扫码关注公众号           扫码咨询技术支持           扫码咨询技术服务
  
客服热线:400-901-9800  客服QQ:4009019800  技术答疑  技术支持  质量反馈  人才招聘  关于我们  联系我们
产品中心-北京博奥森生物技术有限公司
首页 > 产品中心 > 一抗 > 产品信息
Artemin Rabbit pAb (bs-22202R)  
订购热线:400-901-9800
订购邮箱:sales@bioss.com.cn
订购QQ:  400-901-9800
技术支持:techsupport@bioss.com.cn
50ul/1180.00元
100ul/1980.00元
200ul/2800.00元
大包装/询价

产品编号 bs-22202R
英文名称 Artemin Rabbit pAb
中文名称 Artemin抗体
别    名 ART; ENOVIN; EVN; NBN; neublastin; ARTN_HUMAN; ARTN; ARTN_MOUSE; ARTN_RAT;   
研究领域 发育生物学  神经生物学  
抗体来源 Rabbit
克隆类型 Polyclonal
克 隆 号
交叉反应 Rat (predicted: Human,Mouse,Rabbit,Pig,Chicken)
产品应用 IHC-P=1:100-500,IHC-F=1:100-500,IF=1:100-500
not yet tested in other applications.
optimal dilutions/concentrations should be determined by the end user.
理论分子量 12/19 kDa
细胞定位 分泌型蛋白 
性    状 Liquid
浓    度 1mg/ml
免 疫 原 KLH conjugated synthetic peptide derived from human Artemin: 141-220/220 
亚    型 IgG
纯化方法 affinity purified by Protein A
缓 冲 液 0.01M TBS (pH7.4) with 1% BSA, 0.02% Proclin300 and 50% Glycerol.
保存条件 Shipped at 4℃. Store at -20℃ for one year. Avoid repeated freeze/thaw cycles.
注意事项 This product as supplied is intended for research use only, not for use in human, therapeutic or diagnostic applications.
PubMed PubMed
产品介绍 This gene encodes a secreted ligand of the glial cell line-derived neurotrophic factor (GDNF) subfamily and TGF-beta (transforming growth factor-beta) superfamily of proteins. Ligands of this family bind various TGF-beta receptors leading to recruitment and activation of SMAD family transcription factors that regulate gene expression. The encoded preproprotein is proteolytically processed to generate each subunit of the disulfide-linked homodimer. This protein signals through the RET receptor and GFR alpha 3 coreceptor, and supports the survival of a number of peripheral neuron populations and at least one population of dopaminergic CNS neurons. This protein has also been shown to promote tumor growth, metastasis, and drug resistance in mammary carcinoma. [provided by RefSeq, Aug 2016]

Function:
Ligand for the GFR-alpha-3-RET receptor complex but can also activate the GFR-alpha-1-RET receptor complex. Supports the survival of sensory and sympathetic peripheral neurons in culture and also supports the survival of dopaminergic neurons of the ventral mid-brain. Strong attractant of gut hematopoietic cells thus promoting the formation Peyer's patch-like structures, a major component of the gut-associated lymphoid tissue (By similarity). Subunit : Homodimer; disulfide-linked. Binds to RET.

Subcellular Location:
Secreted.

Tissue Specificity:
Cochlea. Expressed at higher level in sesorineural epithelium than in the modiolus region or substantia nigra.

Similarity:
Belongs to the TGF-beta family. GDNF subfamily.

SWISS:
Q5T4W7

Gene ID:
9048

Database links:
Entrez Gene: 9048 Human

Entrez Gene: 11876 Mouse

Entrez Gene: 362572 Rat

Omim: 603886 Human

SwissProt: Q5T4W7 Human

SwissProt: Q9Z0L2 Mouse

SwissProt: Q6AYE8 Rat

Unigene: 632404 Human

Unigene: 56897 Mouse

Unigene: 154711 Rat



神经生物学相关蛋白(Neurobiology) Artemin 是GDNF 家族的一个新成员,已被证实它是从前的孤儿受体GFRalpha3-RET的配体。 Artemin是感觉和交感神经元培养的一个存活因子,它的表达形式也影响体内的这些神经元。Artemin 还能激活GFRalpha1-RET 复合物并支持培养中脑多巴胺神经元存活
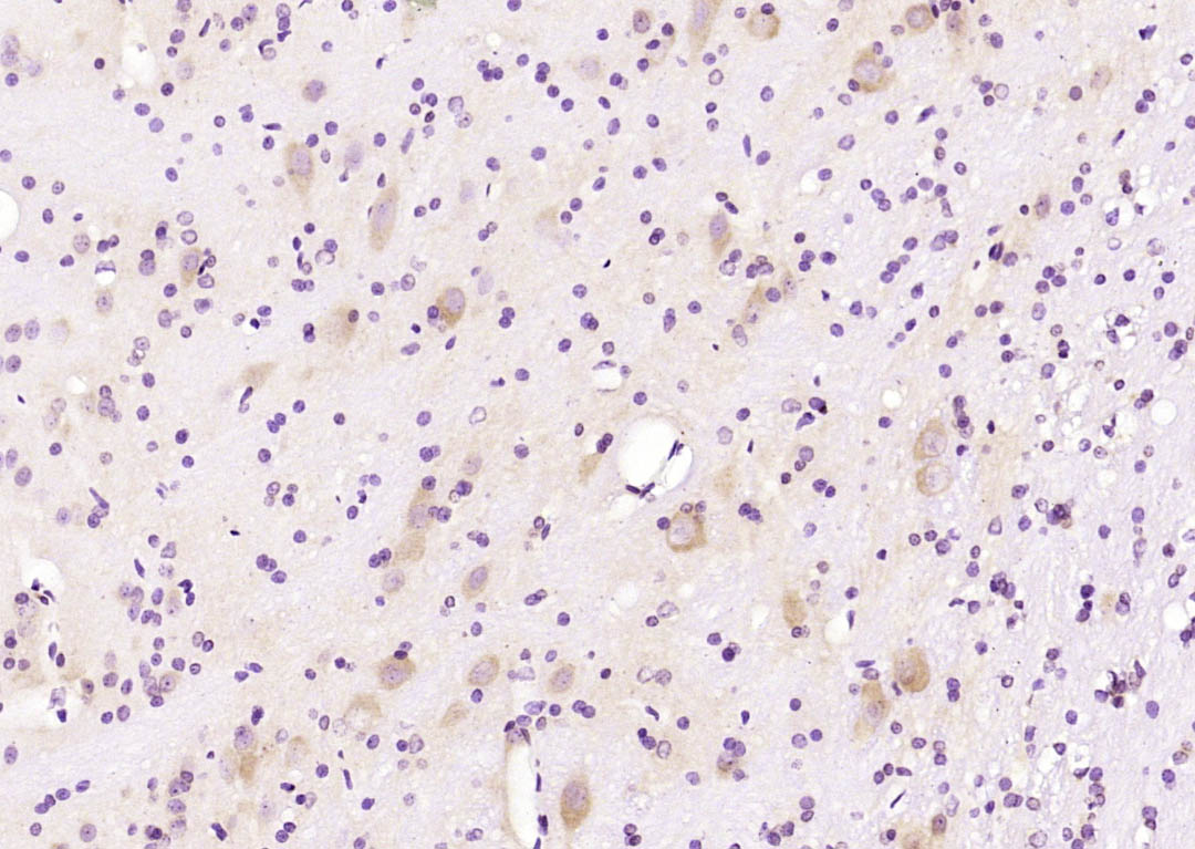
产品图片
Paraformaldehyde-fixed, paraffin embedded (rat brain); Antigen retrieval by boiling in sodium citrate buffer (pH6.0) for 15min; Block endogenous peroxidase by 3% hydrogen peroxide for 20 minutes; Blocking buffer (normal goat serum) at 37°C for 30min; Antibody incubation with (Artemin) Polyclonal Antibody, Unconjugated (bs-22202R) at 1:200 overnight at 4°C, followed by operating according to SP Kit(Rabbit) (sp-0023) instructionsand DAB staining.
版权所有 2004-2026 www.bioss.com.cn 北京博奥森生物技术有限公司
通过国际质量管理体系ISO 9001:2015 GB/T 19001-2016    证书编号: 00124Q34771R2M/1100
通过国际医疗器械-质量管理体系ISO 13485:2016 GB/T 42061-2022     证书编号: CQC24QY20047R0M/1100
京ICP备05066980号-1         京公网安备110107000727号