum) at 37°C for 30min; Antibody incubation with (MDM2) Polyclonal Antibody, Unconjugated (bs-23748R) at 1:400 overnight at 4°C, followed by operating according to SP Kit(Rabbit) (sp-0023) instructionsand DAB staining.
Paraformaldehyde-fixed, paraffin embedded (Human brain glioma); Antigen retrieval by boiling in sodium citrate buffer (pH6.0) for 15min; Block endogenous peroxidase by 3% hydrogen peroxide for 20 minutes; Blocking buffer (normal goat serum) at 37°C for 30min; Antibody incubation with (MDM2) Polyclonal Antibody, Unconjugated (bs-23748R) at 1:400 overnight at 4°C, followed by operating according to SP Kit(Rabbit) (sp-0023) instructionsand DAB staining.
版权所有 2004-2026 www.bioss.com.cn 北京博奥森生物技术有限公司
通过国际质量管理体系ISO 9001:2015 GB/T 19001-2016    证书编号: 00124Q34771R2M/1100
通过国际医疗器械-质量管理体系ISO 13485:2016 GB/T 42061-2022     证书编号: CQC24QY20047R0M/1100
京ICP备05066980号-1         京公网安备110107000727号