扫码关注公众号           扫码咨询技术支持           扫码咨询技术服务
  
客服热线:400-901-9800  客服QQ:4009019800  技术答疑  技术支持  质量反馈  关于我们  联系我们
产品中心-北京博奥森生物技术有限公司
首页 > 产品中心 > 一抗 > 产品信息
CK10/Cytokeratin 10 Recombinant Rabbit mAb (bsm-52052R)  
订购热线:400-901-9800
订购邮箱:sales@bioss.com.cn
订购QQ:  400-901-9800
技术支持:techsupport@bioss.com.cn
50ul/1400.00元
100ul/2500.00元
大包装/询价

产品编号 bsm-52052R
英文名称 CK10/Cytokeratin 10 Recombinant Rabbit mAb
中文名称 细胞角蛋白10重组兔单抗
别    名 type I cytoskeletal 10; BCIE; BIE; CK 10; CK-10; ck10; Cytokeratin 10; Cytokeratin-10; Cytokeratin10; EHK; k10; K1C10_HUMAN; Keratin 10; Keratin; Keratin type i cytoskeletal 10; Keratin type I cytoskeletal 59 kDa; Keratin-10; Keratin10; kpp; Krt 10; KRT10; krt10; Keratin, type I cytoskeletal 10.  
研究领域 信号转导  细胞骨架  细胞外基质  
抗体来源 Rabbit
克隆类型 Recombinant
克 隆 号 1D8
交叉反应 Human,Mouse,Rat
产品应用 WB=1:1000-10000,IHC-P=1:1000-5000,IHC-F=1:1000-5000,IF=1:1000-5000
not yet tested in other applications.
optimal dilutions/concentrations should be determined by the end user.
理论分子量 59 kDa
检测分子量
细胞定位 细胞浆 
性    状 Liquid
浓    度 1mg/ml
免 疫 原 A synthesized peptide derived from human Cytokeratin 10: 550-584 
亚    型 IgG
纯化方法 affinity purified by Protein A
缓 冲 液 0.01M TBS (pH7.4) with 1% BSA, 0.02% Proclin300 and 50% Glycerol.
保存条件 Shipped at 4℃. Store at -20℃ for one year. Avoid repeated freeze/thaw cycles.
注意事项 This product as supplied is intended for research use only, not for use in human, therapeutic or diagnostic applications.
PubMed PubMed
产品介绍 Cytokeratins comprise a diverse group of intermediate filament proteins (IFPs) that are expressed as pairs in both keratinized and non-keratinized epithelial tissue. Cytokeratins play a critical role in differentiation and tissue specialization and function to maintain the overall structural integrity of epithelial cells. Cytokeratins have been found to be useful markers of tissue differentiation which is directly applicable to the characterization of malignant tumors. Cytokeratins 10 and 13 are present in the cytoskeletal region of a subset of squamous cell carcinomas. Cytokeratin 10 is a heterotetramer of two type I and two type II keratins, is generally associated with keratin 1, and is seen in all suprabasal cell layers including stratum corneum.

Subunit:
Belongs to the intermediate filament family.

Subcellular Location:
Cytoplasm.

Tissue Specificity:
Seen in all suprabasal cell layers including stratum corneum.

DISEASE:
Defects in KRT10 are a cause of bullous congenital ichthyosiform erythroderma (BCIE) [MIM:113800]; also known as epidermolytic hyperkeratosis (EHK) or bullous erythroderma ichthyosiformis congenita of Brocq. BCIE is an autosomal dominant skin disorder characterized by widespread blistering and an ichthyotic erythroderma at birth that persist into adulthood. Histologically there is a diffuse epidermolytic degeneration in the lower spinous layer of the epidermis. Within a few weeks from birth, erythroderma and blister formation diminish and hyperkeratoses develop.
Defects in KRT10 are a cause of ichthyosis annular epidermolytic (AEI) [MIM:607602]; also known as cyclic ichthyosis with epidermolytic hyperkeratosis. AEI is a skin disorder resembling bullous congenital ichthyosiform erythroderma. Affected individuals present with bullous ichthyosis in early childhood and hyperkeratotic lichenified plaques in the flexural areas and extensor surfaces at later ages. The feature that distinguishes AEI from BCIE is dramatic episodes of flares of annular polycyclic plaques with scale, which coalesce to involve most of the body surface and can persist for several weeks or even months.

Similarity:
Belongs to the intermediate filament family.

SWISS:
P13645

Gene ID:
3858

Database links:

Entrez Gene: 3858 Human

Entrez Gene: 16661 Mouse

Omim: 148080 Human

SwissProt: P13645 Human

SwissProt: P02535 Mouse

Unigene: 99936 Human

Unigene: 22662 Mouse



产品图片
25 ug total protein per lane of various lysates (see on figure) probed with CK10/Cytokeratin 10 monoclonal antibody, unconjugated (bsm-52052R) at 1:1000 dilution and 4°C overnight incubation. Followed by conjugated secondary antibody incubation at r.t. for 60 min.
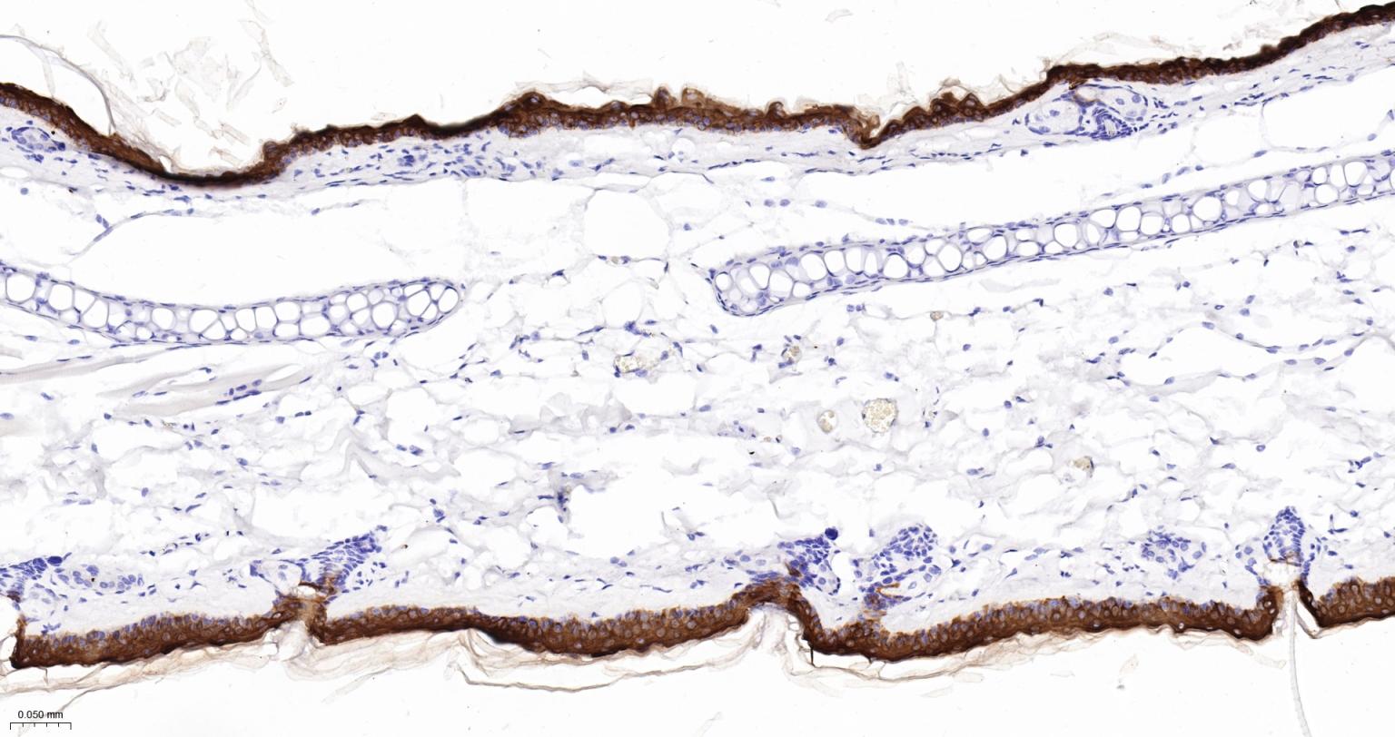
Paraformaldehyde-fixed, paraffin embedded Human Skin; Antigen retrieval by boiling in sodium citrate buffer (pH6.0) for 15 min; Antibody incubation with CK10/Cytokeratin 10 Monoclonal Antibody, Unconjugated(bsm-52052R) at 1:1000 overnight at 4°C, followed by conjugation to the bs-0295G-HRP and DAB (C-0010) staining.
Paraformaldehyde-fixed, paraffin embedded Rat Skin; Antigen retrieval by boiling in sodium citrate buffer (pH6.0) for 15 min; Antibody incubation with CK10/Cytokeratin 10 Monoclonal Antibody, Unconjugated(bsm-52052R) at 1:1000 overnight at 4°C, followed by conjugation to the bs-0295G-HRP and DAB (C-0010) staining.
Paraformaldehyde-fixed, paraffin embedded Mouse Skin; Antigen retrieval by boiling in sodium citrate buffer (pH6.0) for 15 min; Antibody incubation with CK10/Cytokeratin 10 Monoclonal Antibody, Unconjugated(bsm-52052R) at 1:1000 overnight at 4°C, followed by conjugation to the bs-0295G-HRP and DAB (C-0010) staining.
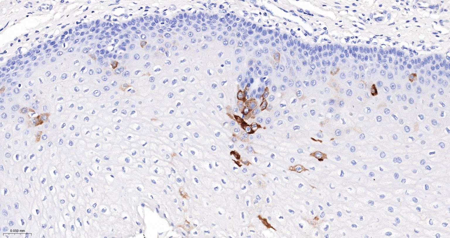
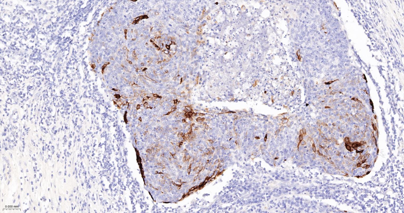
Paraformaldehyde-fixed, paraffin embedded Human Esophagus; Antigen retrieval by boiling in sodium citrate buffer (pH6.0) for 15 min; Antibody incubation with CK10/Cytokeratin 10 Monoclonal Antibody, Unconjugated(bsm-52052R) at 1:1000 overnight at 4°C, followed by conjugation to the bs-0295G-HRP and DAB (C-0010) staining.
Paraformaldehyde-fixed, paraffin embedded Human Tonsil; Antigen retrieval by boiling in sodium citrate buffer (pH6.0) for 15 min; Antibody incubation with CK10/Cytokeratin 10 Monoclonal Antibody, Unconjugated(bsm-52052R) at 1:1000 overnight at 4°C, followed by conjugation to the bs-0295G-HRP and DAB (C-0010) staining.
Paraformaldehyde-fixed, paraffin embedded Human Skin Cancer; Antigen retrieval by boiling in sodium citrate buffer (pH6.0) for 15 min; Antibody incubation with CK10/Cytokeratin 10 Monoclonal Antibody, Unconjugated(bsm-52052R) at 1:1000 overnight at 4°C, followed by conjugation to the bs-0295G-HRP and DAB (C-0010) staining.
Paraformaldehyde-fixed, paraffin embedded Mouse Skin; Antigen retrieval by boiling in sodium citrate buffer (pH6.0) for 15 min; Antibody incubation with CK10/Cytokeratin 10 Monoclonal Antibody, Unconjugated (bsm-52052R) at 1:200 overnight at 4°C. Followed by conjugated Goat Anti-Rabbit IgG antibody (green, bs-0295G-BF488), DAPI (blue, C02-04002) was used to stain the cell nuclei.
Paraformaldehyde-fixed, paraffin embedded Human Skin; Antigen retrieval by boiling in sodium citrate buffer (pH6.0) for 15 min; Antibody incubation with CK10/Cytokeratin 10 Monoclonal Antibody, Unconjugated (bsm-52052R) at 1:200 overnight at 4°C. Followed by conjugated Goat Anti-Rabbit IgG antibody (green, bs-0295G-BF488), DAPI (blue, C02-04002) was used to stain the cell nuclei.
Paraformaldehyde-fixed, paraffin embedded Rat Skin; Antigen retrieval by boiling in sodium citrate buffer (pH6.0) for 15 min; Antibody incubation with CK10/Cytokeratin 10 Monoclonal Antibody, Unconjugated (bsm-52052R) at 1:200 overnight at 4°C. Followed by conjugated Goat Anti-Rabbit IgG antibody (green, bs-0295G-BF488), DAPI (blue, C02-04002) was used to stain the cell nuclei.
版权所有 2004-2026 www.bioss.com.cn 北京博奥森生物技术有限公司
通过国际质量管理体系ISO 9001:2015 GB/T 19001-2016    证书编号: 00124Q34771R2M/1100
通过国际医疗器械-质量管理体系ISO 13485:2016 GB/T 42061-2022     证书编号: CQC24QY20047R0M/1100
京ICP备05066980号-1         京公网安备110107000727号