扫码关注公众号           扫码咨询技术支持           扫码咨询技术服务
  
客服热线:400-901-9800  客服QQ:4009019800  技术答疑  技术支持  质量反馈  关于我们  联系我们
产品中心-北京博奥森生物技术有限公司
首页 > 产品中心 > 一抗 > 产品信息
KRG2/DDX11 Rabbit pAb (bs-22217R)  
订购热线:400-901-9800
订购邮箱:sales@bioss.com.cn
订购QQ:  400-901-9800
技术支持:techsupport@bioss.com.cn
50ul/1180.00元
100ul/1980.00元
200ul/2800.00元
大包装/询价

产品编号 bs-22217R
英文名称 KRG2/DDX11 Rabbit pAb
中文名称 角质细胞生长因子调节蛋白2抗体
别    名 CHL1; CHL1 related helicase gene 1; CHL1-like helicase homolog; CHL1-related protein 1; CHLR1; Ddx11; DDX11_HUMAN; DEAD/H(Asp Glu Ala Asp/His) box polypeptide 11; DEAD/H box protein 11; hCHLR1; Keratinocyte growth factor regulated gene 2 protein; Keratinocyte growth factor-regulated gene 2 protein; KRG 2; KRG-2; KRG2; Probable ATP dependent RNA helicase DDX11; Probable ATP-dependent RNA helicase DDX11.  
研究领域 细胞生物  细胞周期蛋白  细胞分化  b-淋巴细胞  表观遗传学  
抗体来源 Rabbit
克隆类型 Polyclonal
克 隆 号
交叉反应 Human,Mouse,Rat
产品应用 WB=1:500-2000,IHC-P=1:100-500,IHC-F=1:100-500,IF=1:100-500
not yet tested in other applications.
optimal dilutions/concentrations should be determined by the end user.
理论分子量 108 kDa
检测分子量
细胞定位 细胞核 
性    状 Liquid
浓    度 1mg/ml
免 疫 原 KLH conjugated synthetic peptide derived from human KRG2/DDX11: 251-350/970  
亚    型 IgG
纯化方法 affinity purified by Protein A
缓 冲 液 0.01M TBS (pH7.4) with 1% BSA, 0.02% Proclin300 and 50% Glycerol.
保存条件 Shipped at 4℃. Store at -20℃ for one year. Avoid repeated freeze/thaw cycles.
注意事项 This product as supplied is intended for research use only, not for use in human, therapeutic or diagnostic applications.
PubMed PubMed
产品介绍 DEAD box proteins, characterized by the conserved motif Asp-Glu-Ala-Asp (DEAD), are putative RNA helicases. They are implicated in a number of cellular processes involving alteration of RNA secondary structure such as translation initiation, nuclear and mitochondrial splicing, and ribosome and spliceosome assembly. Based on their distribution patterns, some members of this family are believed to be involved in embryogenesis, spermatogenesis, and cellular growth and division. This gene encodes a DEAD box protein, which is an enzyme that possesses both ATPase and DNA helicase activities. This gene is a homolog of the yeast CHL1 gene, and may function to maintain chromosome transmission fidelity and genome stability. Alternative splicing results in multiple transcript variants encoding distinct isoforms. [provided by RefSeq, Jul 2008]

Function:
DNA-dependent ATPase and ATP-dependent DNA helicase that participates in various functions in genomic stability, including DNA replication, DNA repair and heterochromatin organization as well as in ribosomal RNA synthesis. Its double-stranded DNA helicase activity requires either a minimal 5-single-stranded tail length of approximately 15 nt (flap substrates) or 10 nt length single-stranded gapped DNA substrates of a partial duplex DNA structure for helicase loading and translocation along DNA in a 5 to 3 direction . The helicase activity is capable of displacing duplex regions up to 100 bp, which can be extended up to 500 bp by the replication protein A (RPA) or the cohesion CTF18-replication factor C (Ctf18-RFC) complex activities . Shows also ATPase- and helicase activities on substrates that mimic key DNA intermediates of replication, repair and homologous recombination reactions, including forked duplex, anti-parallel G-quadruplex and three-stranded D-loop DNA molecules. Plays a role in DNA double-strand break (DSB) repair at the DNA replication fork during DNA replication recovery from DNA damage. Recruited with TIMELESS factor upon DNA-replication stress response at DNA replication fork to preserve replication fork progression, and hence ensure DNA replication fidelity. Cooperates also with TIMELESS factor during DNA replication to regulate proper sister chromatid cohesion and mitotic chromosome segregation. Stimulates 5-single-stranded DNA flap endonuclease activity of FEN1 in an ATP- and helicase-independent manner; and hence it may contribute in Okazaki fragment processing at DNA replication fork during lagging strand DNA synthesis. Its ability to function at DNA replication fork is modulated by its binding to long non-coding RNA (lncRNA) cohesion regulator non-coding RNA DDX11-AS1/CONCR, which is able to increase both DDX11 ATPase activity and binding to DNA replicating regions. Plays also a role in heterochromatin organization. Involved in rRNA transcription activation through binding to active hypomethylated rDNA gene loci by recruiting UBTF and the RNA polymerase Pol I transcriptional machinery. Plays a role in embryonic development and prevention of aneuploidy (By similarity). Involved in melanoma cell proliferation and survival. Associates with chromatin at DNA replication fork regions. Binds to single- and double-stranded DNAs.

Subunit:
Associates with the CTF18-RFC complex. Associates with a cohesin complex composed of RAD21, SMC1 proteins and SMC3. Interacts with CHTF18. Interacts with DSCC1. Interacts with FEN1; this interaction is direct and increases flap endonuclease activity of FEN1. Interacts with PCNA. Interacts with POLR1A and UBTF. Interacts with RAD21, SMC1 proteins and SMC3. Interacts with RFC2. Interacts with TIMELESS; this interaction increases recruitment of both proteins onto chromatin in response to replication stress induction by hydroxyurea.
(Microbial infection) Interacts with bovine papillomavirus type 1 regulatory protein E2; this interaction stimulates the recruitment of E2 onto mitotic chromosomes.

Subcellular Location:
Chromosome, Cytoplasm, Cytoskeleton, Nucleus

Tissue Specificity:
Expressed in melanoma cells. Not detected in epidermal melanocytes of normal skin (at protein level). Highly expressed in spleen, B-cells, thymus, testis, ovary, small intestine and pancreas. Very low expression seen in brain. Expressed in dividing cells and/or cells undergoing high levels of recombination. No expression detected in cells signaled to terminally differentiate. Expressed weakly in keratinocytes.

Similarity:
Belongs to the DEAD box helicase family. DEAH subfamily. DDX11/CHL1 sub-subfamily.

SWISS:
Q96FC9

Gene ID:
1663

Database links:

Entrez Gene: 1663 Human

Omim: 601150 Human

SwissProt: Q96FC9 Human

Unigene: 443960 Human



产品图片
Sample: 293T(Human) Cell Lysate at 30 ug Molt-4(Human) Cell Lysate at 30 ug U2OS(Human) Cell Lysate at 30 ug K562(Human) Cell Lysate at 30 ug Primary: Anti- KRG2/DDX11 (bs-22217R) at 1/1000 dilution Secondary: IRDye800CW Goat Anti-Rabbit IgG at 1/20000 dilution Predicted band size: 108 kD Observed band size: 108 kD
Paraformaldehyde-fixed, paraffin embedded (mouse intestine); Antigen retrieval by boiling in sodium citrate buffer (pH6.0) for 15min; Block endogenous peroxidase by 3% hydrogen peroxide for 20 minutes; Blocking buffer (normal goat serum) at 37°C for 30min; Antibody incubation with (DDX11) Polyclonal Antibody, Unconjugated (bs-22217R) at 1:200 overnight at 4°C, followed by operating according to SP Kit(Rabbit) (sp-0023) instructionsand DAB staining.
Paraformaldehyde-fixed, paraffin embedded (rat intestine); Antigen retrieval by boiling in sodium citrate buffer (pH6.0) for 15min; Block endogenous peroxidase by 3% hydrogen peroxide for 20 minutes; Blocking buffer (normal goat serum) at 37°C for 30min; Antibody incubation with (DDX11) Polyclonal Antibody, Unconjugated (bs-22217R) at 1:200 overnight at 4°C, followed by operating according to SP Kit(Rabbit) (sp-0023) instructionsand DAB staining.
Paraformaldehyde-fixed, paraffin embedded (mouse kidney); Antigen retrieval by boiling in sodium citrate buffer (pH6.0) for 15min; Block endogenous peroxidase by 3% hydrogen peroxide for 20 minutes; Blocking buffer (normal goat serum) at 37°C for 30min; Antibody incubation with (DDX11) Polyclonal Antibody, Unconjugated (bs-22217R) at 1:200 overnight at 4°C, followed by operating according to SP Kit(Rabbit) (sp-0023) instructionsand DAB staining.
Paraformaldehyde-fixed, paraffin embedded (rat pancreas); Antigen retrieval by boiling in sodium citrate buffer (pH6.0) for 15min; Block endogenous peroxidase by 3% hydrogen peroxide for 20 minutes; Blocking buffer (normal goat serum) at 37°C for 30min; Antibody incubation with (DDX11) Polyclonal Antibody, Unconjugated (bs-22217R) at 1:200 overnight at 4°C, followed by operating according to SP Kit(Rabbit) (sp-0023) instructionsand DAB staining.
Paraformaldehyde-fixed, paraffin embedded (rat kidney); Antigen retrieval by boiling in sodium citrate buffer (pH6.0) for 15min; Block endogenous peroxidase by 3% hydrogen peroxide for 20 minutes; Blocking buffer (normal goat serum) at 37°C for 30min; Antibody incubation with (DDX11) Polyclonal Antibody, Unconjugated (bs-22217R) at 1:200 overnight at 4°C, followed by operating according to SP Kit(Rabbit) (sp-0023) instructionsand DAB staining.
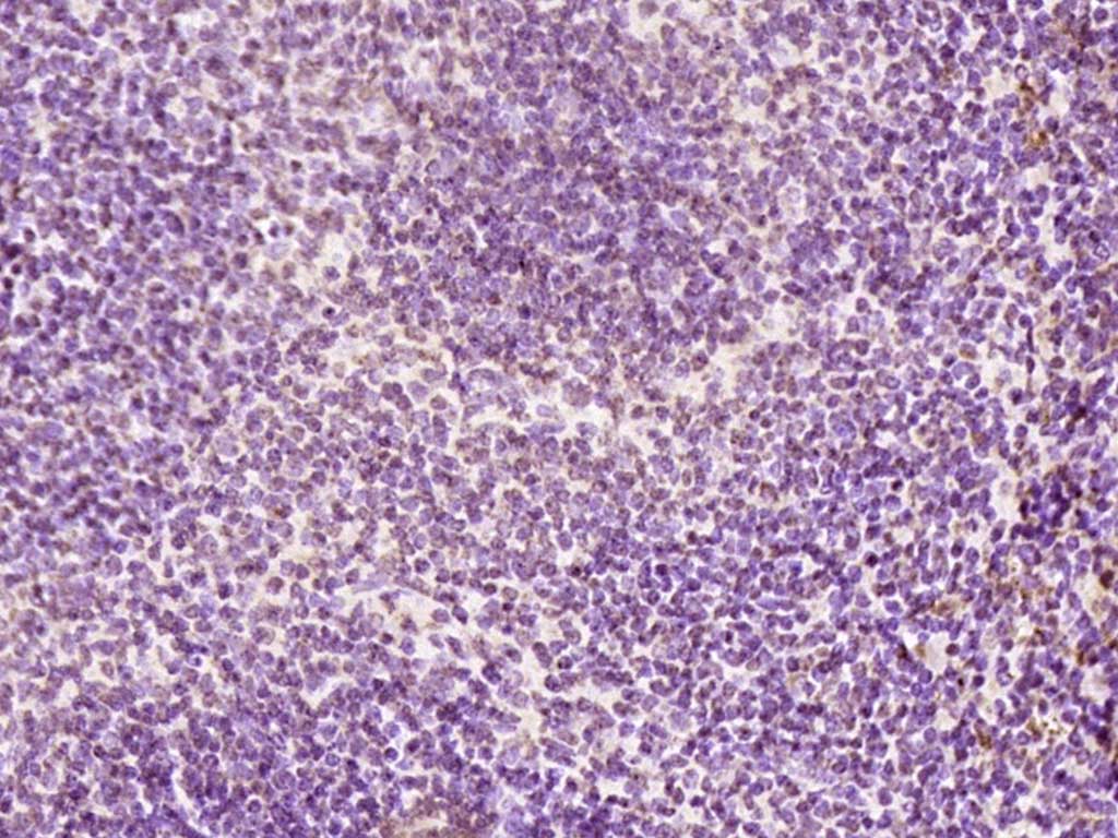
Paraformaldehyde-fixed, paraffin embedded (mouse spleen); Antigen retrieval by boiling in sodium citrate buffer (pH6.0) for 15min; Block endogenous peroxidase by 3% hydrogen peroxide for 20 minutes; Blocking buffer (normal goat serum) at 37°C for 30min; Antibody incubation with (DDX11) Polyclonal Antibody, Unconjugated (bs-22217R) at 1:200 overnight at 4°C, followed by operating according to SP Kit(Rabbit) (sp-0023) instructionsand DAB staining.
Paraformaldehyde-fixed, paraffin embedded (rat ovary); Antigen retrieval by boiling in sodium citrate buffer (pH6.0) for 15min; Block endogenous peroxidase by 3% hydrogen peroxide for 20 minutes; Blocking buffer (normal goat serum) at 37°C for 30min; Antibody incubation with (DDX11) Polyclonal Antibody, Unconjugated (bs-22217R) at 1:200 overnight at 4°C, followed by operating according to SP Kit(Rabbit) (sp-0023) instructionsand DAB staining.
版权所有 2004-2026 www.bioss.com.cn 北京博奥森生物技术有限公司
通过国际质量管理体系ISO 9001:2015 GB/T 19001-2016    证书编号: 00124Q34771R2M/1100
通过国际医疗器械-质量管理体系ISO 13485:2016 GB/T 42061-2022     证书编号: CQC24QY20047R0M/1100
京ICP备05066980号-1         京公网安备110107000727号