扫码关注公众号           扫码咨询技术支持           扫码咨询技术服务
  
客服热线:400-901-9800  客服QQ:4009019800  技术答疑  技术支持  质量反馈  关于我们  联系我们
产品中心-北京博奥森生物技术有限公司
首页 > 产品中心 > 一抗 > 产品信息
MUC5B Rabbit pAb (bs-23915R)  
订购热线:400-901-9800
订购邮箱:sales@bioss.com.cn
订购QQ:  400-901-9800
技术支持:techsupport@bioss.com.cn
50ul/1180.00元
100ul/1980.00元
200ul/2800.00元
大包装/询价

产品编号 bs-23915R
英文名称 MUC5B Rabbit pAb
中文名称 粘蛋白-5B抗体
别    名 High molecular weight salivary mucin MG1; MUC5; Mucin 5 subtype B, tracheobronchial; Mucin 5B; Sublingual gland mucin; 2300002I04Rik; A130042M24; AV085033; Cervical mucin; Cervical mucin MUC5B; High molecular weight salivary mucin MG1; MUC-5B; MUC5B; MUC5B_HUMAN; MUC9; Mucin 5 subtype B, tracheobronchial; Mucin 5B; Mucin 5B oligomeric mucus/gel forming; Mucin-5 subtype B; Mucin-5B; Sublingual gland mucin; tracheobronchial.  
Specific References  (2)     |     bs-23915R has been referenced in 2 publications.
[IF=7.901] Zeng Z et al. Stimuli-Responsive Self-assembled Dendrimers for Oral Protein Delivery. J Control Release. 2019 Oct 28;315:206-213.  ICF ;  Human.  
[IF=7.727] Xue Wang. et al. Engineered liposomes targeting the gut–CNS Axis for comprehensive therapy of spinal cord injury. J Control Release. 2021 Mar;331:390  IF ;  Human.  
研究领域 细胞生物  信号转导  细胞骨架  
抗体来源 Rabbit
克隆类型 Polyclonal
克 隆 号
交叉反应 Rat (predicted: Human,Mouse)
产品应用 IHC-P=1:100-500,IHC-F=1:100-500,IF=1:100-500
not yet tested in other applications.
optimal dilutions/concentrations should be determined by the end user.
理论分子量 630 kDa
检测分子量
细胞定位 分泌型蛋白 
性    状 Liquid
浓    度 1mg/1ml
免 疫 原 KLH conjugated synthetic peptide derived from human MUC5B: 1151-1250/5763 
亚    型 IgG
纯化方法 affinity purified by Protein A
缓 冲 液 0.01M TBS (pH7.4) with 1% BSA, 0.02% Proclin300 and 50% Glycerol.
保存条件 Shipped at 4℃. Store at -20℃ for one year. Avoid repeated freeze/thaw cycles.
注意事项 This product as supplied is intended for research use only, not for use in human, therapeutic or diagnostic applications.
PubMed PubMed
产品介绍 Tumor Markers
Mucins are high molecular mass, highly glycosylated macromolecules that are the major components of mucus secretions. MUC5B is a salivary mucin that is thought to contribute to the lubricating and viscoelastic properties of whole saliva. It is composed of 14.9% protein, 78.1% carbohydrate, and 7% sulfate (Troxler et al., 1995 [PubMed 8554565]).[supplied by OMIM]

Function:
Gel-forming mucin that is thought to contribute to the lubricating and viscoelastic properties of whole saliva and cervical mucus.

Subcellular Location:
Secreted.

Tissue Specificity:
Expressed on surface airway epithelia. Expressed mainly in mucous cells of submucosal glands of airway tissues. Highly expressed in the sublingual gland. Also found in submaxillary glands, endocervix, gall bladder, and pancreas.

Post-translational modifications:
Highly glycosylated. C-, N- and O-glycosylated. C-mannosylated in the Cys-rich subdomains probably on the first Trp residue of the WXXW motif. Highly O-glycosylated in the Ser/Thr-rich tandem repeat (TR) region. The repeat region is about 59% O-glycosylated with a high abundance of NeuAc(2)Hex(1)HexNac1-ol.

Similarity:
Contains 1 CTCK (C-terminal cystine knot-like) domain.
Contains 3 HAT repeats.
Contains 3 TIL (trypsin inhibitory-like) domains.
Contains 3 VWFC domains.
Contains 4 VWFD domains.

SWISS:
Q9HC84

Gene ID:
727897

Database links:

Entrez Gene: 727897 Human

Omim: 600770 Human

SwissProt: Q9HC84 Human

Unigene: 523395 Human



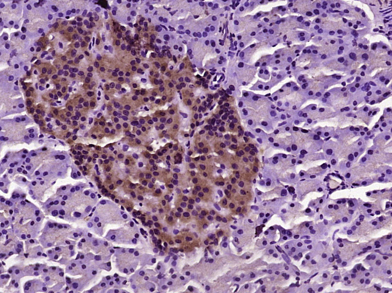
产品图片
Paraformaldehyde-fixed, paraffin embedded (Rat pancreas); Antigen retrieval by boiling in sodium citrate buffer (pH6.0) for 15min; Block endogenous peroxidase by 3% hydrogen peroxide for 20 minutes; Blocking buffer (normal goat serum) at 37°C for 30min; Antibody incubation with (MUC5B) Polyclonal Antibody, Unconjugated (bs-23915R) at 1:400 overnight at 4°C, followed by operating according to SP Kit(Rabbit) (sp-0023) instructionsand DAB staining.
版权所有 2004-2026 www.bioss.com.cn 北京博奥森生物技术有限公司
通过国际质量管理体系ISO 9001:2015 GB/T 19001-2016    证书编号: 00124Q34771R2M/1100
通过国际医疗器械-质量管理体系ISO 13485:2016 GB/T 42061-2022     证书编号: CQC24QY20047R0M/1100
京ICP备05066980号-1         京公网安备110107000727号