扫码关注公众号           扫码咨询技术支持           扫码咨询技术服务
  
客服热线:400-901-9800  客服QQ:4009019800  技术答疑  技术支持  质量反馈  关于我们  联系我们
产品中心-北京博奥森生物技术有限公司
首页 > 产品中心 > 一抗 > 产品信息
RSPO1 Rabbit pAb (bs-21386R)  
订购热线:400-901-9800
订购邮箱:sales@bioss.com.cn
订购QQ:  400-901-9800
技术支持:techsupport@bioss.com.cn
50ul/1180.00元
100ul/1980.00元
200ul/2800.00元
大包装/询价

产品编号 bs-21386R
英文名称 RSPO1 Rabbit pAb
中文名称 分泌性蛋白RSPO1抗体
别    名 R-spondin-1; R spondin1; CR spondin 1; RISTIN3; FLJ40906; hRspo1; R spondin homolog(Xenopus laevis); R spondin homolog; Roof plate specific spondin; Roof plate-specific spondin-1; RP11-566C13.1; RSPO; RSPO1_HUMAN.  
研究领域 发育生物学  信号转导  干细胞  
抗体来源 Rabbit
克隆类型 Polyclonal
克 隆 号
交叉反应 Rat (predicted: Human,Rabbit,Pig,Dog)
产品应用 IHC-P=1:100-500,IHC-F=1:100-500,IF=1:100-500
not yet tested in other applications.
optimal dilutions/concentrations should be determined by the end user.
理论分子量 27 kDa
检测分子量
细胞定位 分泌型蛋白 
性    状 Liquid
浓    度 1mg/ml
免 疫 原 KLH conjugated synthetic peptide derived from human RSPO1 : 21-120/263 
亚    型 IgG
纯化方法 affinity purified by Protein A
缓 冲 液 0.01M TBS (pH7.4) with 1% BSA, 0.02% Proclin300 and 50% Glycerol.
保存条件 Shipped at 4℃. Store at -20℃ for one year. Avoid repeated freeze/thaw cycles.
注意事项 This product as supplied is intended for research use only, not for use in human, therapeutic or diagnostic applications.
PubMed PubMed
产品介绍 RSPO1 is a member of the R-spondin family and encodes a secreted activator protein with two cystein-rich, furin-like domains and one thrombospondin type 1 domain. In mice, the protein induces the rapid onset of crypt cell proliferation and increases intestinal epithelial healing, providing a protective effect against chemotherapy-induced adverse effects.

Function:
Activator of the beta-catenin signaling cascade, leading to TCF-dependent gene activation. Acts both in the canonical Wnt/beta-catenin-dependent pathway, possibly via a direct interaction with Wnt proteins, and in a Wnt-independent beta catenin pathway through a receptor signaling pathway that may not use frizzled/LRP receptors. Acts as a ligand for frizzled FZD8 and LRP6. May negatively regulate the TGF-beta pathway. Has a essential roles in ovary determination.

Subunit:
Interacts with the extracellular domain of FZD8 and LRP6. It however does not form a ternary complex with FZD8 and LRP6. Interacts with WNT1. Binds heparin (By similarity).

Subcellular Location:
Secreted.

Tissue Specificity:
Abundantly expressed in adrenal glands, ovary, testis, thyroid and trachea but not in bone marrow, spinal cord, stomach, leukocytes colon, small intestine, prostate, thymus and spleen.

DISEASE:
Defects in RSPO1 are the cause of palmoplantar keratoderma with squamous cell carcinoma of skin and sex reversal (PKKSCC) [MIM:610644]. This recessive syndrome is characterized by XX (female to male) SRY-independent sex reversal, palmoplantar hyperkeratosis and predisposition to squamous cell carcinoma of the skin.

Similarity:
Belongs to the R-spondin family.
Contains 2 FU (furin-like) repeats.
Contains 1 TSP type-1 domain.

SWISS:
Q2MKA7

Gene ID:
284654

Database links:

Entrez Gene: 284654 Human

Entrez Gene: 192199 Mouse

Entrez Gene: 313589 Rat

Omim: 609595 Human

SwissProt: Q2MKA7 Human

SwissProt: Q9Z132 Mouse

Unigene: 135015 Human

Unigene: 42202 Mouse



R-spondin(Rspo)是近年来新发现的蛋白家族,包括4个成员(Rspo1~4)。Rspo蛋白家族所有成员均为分泌性蛋白,均有两个富含半胱氨酸的furin-like结构域、1个TSP1结构域和富含碱性氨基酸的C端区域。Rspos通过激活并协同Wnt/β-catenin信号通路参与对细胞增殖和分化的调控,影响骨骼、肌肉、血管等组织的发育以及肢体和性腺的形成,并在多种疾病的发生过程中起重要作用。
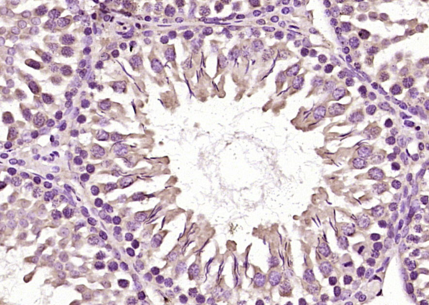
产品图片
Paraformaldehyde-fixed, paraffin embedded (rat testis tissue); Antigen retrieval by boiling in sodium citrate buffer (pH6.0) for 15min; Block endogenous peroxidase by 3% hydrogen peroxide for 20 minutes; Blocking buffer (normal goat serum) at 37°C for 30min; Antibody incubation with (RSPO1) Polyclonal Antibody, Unconjugated (bs-21386R) at 1:200 overnight at 4°C, followed by operating according to SP Kit(Rabbit) (sp-0023) instructionsand DAB staining.
版权所有 2004-2026 www.bioss.com.cn 北京博奥森生物技术有限公司
通过国际质量管理体系ISO 9001:2015 GB/T 19001-2016    证书编号: 00124Q34771R2M/1100
通过国际医疗器械-质量管理体系ISO 13485:2016 GB/T 42061-2022     证书编号: CQC24QY20047R0M/1100
京ICP备05066980号-1         京公网安备110107000727号